磁共振引导聚焦超声直接靶向腹侧中间核的新技术。

IF 2.3
Frontiers in radiology Pub Date : 2025-06-11 eCollection Date: 2025-01-01 DOI:10.3389/fradi.2025.1588379
Juan Ángel Aibar-Duran, Rodrigo Akira Watanabe, Nathan J McDannold, G Rees Cosgrove
{"title":"磁共振引导聚焦超声直接靶向腹侧中间核的新技术。","authors":"Juan Ángel Aibar-Duran, Rodrigo Akira Watanabe, Nathan J McDannold, G Rees Cosgrove","doi":"10.3389/fradi.2025.1588379","DOIUrl":null,"url":null,"abstract":"<p><strong>Background: </strong>Accurate targeting and lesion placement are critical in treating movement disorders with magnetic resonance-guided focused ultrasound (MRgFUS). Indirect atlas-based targeting often lacks precision. Direct anatomical targeting with 3T MRI offers a promising alternative. This report aims to refine MRgFUS thalamotomy by integrating advanced imaging and lesion conformality strategies.</p><p><strong>Material and methods: </strong>Preoperative and postoperative white matter null (WMn) MR-imaging was employed for direct Vim detection. Essential anatomical landmarks are identified. Dual-lesion conformality was used to adapt to the spatial distribution of the Vim.</p><p><strong>Results: </strong>Lesions of the Vim were identifiable using the postoperative WMn MRI sequence. The direct visualization of the Vim usually avoids extension into the internal capsule and the sensory thalamic nucleus. Sagittal imaging confirmed the dual-lesion conformational strategy which conforms to the antero-superior orientation of the Vim.</p><p><strong>Conclusions: </strong>Direct Vim targeting for MRgFUS is feasible for individual cases with the use of WMnMPRAGE MRI sequences. The use of lesion conformality adapts well to the anatomical and spatial distribution of Vim. Further studies will be needed to confirm the safety profile of this approach and correlate with clinical outcomes.</p>","PeriodicalId":73101,"journal":{"name":"Frontiers in radiology","volume":"5 ","pages":"1588379"},"PeriodicalIF":2.3000,"publicationDate":"2025-06-11","publicationTypes":"Journal Article","fieldsOfStudy":null,"isOpenAccess":false,"openAccessPdf":"https://www.ncbi.nlm.nih.gov/pmc/articles/PMC12187783/pdf/","citationCount":"0","resultStr":"{\"title\":\"New technique for direct targeting of the ventral intermediate nucleus using magnetic resonance-guided focused ultrasound.\",\"authors\":\"Juan Ángel Aibar-Duran, Rodrigo Akira Watanabe, Nathan J McDannold, G Rees Cosgrove\",\"doi\":\"10.3389/fradi.2025.1588379\",\"DOIUrl\":null,\"url\":null,\"abstract\":\"<p><strong>Background: </strong>Accurate targeting and lesion placement are critical in treating movement disorders with magnetic resonance-guided focused ultrasound (MRgFUS). Indirect atlas-based targeting often lacks precision. Direct anatomical targeting with 3T MRI offers a promising alternative. This report aims to refine MRgFUS thalamotomy by integrating advanced imaging and lesion conformality strategies.</p><p><strong>Material and methods: </strong>Preoperative and postoperative white matter null (WMn) MR-imaging was employed for direct Vim detection. Essential anatomical landmarks are identified. Dual-lesion conformality was used to adapt to the spatial distribution of the Vim.</p><p><strong>Results: </strong>Lesions of the Vim were identifiable using the postoperative WMn MRI sequence. The direct visualization of the Vim usually avoids extension into the internal capsule and the sensory thalamic nucleus. Sagittal imaging confirmed the dual-lesion conformational strategy which conforms to the antero-superior orientation of the Vim.</p><p><strong>Conclusions: </strong>Direct Vim targeting for MRgFUS is feasible for individual cases with the use of WMnMPRAGE MRI sequences. The use of lesion conformality adapts well to the anatomical and spatial distribution of Vim. Further studies will be needed to confirm the safety profile of this approach and correlate with clinical outcomes.</p>\",\"PeriodicalId\":73101,\"journal\":{\"name\":\"Frontiers in radiology\",\"volume\":\"5 \",\"pages\":\"1588379\"},\"PeriodicalIF\":2.3000,\"publicationDate\":\"2025-06-11\",\"publicationTypes\":\"Journal Article\",\"fieldsOfStudy\":null,\"isOpenAccess\":false,\"openAccessPdf\":\"https://www.ncbi.nlm.nih.gov/pmc/articles/PMC12187783/pdf/\",\"citationCount\":\"0\",\"resultStr\":null,\"platform\":\"Semanticscholar\",\"paperid\":null,\"PeriodicalName\":\"Frontiers in radiology\",\"FirstCategoryId\":\"1085\",\"ListUrlMain\":\"https://doi.org/10.3389/fradi.2025.1588379\",\"RegionNum\":0,\"RegionCategory\":null,\"ArticlePicture\":[],\"TitleCN\":null,\"AbstractTextCN\":null,\"PMCID\":null,\"EPubDate\":\"2025/1/1 0:00:00\",\"PubModel\":\"eCollection\",\"JCR\":\"\",\"JCRName\":\"\",\"Score\":null,\"Total\":0}","platform":"Semanticscholar","paperid":null,"PeriodicalName":"Frontiers in radiology","FirstCategoryId":"1085","ListUrlMain":"https://doi.org/10.3389/fradi.2025.1588379","RegionNum":0,"RegionCategory":null,"ArticlePicture":[],"TitleCN":null,"AbstractTextCN":null,"PMCID":null,"EPubDate":"2025/1/1 0:00:00","PubModel":"eCollection","JCR":"","JCRName":"","Score":null,"Total":0}
引用次数: 0

摘要

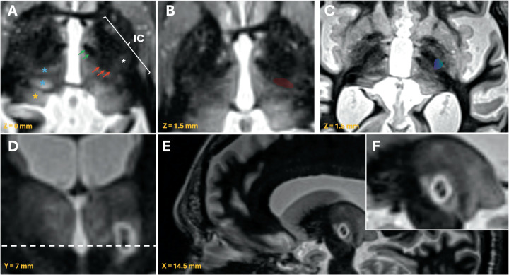
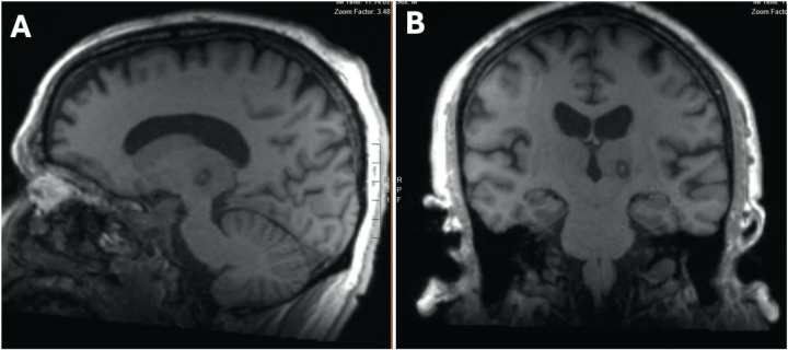
背景:在磁共振引导聚焦超声(MRgFUS)治疗运动障碍中,准确的定位和病灶放置是至关重要的。基于地图集的间接定位往往缺乏精确性。直接解剖定位与3T MRI提供了一个很有前途的选择。本报告旨在通过整合先进的成像和病变一致性策略来完善MRgFUS丘脑切开术。材料与方法:术前、术后采用白质无影(WMn)核磁共振成像直接检测Vim。基本解剖标志被确定。采用双病灶共形来适应Vim的空间分布。结果:使用术后WMn MRI序列可识别Vim病变。Vim的直接可视化通常避免延伸到内囊和感觉丘脑核。矢状位成像证实了双病变构象策略,符合Vim的前上位。结论:使用WMnMPRAGE MRI序列,直接Vim靶向MRgFUS在个别病例中是可行的。病灶一致性的使用很好地适应了Vim的解剖和空间分布。需要进一步的研究来证实这种方法的安全性及其与临床结果的相关性。
本文章由计算机程序翻译,如有差异,请以英文原文为准。

New technique for direct targeting of the ventral intermediate nucleus using magnetic resonance-guided focused ultrasound.

New technique for direct targeting of the ventral intermediate nucleus using magnetic resonance-guided focused ultrasound.

New technique for direct targeting of the ventral intermediate nucleus using magnetic resonance-guided focused ultrasound.

New technique for direct targeting of the ventral intermediate nucleus using magnetic resonance-guided focused ultrasound.

Background: Accurate targeting and lesion placement are critical in treating movement disorders with magnetic resonance-guided focused ultrasound (MRgFUS). Indirect atlas-based targeting often lacks precision. Direct anatomical targeting with 3T MRI offers a promising alternative. This report aims to refine MRgFUS thalamotomy by integrating advanced imaging and lesion conformality strategies.

Material and methods: Preoperative and postoperative white matter null (WMn) MR-imaging was employed for direct Vim detection. Essential anatomical landmarks are identified. Dual-lesion conformality was used to adapt to the spatial distribution of the Vim.

Results: Lesions of the Vim were identifiable using the postoperative WMn MRI sequence. The direct visualization of the Vim usually avoids extension into the internal capsule and the sensory thalamic nucleus. Sagittal imaging confirmed the dual-lesion conformational strategy which conforms to the antero-superior orientation of the Vim.

Conclusions: Direct Vim targeting for MRgFUS is feasible for individual cases with the use of WMnMPRAGE MRI sequences. The use of lesion conformality adapts well to the anatomical and spatial distribution of Vim. Further studies will be needed to confirm the safety profile of this approach and correlate with clinical outcomes.

求助全文
通过发布文献求助,成功后即可免费获取论文全文。 去求助
来源期刊
CiteScore
1.20
自引率
0.00%
发文量
0
×
引用
GB/T 7714-2015
复制
MLA
复制
APA
复制
导出至
BibTeX EndNote RefMan NoteFirst NoteExpress
×
提示
您的信息不完整,为了账户安全,请先补充。
现在去补充
×
提示
您因"违规操作"
具体请查看互助需知
我知道了
×
提示
确定
请完成安全验证×
copy
已复制链接
快去分享给好友吧!
我知道了
右上角分享
点击右上角分享
0
联系我们:info@booksci.cn Book学术提供免费学术资源搜索服务,方便国内外学者检索中英文文献。致力于提供最便捷和优质的服务体验。 Copyright © 2023 布克学术 All rights reserved.
京ICP备2023020795号-1
ghs 京公网安备 11010802042870号
Book学术文献互助
Book学术文献互助群
群 号:604180095
Book学术官方微信