精液和精子中的电泳蛋白谱:巴厘牛和和牛的比较研究。

IF 1 Q3 VETERINARY SCIENCES
Open Veterinary Journal Pub Date : 2025-05-01 Epub Date: 2025-05-31 DOI:10.5455/OVJ.2025.v15.i5.18
Tulus Maulana, Panca Andes Hendrawan, Sutikno Sutikno, Pajri Anwar, Mokhamad Fakhrul Ulum, Rudy Priyanto, Jakaria Jakaria
{"title":"精液和精子中的电泳蛋白谱:巴厘牛和和牛的比较研究。","authors":"Tulus Maulana, Panca Andes Hendrawan, Sutikno Sutikno, Pajri Anwar, Mokhamad Fakhrul Ulum, Rudy Priyanto, Jakaria Jakaria","doi":"10.5455/OVJ.2025.v15.i5.18","DOIUrl":null,"url":null,"abstract":"<p><strong>Background: </strong>Seminal plasma and sperm play vital roles in fertility because they contain various proteins that influence sperm quality and function.</p><p><strong>Aim: </strong>This study aimed to compare the protein profiles of seminal plasma and sperm in Bali and Wagyu cattle and evaluate their correlation with fresh semen quality.</p><p><strong>Methods: </strong>The study was conducted at the Singosari National Artificial Insemination Center using 3 Bali and 3 Wagyu superior bulls aged 5-12 years. Sperm motility parameters were analyzed using computer-assisted sperm analysis (IVOS-Hamilton). Sperm were extracted using the PRO-PREPTM Protein Extraction Solution. Sperm and seminal plasma protein concentrations were measured using the BCA protein assay, and 1D SDS-PAGE was used to analyze protein profiles. The gels were stained with Coomassie Brilliant Blue to visualize protein bands.</p><p><strong>Results: </strong>Comparative analysis of semen characteristics, motility parameters, and kinematic parameters between Wagyu and Bali bulls revealed no significant differences. The seminal plasma protein concentrations in Bali bulls and Wagyu did not show a statistically significant difference. The sperm protein concentration in Bali bulls was significantly higher compared to Wagyu. Seminal plasma analysis of Bali bulls showed a diverse protein profile and Wagyu semen plasma had fewer bands, reflecting breed-specific differences. In contrast, sperm analysis of Bali bulls and Wagyu consistently showed heavy protein bands on sperm function and viability.</p><p><strong>Conclusion: </strong>Bali bulls showed greater variation in spermatozoa protein than Wagyu, with protein differences at molecular weights of 60-63 kDa, 35 kDa, and 18-20 kDa. In addition, a positive correlation was found between the number of motile spermatozoa and the number of straws per ejaculate.</p>","PeriodicalId":19531,"journal":{"name":"Open Veterinary Journal","volume":"15 5","pages":"2021-2029"},"PeriodicalIF":1.0000,"publicationDate":"2025-05-01","publicationTypes":"Journal Article","fieldsOfStudy":null,"isOpenAccess":false,"openAccessPdf":"https://www.ncbi.nlm.nih.gov/pmc/articles/PMC12184453/pdf/","citationCount":"0","resultStr":"{\"title\":\"Electrophoretic protein profiles in seminal plasma and sperm: a comparative study of Bali and Wagyu Bulls.\",\"authors\":\"Tulus Maulana, Panca Andes Hendrawan, Sutikno Sutikno, Pajri Anwar, Mokhamad Fakhrul Ulum, Rudy Priyanto, Jakaria Jakaria\",\"doi\":\"10.5455/OVJ.2025.v15.i5.18\",\"DOIUrl\":null,\"url\":null,\"abstract\":\"<p><strong>Background: </strong>Seminal plasma and sperm play vital roles in fertility because they contain various proteins that influence sperm quality and function.</p><p><strong>Aim: </strong>This study aimed to compare the protein profiles of seminal plasma and sperm in Bali and Wagyu cattle and evaluate their correlation with fresh semen quality.</p><p><strong>Methods: </strong>The study was conducted at the Singosari National Artificial Insemination Center using 3 Bali and 3 Wagyu superior bulls aged 5-12 years. Sperm motility parameters were analyzed using computer-assisted sperm analysis (IVOS-Hamilton). Sperm were extracted using the PRO-PREPTM Protein Extraction Solution. Sperm and seminal plasma protein concentrations were measured using the BCA protein assay, and 1D SDS-PAGE was used to analyze protein profiles. The gels were stained with Coomassie Brilliant Blue to visualize protein bands.</p><p><strong>Results: </strong>Comparative analysis of semen characteristics, motility parameters, and kinematic parameters between Wagyu and Bali bulls revealed no significant differences. The seminal plasma protein concentrations in Bali bulls and Wagyu did not show a statistically significant difference. The sperm protein concentration in Bali bulls was significantly higher compared to Wagyu. Seminal plasma analysis of Bali bulls showed a diverse protein profile and Wagyu semen plasma had fewer bands, reflecting breed-specific differences. In contrast, sperm analysis of Bali bulls and Wagyu consistently showed heavy protein bands on sperm function and viability.</p><p><strong>Conclusion: </strong>Bali bulls showed greater variation in spermatozoa protein than Wagyu, with protein differences at molecular weights of 60-63 kDa, 35 kDa, and 18-20 kDa. In addition, a positive correlation was found between the number of motile spermatozoa and the number of straws per ejaculate.</p>\",\"PeriodicalId\":19531,\"journal\":{\"name\":\"Open Veterinary Journal\",\"volume\":\"15 5\",\"pages\":\"2021-2029\"},\"PeriodicalIF\":1.0000,\"publicationDate\":\"2025-05-01\",\"publicationTypes\":\"Journal Article\",\"fieldsOfStudy\":null,\"isOpenAccess\":false,\"openAccessPdf\":\"https://www.ncbi.nlm.nih.gov/pmc/articles/PMC12184453/pdf/\",\"citationCount\":\"0\",\"resultStr\":null,\"platform\":\"Semanticscholar\",\"paperid\":null,\"PeriodicalName\":\"Open Veterinary Journal\",\"FirstCategoryId\":\"1085\",\"ListUrlMain\":\"https://doi.org/10.5455/OVJ.2025.v15.i5.18\",\"RegionNum\":0,\"RegionCategory\":null,\"ArticlePicture\":[],\"TitleCN\":null,\"AbstractTextCN\":null,\"PMCID\":null,\"EPubDate\":\"2025/5/31 0:00:00\",\"PubModel\":\"Epub\",\"JCR\":\"Q3\",\"JCRName\":\"VETERINARY SCIENCES\",\"Score\":null,\"Total\":0}","platform":"Semanticscholar","paperid":null,"PeriodicalName":"Open Veterinary Journal","FirstCategoryId":"1085","ListUrlMain":"https://doi.org/10.5455/OVJ.2025.v15.i5.18","RegionNum":0,"RegionCategory":null,"ArticlePicture":[],"TitleCN":null,"AbstractTextCN":null,"PMCID":null,"EPubDate":"2025/5/31 0:00:00","PubModel":"Epub","JCR":"Q3","JCRName":"VETERINARY SCIENCES","Score":null,"Total":0}
引用次数: 0

摘要

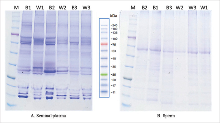
背景:精浆和精子在生育中起着至关重要的作用,因为它们含有各种影响精子质量和功能的蛋白质。目的:比较巴厘牛和和牛精浆和精子蛋白谱,探讨其与新鲜精液质量的关系。方法:选取3头5 ~ 12岁的巴厘公牛和3头和牛,在新加坡新戈萨里国家人工授精中心进行研究。使用计算机辅助精子分析(IVOS-Hamilton)分析精子运动参数。使用PRO-PREPTM蛋白提取液提取精子。采用BCA蛋白法测定精子和精浆蛋白浓度,采用1D SDS-PAGE分析蛋白谱。用考马斯亮蓝染色以观察蛋白质条带。结果:对比分析和牛和巴厘公牛的精液特征、运动参数和运动学参数,发现两者之间无显著差异。巴厘公牛和和牛的精浆蛋白含量差异无统计学意义。巴厘公牛的精子蛋白含量显著高于和牛。巴厘公牛精浆蛋白谱分析显示,巴厘公牛精浆蛋白谱分布多样,而和牛精浆蛋白谱带较少,反映了品种特异性差异。相比之下,巴厘公牛和和牛的精子分析一致显示出精子功能和活力的重蛋白带。结论:巴厘公牛的精子蛋白差异大于和牛,分子量分别为60 ~ 63 kDa、35 kDa和18 ~ 20 kDa。此外,运动精子数与每次射精吸管数呈正相关。
本文章由计算机程序翻译,如有差异,请以英文原文为准。

Electrophoretic protein profiles in seminal plasma and sperm: a comparative study of Bali and Wagyu Bulls.

Electrophoretic protein profiles in seminal plasma and sperm: a comparative study of Bali and Wagyu Bulls.

Electrophoretic protein profiles in seminal plasma and sperm: a comparative study of Bali and Wagyu Bulls.

Electrophoretic protein profiles in seminal plasma and sperm: a comparative study of Bali and Wagyu Bulls.

Background: Seminal plasma and sperm play vital roles in fertility because they contain various proteins that influence sperm quality and function.

Aim: This study aimed to compare the protein profiles of seminal plasma and sperm in Bali and Wagyu cattle and evaluate their correlation with fresh semen quality.

Methods: The study was conducted at the Singosari National Artificial Insemination Center using 3 Bali and 3 Wagyu superior bulls aged 5-12 years. Sperm motility parameters were analyzed using computer-assisted sperm analysis (IVOS-Hamilton). Sperm were extracted using the PRO-PREPTM Protein Extraction Solution. Sperm and seminal plasma protein concentrations were measured using the BCA protein assay, and 1D SDS-PAGE was used to analyze protein profiles. The gels were stained with Coomassie Brilliant Blue to visualize protein bands.

Results: Comparative analysis of semen characteristics, motility parameters, and kinematic parameters between Wagyu and Bali bulls revealed no significant differences. The seminal plasma protein concentrations in Bali bulls and Wagyu did not show a statistically significant difference. The sperm protein concentration in Bali bulls was significantly higher compared to Wagyu. Seminal plasma analysis of Bali bulls showed a diverse protein profile and Wagyu semen plasma had fewer bands, reflecting breed-specific differences. In contrast, sperm analysis of Bali bulls and Wagyu consistently showed heavy protein bands on sperm function and viability.

Conclusion: Bali bulls showed greater variation in spermatozoa protein than Wagyu, with protein differences at molecular weights of 60-63 kDa, 35 kDa, and 18-20 kDa. In addition, a positive correlation was found between the number of motile spermatozoa and the number of straws per ejaculate.

求助全文
通过发布文献求助,成功后即可免费获取论文全文。 去求助
来源期刊
Open Veterinary Journal
Open Veterinary Journal VETERINARY SCIENCES-
CiteScore
1.40
自引率
0.00%
发文量
112
审稿时长
12 weeks
期刊介绍: Open Veterinary Journal is a peer-reviewed international open access online and printed journal that publishes high-quality original research articles. reviews, short communications and case reports dedicated to all aspects of veterinary sciences and its related subjects. Research areas include the following: Infectious diseases of zoonotic/food-borne importance, applied biochemistry, parasitology, endocrinology, microbiology, immunology, pathology, pharmacology, physiology, epidemiology, molecular biology, immunogenetics, surgery, ophthalmology, dermatology, oncology and animal reproduction. All papers are peer-reviewed. Moreover, with the presence of well-qualified group of international referees, the process of publication will be done meticulously and to the highest standards.
×
引用
GB/T 7714-2015
复制
MLA
复制
APA
复制
导出至
BibTeX EndNote RefMan NoteFirst NoteExpress
×
提示
您的信息不完整,为了账户安全,请先补充。
现在去补充
×
提示
您因"违规操作"
具体请查看互助需知
我知道了
×
提示
确定
请完成安全验证×
copy
已复制链接
快去分享给好友吧!
我知道了
右上角分享
点击右上角分享
0
联系我们:info@booksci.cn Book学术提供免费学术资源搜索服务,方便国内外学者检索中英文文献。致力于提供最便捷和优质的服务体验。 Copyright © 2023 布克学术 All rights reserved.
京ICP备2023020795号-1
ghs 京公网安备 11010802042870号
Book学术文献互助
Book学术文献互助群
群 号:604180095
Book学术官方微信