Dupilumab在慢性苔藓样糠疹的成功之旅,随后是单苯酮脱色后白癜风的有趣复发:一例报告。

IF 0.8 Q4 DERMATOLOGY
Case Reports in Dermatology Pub Date : 2025-05-15 eCollection Date: 2025-01-01 DOI:10.1159/000545212
Khalid Nabil Nagshabandi, Mohammed Aljughayman, Asem Shadid, Salman Almalki, Nouf Almuhanna
{"title":"Dupilumab在慢性苔藓样糠疹的成功之旅,随后是单苯酮脱色后白癜风的有趣复发:一例报告。","authors":"Khalid Nabil Nagshabandi, Mohammed Aljughayman, Asem Shadid, Salman Almalki, Nouf Almuhanna","doi":"10.1159/000545212","DOIUrl":null,"url":null,"abstract":"<p><strong>Introduction: </strong>Pityriasis lichenoides (PL) is an inflammatory skin disorder encompassing both acute (PLEVA) and chronic (PLC) subtypes, which share overlapping clinical and histopathological features. Standard treatment modalities include oral antibiotics, phototherapy, and immunosuppressive agents. Dupilumab, an IL-4Rα antagonist approved for atopic dermatitis, has been used off-label for various inflammatory skin conditions. However, its role in PLC management remains poorly documented.</p><p><strong>Case presentation: </strong>We report a case of PLC successfully treated with dupilumab. The patient had a history of vitiligo and had previously undergone monobenzone depigmentation therapy. Due to concerns regarding potential pigmentary changes, dupilumab was initiated with a loading dose of 600 mg, followed by 300 mg biweekly. After 3 months of therapy, there was significant improvement in PLC lesions and pruritus, with only residual erythematous plaques. Unexpectedly, spontaneous skin repigmentation occurred, contrasting with previous reports of vitiligo exacerbation following dupilumab use. The patient resumed monobenzone therapy without experiencing PLC recurrence or worsening pruritus.</p><p><strong>Conclusion: </strong>This case highlights dupilumab's potential as an effective treatment for PLC and its possible role in promoting skin repigmentation in a patient with prior vitiligo. These findings suggest a potential link between type 2 inflammation and PLC pathogenesis, warranting further investigation. Dupilumab may represent a promising therapeutic alternative for refractory PLC.</p>","PeriodicalId":9619,"journal":{"name":"Case Reports in Dermatology","volume":"17 1","pages":"231-239"},"PeriodicalIF":0.8000,"publicationDate":"2025-05-15","publicationTypes":"Journal Article","fieldsOfStudy":null,"isOpenAccess":false,"openAccessPdf":"https://www.ncbi.nlm.nih.gov/pmc/articles/PMC12193819/pdf/","citationCount":"0","resultStr":"{\"title\":\"Dupilumab's Successful Journey in Pityriasis Lichenoides Chronica Followed by the Intriguing Reemergence of Vitiligo after Monobenzone Depigmentation: A Case Report.\",\"authors\":\"Khalid Nabil Nagshabandi, Mohammed Aljughayman, Asem Shadid, Salman Almalki, Nouf Almuhanna\",\"doi\":\"10.1159/000545212\",\"DOIUrl\":null,\"url\":null,\"abstract\":\"<p><strong>Introduction: </strong>Pityriasis lichenoides (PL) is an inflammatory skin disorder encompassing both acute (PLEVA) and chronic (PLC) subtypes, which share overlapping clinical and histopathological features. Standard treatment modalities include oral antibiotics, phototherapy, and immunosuppressive agents. Dupilumab, an IL-4Rα antagonist approved for atopic dermatitis, has been used off-label for various inflammatory skin conditions. However, its role in PLC management remains poorly documented.</p><p><strong>Case presentation: </strong>We report a case of PLC successfully treated with dupilumab. The patient had a history of vitiligo and had previously undergone monobenzone depigmentation therapy. Due to concerns regarding potential pigmentary changes, dupilumab was initiated with a loading dose of 600 mg, followed by 300 mg biweekly. After 3 months of therapy, there was significant improvement in PLC lesions and pruritus, with only residual erythematous plaques. Unexpectedly, spontaneous skin repigmentation occurred, contrasting with previous reports of vitiligo exacerbation following dupilumab use. The patient resumed monobenzone therapy without experiencing PLC recurrence or worsening pruritus.</p><p><strong>Conclusion: </strong>This case highlights dupilumab's potential as an effective treatment for PLC and its possible role in promoting skin repigmentation in a patient with prior vitiligo. These findings suggest a potential link between type 2 inflammation and PLC pathogenesis, warranting further investigation. Dupilumab may represent a promising therapeutic alternative for refractory PLC.</p>\",\"PeriodicalId\":9619,\"journal\":{\"name\":\"Case Reports in Dermatology\",\"volume\":\"17 1\",\"pages\":\"231-239\"},\"PeriodicalIF\":0.8000,\"publicationDate\":\"2025-05-15\",\"publicationTypes\":\"Journal Article\",\"fieldsOfStudy\":null,\"isOpenAccess\":false,\"openAccessPdf\":\"https://www.ncbi.nlm.nih.gov/pmc/articles/PMC12193819/pdf/\",\"citationCount\":\"0\",\"resultStr\":null,\"platform\":\"Semanticscholar\",\"paperid\":null,\"PeriodicalName\":\"Case Reports in Dermatology\",\"FirstCategoryId\":\"1085\",\"ListUrlMain\":\"https://doi.org/10.1159/000545212\",\"RegionNum\":0,\"RegionCategory\":null,\"ArticlePicture\":[],\"TitleCN\":null,\"AbstractTextCN\":null,\"PMCID\":null,\"EPubDate\":\"2025/1/1 0:00:00\",\"PubModel\":\"eCollection\",\"JCR\":\"Q4\",\"JCRName\":\"DERMATOLOGY\",\"Score\":null,\"Total\":0}","platform":"Semanticscholar","paperid":null,"PeriodicalName":"Case Reports in Dermatology","FirstCategoryId":"1085","ListUrlMain":"https://doi.org/10.1159/000545212","RegionNum":0,"RegionCategory":null,"ArticlePicture":[],"TitleCN":null,"AbstractTextCN":null,"PMCID":null,"EPubDate":"2025/1/1 0:00:00","PubModel":"eCollection","JCR":"Q4","JCRName":"DERMATOLOGY","Score":null,"Total":0}
引用次数: 0

摘要

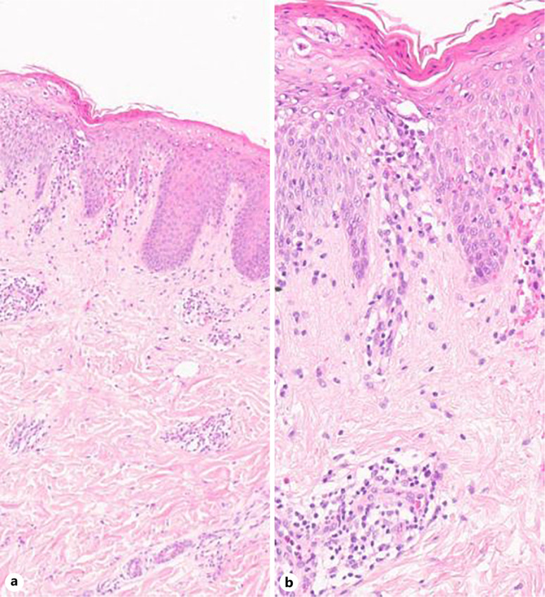
简介:苔藓样糠疹(PL)是一种炎症性皮肤病,包括急性(PLEVA)和慢性(PLC)亚型,它们具有重叠的临床和组织病理学特征。标准的治疗方式包括口服抗生素、光疗和免疫抑制剂。Dupilumab是一种被批准用于特应性皮炎的IL-4Rα拮抗剂,已被用于各种炎症性皮肤状况。然而,它在PLC管理中的作用仍然缺乏文档记录。病例介绍:我们报告一例PLC成功治疗杜匹单抗。患者有白癜风病史,既往接受过单苯酮脱色治疗。由于担心潜在的色素变化,dupilumab开始时的负荷剂量为600 mg,随后是300 mg,每两周服用一次。治疗3个月后,PLC病变和瘙痒明显改善,仅残留红斑斑块。出乎意料的是,自发皮肤色素沉着发生,与先前报道的使用杜匹单抗后白癜风加重形成对比。患者恢复单苯酮治疗,未出现PLC复发或瘙痒加重。结论:该病例强调了dupilumab作为PLC有效治疗的潜力,以及它在促进既往白癜风患者皮肤色素沉着方面的可能作用。这些发现表明2型炎症与PLC发病机制之间存在潜在联系,值得进一步研究。Dupilumab可能是难治性PLC的一种有前景的治疗选择。
本文章由计算机程序翻译,如有差异,请以英文原文为准。

Dupilumab's Successful Journey in Pityriasis Lichenoides Chronica Followed by the Intriguing Reemergence of Vitiligo after Monobenzone Depigmentation: A Case Report.

Dupilumab's Successful Journey in Pityriasis Lichenoides Chronica Followed by the Intriguing Reemergence of Vitiligo after Monobenzone Depigmentation: A Case Report.

Dupilumab's Successful Journey in Pityriasis Lichenoides Chronica Followed by the Intriguing Reemergence of Vitiligo after Monobenzone Depigmentation: A Case Report.

Dupilumab's Successful Journey in Pityriasis Lichenoides Chronica Followed by the Intriguing Reemergence of Vitiligo after Monobenzone Depigmentation: A Case Report.

Introduction: Pityriasis lichenoides (PL) is an inflammatory skin disorder encompassing both acute (PLEVA) and chronic (PLC) subtypes, which share overlapping clinical and histopathological features. Standard treatment modalities include oral antibiotics, phototherapy, and immunosuppressive agents. Dupilumab, an IL-4Rα antagonist approved for atopic dermatitis, has been used off-label for various inflammatory skin conditions. However, its role in PLC management remains poorly documented.

Case presentation: We report a case of PLC successfully treated with dupilumab. The patient had a history of vitiligo and had previously undergone monobenzone depigmentation therapy. Due to concerns regarding potential pigmentary changes, dupilumab was initiated with a loading dose of 600 mg, followed by 300 mg biweekly. After 3 months of therapy, there was significant improvement in PLC lesions and pruritus, with only residual erythematous plaques. Unexpectedly, spontaneous skin repigmentation occurred, contrasting with previous reports of vitiligo exacerbation following dupilumab use. The patient resumed monobenzone therapy without experiencing PLC recurrence or worsening pruritus.

Conclusion: This case highlights dupilumab's potential as an effective treatment for PLC and its possible role in promoting skin repigmentation in a patient with prior vitiligo. These findings suggest a potential link between type 2 inflammation and PLC pathogenesis, warranting further investigation. Dupilumab may represent a promising therapeutic alternative for refractory PLC.

求助全文
通过发布文献求助,成功后即可免费获取论文全文。 去求助
来源期刊
CiteScore
1.60
自引率
0.00%
发文量
57
审稿时长
9 weeks
×
引用
GB/T 7714-2015
复制
MLA
复制
APA
复制
导出至
BibTeX EndNote RefMan NoteFirst NoteExpress
×
提示
您的信息不完整,为了账户安全,请先补充。
现在去补充
×
提示
您因"违规操作"
具体请查看互助需知
我知道了
×
提示
确定
请完成安全验证×
copy
已复制链接
快去分享给好友吧!
我知道了
右上角分享
点击右上角分享
0
联系我们:info@booksci.cn Book学术提供免费学术资源搜索服务,方便国内外学者检索中英文文献。致力于提供最便捷和优质的服务体验。 Copyright © 2023 布克学术 All rights reserved.
京ICP备2023020795号-1
ghs 京公网安备 11010802042870号
Book学术文献互助
Book学术文献互助群
群 号:604180095
Book学术官方微信