应用核医学肝-脾扫描评价脾滨海细胞血管瘤1例。

IF 0.8 Q3 MEDICINE, GENERAL & INTERNAL
Aren Dermarderosian, Raffi Boghossian, Derek Tai, Javid Sadjadi, Mojtaba Akhtari
{"title":"应用核医学肝-脾扫描评价脾滨海细胞血管瘤1例。","authors":"Aren Dermarderosian, Raffi Boghossian, Derek Tai, Javid Sadjadi, Mojtaba Akhtari","doi":"10.1177/23247096251350571","DOIUrl":null,"url":null,"abstract":"<p><p>Littoral cell angioma (LCA) is a rare primary splenic vascular neoplasm originating from the littoral cells of the reticuloendothelial system. Splenectomy is the accepted mode of definitive diagnosis and treatment. With fewer than 200 reported cases, LCA remains poorly understood. Herein, we provide an enhanced insight into its histology and highlight the role of nuclear imaging in aiding LCA diagnosis. A 63-year-old female with a history of stage II multiple myeloma (MM) and rheumatoid arthritis was incidentally found to have a slowly enlarging splenic mass over a 6-year period. Given her candidacy for autologous hematopoietic stem cell transplantation for MM, further evaluation of the splenic lesion was pursued using nuclear medicine (NM) liver-spleen scan, which revealed a photopenic region consistent with a benign hemorrhagic mass. Subsequent splenectomy and histopathological analysis confirmed the diagnosis of LCA, with immunohistochemistry demonstrating CD68+ and CD31+ expression, highlighting LCA's unique dual histiocytic and endothelial character. This case highlights the diagnostic challenge posed by LCA due to its nonspecific clinical presentation and imaging findings. While splenectomy remains the gold standard for diagnosis, our findings suggest that NM liver-spleen scan imaging may aid in differentiating LCA from malignant splenic masses preoperatively. Furthermore, this case reinforces the association between LCA and hematologic malignancies, supporting the hypothesis that immune dysregulation may play a role in its pathogenesis. This underscores the importance of considering LCA in the differential diagnosis of splenic masses, particularly in cases involving a history of malignancy and/or immune system abnormalities.</p>","PeriodicalId":16198,"journal":{"name":"Journal of investigative medicine high impact case reports","volume":"13 ","pages":"23247096251350571"},"PeriodicalIF":0.8000,"publicationDate":"2025-01-01","publicationTypes":"Journal Article","fieldsOfStudy":null,"isOpenAccess":false,"openAccessPdf":"https://www.ncbi.nlm.nih.gov/pmc/articles/PMC12198526/pdf/","citationCount":"0","resultStr":"{\"title\":\"Application of Nuclear Medicine Liver-Spleen Scan for Evaluation of Littoral Cell Angioma of the Spleen: A Case Report.\",\"authors\":\"Aren Dermarderosian, Raffi Boghossian, Derek Tai, Javid Sadjadi, Mojtaba Akhtari\",\"doi\":\"10.1177/23247096251350571\",\"DOIUrl\":null,\"url\":null,\"abstract\":\"<p><p>Littoral cell angioma (LCA) is a rare primary splenic vascular neoplasm originating from the littoral cells of the reticuloendothelial system. Splenectomy is the accepted mode of definitive diagnosis and treatment. With fewer than 200 reported cases, LCA remains poorly understood. Herein, we provide an enhanced insight into its histology and highlight the role of nuclear imaging in aiding LCA diagnosis. A 63-year-old female with a history of stage II multiple myeloma (MM) and rheumatoid arthritis was incidentally found to have a slowly enlarging splenic mass over a 6-year period. Given her candidacy for autologous hematopoietic stem cell transplantation for MM, further evaluation of the splenic lesion was pursued using nuclear medicine (NM) liver-spleen scan, which revealed a photopenic region consistent with a benign hemorrhagic mass. Subsequent splenectomy and histopathological analysis confirmed the diagnosis of LCA, with immunohistochemistry demonstrating CD68+ and CD31+ expression, highlighting LCA's unique dual histiocytic and endothelial character. This case highlights the diagnostic challenge posed by LCA due to its nonspecific clinical presentation and imaging findings. While splenectomy remains the gold standard for diagnosis, our findings suggest that NM liver-spleen scan imaging may aid in differentiating LCA from malignant splenic masses preoperatively. Furthermore, this case reinforces the association between LCA and hematologic malignancies, supporting the hypothesis that immune dysregulation may play a role in its pathogenesis. This underscores the importance of considering LCA in the differential diagnosis of splenic masses, particularly in cases involving a history of malignancy and/or immune system abnormalities.</p>\",\"PeriodicalId\":16198,\"journal\":{\"name\":\"Journal of investigative medicine high impact case reports\",\"volume\":\"13 \",\"pages\":\"23247096251350571\"},\"PeriodicalIF\":0.8000,\"publicationDate\":\"2025-01-01\",\"publicationTypes\":\"Journal Article\",\"fieldsOfStudy\":null,\"isOpenAccess\":false,\"openAccessPdf\":\"https://www.ncbi.nlm.nih.gov/pmc/articles/PMC12198526/pdf/\",\"citationCount\":\"0\",\"resultStr\":null,\"platform\":\"Semanticscholar\",\"paperid\":null,\"PeriodicalName\":\"Journal of investigative medicine high impact case reports\",\"FirstCategoryId\":\"1085\",\"ListUrlMain\":\"https://doi.org/10.1177/23247096251350571\",\"RegionNum\":0,\"RegionCategory\":null,\"ArticlePicture\":[],\"TitleCN\":null,\"AbstractTextCN\":null,\"PMCID\":null,\"EPubDate\":\"2025/6/25 0:00:00\",\"PubModel\":\"Epub\",\"JCR\":\"Q3\",\"JCRName\":\"MEDICINE, GENERAL & INTERNAL\",\"Score\":null,\"Total\":0}","platform":"Semanticscholar","paperid":null,"PeriodicalName":"Journal of investigative medicine high impact case reports","FirstCategoryId":"1085","ListUrlMain":"https://doi.org/10.1177/23247096251350571","RegionNum":0,"RegionCategory":null,"ArticlePicture":[],"TitleCN":null,"AbstractTextCN":null,"PMCID":null,"EPubDate":"2025/6/25 0:00:00","PubModel":"Epub","JCR":"Q3","JCRName":"MEDICINE, GENERAL & INTERNAL","Score":null,"Total":0}
引用次数: 0

摘要

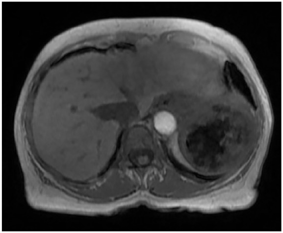
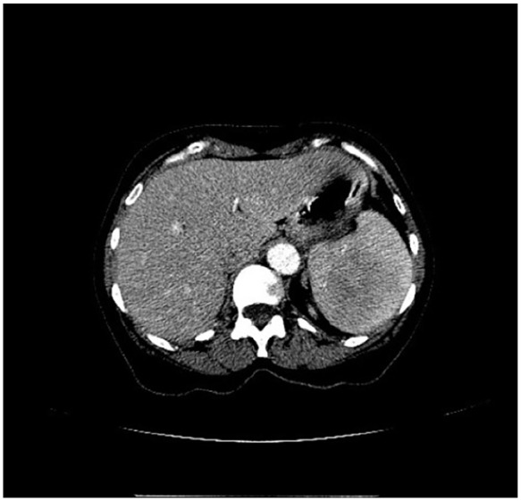
摘要滨海细胞血管瘤是一种罕见的原发性脾血管肿瘤,起源于网状内皮系统的滨海细胞。脾切除术是公认的明确诊断和治疗模式。由于报告的病例不到200例,对LCA的了解仍然很少。在此,我们提供了对其组织学的深入了解,并强调了核成像在辅助LCA诊断中的作用。63岁女性,II期多发性骨髓瘤(MM)和类风湿关节炎病史,偶然发现有一个缓慢扩大的脾脏肿块超过6年。考虑到她有资格接受自体造血干细胞移植治疗MM,我们使用核医学(NM)肝脏-脾脏扫描进一步评估脾脏病变,结果显示一个与良性出血性肿块一致的光衰区。随后的脾切除术和组织病理学分析证实了LCA的诊断,免疫组织化学显示CD68+和CD31+表达,突出了LCA独特的组织细胞和内皮双重特征。由于其非特异性的临床表现和影像学表现,本病例突出了LCA的诊断挑战。虽然脾切除术仍然是诊断的金标准,但我们的研究结果表明,NM肝脾扫描成像可能有助于术前区分LCA和恶性脾肿物。此外,该病例加强了LCA与血液恶性肿瘤之间的联系,支持了免疫失调可能在其发病机制中起作用的假设。这强调了在脾肿块鉴别诊断中考虑LCA的重要性,特别是在有恶性肿瘤和/或免疫系统异常病史的病例中。
本文章由计算机程序翻译,如有差异,请以英文原文为准。

Application of Nuclear Medicine Liver-Spleen Scan for Evaluation of Littoral Cell Angioma of the Spleen: A Case Report.

Application of Nuclear Medicine Liver-Spleen Scan for Evaluation of Littoral Cell Angioma of the Spleen: A Case Report.

Application of Nuclear Medicine Liver-Spleen Scan for Evaluation of Littoral Cell Angioma of the Spleen: A Case Report.

Application of Nuclear Medicine Liver-Spleen Scan for Evaluation of Littoral Cell Angioma of the Spleen: A Case Report.

Littoral cell angioma (LCA) is a rare primary splenic vascular neoplasm originating from the littoral cells of the reticuloendothelial system. Splenectomy is the accepted mode of definitive diagnosis and treatment. With fewer than 200 reported cases, LCA remains poorly understood. Herein, we provide an enhanced insight into its histology and highlight the role of nuclear imaging in aiding LCA diagnosis. A 63-year-old female with a history of stage II multiple myeloma (MM) and rheumatoid arthritis was incidentally found to have a slowly enlarging splenic mass over a 6-year period. Given her candidacy for autologous hematopoietic stem cell transplantation for MM, further evaluation of the splenic lesion was pursued using nuclear medicine (NM) liver-spleen scan, which revealed a photopenic region consistent with a benign hemorrhagic mass. Subsequent splenectomy and histopathological analysis confirmed the diagnosis of LCA, with immunohistochemistry demonstrating CD68+ and CD31+ expression, highlighting LCA's unique dual histiocytic and endothelial character. This case highlights the diagnostic challenge posed by LCA due to its nonspecific clinical presentation and imaging findings. While splenectomy remains the gold standard for diagnosis, our findings suggest that NM liver-spleen scan imaging may aid in differentiating LCA from malignant splenic masses preoperatively. Furthermore, this case reinforces the association between LCA and hematologic malignancies, supporting the hypothesis that immune dysregulation may play a role in its pathogenesis. This underscores the importance of considering LCA in the differential diagnosis of splenic masses, particularly in cases involving a history of malignancy and/or immune system abnormalities.

求助全文
通过发布文献求助,成功后即可免费获取论文全文。 去求助
来源期刊
CiteScore
1.90
自引率
0.00%
发文量
165
审稿时长
12 weeks
期刊介绍: The AFMR is committed to enhancing the training and career development of our members and to furthering its mission to facilitate the conduct of research to improve medical care. Case reports represent an important avenue for trainees (interns, residents, and fellows) and early-stage faculty to demonstrate productive, scholarly activity.
×
引用
GB/T 7714-2015
复制
MLA
复制
APA
复制
导出至
BibTeX EndNote RefMan NoteFirst NoteExpress
×
提示
您的信息不完整,为了账户安全,请先补充。
现在去补充
×
提示
您因"违规操作"
具体请查看互助需知
我知道了
×
提示
确定
请完成安全验证×
copy
已复制链接
快去分享给好友吧!
我知道了
右上角分享
点击右上角分享
0
联系我们:info@booksci.cn Book学术提供免费学术资源搜索服务,方便国内外学者检索中英文文献。致力于提供最便捷和优质的服务体验。 Copyright © 2023 布克学术 All rights reserved.
京ICP备2023020795号-1
ghs 京公网安备 11010802042870号
Book学术文献互助
Book学术文献互助群
群 号:604180095
Book学术官方微信