病例报告:两例菊池病在得克萨斯州西部与非自限性疾病。

IF 0.8 Q3 MEDICINE, GENERAL & INTERNAL
Pitchaporn Yingchoncharoen, Nattanicha Chaisrimaneepan, Miriam Paz, Alexandra Hoffman, Kuldeep Lohano, Safaa Labib, John Pixley
{"title":"病例报告:两例菊池病在得克萨斯州西部与非自限性疾病。","authors":"Pitchaporn Yingchoncharoen, Nattanicha Chaisrimaneepan, Miriam Paz, Alexandra Hoffman, Kuldeep Lohano, Safaa Labib, John Pixley","doi":"10.1177/23247096251350580","DOIUrl":null,"url":null,"abstract":"<p><p>Kikuchi-Fujimoto disease, also known as histiocytic necrotizing lymphadenitis, is characterized by high fever, lymph node swelling, and leukopenia. It is usually a benign self-limited disease. However, there are reports that it can be associated with other conditions, including infectious and noninfectious processes, autoimmune diseases such as systemic lupus erythematosus (SLE), or even life-threatening conditions like macrophage activation syndrome (MAS). Here, we report 2 cases of Kikuchi disease with non-self-limited disease in West Texas. The first case involves a 13-year-old Hispanic female who presented with prolonged fever for 8 weeks, cervical lymphadenopathy, and malaise. A year later, she was diagnosed with SLE. The second case is a 36-year-old Hispanic female who presented with prolonged fever and cervical, supraclavicular, axillary lymphadenopathy, and pancytopenia. She then developed MAS or hemophagocytic lymphohistiocytosis.</p>","PeriodicalId":16198,"journal":{"name":"Journal of investigative medicine high impact case reports","volume":"13 ","pages":"23247096251350580"},"PeriodicalIF":0.8000,"publicationDate":"2025-01-01","publicationTypes":"Journal Article","fieldsOfStudy":null,"isOpenAccess":false,"openAccessPdf":"https://www.ncbi.nlm.nih.gov/pmc/articles/PMC12198531/pdf/","citationCount":"0","resultStr":"{\"title\":\"Case Report: Two Cases of Kikuchi Disease in West Texas With Non-Self-Limited Disease.\",\"authors\":\"Pitchaporn Yingchoncharoen, Nattanicha Chaisrimaneepan, Miriam Paz, Alexandra Hoffman, Kuldeep Lohano, Safaa Labib, John Pixley\",\"doi\":\"10.1177/23247096251350580\",\"DOIUrl\":null,\"url\":null,\"abstract\":\"<p><p>Kikuchi-Fujimoto disease, also known as histiocytic necrotizing lymphadenitis, is characterized by high fever, lymph node swelling, and leukopenia. It is usually a benign self-limited disease. However, there are reports that it can be associated with other conditions, including infectious and noninfectious processes, autoimmune diseases such as systemic lupus erythematosus (SLE), or even life-threatening conditions like macrophage activation syndrome (MAS). Here, we report 2 cases of Kikuchi disease with non-self-limited disease in West Texas. The first case involves a 13-year-old Hispanic female who presented with prolonged fever for 8 weeks, cervical lymphadenopathy, and malaise. A year later, she was diagnosed with SLE. The second case is a 36-year-old Hispanic female who presented with prolonged fever and cervical, supraclavicular, axillary lymphadenopathy, and pancytopenia. She then developed MAS or hemophagocytic lymphohistiocytosis.</p>\",\"PeriodicalId\":16198,\"journal\":{\"name\":\"Journal of investigative medicine high impact case reports\",\"volume\":\"13 \",\"pages\":\"23247096251350580\"},\"PeriodicalIF\":0.8000,\"publicationDate\":\"2025-01-01\",\"publicationTypes\":\"Journal Article\",\"fieldsOfStudy\":null,\"isOpenAccess\":false,\"openAccessPdf\":\"https://www.ncbi.nlm.nih.gov/pmc/articles/PMC12198531/pdf/\",\"citationCount\":\"0\",\"resultStr\":null,\"platform\":\"Semanticscholar\",\"paperid\":null,\"PeriodicalName\":\"Journal of investigative medicine high impact case reports\",\"FirstCategoryId\":\"1085\",\"ListUrlMain\":\"https://doi.org/10.1177/23247096251350580\",\"RegionNum\":0,\"RegionCategory\":null,\"ArticlePicture\":[],\"TitleCN\":null,\"AbstractTextCN\":null,\"PMCID\":null,\"EPubDate\":\"2025/6/25 0:00:00\",\"PubModel\":\"Epub\",\"JCR\":\"Q3\",\"JCRName\":\"MEDICINE, GENERAL & INTERNAL\",\"Score\":null,\"Total\":0}","platform":"Semanticscholar","paperid":null,"PeriodicalName":"Journal of investigative medicine high impact case reports","FirstCategoryId":"1085","ListUrlMain":"https://doi.org/10.1177/23247096251350580","RegionNum":0,"RegionCategory":null,"ArticlePicture":[],"TitleCN":null,"AbstractTextCN":null,"PMCID":null,"EPubDate":"2025/6/25 0:00:00","PubModel":"Epub","JCR":"Q3","JCRName":"MEDICINE, GENERAL & INTERNAL","Score":null,"Total":0}
引用次数: 0

摘要

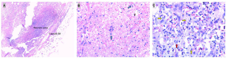
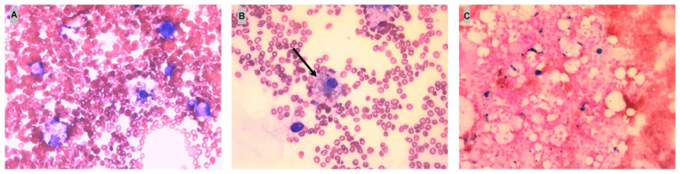
菊池-藤本病,也被称为组织细胞坏死性淋巴结炎,以高热、淋巴结肿胀和白细胞减少为特征。它通常是一种良性的自限性疾病。然而,有报道称它可能与其他疾病有关,包括感染性和非感染性疾病,自身免疫性疾病,如系统性红斑狼疮(SLE),甚至是危及生命的疾病,如巨噬细胞激活综合征(MAS)。在这里,我们报告2例菊池病与非自限性疾病在西得克萨斯州。第一个病例涉及一名13岁的西班牙裔女性,她表现为持续发烧8周,颈部淋巴结病和不适。一年后,她被诊断为SLE。第二个病例是一名36岁的西班牙裔女性,她表现为持续发热和颈椎、锁骨上、腋窝淋巴结病和全血细胞减少症。随后,她出现了噬血细胞性淋巴组织细胞病。
本文章由计算机程序翻译,如有差异,请以英文原文为准。

Case Report: Two Cases of Kikuchi Disease in West Texas With Non-Self-Limited Disease.

Case Report: Two Cases of Kikuchi Disease in West Texas With Non-Self-Limited Disease.

Case Report: Two Cases of Kikuchi Disease in West Texas With Non-Self-Limited Disease.

Case Report: Two Cases of Kikuchi Disease in West Texas With Non-Self-Limited Disease.

Kikuchi-Fujimoto disease, also known as histiocytic necrotizing lymphadenitis, is characterized by high fever, lymph node swelling, and leukopenia. It is usually a benign self-limited disease. However, there are reports that it can be associated with other conditions, including infectious and noninfectious processes, autoimmune diseases such as systemic lupus erythematosus (SLE), or even life-threatening conditions like macrophage activation syndrome (MAS). Here, we report 2 cases of Kikuchi disease with non-self-limited disease in West Texas. The first case involves a 13-year-old Hispanic female who presented with prolonged fever for 8 weeks, cervical lymphadenopathy, and malaise. A year later, she was diagnosed with SLE. The second case is a 36-year-old Hispanic female who presented with prolonged fever and cervical, supraclavicular, axillary lymphadenopathy, and pancytopenia. She then developed MAS or hemophagocytic lymphohistiocytosis.

求助全文
通过发布文献求助,成功后即可免费获取论文全文。 去求助
来源期刊
CiteScore
1.90
自引率
0.00%
发文量
165
审稿时长
12 weeks
期刊介绍: The AFMR is committed to enhancing the training and career development of our members and to furthering its mission to facilitate the conduct of research to improve medical care. Case reports represent an important avenue for trainees (interns, residents, and fellows) and early-stage faculty to demonstrate productive, scholarly activity.
×
引用
GB/T 7714-2015
复制
MLA
复制
APA
复制
导出至
BibTeX EndNote RefMan NoteFirst NoteExpress
×
提示
您的信息不完整,为了账户安全,请先补充。
现在去补充
×
提示
您因"违规操作"
具体请查看互助需知
我知道了
×
提示
确定
请完成安全验证×
copy
已复制链接
快去分享给好友吧!
我知道了
右上角分享
点击右上角分享
0
联系我们:info@booksci.cn Book学术提供免费学术资源搜索服务,方便国内外学者检索中英文文献。致力于提供最便捷和优质的服务体验。 Copyright © 2023 布克学术 All rights reserved.
京ICP备2023020795号-1
ghs 京公网安备 11010802042870号
Book学术文献互助
Book学术文献互助群
群 号:604180095
Book学术官方微信