人类免疫缺陷病毒患者溃疡性结肠炎的发展

IF 0.5 Q4 GASTROENTEROLOGY & HEPATOLOGY
Case Reports in Gastrointestinal Medicine Pub Date : 2025-06-18 eCollection Date: 2025-01-01 DOI:10.1155/crgm/2362039
Clive Jude Miranda, Murad Hayatt Ali, Nariman Hossein-Javaheri, Farhan Azad, Marcellus Anthony Singh, Navpreet Kaur Rana, Nakul Anush Ravish, Thomas Christopher Mahl
{"title":"人类免疫缺陷病毒患者溃疡性结肠炎的发展","authors":"Clive Jude Miranda, Murad Hayatt Ali, Nariman Hossein-Javaheri, Farhan Azad, Marcellus Anthony Singh, Navpreet Kaur Rana, Nakul Anush Ravish, Thomas Christopher Mahl","doi":"10.1155/crgm/2362039","DOIUrl":null,"url":null,"abstract":"<p><p>The relationship between the human immunodeficiency virus (HIV) and inflammatory bowel disease (IBD) is poorly understood. The coexistence of the two conditions is uncommon with scattered retrospective studies in the literature. Whereas HIV was initially thought to propagate IBD flares and increase disease severity, more studies are coming out showing that HIV may actually be protective against IBD development and relapse, particularly due to the depletion of CD4 lymphocytes. We present a HIV-positive female with new onset ulcerative colitis at the age of 42. Her HIV was poorly controlled for 25 years but with new gastrointestinal symptoms for 9 months, an endoscopic evaluation was done which revealed a new inflammatory bowel disease diagnosis, which warranted immediate therapy. In describing this patient's case, we discuss the uncommon coexistence of HIV and IBD and investigate potential relationships between the two conditions.</p>","PeriodicalId":45645,"journal":{"name":"Case Reports in Gastrointestinal Medicine","volume":"2025 ","pages":"2362039"},"PeriodicalIF":0.5000,"publicationDate":"2025-06-18","publicationTypes":"Journal Article","fieldsOfStudy":null,"isOpenAccess":false,"openAccessPdf":"https://www.ncbi.nlm.nih.gov/pmc/articles/PMC12197527/pdf/","citationCount":"0","resultStr":"{\"title\":\"Development of Ulcerative Colitis in a Patient With Human Immunodeficiency Virus.\",\"authors\":\"Clive Jude Miranda, Murad Hayatt Ali, Nariman Hossein-Javaheri, Farhan Azad, Marcellus Anthony Singh, Navpreet Kaur Rana, Nakul Anush Ravish, Thomas Christopher Mahl\",\"doi\":\"10.1155/crgm/2362039\",\"DOIUrl\":null,\"url\":null,\"abstract\":\"<p><p>The relationship between the human immunodeficiency virus (HIV) and inflammatory bowel disease (IBD) is poorly understood. The coexistence of the two conditions is uncommon with scattered retrospective studies in the literature. Whereas HIV was initially thought to propagate IBD flares and increase disease severity, more studies are coming out showing that HIV may actually be protective against IBD development and relapse, particularly due to the depletion of CD4 lymphocytes. We present a HIV-positive female with new onset ulcerative colitis at the age of 42. Her HIV was poorly controlled for 25 years but with new gastrointestinal symptoms for 9 months, an endoscopic evaluation was done which revealed a new inflammatory bowel disease diagnosis, which warranted immediate therapy. In describing this patient's case, we discuss the uncommon coexistence of HIV and IBD and investigate potential relationships between the two conditions.</p>\",\"PeriodicalId\":45645,\"journal\":{\"name\":\"Case Reports in Gastrointestinal Medicine\",\"volume\":\"2025 \",\"pages\":\"2362039\"},\"PeriodicalIF\":0.5000,\"publicationDate\":\"2025-06-18\",\"publicationTypes\":\"Journal Article\",\"fieldsOfStudy\":null,\"isOpenAccess\":false,\"openAccessPdf\":\"https://www.ncbi.nlm.nih.gov/pmc/articles/PMC12197527/pdf/\",\"citationCount\":\"0\",\"resultStr\":null,\"platform\":\"Semanticscholar\",\"paperid\":null,\"PeriodicalName\":\"Case Reports in Gastrointestinal Medicine\",\"FirstCategoryId\":\"1085\",\"ListUrlMain\":\"https://doi.org/10.1155/crgm/2362039\",\"RegionNum\":0,\"RegionCategory\":null,\"ArticlePicture\":[],\"TitleCN\":null,\"AbstractTextCN\":null,\"PMCID\":null,\"EPubDate\":\"2025/1/1 0:00:00\",\"PubModel\":\"eCollection\",\"JCR\":\"Q4\",\"JCRName\":\"GASTROENTEROLOGY & HEPATOLOGY\",\"Score\":null,\"Total\":0}","platform":"Semanticscholar","paperid":null,"PeriodicalName":"Case Reports in Gastrointestinal Medicine","FirstCategoryId":"1085","ListUrlMain":"https://doi.org/10.1155/crgm/2362039","RegionNum":0,"RegionCategory":null,"ArticlePicture":[],"TitleCN":null,"AbstractTextCN":null,"PMCID":null,"EPubDate":"2025/1/1 0:00:00","PubModel":"eCollection","JCR":"Q4","JCRName":"GASTROENTEROLOGY & HEPATOLOGY","Score":null,"Total":0}
引用次数: 0

摘要

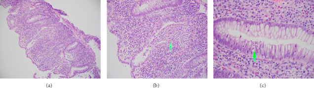
人类免疫缺陷病毒(HIV)与炎症性肠病(IBD)之间的关系尚不清楚。这两种情况并存的情况并不常见,文献中有零散的回顾性研究。虽然HIV最初被认为会传播IBD的爆发并增加疾病的严重程度,但越来越多的研究表明,HIV实际上可能对IBD的发展和复发有保护作用,特别是由于CD4淋巴细胞的消耗。我们提出了一个艾滋病毒阳性的女性新发溃疡性结肠炎在42岁。25年来,她的艾滋病毒控制不佳,但9个月来出现了新的胃肠道症状,内镜检查显示新的炎症性肠病诊断,需要立即治疗。在描述这个病人的情况下,我们讨论罕见的共存的艾滋病毒和IBD和调查两种情况之间的潜在关系。
本文章由计算机程序翻译,如有差异,请以英文原文为准。

Development of Ulcerative Colitis in a Patient With Human Immunodeficiency Virus.

Development of Ulcerative Colitis in a Patient With Human Immunodeficiency Virus.

Development of Ulcerative Colitis in a Patient With Human Immunodeficiency Virus.

The relationship between the human immunodeficiency virus (HIV) and inflammatory bowel disease (IBD) is poorly understood. The coexistence of the two conditions is uncommon with scattered retrospective studies in the literature. Whereas HIV was initially thought to propagate IBD flares and increase disease severity, more studies are coming out showing that HIV may actually be protective against IBD development and relapse, particularly due to the depletion of CD4 lymphocytes. We present a HIV-positive female with new onset ulcerative colitis at the age of 42. Her HIV was poorly controlled for 25 years but with new gastrointestinal symptoms for 9 months, an endoscopic evaluation was done which revealed a new inflammatory bowel disease diagnosis, which warranted immediate therapy. In describing this patient's case, we discuss the uncommon coexistence of HIV and IBD and investigate potential relationships between the two conditions.

求助全文
通过发布文献求助,成功后即可免费获取论文全文。 去求助
来源期刊
Case Reports in Gastrointestinal Medicine
Case Reports in Gastrointestinal Medicine GASTROENTEROLOGY & HEPATOLOGY-
自引率
0.00%
发文量
33
审稿时长
14 weeks
×
引用
GB/T 7714-2015
复制
MLA
复制
APA
复制
导出至
BibTeX EndNote RefMan NoteFirst NoteExpress
×
提示
您的信息不完整,为了账户安全,请先补充。
现在去补充
×
提示
您因"违规操作"
具体请查看互助需知
我知道了
×
提示
确定
请完成安全验证×
copy
已复制链接
快去分享给好友吧!
我知道了
右上角分享
点击右上角分享
0
联系我们:info@booksci.cn Book学术提供免费学术资源搜索服务,方便国内外学者检索中英文文献。致力于提供最便捷和优质的服务体验。 Copyright © 2023 布克学术 All rights reserved.
京ICP备2023020795号-1
ghs 京公网安备 11010802042870号
Book学术文献互助
Book学术文献互助群
群 号:604180095
Book学术官方微信