胰腺神经内分泌肿瘤:基于病例的证据回顾。

Naveena Rikhraj, Cornelius J Fernandez, Vanishri Ganakumar, Joseph M Pappachan
{"title":"胰腺神经内分泌肿瘤:基于病例的证据回顾。","authors":"Naveena Rikhraj, Cornelius J Fernandez, Vanishri Ganakumar, Joseph M Pappachan","doi":"10.4291/wjgp.v16.i2.107265","DOIUrl":null,"url":null,"abstract":"<p><p>Pancreatic neuroendocrine tumors (pNETs) are rare, presenting significant challenges in timely diagnosis and subsequent treatment. The clinical and pathobiological behavior of these tumors varies significantly, making follow-up and therapeutic approaches challenging for clinicians. Although the majority of these neoplasms are hormonally inactive, some can be associated with endocrine dysfunction. Very rarely, a nonfunctional tumor can later become hormonally active, further complicating prognostication and management. Depending on the character of the disease, clinical picture and prognosis, different treatment modalities are instituted with varying effectivities. We recently came across a unique case of nonfunctioning malignant pNET at an advanced stage, metastatic disease upon diagnosis, managed medically with somatostatin analog therapy (Octreotide) and targeted therapy (Everolimus) with stable disease for 40 months that subsequently turned out to become functional (insulinoma). With the aid of this unique case, we update the current clinical, diagnostic and therapeutic approach to pNETs in this evidence-based review.</p>","PeriodicalId":68755,"journal":{"name":"世界胃肠病理生理学杂志(电子版)(英文版)","volume":"16 2","pages":"107265"},"PeriodicalIF":0.0000,"publicationDate":"2025-06-22","publicationTypes":"Journal Article","fieldsOfStudy":null,"isOpenAccess":false,"openAccessPdf":"https://www.ncbi.nlm.nih.gov/pmc/articles/PMC12186191/pdf/","citationCount":"0","resultStr":"{\"title\":\"Pancreatic neuroendocrine tumors: A case-based evidence review.\",\"authors\":\"Naveena Rikhraj, Cornelius J Fernandez, Vanishri Ganakumar, Joseph M Pappachan\",\"doi\":\"10.4291/wjgp.v16.i2.107265\",\"DOIUrl\":null,\"url\":null,\"abstract\":\"<p><p>Pancreatic neuroendocrine tumors (pNETs) are rare, presenting significant challenges in timely diagnosis and subsequent treatment. The clinical and pathobiological behavior of these tumors varies significantly, making follow-up and therapeutic approaches challenging for clinicians. Although the majority of these neoplasms are hormonally inactive, some can be associated with endocrine dysfunction. Very rarely, a nonfunctional tumor can later become hormonally active, further complicating prognostication and management. Depending on the character of the disease, clinical picture and prognosis, different treatment modalities are instituted with varying effectivities. We recently came across a unique case of nonfunctioning malignant pNET at an advanced stage, metastatic disease upon diagnosis, managed medically with somatostatin analog therapy (Octreotide) and targeted therapy (Everolimus) with stable disease for 40 months that subsequently turned out to become functional (insulinoma). With the aid of this unique case, we update the current clinical, diagnostic and therapeutic approach to pNETs in this evidence-based review.</p>\",\"PeriodicalId\":68755,\"journal\":{\"name\":\"世界胃肠病理生理学杂志(电子版)(英文版)\",\"volume\":\"16 2\",\"pages\":\"107265\"},\"PeriodicalIF\":0.0000,\"publicationDate\":\"2025-06-22\",\"publicationTypes\":\"Journal Article\",\"fieldsOfStudy\":null,\"isOpenAccess\":false,\"openAccessPdf\":\"https://www.ncbi.nlm.nih.gov/pmc/articles/PMC12186191/pdf/\",\"citationCount\":\"0\",\"resultStr\":null,\"platform\":\"Semanticscholar\",\"paperid\":null,\"PeriodicalName\":\"世界胃肠病理生理学杂志(电子版)(英文版)\",\"FirstCategoryId\":\"3\",\"ListUrlMain\":\"https://doi.org/10.4291/wjgp.v16.i2.107265\",\"RegionNum\":0,\"RegionCategory\":null,\"ArticlePicture\":[],\"TitleCN\":null,\"AbstractTextCN\":null,\"PMCID\":null,\"EPubDate\":\"\",\"PubModel\":\"\",\"JCR\":\"\",\"JCRName\":\"\",\"Score\":null,\"Total\":0}","platform":"Semanticscholar","paperid":null,"PeriodicalName":"世界胃肠病理生理学杂志(电子版)(英文版)","FirstCategoryId":"3","ListUrlMain":"https://doi.org/10.4291/wjgp.v16.i2.107265","RegionNum":0,"RegionCategory":null,"ArticlePicture":[],"TitleCN":null,"AbstractTextCN":null,"PMCID":null,"EPubDate":"","PubModel":"","JCR":"","JCRName":"","Score":null,"Total":0}
引用次数: 0

摘要

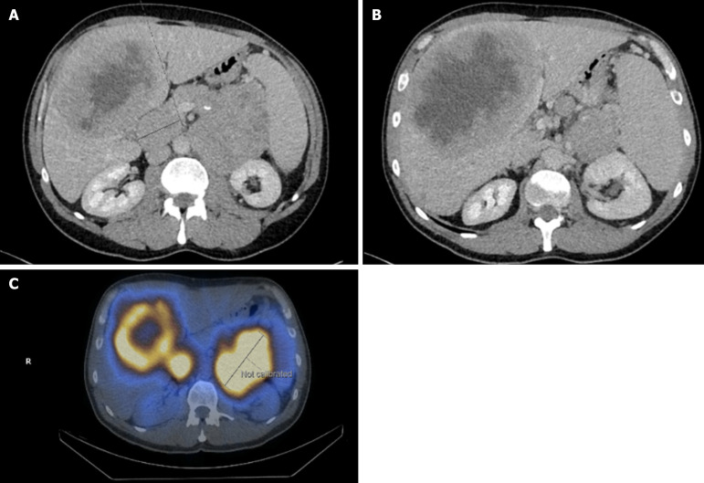
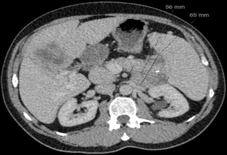
胰腺神经内分泌肿瘤(pNETs)是罕见的,在及时诊断和后续治疗方面提出了重大挑战。这些肿瘤的临床和病理生物学行为差异很大,使得临床医生的随访和治疗方法具有挑战性。虽然这些肿瘤大多数是激素不活跃的,但有些可能与内分泌功能障碍有关。非常罕见的是,非功能性肿瘤后来会变得激素活跃,进一步使预后和治疗复杂化。根据疾病的特点、临床表现和预后,制定了不同的治疗方式,效果也各不相同。我们最近遇到了一个独特的晚期无功能恶性pNET病例,诊断为转移性疾病,医学上使用生长抑素类似物治疗(奥曲肽)和靶向治疗(依维莫司),病情稳定40个月,随后变成功能性(胰岛素瘤)。在这一独特病例的帮助下,我们在这篇基于证据的综述中更新了目前pNETs的临床、诊断和治疗方法。
本文章由计算机程序翻译,如有差异,请以英文原文为准。

Pancreatic neuroendocrine tumors: A case-based evidence review.

Pancreatic neuroendocrine tumors: A case-based evidence review.

Pancreatic neuroendocrine tumors: A case-based evidence review.

Pancreatic neuroendocrine tumors: A case-based evidence review.

Pancreatic neuroendocrine tumors (pNETs) are rare, presenting significant challenges in timely diagnosis and subsequent treatment. The clinical and pathobiological behavior of these tumors varies significantly, making follow-up and therapeutic approaches challenging for clinicians. Although the majority of these neoplasms are hormonally inactive, some can be associated with endocrine dysfunction. Very rarely, a nonfunctional tumor can later become hormonally active, further complicating prognostication and management. Depending on the character of the disease, clinical picture and prognosis, different treatment modalities are instituted with varying effectivities. We recently came across a unique case of nonfunctioning malignant pNET at an advanced stage, metastatic disease upon diagnosis, managed medically with somatostatin analog therapy (Octreotide) and targeted therapy (Everolimus) with stable disease for 40 months that subsequently turned out to become functional (insulinoma). With the aid of this unique case, we update the current clinical, diagnostic and therapeutic approach to pNETs in this evidence-based review.

求助全文
通过发布文献求助,成功后即可免费获取论文全文。 去求助
来源期刊
自引率
0.00%
发文量
336
×
引用
GB/T 7714-2015
复制
MLA
复制
APA
复制
导出至
BibTeX EndNote RefMan NoteFirst NoteExpress
×
提示
您的信息不完整,为了账户安全,请先补充。
现在去补充
×
提示
您因"违规操作"
具体请查看互助需知
我知道了
×
提示
确定
请完成安全验证×
copy
已复制链接
快去分享给好友吧!
我知道了
右上角分享
点击右上角分享
0
联系我们:info@booksci.cn Book学术提供免费学术资源搜索服务,方便国内外学者检索中英文文献。致力于提供最便捷和优质的服务体验。 Copyright © 2023 布克学术 All rights reserved.
京ICP备2023020795号-1
ghs 京公网安备 11010802042870号
Book学术文献互助
Book学术文献互助群
群 号:604180095
Book学术官方微信