土生鸡源枯草芽孢杆菌菌株的分离和选择作为抗革兰氏阴性肠致病菌的潜在益生菌替代品。

IF 1.5 Q3 AGRICULTURE, DAIRY & ANIMAL SCIENCE
Journal of Advanced Veterinary and Animal Research Pub Date : 2025-03-24 eCollection Date: 2025-03-01 DOI:10.5455/javar.2025.l871
Hai Vu Phan, Hung Hoang Son Pham, Lai Huu Ngo, Na Thi Tran, Dung Thi Ho, Khuong Dinh Thuy Nguyen, Liem Ngoc Tran, Hoa Xuan Nguyen
{"title":"土生鸡源枯草芽孢杆菌菌株的分离和选择作为抗革兰氏阴性肠致病菌的潜在益生菌替代品。","authors":"Hai Vu Phan, Hung Hoang Son Pham, Lai Huu Ngo, Na Thi Tran, Dung Thi Ho, Khuong Dinh Thuy Nguyen, Liem Ngoc Tran, Hoa Xuan Nguyen","doi":"10.5455/javar.2025.l871","DOIUrl":null,"url":null,"abstract":"<p><strong>Objective: </strong>The increasing antibiotic resistance in poultry pathogens presents a significant public health risk, leading to the exploration of effective alternatives in broiler feed, particularly probiotics such as <i>Bacillus subtilis</i>. This study aimed to isolate <i>B. subtilis</i> strains from indigenous chicken feces that can inhibit <i>Escherichia coli</i> and <i>Salmonella typhimurium</i> strains, common causes of diarrhea in poultry.</p><p><strong>Materials and methods: </strong><i>Bacillus</i> strains were isolated from chicken feces and screened for antibacterial activity using an agar well diffusion assay. <i>Bacillus</i> strains were identified via 16S rRNA gene sequencing. Their probiotic potential was assessed through <i>in vitro</i> assays measuring extracellular enzyme production, adhesion properties, and resilience to acidic and bile salt conditions. Freeze-drying techniques were applied to evaluate strain viability and stability. <i>In vivo</i> studies determined the colonization ability of selected strains in the chicken intestine.</p><p><strong>Results: </strong>From 121 <i>B.</i> <i>subtilis</i> isolates, six <i>B. subtilis</i> strains demonstrated notable antibacterial activity against both <i>E. coli</i> and <i>S. typhimurium</i>. Five strains were confirmed as <i>B. subtilis</i> through sequencing. Based on their probiotic attributes, <i>B. subtilis</i> H1 and <i>B. subtilis</i> BSn5 were identified as the most promising candidates. Notably, <i>B. subtilis</i> BSn5 exhibited stable viability when freeze-dried, surviving for up to two months, and successfully colonized the chicken intestinal tract <i>in vivo</i>.</p><p><strong>Conclusion: </strong>These findings indicate that <i>B. subtilis</i> BSn5 may serve as a viable probiotic alternative to antibiotics in poultry, with regular supplementation necessary to sustain its benefits.</p>","PeriodicalId":14892,"journal":{"name":"Journal of Advanced Veterinary and Animal Research","volume":"12 1","pages":"53-63"},"PeriodicalIF":1.5000,"publicationDate":"2025-03-24","publicationTypes":"Journal Article","fieldsOfStudy":null,"isOpenAccess":false,"openAccessPdf":"https://www.ncbi.nlm.nih.gov/pmc/articles/PMC12186791/pdf/","citationCount":"0","resultStr":"{\"title\":\"Isolation and selection of indigenous chicken-derived <i>Bacillus subtilis</i> strains as potential probiotic alternatives to antibiotics against Gram-negative enteropathogens.\",\"authors\":\"Hai Vu Phan, Hung Hoang Son Pham, Lai Huu Ngo, Na Thi Tran, Dung Thi Ho, Khuong Dinh Thuy Nguyen, Liem Ngoc Tran, Hoa Xuan Nguyen\",\"doi\":\"10.5455/javar.2025.l871\",\"DOIUrl\":null,\"url\":null,\"abstract\":\"<p><strong>Objective: </strong>The increasing antibiotic resistance in poultry pathogens presents a significant public health risk, leading to the exploration of effective alternatives in broiler feed, particularly probiotics such as <i>Bacillus subtilis</i>. This study aimed to isolate <i>B. subtilis</i> strains from indigenous chicken feces that can inhibit <i>Escherichia coli</i> and <i>Salmonella typhimurium</i> strains, common causes of diarrhea in poultry.</p><p><strong>Materials and methods: </strong><i>Bacillus</i> strains were isolated from chicken feces and screened for antibacterial activity using an agar well diffusion assay. <i>Bacillus</i> strains were identified via 16S rRNA gene sequencing. Their probiotic potential was assessed through <i>in vitro</i> assays measuring extracellular enzyme production, adhesion properties, and resilience to acidic and bile salt conditions. Freeze-drying techniques were applied to evaluate strain viability and stability. <i>In vivo</i> studies determined the colonization ability of selected strains in the chicken intestine.</p><p><strong>Results: </strong>From 121 <i>B.</i> <i>subtilis</i> isolates, six <i>B. subtilis</i> strains demonstrated notable antibacterial activity against both <i>E. coli</i> and <i>S. typhimurium</i>. Five strains were confirmed as <i>B. subtilis</i> through sequencing. Based on their probiotic attributes, <i>B. subtilis</i> H1 and <i>B. subtilis</i> BSn5 were identified as the most promising candidates. Notably, <i>B. subtilis</i> BSn5 exhibited stable viability when freeze-dried, surviving for up to two months, and successfully colonized the chicken intestinal tract <i>in vivo</i>.</p><p><strong>Conclusion: </strong>These findings indicate that <i>B. subtilis</i> BSn5 may serve as a viable probiotic alternative to antibiotics in poultry, with regular supplementation necessary to sustain its benefits.</p>\",\"PeriodicalId\":14892,\"journal\":{\"name\":\"Journal of Advanced Veterinary and Animal Research\",\"volume\":\"12 1\",\"pages\":\"53-63\"},\"PeriodicalIF\":1.5000,\"publicationDate\":\"2025-03-24\",\"publicationTypes\":\"Journal Article\",\"fieldsOfStudy\":null,\"isOpenAccess\":false,\"openAccessPdf\":\"https://www.ncbi.nlm.nih.gov/pmc/articles/PMC12186791/pdf/\",\"citationCount\":\"0\",\"resultStr\":null,\"platform\":\"Semanticscholar\",\"paperid\":null,\"PeriodicalName\":\"Journal of Advanced Veterinary and Animal Research\",\"FirstCategoryId\":\"1085\",\"ListUrlMain\":\"https://doi.org/10.5455/javar.2025.l871\",\"RegionNum\":0,\"RegionCategory\":null,\"ArticlePicture\":[],\"TitleCN\":null,\"AbstractTextCN\":null,\"PMCID\":null,\"EPubDate\":\"2025/3/1 0:00:00\",\"PubModel\":\"eCollection\",\"JCR\":\"Q3\",\"JCRName\":\"AGRICULTURE, DAIRY & ANIMAL SCIENCE\",\"Score\":null,\"Total\":0}","platform":"Semanticscholar","paperid":null,"PeriodicalName":"Journal of Advanced Veterinary and Animal Research","FirstCategoryId":"1085","ListUrlMain":"https://doi.org/10.5455/javar.2025.l871","RegionNum":0,"RegionCategory":null,"ArticlePicture":[],"TitleCN":null,"AbstractTextCN":null,"PMCID":null,"EPubDate":"2025/3/1 0:00:00","PubModel":"eCollection","JCR":"Q3","JCRName":"AGRICULTURE, DAIRY & ANIMAL SCIENCE","Score":null,"Total":0}
引用次数: 0

摘要

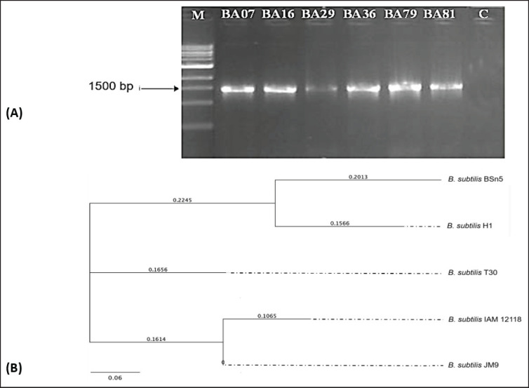
目的:家禽病原体中抗生素耐药性的增加带来了重大的公共卫生风险,导致探索肉仔鸡饲料中的有效替代品,特别是益生菌,如枯草芽孢杆菌。本研究旨在从本地鸡粪便中分离出能抑制大肠杆菌和鼠伤寒沙门菌的枯草芽孢杆菌菌株,这两种菌株是导致家禽腹泻的常见原因。材料与方法:从鸡粪便中分离到芽孢杆菌菌株,采用琼脂孔扩散法对其抑菌活性进行筛选。通过16S rRNA基因测序鉴定芽孢杆菌菌株。通过体外测定细胞外酶产量、粘附特性以及对酸性和胆盐条件的恢复能力来评估它们的益生菌潜力。采用冷冻干燥技术评价菌株的活力和稳定性。体内研究确定了选定菌株在鸡肠中的定植能力。结果:121株枯草芽孢杆菌分离株中,6株枯草芽孢杆菌对大肠杆菌和鼠伤寒杆菌均有明显的抑菌活性。经测序确认5株为枯草芽孢杆菌。基于其益生菌特性,枯草芽孢杆菌H1和枯草芽孢杆菌BSn5被认为是最有希望的候选菌。值得注意的是,枯草芽孢杆菌BSn5在冻干条件下表现出稳定的生存能力,存活时间长达两个月,并成功在鸡肠道内定植。结论:这些发现表明,枯草芽孢杆菌BSn5可能是家禽中一种可行的抗生素替代益生菌,需要定期补充以保持其益处。
本文章由计算机程序翻译,如有差异,请以英文原文为准。

Isolation and selection of indigenous chicken-derived <i>Bacillus subtilis</i> strains as potential probiotic alternatives to antibiotics against Gram-negative enteropathogens.

Isolation and selection of indigenous chicken-derived <i>Bacillus subtilis</i> strains as potential probiotic alternatives to antibiotics against Gram-negative enteropathogens.

Isolation and selection of indigenous chicken-derived <i>Bacillus subtilis</i> strains as potential probiotic alternatives to antibiotics against Gram-negative enteropathogens.

Isolation and selection of indigenous chicken-derived Bacillus subtilis strains as potential probiotic alternatives to antibiotics against Gram-negative enteropathogens.

Objective: The increasing antibiotic resistance in poultry pathogens presents a significant public health risk, leading to the exploration of effective alternatives in broiler feed, particularly probiotics such as Bacillus subtilis. This study aimed to isolate B. subtilis strains from indigenous chicken feces that can inhibit Escherichia coli and Salmonella typhimurium strains, common causes of diarrhea in poultry.

Materials and methods: Bacillus strains were isolated from chicken feces and screened for antibacterial activity using an agar well diffusion assay. Bacillus strains were identified via 16S rRNA gene sequencing. Their probiotic potential was assessed through in vitro assays measuring extracellular enzyme production, adhesion properties, and resilience to acidic and bile salt conditions. Freeze-drying techniques were applied to evaluate strain viability and stability. In vivo studies determined the colonization ability of selected strains in the chicken intestine.

Results: From 121 B. subtilis isolates, six B. subtilis strains demonstrated notable antibacterial activity against both E. coli and S. typhimurium. Five strains were confirmed as B. subtilis through sequencing. Based on their probiotic attributes, B. subtilis H1 and B. subtilis BSn5 were identified as the most promising candidates. Notably, B. subtilis BSn5 exhibited stable viability when freeze-dried, surviving for up to two months, and successfully colonized the chicken intestinal tract in vivo.

Conclusion: These findings indicate that B. subtilis BSn5 may serve as a viable probiotic alternative to antibiotics in poultry, with regular supplementation necessary to sustain its benefits.

求助全文
通过发布文献求助,成功后即可免费获取论文全文。 去求助
来源期刊
CiteScore
2.70
自引率
7.10%
发文量
41
审稿时长
6 weeks
期刊介绍: Journal of Advanced Veterinary and Animal Research (JAVAR) - is an open access, international, peer-reviewed, quarterly, highly-indexed scientific journal publishing original research findings and reviews on all aspects of veterinary and animal sciences. Basic and applied researches on- - Anatomy & histology - Animal health economics - Animal nutrition - Animal reproduction - Animal science - Antimicrobial resistance (AMR) - Biochemistry - Biotechnology - Dairy science - Epidemiology - Food hygiene and technology - Genetics and breeding - Immunology - Microbiology - Parasitology - Pathology - Pharmacology & toxicology - Physiology - Poultry science - Preventive veterinary medicine - Public health - Surgery & obstetrics - Veterinary extension studies - Wildlife & aquatic medicine - Zoo animal medicine.
×
引用
GB/T 7714-2015
复制
MLA
复制
APA
复制
导出至
BibTeX EndNote RefMan NoteFirst NoteExpress
×
提示
您的信息不完整,为了账户安全,请先补充。
现在去补充
×
提示
您因"违规操作"
具体请查看互助需知
我知道了
×
提示
确定
请完成安全验证×
copy
已复制链接
快去分享给好友吧!
我知道了
右上角分享
点击右上角分享
0
联系我们:info@booksci.cn Book学术提供免费学术资源搜索服务,方便国内外学者检索中英文文献。致力于提供最便捷和优质的服务体验。 Copyright © 2023 布克学术 All rights reserved.
京ICP备2023020795号-1
ghs 京公网安备 11010802042870号
Book学术文献互助
Book学术文献互助群
群 号:604180095
Book学术官方微信