腹膜心包疝成形术治疗2个月大的西施犬。

IF 1 Q3 VETERINARY SCIENCES
Open Veterinary Journal Pub Date : 2025-05-01 Epub Date: 2025-05-31 DOI:10.5455/OVJ.2025.v15.i5.43
Rafaela Rodrigues Ribeiro, Guilherme Pinheiro Santos, Marco Augusto Machado Silva, Cindy Stefhani Dos Santos Silva, Tayanne Gobbi Mendes, Rauane Sousa de Moura, Iago Martins Oliveira
{"title":"腹膜心包疝成形术治疗2个月大的西施犬。","authors":"Rafaela Rodrigues Ribeiro, Guilherme Pinheiro Santos, Marco Augusto Machado Silva, Cindy Stefhani Dos Santos Silva, Tayanne Gobbi Mendes, Rauane Sousa de Moura, Iago Martins Oliveira","doi":"10.5455/OVJ.2025.v15.i5.43","DOIUrl":null,"url":null,"abstract":"<p><strong>Background: </strong>Peritoneopericardial hernias (PPHs) are congenital malformations characterized by continuity defects between the diaphragm and the peritoneum that allow the transposition of abdominal organs into the thoracic cavity. These malformations can lead to clinical, gastroenterological, and respiratory problems, such as vomiting, dyspnea, and tachypnea. They can be congenital, and patients develop clinical signs at a young age or can be diagnosed as incidental when no complications occur. Furthermore, other malformations, such as cryptorchidism and cardiac interventricular communication, can present with congenital HPP.</p><p><strong>Case description: </strong>This article reports a case of PPH in association with a ventricular septal defect (VSD) in a pediatric canine patient. The dog, a female Shih Tzu, aged 2 months, presented with cyanosis, low weight, decreased body condition score (3/9), and underdevelopment in comparison with other puppies of the same litter. At physical examination, all parameters were within the normal range; however, there was a sound at the base of the heart during auscultation, and echocardiographic examination displayed VSD. Due to the dyspnea, thoracic radiography was performed, and the suspicion of PPH was confirmed. Peritoneopericardial hernioplasty surgery was indicated for a 2-month-old patient. During the surgical procedure, it was not necessary to enter the thoracic cavity in order to close the defect, and suture surgery was performed through the abdominal cavity accessed in the subxiphoidal region. Despite the high risks associated with the procedure, no intraoperative or anesthetic complications occurred.</p><p><strong>Conclusion: </strong>The hernioplasty procedure was considered successful, and the patient's development and body condition score improvement, with the surgical procedure resolving all signs of respiratory distress.</p>","PeriodicalId":19531,"journal":{"name":"Open Veterinary Journal","volume":"15 5","pages":"2259-2264"},"PeriodicalIF":1.0000,"publicationDate":"2025-05-01","publicationTypes":"Journal Article","fieldsOfStudy":null,"isOpenAccess":false,"openAccessPdf":"https://www.ncbi.nlm.nih.gov/pmc/articles/PMC12184471/pdf/","citationCount":"0","resultStr":"{\"title\":\"Peritoneo pericardial hernioplasty in a 2-month-old Shih Tzu.\",\"authors\":\"Rafaela Rodrigues Ribeiro, Guilherme Pinheiro Santos, Marco Augusto Machado Silva, Cindy Stefhani Dos Santos Silva, Tayanne Gobbi Mendes, Rauane Sousa de Moura, Iago Martins Oliveira\",\"doi\":\"10.5455/OVJ.2025.v15.i5.43\",\"DOIUrl\":null,\"url\":null,\"abstract\":\"<p><strong>Background: </strong>Peritoneopericardial hernias (PPHs) are congenital malformations characterized by continuity defects between the diaphragm and the peritoneum that allow the transposition of abdominal organs into the thoracic cavity. These malformations can lead to clinical, gastroenterological, and respiratory problems, such as vomiting, dyspnea, and tachypnea. They can be congenital, and patients develop clinical signs at a young age or can be diagnosed as incidental when no complications occur. Furthermore, other malformations, such as cryptorchidism and cardiac interventricular communication, can present with congenital HPP.</p><p><strong>Case description: </strong>This article reports a case of PPH in association with a ventricular septal defect (VSD) in a pediatric canine patient. The dog, a female Shih Tzu, aged 2 months, presented with cyanosis, low weight, decreased body condition score (3/9), and underdevelopment in comparison with other puppies of the same litter. At physical examination, all parameters were within the normal range; however, there was a sound at the base of the heart during auscultation, and echocardiographic examination displayed VSD. Due to the dyspnea, thoracic radiography was performed, and the suspicion of PPH was confirmed. Peritoneopericardial hernioplasty surgery was indicated for a 2-month-old patient. During the surgical procedure, it was not necessary to enter the thoracic cavity in order to close the defect, and suture surgery was performed through the abdominal cavity accessed in the subxiphoidal region. Despite the high risks associated with the procedure, no intraoperative or anesthetic complications occurred.</p><p><strong>Conclusion: </strong>The hernioplasty procedure was considered successful, and the patient's development and body condition score improvement, with the surgical procedure resolving all signs of respiratory distress.</p>\",\"PeriodicalId\":19531,\"journal\":{\"name\":\"Open Veterinary Journal\",\"volume\":\"15 5\",\"pages\":\"2259-2264\"},\"PeriodicalIF\":1.0000,\"publicationDate\":\"2025-05-01\",\"publicationTypes\":\"Journal Article\",\"fieldsOfStudy\":null,\"isOpenAccess\":false,\"openAccessPdf\":\"https://www.ncbi.nlm.nih.gov/pmc/articles/PMC12184471/pdf/\",\"citationCount\":\"0\",\"resultStr\":null,\"platform\":\"Semanticscholar\",\"paperid\":null,\"PeriodicalName\":\"Open Veterinary Journal\",\"FirstCategoryId\":\"1085\",\"ListUrlMain\":\"https://doi.org/10.5455/OVJ.2025.v15.i5.43\",\"RegionNum\":0,\"RegionCategory\":null,\"ArticlePicture\":[],\"TitleCN\":null,\"AbstractTextCN\":null,\"PMCID\":null,\"EPubDate\":\"2025/5/31 0:00:00\",\"PubModel\":\"Epub\",\"JCR\":\"Q3\",\"JCRName\":\"VETERINARY SCIENCES\",\"Score\":null,\"Total\":0}","platform":"Semanticscholar","paperid":null,"PeriodicalName":"Open Veterinary Journal","FirstCategoryId":"1085","ListUrlMain":"https://doi.org/10.5455/OVJ.2025.v15.i5.43","RegionNum":0,"RegionCategory":null,"ArticlePicture":[],"TitleCN":null,"AbstractTextCN":null,"PMCID":null,"EPubDate":"2025/5/31 0:00:00","PubModel":"Epub","JCR":"Q3","JCRName":"VETERINARY SCIENCES","Score":null,"Total":0}
引用次数: 0

摘要

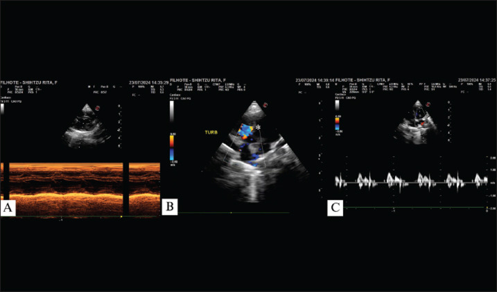
背景:腹膜心包疝(PPHs)是一种先天性畸形,其特征是横膈膜和腹膜之间的连续性缺陷,导致腹部器官转位进入胸腔。这些畸形可导致临床、胃肠病学和呼吸问题,如呕吐、呼吸困难和呼吸急促。它们可以是先天性的,患者在年轻时出现临床症状,也可以在没有并发症发生时被诊断为偶然。此外,其他畸形,如隐睾和心脏室间通讯,也可能出现先天性HPP。病例描述:这篇文章报告了一例PPH与室间隔缺损(VSD)相关的儿科犬患者。该犬为雌性西施犬,2个月大,与同窝其他幼犬相比,表现为发绀,体重低,身体状况评分下降(3/9),发育不全。体检时各项参数均在正常范围内;然而,听诊时心底有音,超声心动图检查显示室间隔缺损。因呼吸困难,行胸片检查,怀疑为PPH。腹膜心包疝成形术适用于一个2个月大的病人。在手术过程中,不需要进入胸腔闭合缺损,通过剑突下区进入腹腔进行缝合手术。尽管手术风险较高,但未发生术中或麻醉并发症。结论:疝修补术是成功的,患者的发育和身体状况评分得到改善,手术消除了所有呼吸窘迫的迹象。
本文章由计算机程序翻译,如有差异,请以英文原文为准。

Peritoneo pericardial hernioplasty in a 2-month-old Shih Tzu.

Peritoneo pericardial hernioplasty in a 2-month-old Shih Tzu.

Peritoneo pericardial hernioplasty in a 2-month-old Shih Tzu.

Peritoneo pericardial hernioplasty in a 2-month-old Shih Tzu.

Background: Peritoneopericardial hernias (PPHs) are congenital malformations characterized by continuity defects between the diaphragm and the peritoneum that allow the transposition of abdominal organs into the thoracic cavity. These malformations can lead to clinical, gastroenterological, and respiratory problems, such as vomiting, dyspnea, and tachypnea. They can be congenital, and patients develop clinical signs at a young age or can be diagnosed as incidental when no complications occur. Furthermore, other malformations, such as cryptorchidism and cardiac interventricular communication, can present with congenital HPP.

Case description: This article reports a case of PPH in association with a ventricular septal defect (VSD) in a pediatric canine patient. The dog, a female Shih Tzu, aged 2 months, presented with cyanosis, low weight, decreased body condition score (3/9), and underdevelopment in comparison with other puppies of the same litter. At physical examination, all parameters were within the normal range; however, there was a sound at the base of the heart during auscultation, and echocardiographic examination displayed VSD. Due to the dyspnea, thoracic radiography was performed, and the suspicion of PPH was confirmed. Peritoneopericardial hernioplasty surgery was indicated for a 2-month-old patient. During the surgical procedure, it was not necessary to enter the thoracic cavity in order to close the defect, and suture surgery was performed through the abdominal cavity accessed in the subxiphoidal region. Despite the high risks associated with the procedure, no intraoperative or anesthetic complications occurred.

Conclusion: The hernioplasty procedure was considered successful, and the patient's development and body condition score improvement, with the surgical procedure resolving all signs of respiratory distress.

求助全文
通过发布文献求助,成功后即可免费获取论文全文。 去求助
来源期刊
Open Veterinary Journal
Open Veterinary Journal VETERINARY SCIENCES-
CiteScore
1.40
自引率
0.00%
发文量
112
审稿时长
12 weeks
期刊介绍: Open Veterinary Journal is a peer-reviewed international open access online and printed journal that publishes high-quality original research articles. reviews, short communications and case reports dedicated to all aspects of veterinary sciences and its related subjects. Research areas include the following: Infectious diseases of zoonotic/food-borne importance, applied biochemistry, parasitology, endocrinology, microbiology, immunology, pathology, pharmacology, physiology, epidemiology, molecular biology, immunogenetics, surgery, ophthalmology, dermatology, oncology and animal reproduction. All papers are peer-reviewed. Moreover, with the presence of well-qualified group of international referees, the process of publication will be done meticulously and to the highest standards.
×
引用
GB/T 7714-2015
复制
MLA
复制
APA
复制
导出至
BibTeX EndNote RefMan NoteFirst NoteExpress
×
提示
您的信息不完整,为了账户安全,请先补充。
现在去补充
×
提示
您因"违规操作"
具体请查看互助需知
我知道了
×
提示
确定
请完成安全验证×
copy
已复制链接
快去分享给好友吧!
我知道了
右上角分享
点击右上角分享
0
联系我们:info@booksci.cn Book学术提供免费学术资源搜索服务,方便国内外学者检索中英文文献。致力于提供最便捷和优质的服务体验。 Copyright © 2023 布克学术 All rights reserved.
京ICP备2023020795号-1
ghs 京公网安备 11010802042870号
Book学术文献互助
Book学术文献互助群
群 号:604180095
Book学术官方微信