经Kocher-Langenbeck入路髋臼后腹膜后出血伴血流动力学不稳定的抢救手术腹膜前盆腔填充物一例报告

IF 0.2
Journal of Trauma and Injury Pub Date : 2025-09-01 Epub Date: 2025-06-25 DOI:10.20408/jti.2024.0087
Doo-Hun Kim, Maru Kim, Dae-Sang Lee, Tae Hwa Hong, Hangjoo Cho
{"title":"经Kocher-Langenbeck入路髋臼后腹膜后出血伴血流动力学不稳定的抢救手术腹膜前盆腔填充物一例报告","authors":"Doo-Hun Kim, Maru Kim, Dae-Sang Lee, Tae Hwa Hong, Hangjoo Cho","doi":"10.20408/jti.2024.0087","DOIUrl":null,"url":null,"abstract":"<p><p>Pelvic fractures result from high-energy trauma, and when accompanied by hemorrhagic shock, the mortality rate increases to 40%. Pelvic fractures are anatomically categorized as pelvic ring disruptions and acetabular fractures, each requiring different treatment methods and approaches. Acetabular fractures, which also result from high-energy injuries, may be accompanied by hemorrhagic shock. Treatment options for pelvic fractures with hemorrhagic shock include angioembolization, preperitoneal pelvic packing (PPP), and emergency laparotomy. In hemodynamically stable patients, early total care may be attempted, and for acetabular fractures (posterior column), the Kocher-Langenbeck approach is the treatment of choice. This case report describes the use of PPP as a salvage operation for postoperative retroperitoneal bleeding with hemodynamic instability following a Kocher-Langenbeck approach for an acetabular fracture with pelvic ring injury. The patient was discharged without postoperative complications such as bone displacement or surgical site infection. While PPP is commonly employed as an initial treatment modality for pelvic fractures with hemorrhagic shock, it may also be valuable in managing postoperative retroperitoneal bleeding with hemorrhagic shock.</p>","PeriodicalId":52698,"journal":{"name":"Journal of Trauma and Injury","volume":" ","pages":"285-289"},"PeriodicalIF":0.2000,"publicationDate":"2025-09-01","publicationTypes":"Journal Article","fieldsOfStudy":null,"isOpenAccess":false,"openAccessPdf":"https://www.ncbi.nlm.nih.gov/pmc/articles/PMC12489146/pdf/","citationCount":"0","resultStr":"{\"title\":\"Preperitoneal pelvic packing as a salvage operation for postoperative retroperitoneal bleeding with hemodynamic instability after the Kocher-Langenbeck approach to the acetabulum: a case report.\",\"authors\":\"Doo-Hun Kim, Maru Kim, Dae-Sang Lee, Tae Hwa Hong, Hangjoo Cho\",\"doi\":\"10.20408/jti.2024.0087\",\"DOIUrl\":null,\"url\":null,\"abstract\":\"<p><p>Pelvic fractures result from high-energy trauma, and when accompanied by hemorrhagic shock, the mortality rate increases to 40%. Pelvic fractures are anatomically categorized as pelvic ring disruptions and acetabular fractures, each requiring different treatment methods and approaches. Acetabular fractures, which also result from high-energy injuries, may be accompanied by hemorrhagic shock. Treatment options for pelvic fractures with hemorrhagic shock include angioembolization, preperitoneal pelvic packing (PPP), and emergency laparotomy. In hemodynamically stable patients, early total care may be attempted, and for acetabular fractures (posterior column), the Kocher-Langenbeck approach is the treatment of choice. This case report describes the use of PPP as a salvage operation for postoperative retroperitoneal bleeding with hemodynamic instability following a Kocher-Langenbeck approach for an acetabular fracture with pelvic ring injury. The patient was discharged without postoperative complications such as bone displacement or surgical site infection. While PPP is commonly employed as an initial treatment modality for pelvic fractures with hemorrhagic shock, it may also be valuable in managing postoperative retroperitoneal bleeding with hemorrhagic shock.</p>\",\"PeriodicalId\":52698,\"journal\":{\"name\":\"Journal of Trauma and Injury\",\"volume\":\" \",\"pages\":\"285-289\"},\"PeriodicalIF\":0.2000,\"publicationDate\":\"2025-09-01\",\"publicationTypes\":\"Journal Article\",\"fieldsOfStudy\":null,\"isOpenAccess\":false,\"openAccessPdf\":\"https://www.ncbi.nlm.nih.gov/pmc/articles/PMC12489146/pdf/\",\"citationCount\":\"0\",\"resultStr\":null,\"platform\":\"Semanticscholar\",\"paperid\":null,\"PeriodicalName\":\"Journal of Trauma and Injury\",\"FirstCategoryId\":\"1085\",\"ListUrlMain\":\"https://doi.org/10.20408/jti.2024.0087\",\"RegionNum\":0,\"RegionCategory\":null,\"ArticlePicture\":[],\"TitleCN\":null,\"AbstractTextCN\":null,\"PMCID\":null,\"EPubDate\":\"2025/6/25 0:00:00\",\"PubModel\":\"Epub\",\"JCR\":\"\",\"JCRName\":\"\",\"Score\":null,\"Total\":0}","platform":"Semanticscholar","paperid":null,"PeriodicalName":"Journal of Trauma and Injury","FirstCategoryId":"1085","ListUrlMain":"https://doi.org/10.20408/jti.2024.0087","RegionNum":0,"RegionCategory":null,"ArticlePicture":[],"TitleCN":null,"AbstractTextCN":null,"PMCID":null,"EPubDate":"2025/6/25 0:00:00","PubModel":"Epub","JCR":"","JCRName":"","Score":null,"Total":0}
引用次数: 0

摘要

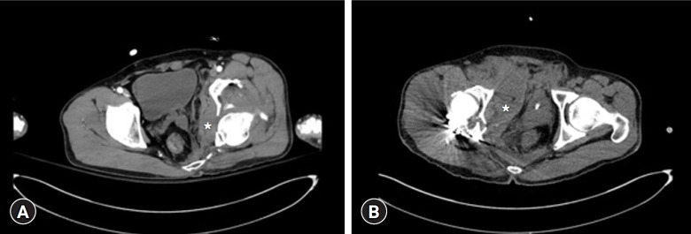
骨盆骨折是由高能创伤引起的,当伴有失血性休克时,死亡率增加到40%。骨盆骨折在解剖学上分为骨盆环断裂和髋臼骨折,每种骨折需要不同的治疗方法和入路。髋臼骨折也可由高能损伤引起,并可伴有失血性休克。盆腔骨折合并失血性休克的治疗选择包括血管栓塞、腹膜前盆腔填充物(PPP)和紧急剖腹手术。对于血流动力学稳定的患者,可以尝试早期全面护理,对于髋臼骨折(后柱),Kocher-Langenbeck入路是治疗的选择。本病例报告描述了在Kocher-Langenbeck入路治疗髋臼骨折伴骨盆环损伤的术后腹膜后出血伴血流动力学不稳定的抢救手术中使用PPP。患者出院时无骨移位或手术部位感染等术后并发症。虽然PPP通常被用作盆腔骨折并失血性休克的初始治疗方式,但它在治疗术后腹膜后出血并失血性休克方面也可能有价值。
本文章由计算机程序翻译,如有差异,请以英文原文为准。

Preperitoneal pelvic packing as a salvage operation for postoperative retroperitoneal bleeding with hemodynamic instability after the Kocher-Langenbeck approach to the acetabulum: a case report.

Preperitoneal pelvic packing as a salvage operation for postoperative retroperitoneal bleeding with hemodynamic instability after the Kocher-Langenbeck approach to the acetabulum: a case report.

Preperitoneal pelvic packing as a salvage operation for postoperative retroperitoneal bleeding with hemodynamic instability after the Kocher-Langenbeck approach to the acetabulum: a case report.

Preperitoneal pelvic packing as a salvage operation for postoperative retroperitoneal bleeding with hemodynamic instability after the Kocher-Langenbeck approach to the acetabulum: a case report.

Pelvic fractures result from high-energy trauma, and when accompanied by hemorrhagic shock, the mortality rate increases to 40%. Pelvic fractures are anatomically categorized as pelvic ring disruptions and acetabular fractures, each requiring different treatment methods and approaches. Acetabular fractures, which also result from high-energy injuries, may be accompanied by hemorrhagic shock. Treatment options for pelvic fractures with hemorrhagic shock include angioembolization, preperitoneal pelvic packing (PPP), and emergency laparotomy. In hemodynamically stable patients, early total care may be attempted, and for acetabular fractures (posterior column), the Kocher-Langenbeck approach is the treatment of choice. This case report describes the use of PPP as a salvage operation for postoperative retroperitoneal bleeding with hemodynamic instability following a Kocher-Langenbeck approach for an acetabular fracture with pelvic ring injury. The patient was discharged without postoperative complications such as bone displacement or surgical site infection. While PPP is commonly employed as an initial treatment modality for pelvic fractures with hemorrhagic shock, it may also be valuable in managing postoperative retroperitoneal bleeding with hemorrhagic shock.

求助全文
通过发布文献求助,成功后即可免费获取论文全文。 去求助
来源期刊
自引率
0.00%
发文量
58
审稿时长
11 weeks
×
引用
GB/T 7714-2015
复制
MLA
复制
APA
复制
导出至
BibTeX EndNote RefMan NoteFirst NoteExpress
×
提示
您的信息不完整,为了账户安全,请先补充。
现在去补充
×
提示
您因"违规操作"
具体请查看互助需知
我知道了
×
提示
确定
请完成安全验证×
copy
已复制链接
快去分享给好友吧!
我知道了
右上角分享
点击右上角分享
0
联系我们:info@booksci.cn Book学术提供免费学术资源搜索服务,方便国内外学者检索中英文文献。致力于提供最便捷和优质的服务体验。 Copyright © 2023 布克学术 All rights reserved.
京ICP备2023020795号-1
ghs 京公网安备 11010802042870号
Book学术文献互助
Book学术文献互助群
群 号:604180095
Book学术官方微信