微创复位手术成功与微钻孔儿童患者颅骨凹陷性骨折:1例报告。

IF 0.2
Journal of Trauma and Injury Pub Date : 2025-09-01 Epub Date: 2025-06-25 DOI:10.20408/jti.2025.0015
Seung Han Yu, Hyuk Jin Choi, Byung Chul Kim, Mahn Jeong Ha
{"title":"微创复位手术成功与微钻孔儿童患者颅骨凹陷性骨折:1例报告。","authors":"Seung Han Yu, Hyuk Jin Choi, Byung Chul Kim, Mahn Jeong Ha","doi":"10.20408/jti.2025.0015","DOIUrl":null,"url":null,"abstract":"<p><p>A 5-year-old female pediatric patient with head trauma was transferred to our regional trauma center. A depressed skull fracture measuring 45 mm in diameter and 6 mm in depth was diagnosed using a 3-dimensional (3D) computed tomography (CT) scan. Despite the absence of significant neurological symptoms, the extent of the depression necessitated surgical intervention on the third day of hospitalization. Using a 2 mm micro burr, two holes were drilled at strategically selected points of the fracture identified by 3D CT. Adson blunt dissecting hooks were inserted through the burr holes to elevate and reduce the fracture. Postoperative CT scans, including a follow-up scan on the 36th day, demonstrated stable reduction. The minimally invasive technique applied for pediatric depressed skull fracture reduction may significantly reduce pain, shorten recovery time, and decrease hospitalization duration, yielding favorable outcomes.</p>","PeriodicalId":52698,"journal":{"name":"Journal of Trauma and Injury","volume":" ","pages":"307-311"},"PeriodicalIF":0.2000,"publicationDate":"2025-09-01","publicationTypes":"Journal Article","fieldsOfStudy":null,"isOpenAccess":false,"openAccessPdf":"https://www.ncbi.nlm.nih.gov/pmc/articles/PMC12489151/pdf/","citationCount":"0","resultStr":"{\"title\":\"Successful minimally invasive reduction surgery with a micro burr hole in a pediatric patient with depressed skull fracture: a case report.\",\"authors\":\"Seung Han Yu, Hyuk Jin Choi, Byung Chul Kim, Mahn Jeong Ha\",\"doi\":\"10.20408/jti.2025.0015\",\"DOIUrl\":null,\"url\":null,\"abstract\":\"<p><p>A 5-year-old female pediatric patient with head trauma was transferred to our regional trauma center. A depressed skull fracture measuring 45 mm in diameter and 6 mm in depth was diagnosed using a 3-dimensional (3D) computed tomography (CT) scan. Despite the absence of significant neurological symptoms, the extent of the depression necessitated surgical intervention on the third day of hospitalization. Using a 2 mm micro burr, two holes were drilled at strategically selected points of the fracture identified by 3D CT. Adson blunt dissecting hooks were inserted through the burr holes to elevate and reduce the fracture. Postoperative CT scans, including a follow-up scan on the 36th day, demonstrated stable reduction. The minimally invasive technique applied for pediatric depressed skull fracture reduction may significantly reduce pain, shorten recovery time, and decrease hospitalization duration, yielding favorable outcomes.</p>\",\"PeriodicalId\":52698,\"journal\":{\"name\":\"Journal of Trauma and Injury\",\"volume\":\" \",\"pages\":\"307-311\"},\"PeriodicalIF\":0.2000,\"publicationDate\":\"2025-09-01\",\"publicationTypes\":\"Journal Article\",\"fieldsOfStudy\":null,\"isOpenAccess\":false,\"openAccessPdf\":\"https://www.ncbi.nlm.nih.gov/pmc/articles/PMC12489151/pdf/\",\"citationCount\":\"0\",\"resultStr\":null,\"platform\":\"Semanticscholar\",\"paperid\":null,\"PeriodicalName\":\"Journal of Trauma and Injury\",\"FirstCategoryId\":\"1085\",\"ListUrlMain\":\"https://doi.org/10.20408/jti.2025.0015\",\"RegionNum\":0,\"RegionCategory\":null,\"ArticlePicture\":[],\"TitleCN\":null,\"AbstractTextCN\":null,\"PMCID\":null,\"EPubDate\":\"2025/6/25 0:00:00\",\"PubModel\":\"Epub\",\"JCR\":\"\",\"JCRName\":\"\",\"Score\":null,\"Total\":0}","platform":"Semanticscholar","paperid":null,"PeriodicalName":"Journal of Trauma and Injury","FirstCategoryId":"1085","ListUrlMain":"https://doi.org/10.20408/jti.2025.0015","RegionNum":0,"RegionCategory":null,"ArticlePicture":[],"TitleCN":null,"AbstractTextCN":null,"PMCID":null,"EPubDate":"2025/6/25 0:00:00","PubModel":"Epub","JCR":"","JCRName":"","Score":null,"Total":0}
引用次数: 0

摘要

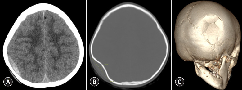
一名头部外伤的5岁女儿科患者被转移到我们的区域创伤中心。使用三维(3D)计算机断层扫描(CT)诊断为直径45 mm,深度6 mm的凹陷性颅骨骨折。尽管没有明显的神经系统症状,但抑郁症的程度需要在住院第三天进行手术干预。使用2mm的微毛刺,在3D CT识别的有策略地选择的裂缝点上钻两个孔。通过钻孔插入Adson钝性解剖钩以提升和复位骨折。术后CT扫描,包括第36天的随访扫描,显示稳定复位。微创技术应用于小儿凹陷性颅骨骨折复位,可显著减轻疼痛,缩短恢复时间,缩短住院时间,效果良好。
本文章由计算机程序翻译,如有差异,请以英文原文为准。

Successful minimally invasive reduction surgery with a micro burr hole in a pediatric patient with depressed skull fracture: a case report.

Successful minimally invasive reduction surgery with a micro burr hole in a pediatric patient with depressed skull fracture: a case report.

Successful minimally invasive reduction surgery with a micro burr hole in a pediatric patient with depressed skull fracture: a case report.

Successful minimally invasive reduction surgery with a micro burr hole in a pediatric patient with depressed skull fracture: a case report.

A 5-year-old female pediatric patient with head trauma was transferred to our regional trauma center. A depressed skull fracture measuring 45 mm in diameter and 6 mm in depth was diagnosed using a 3-dimensional (3D) computed tomography (CT) scan. Despite the absence of significant neurological symptoms, the extent of the depression necessitated surgical intervention on the third day of hospitalization. Using a 2 mm micro burr, two holes were drilled at strategically selected points of the fracture identified by 3D CT. Adson blunt dissecting hooks were inserted through the burr holes to elevate and reduce the fracture. Postoperative CT scans, including a follow-up scan on the 36th day, demonstrated stable reduction. The minimally invasive technique applied for pediatric depressed skull fracture reduction may significantly reduce pain, shorten recovery time, and decrease hospitalization duration, yielding favorable outcomes.

求助全文
通过发布文献求助,成功后即可免费获取论文全文。 去求助
来源期刊
自引率
0.00%
发文量
58
审稿时长
11 weeks
×
引用
GB/T 7714-2015
复制
MLA
复制
APA
复制
导出至
BibTeX EndNote RefMan NoteFirst NoteExpress
×
提示
您的信息不完整,为了账户安全,请先补充。
现在去补充
×
提示
您因"违规操作"
具体请查看互助需知
我知道了
×
提示
确定
请完成安全验证×
copy
已复制链接
快去分享给好友吧!
我知道了
右上角分享
点击右上角分享
0
联系我们:info@booksci.cn Book学术提供免费学术资源搜索服务,方便国内外学者检索中英文文献。致力于提供最便捷和优质的服务体验。 Copyright © 2023 布克学术 All rights reserved.
京ICP备2023020795号-1
ghs 京公网安备 11010802042870号
Book学术文献互助
Book学术文献互助群
群 号:604180095
Book学术官方微信