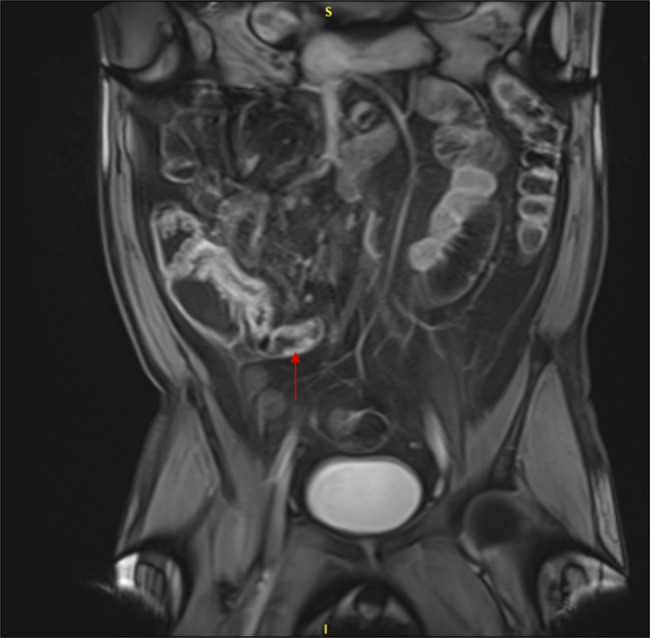
肉芽肿病合并多血管炎的新诊断表现为口腔溃疡、回肠炎和便血。

IF 0.5 Q4 GASTROENTEROLOGY & HEPATOLOGY
ACG Case Reports Journal Pub Date : 2025-06-25 eCollection Date: 2025-06-01 DOI:10.14309/crj.0000000000001746
Stacey Rolak, Michael M Pham, Dora M Lam-Himlin, Mashal J Batheja
{"title":"肉芽肿病合并多血管炎的新诊断表现为口腔溃疡、回肠炎和便血。","authors":"Stacey Rolak, Michael M Pham, Dora M Lam-Himlin, Mashal J Batheja","doi":"10.14309/crj.0000000000001746","DOIUrl":null,"url":null,"abstract":"<p><p>Granulomatosis with polyangiitis (GPA) is a rare small vessel vasculitis that commonly presents with multiorgan involvement of the upper airways, lungs, and kidneys. We report a 55 year-old-man who presented with painful oral ulcers, diffuse joint pain, epistaxis, and intermittent maroon bowel movements. Infectious evaluation was unremarkable. Rheumatologic evaluation demonstrated elevated c-anti-neutrophil cytoplasmic antibody and proteinase 3 antibodies. Colonoscopy with terminal ileum biopsies demonstrated angiocentric inflammatory findings supportive of a diagnosis of GPA. This case was unusual in its presentation with predominately oral manifestations. A diagnosis of GPA should remain on the differential for patients with gastrointestinal bleeding, and these systemic symptoms require a high level of suspicion to lead to timely diagnosis.</p>","PeriodicalId":7394,"journal":{"name":"ACG Case Reports Journal","volume":"12 6","pages":"e01746"},"PeriodicalIF":0.5000,"publicationDate":"2025-06-25","publicationTypes":"Journal Article","fieldsOfStudy":null,"isOpenAccess":false,"openAccessPdf":"https://www.ncbi.nlm.nih.gov/pmc/articles/PMC12189967/pdf/","citationCount":"0","resultStr":"{\"title\":\"New Diagnosis of Granulomatosis With Polyangiitis Presenting With Oral Ulcerations, Ileitis, and Hematochezia.\",\"authors\":\"Stacey Rolak, Michael M Pham, Dora M Lam-Himlin, Mashal J Batheja\",\"doi\":\"10.14309/crj.0000000000001746\",\"DOIUrl\":null,\"url\":null,\"abstract\":\"<p><p>Granulomatosis with polyangiitis (GPA) is a rare small vessel vasculitis that commonly presents with multiorgan involvement of the upper airways, lungs, and kidneys. We report a 55 year-old-man who presented with painful oral ulcers, diffuse joint pain, epistaxis, and intermittent maroon bowel movements. Infectious evaluation was unremarkable. Rheumatologic evaluation demonstrated elevated c-anti-neutrophil cytoplasmic antibody and proteinase 3 antibodies. Colonoscopy with terminal ileum biopsies demonstrated angiocentric inflammatory findings supportive of a diagnosis of GPA. This case was unusual in its presentation with predominately oral manifestations. A diagnosis of GPA should remain on the differential for patients with gastrointestinal bleeding, and these systemic symptoms require a high level of suspicion to lead to timely diagnosis.</p>\",\"PeriodicalId\":7394,\"journal\":{\"name\":\"ACG Case Reports Journal\",\"volume\":\"12 6\",\"pages\":\"e01746\"},\"PeriodicalIF\":0.5000,\"publicationDate\":\"2025-06-25\",\"publicationTypes\":\"Journal Article\",\"fieldsOfStudy\":null,\"isOpenAccess\":false,\"openAccessPdf\":\"https://www.ncbi.nlm.nih.gov/pmc/articles/PMC12189967/pdf/\",\"citationCount\":\"0\",\"resultStr\":null,\"platform\":\"Semanticscholar\",\"paperid\":null,\"PeriodicalName\":\"ACG Case Reports Journal\",\"FirstCategoryId\":\"1085\",\"ListUrlMain\":\"https://doi.org/10.14309/crj.0000000000001746\",\"RegionNum\":0,\"RegionCategory\":null,\"ArticlePicture\":[],\"TitleCN\":null,\"AbstractTextCN\":null,\"PMCID\":null,\"EPubDate\":\"2025/6/1 0:00:00\",\"PubModel\":\"eCollection\",\"JCR\":\"Q4\",\"JCRName\":\"GASTROENTEROLOGY & HEPATOLOGY\",\"Score\":null,\"Total\":0}","platform":"Semanticscholar","paperid":null,"PeriodicalName":"ACG Case Reports Journal","FirstCategoryId":"1085","ListUrlMain":"https://doi.org/10.14309/crj.0000000000001746","RegionNum":0,"RegionCategory":null,"ArticlePicture":[],"TitleCN":null,"AbstractTextCN":null,"PMCID":null,"EPubDate":"2025/6/1 0:00:00","PubModel":"eCollection","JCR":"Q4","JCRName":"GASTROENTEROLOGY & HEPATOLOGY","Score":null,"Total":0}
引用次数: 0

摘要

肉芽肿病合并多血管炎(GPA)是一种罕见的小血管炎,通常表现为多器官累及上呼吸道、肺和肾脏。我们报告一位55岁的男性,他表现为口腔溃疡疼痛,弥漫性关节疼痛,鼻出血和间歇性的栗色大便。传染性评价无显著差异。风湿病学评估显示c-抗中性粒细胞细胞质抗体和蛋白酶3抗体升高。结肠镜检查与回肠末端活检显示血管中心炎性发现支持GPA的诊断。本病例的临床表现不同寻常,以口腔表现为主。对于胃肠道出血的患者,GPA的诊断仍然需要鉴别,这些全身性症状需要高度的怀疑才能及时诊断。
本文章由计算机程序翻译,如有差异,请以英文原文为准。

New Diagnosis of Granulomatosis With Polyangiitis Presenting With Oral Ulcerations, Ileitis, and Hematochezia.

New Diagnosis of Granulomatosis With Polyangiitis Presenting With Oral Ulcerations, Ileitis, and Hematochezia.

New Diagnosis of Granulomatosis With Polyangiitis Presenting With Oral Ulcerations, Ileitis, and Hematochezia.

New Diagnosis of Granulomatosis With Polyangiitis Presenting With Oral Ulcerations, Ileitis, and Hematochezia.

Granulomatosis with polyangiitis (GPA) is a rare small vessel vasculitis that commonly presents with multiorgan involvement of the upper airways, lungs, and kidneys. We report a 55 year-old-man who presented with painful oral ulcers, diffuse joint pain, epistaxis, and intermittent maroon bowel movements. Infectious evaluation was unremarkable. Rheumatologic evaluation demonstrated elevated c-anti-neutrophil cytoplasmic antibody and proteinase 3 antibodies. Colonoscopy with terminal ileum biopsies demonstrated angiocentric inflammatory findings supportive of a diagnosis of GPA. This case was unusual in its presentation with predominately oral manifestations. A diagnosis of GPA should remain on the differential for patients with gastrointestinal bleeding, and these systemic symptoms require a high level of suspicion to lead to timely diagnosis.

求助全文
通过发布文献求助,成功后即可免费获取论文全文。 去求助
来源期刊
ACG Case Reports Journal
ACG Case Reports Journal GASTROENTEROLOGY & HEPATOLOGY-
自引率
14.30%
发文量
170
审稿时长
12 weeks
期刊介绍: ACG Case Reports Journal is a peer-reviewed, open-access publication that provides GI and hepatology fellows, private practice clinicians, and other healthcare providers an opportunity to share interesting case reports with their peers and with leaders in the field. ACG Case Reports Journal publishes case reports, images, videos and letters to the editor in all topics of gastroenterology and hepatology, including: Biliary Colon Endoscopy Esophagus Functional Bowel Disorders Inflammatory Bowel Disease Liver Nutrition and Obesity Pancreas Pathology Pediatric Small Bowel Stomach.
×
引用
GB/T 7714-2015
复制
MLA
复制
APA
复制
导出至
BibTeX EndNote RefMan NoteFirst NoteExpress
×
提示
您的信息不完整,为了账户安全,请先补充。
现在去补充
×
提示
您因"违规操作"
具体请查看互助需知
我知道了
×
提示
确定
请完成安全验证×
copy
已复制链接
快去分享给好友吧!
我知道了
右上角分享
点击右上角分享
0
联系我们:info@booksci.cn Book学术提供免费学术资源搜索服务,方便国内外学者检索中英文文献。致力于提供最便捷和优质的服务体验。 Copyright © 2023 布克学术 All rights reserved.
京ICP备2023020795号-1
ghs 京公网安备 11010802042870号
Book学术文献互助
Book学术文献互助群
群 号:604180095
Book学术官方微信