食道肥大犬食道念珠菌病2例报告

IF 2.2 2区 农林科学 Q1 VETERINARY SCIENCES
Katie L. Anderson, Karen M. Tefft
{"title":"食道肥大犬食道念珠菌病2例报告","authors":"Katie L. Anderson,&nbsp;Karen M. Tefft","doi":"10.1111/jvim.70184","DOIUrl":null,"url":null,"abstract":"<p>Esophageal candidiasis is the most common cause of infectious esophagitis in human patients, but to date, this disease has not been reported in companion animals. A 16-month-old male intact King Shepherd dog and a 2-year-old female spayed German Shepherd dog were presented for evaluation of chronic regurgitation with diffuse megaesophagus identified on thoracic radiographs. In both cases, esophagoscopy disclosed diffuse, white fungal plaques, and brush cytology showed severe esophagitis with numerous yeast structures. Fungal cultures in both cases were positive for <i>Candida albicans</i>. The dogs were treated with fluconazole, which led to improvement or resolution of esophageal candidiasis. Esophagoscopy to evaluate for candidiasis should be considered in dogs with megaesophagus that either fail to improve on medical management or suffer an exacerbation of previously controlled signs.</p>","PeriodicalId":49958,"journal":{"name":"Journal of Veterinary Internal Medicine","volume":"39 4","pages":""},"PeriodicalIF":2.2000,"publicationDate":"2025-06-26","publicationTypes":"Journal Article","fieldsOfStudy":null,"isOpenAccess":false,"openAccessPdf":"https://onlinelibrary.wiley.com/doi/epdf/10.1111/jvim.70184","citationCount":"0","resultStr":"{\"title\":\"Esophageal Candidiasis in Two Dogs With Megaesophagus: A Case Report\",\"authors\":\"Katie L. Anderson,&nbsp;Karen M. Tefft\",\"doi\":\"10.1111/jvim.70184\",\"DOIUrl\":null,\"url\":null,\"abstract\":\"<p>Esophageal candidiasis is the most common cause of infectious esophagitis in human patients, but to date, this disease has not been reported in companion animals. A 16-month-old male intact King Shepherd dog and a 2-year-old female spayed German Shepherd dog were presented for evaluation of chronic regurgitation with diffuse megaesophagus identified on thoracic radiographs. In both cases, esophagoscopy disclosed diffuse, white fungal plaques, and brush cytology showed severe esophagitis with numerous yeast structures. Fungal cultures in both cases were positive for <i>Candida albicans</i>. The dogs were treated with fluconazole, which led to improvement or resolution of esophageal candidiasis. Esophagoscopy to evaluate for candidiasis should be considered in dogs with megaesophagus that either fail to improve on medical management or suffer an exacerbation of previously controlled signs.</p>\",\"PeriodicalId\":49958,\"journal\":{\"name\":\"Journal of Veterinary Internal Medicine\",\"volume\":\"39 4\",\"pages\":\"\"},\"PeriodicalIF\":2.2000,\"publicationDate\":\"2025-06-26\",\"publicationTypes\":\"Journal Article\",\"fieldsOfStudy\":null,\"isOpenAccess\":false,\"openAccessPdf\":\"https://onlinelibrary.wiley.com/doi/epdf/10.1111/jvim.70184\",\"citationCount\":\"0\",\"resultStr\":null,\"platform\":\"Semanticscholar\",\"paperid\":null,\"PeriodicalName\":\"Journal of Veterinary Internal Medicine\",\"FirstCategoryId\":\"97\",\"ListUrlMain\":\"https://onlinelibrary.wiley.com/doi/10.1111/jvim.70184\",\"RegionNum\":2,\"RegionCategory\":\"农林科学\",\"ArticlePicture\":[],\"TitleCN\":null,\"AbstractTextCN\":null,\"PMCID\":null,\"EPubDate\":\"\",\"PubModel\":\"\",\"JCR\":\"Q1\",\"JCRName\":\"VETERINARY SCIENCES\",\"Score\":null,\"Total\":0}","platform":"Semanticscholar","paperid":null,"PeriodicalName":"Journal of Veterinary Internal Medicine","FirstCategoryId":"97","ListUrlMain":"https://onlinelibrary.wiley.com/doi/10.1111/jvim.70184","RegionNum":2,"RegionCategory":"农林科学","ArticlePicture":[],"TitleCN":null,"AbstractTextCN":null,"PMCID":null,"EPubDate":"","PubModel":"","JCR":"Q1","JCRName":"VETERINARY SCIENCES","Score":null,"Total":0}
引用次数: 0

摘要

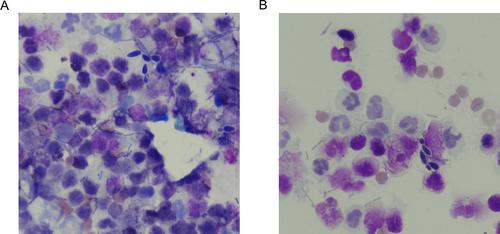
食道念珠菌病是人类患者感染性食管炎的最常见原因,但迄今为止,还没有在伴侣动物中报道这种疾病。我们介绍了一只16个月大的完整的雄性国王牧羊犬和一只2岁大的雌性阉割的德国牧羊犬,对胸片上发现的弥漫性食管肥大的慢性反流进行了评估。在这两个病例中,食管镜检查显示弥漫性白色真菌斑块,刷细胞学检查显示严重的食管炎伴大量酵母结构。两例真菌培养均呈白色念珠菌阳性。经氟康唑治疗后,食道念珠菌病得到改善或消退。食管镜检查对念珠菌病的评估应考虑在患有食管肥大的狗,要么无法改善医疗管理,要么遭受先前控制的症状恶化。
本文章由计算机程序翻译,如有差异,请以英文原文为准。

Esophageal Candidiasis in Two Dogs With Megaesophagus: A Case Report

Esophageal Candidiasis in Two Dogs With Megaesophagus: A Case Report

Esophageal candidiasis is the most common cause of infectious esophagitis in human patients, but to date, this disease has not been reported in companion animals. A 16-month-old male intact King Shepherd dog and a 2-year-old female spayed German Shepherd dog were presented for evaluation of chronic regurgitation with diffuse megaesophagus identified on thoracic radiographs. In both cases, esophagoscopy disclosed diffuse, white fungal plaques, and brush cytology showed severe esophagitis with numerous yeast structures. Fungal cultures in both cases were positive for Candida albicans. The dogs were treated with fluconazole, which led to improvement or resolution of esophageal candidiasis. Esophagoscopy to evaluate for candidiasis should be considered in dogs with megaesophagus that either fail to improve on medical management or suffer an exacerbation of previously controlled signs.

求助全文
通过发布文献求助,成功后即可免费获取论文全文。 去求助
来源期刊
CiteScore
4.50
自引率
11.50%
发文量
243
审稿时长
22 weeks
期刊介绍: The mission of the Journal of Veterinary Internal Medicine is to advance veterinary medical knowledge and improve the lives of animals by publication of authoritative scientific articles of animal diseases.
×
引用
GB/T 7714-2015
复制
MLA
复制
APA
复制
导出至
BibTeX EndNote RefMan NoteFirst NoteExpress
×
提示
您的信息不完整,为了账户安全,请先补充。
现在去补充
×
提示
您因"违规操作"
具体请查看互助需知
我知道了
×
提示
确定
请完成安全验证×
copy
已复制链接
快去分享给好友吧!
我知道了
右上角分享
点击右上角分享
0
联系我们:info@booksci.cn Book学术提供免费学术资源搜索服务,方便国内外学者检索中英文文献。致力于提供最便捷和优质的服务体验。 Copyright © 2023 布克学术 All rights reserved.
京ICP备2023020795号-1
ghs 京公网安备 11010802042870号
Book学术文献互助
Book学术文献互助群
群 号:604180095
Book学术官方微信