甲状腺风暴期间全身麻醉下静脉-静脉体外膜氧合进行甲状腺全切除术:1例报告。

IF 1.5 4区 医学 Q3 CARDIAC & CARDIOVASCULAR SYSTEMS
Hyung Gon Lee, Joon-Suk Bom, Leyeoin Lee, Joungmin Kim
{"title":"甲状腺风暴期间全身麻醉下静脉-静脉体外膜氧合进行甲状腺全切除术:1例报告。","authors":"Hyung Gon Lee, Joon-Suk Bom, Leyeoin Lee, Joungmin Kim","doi":"10.1186/s13019-025-03491-x","DOIUrl":null,"url":null,"abstract":"<p><strong>Background: </strong>Thyroid storm (TS) is an endocrine emergency requiring aggressive medical management. In severe cases, hemodynamic instability may necessitate extracorporeal membrane oxygenation (ECMO) support as a bridge to definitive surgical treatment. ECMO is categorized into two types: venoarterial (V-A) ECMO, which provides both cardiac and pulmonary support, and venovenous (V-V) ECMO, which supports only pulmonary function. Surgery is generally not recommended for patients with unstable TS due to the high risk of complications, even when ECMO support is in place. Here, we present a case of a 44-year-old man initially improved with V-A ECMO for TS with cardiogenic shock, but later developed refractory hypoxemia due to pulmonary thromboembolism (PTE). He subsequently underwent emergency thyroidectomy with continuous support from V-V ECMO.</p><p><strong>Case presentation: </strong>A 44-year-old man presented to our hospital with complaints of palpitations. He had a recent history of coronavirus disease of 2019 (COVID-19) infection, which may have exacerbated undiagnosed hyperthyroidism, leading to thyroid storm and cardiogenic shock (left ventricular ejection fraction [LVEF], 13%). Heart failure improved with immediate medical management and V-A ECMO for 4 days, resulting in LVEF, 30%. V-A ECMO provide both respiratory and cardiac support, allowing myocardial recovery. Although the patient's cardiac output improved, uncontrolled tachycardia persisted. Medical treatment for hyperthyroidism-associated tachycardia was continued after V-A ECMO weaning but failed to achieve adequate rate control. Ten days after weaning V-A ECMO, the patient suddenly developed pulmonary thromboembolism and hypoxia despite ongoing heparinization. To manage refractory hypoxia, V-V ECMO was initiated, as it exclusively provides respiratory support. Given that persistent TS was the underlying cause of the patient's instability, we proceeded with thyroidectomy under general anesthesia with V-V ECMO support, despite the associated risks. On postoperative day 4, the patient was successfully weaned off V-V ECMO. By postoperative day 18, he was discharged without complications, with an improved LVEF of 52.5%.</p><p><strong>Conclusions: </strong>This is the first reported case of total thyroidectomy performed while on V-V ECMO support for TS complicated by PTE. Although V-V ECMO is more susceptible to hemodynamic instability than V-A ECMO, this case demonstrates that thyroidectomy can be successfully performed with appropriate anesthesia management. Additionally, careful selection of the ECMO modality based on the patient's condition is crucial for optimal management.</p>","PeriodicalId":15201,"journal":{"name":"Journal of Cardiothoracic Surgery","volume":"20 1","pages":"273"},"PeriodicalIF":1.5000,"publicationDate":"2025-06-25","publicationTypes":"Journal Article","fieldsOfStudy":null,"isOpenAccess":false,"openAccessPdf":"https://www.ncbi.nlm.nih.gov/pmc/articles/PMC12188653/pdf/","citationCount":"0","resultStr":"{\"title\":\"Total thyroidectomy performed under general anesthesia with venovenous extracorporeal membrane oxygenation during a thyroid storm: a case report.\",\"authors\":\"Hyung Gon Lee, Joon-Suk Bom, Leyeoin Lee, Joungmin Kim\",\"doi\":\"10.1186/s13019-025-03491-x\",\"DOIUrl\":null,\"url\":null,\"abstract\":\"<p><strong>Background: </strong>Thyroid storm (TS) is an endocrine emergency requiring aggressive medical management. In severe cases, hemodynamic instability may necessitate extracorporeal membrane oxygenation (ECMO) support as a bridge to definitive surgical treatment. ECMO is categorized into two types: venoarterial (V-A) ECMO, which provides both cardiac and pulmonary support, and venovenous (V-V) ECMO, which supports only pulmonary function. Surgery is generally not recommended for patients with unstable TS due to the high risk of complications, even when ECMO support is in place. Here, we present a case of a 44-year-old man initially improved with V-A ECMO for TS with cardiogenic shock, but later developed refractory hypoxemia due to pulmonary thromboembolism (PTE). He subsequently underwent emergency thyroidectomy with continuous support from V-V ECMO.</p><p><strong>Case presentation: </strong>A 44-year-old man presented to our hospital with complaints of palpitations. He had a recent history of coronavirus disease of 2019 (COVID-19) infection, which may have exacerbated undiagnosed hyperthyroidism, leading to thyroid storm and cardiogenic shock (left ventricular ejection fraction [LVEF], 13%). Heart failure improved with immediate medical management and V-A ECMO for 4 days, resulting in LVEF, 30%. V-A ECMO provide both respiratory and cardiac support, allowing myocardial recovery. Although the patient's cardiac output improved, uncontrolled tachycardia persisted. Medical treatment for hyperthyroidism-associated tachycardia was continued after V-A ECMO weaning but failed to achieve adequate rate control. Ten days after weaning V-A ECMO, the patient suddenly developed pulmonary thromboembolism and hypoxia despite ongoing heparinization. To manage refractory hypoxia, V-V ECMO was initiated, as it exclusively provides respiratory support. Given that persistent TS was the underlying cause of the patient's instability, we proceeded with thyroidectomy under general anesthesia with V-V ECMO support, despite the associated risks. On postoperative day 4, the patient was successfully weaned off V-V ECMO. By postoperative day 18, he was discharged without complications, with an improved LVEF of 52.5%.</p><p><strong>Conclusions: </strong>This is the first reported case of total thyroidectomy performed while on V-V ECMO support for TS complicated by PTE. Although V-V ECMO is more susceptible to hemodynamic instability than V-A ECMO, this case demonstrates that thyroidectomy can be successfully performed with appropriate anesthesia management. Additionally, careful selection of the ECMO modality based on the patient's condition is crucial for optimal management.</p>\",\"PeriodicalId\":15201,\"journal\":{\"name\":\"Journal of Cardiothoracic Surgery\",\"volume\":\"20 1\",\"pages\":\"273\"},\"PeriodicalIF\":1.5000,\"publicationDate\":\"2025-06-25\",\"publicationTypes\":\"Journal Article\",\"fieldsOfStudy\":null,\"isOpenAccess\":false,\"openAccessPdf\":\"https://www.ncbi.nlm.nih.gov/pmc/articles/PMC12188653/pdf/\",\"citationCount\":\"0\",\"resultStr\":null,\"platform\":\"Semanticscholar\",\"paperid\":null,\"PeriodicalName\":\"Journal of Cardiothoracic Surgery\",\"FirstCategoryId\":\"3\",\"ListUrlMain\":\"https://doi.org/10.1186/s13019-025-03491-x\",\"RegionNum\":4,\"RegionCategory\":\"医学\",\"ArticlePicture\":[],\"TitleCN\":null,\"AbstractTextCN\":null,\"PMCID\":null,\"EPubDate\":\"\",\"PubModel\":\"\",\"JCR\":\"Q3\",\"JCRName\":\"CARDIAC & CARDIOVASCULAR SYSTEMS\",\"Score\":null,\"Total\":0}","platform":"Semanticscholar","paperid":null,"PeriodicalName":"Journal of Cardiothoracic Surgery","FirstCategoryId":"3","ListUrlMain":"https://doi.org/10.1186/s13019-025-03491-x","RegionNum":4,"RegionCategory":"医学","ArticlePicture":[],"TitleCN":null,"AbstractTextCN":null,"PMCID":null,"EPubDate":"","PubModel":"","JCR":"Q3","JCRName":"CARDIAC & CARDIOVASCULAR SYSTEMS","Score":null,"Total":0}
引用次数: 0

摘要

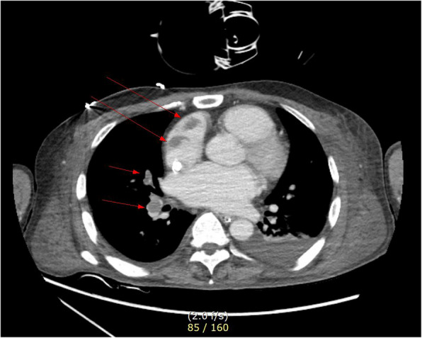
背景:甲状腺风暴(TS)是一种需要积极治疗的内分泌急症。在严重的情况下,血液动力学不稳定可能需要体外膜氧合(ECMO)支持作为最终手术治疗的桥梁。ECMO分为两种类型:静脉动脉(V-A) ECMO,它同时提供心脏和肺的支持;静脉静脉(V-V) ECMO,它只支持肺功能。由于并发症的高风险,通常不建议不稳定TS患者进行手术,即使有ECMO支持。在这里,我们报告了一个44岁的男性病例,最初通过V-A ECMO治疗心源性休克的TS,但后来由于肺血栓栓塞(PTE)而发展为难治性低氧血症。随后在V-V ECMO的持续支持下接受了紧急甲状腺切除术。病例介绍:一名44岁男性以心悸主诉来我院就诊。患者近期有2019冠状病毒病(COVID-19)感染史,可能加重了未确诊的甲状腺功能亢进,导致甲状腺风暴和心源性休克(左室射血分数[LVEF], 13%)。心衰在立即治疗和V-A ECMO 4天后得到改善,LVEF为30%。V-A ECMO提供呼吸和心脏支持,允许心肌恢复。虽然病人的心输出量有所改善,但不受控制的心动过速持续存在。对甲亢相关的心动过速的药物治疗在V-A ECMO脱机后继续进行,但未能达到适当的速率控制。停用V-A ECMO 10天后,患者突然出现肺血栓栓塞和缺氧,尽管正在进行肝素化治疗。为了治疗难治性缺氧,开始使用V-V ECMO,因为它专门提供呼吸支持。鉴于持续的TS是患者不稳定的潜在原因,尽管存在相关风险,我们仍在全身麻醉下使用V-V ECMO支持进行甲状腺切除术。术后第4天,患者成功脱离V-V ECMO。术后第18天,患者无并发症出院,LVEF改善52.5%。结论:这是首次报道的在V-V ECMO支持下对TS合并PTE进行全甲状腺切除术的病例,尽管V-V ECMO比V-A ECMO更容易发生血流动力学不稳定,但该病例表明,在适当的麻醉管理下,甲状腺切除术可以成功进行。此外,根据患者的病情仔细选择ECMO模式对于最佳管理至关重要。
本文章由计算机程序翻译,如有差异,请以英文原文为准。

Total thyroidectomy performed under general anesthesia with venovenous extracorporeal membrane oxygenation during a thyroid storm: a case report.

Total thyroidectomy performed under general anesthesia with venovenous extracorporeal membrane oxygenation during a thyroid storm: a case report.

Total thyroidectomy performed under general anesthesia with venovenous extracorporeal membrane oxygenation during a thyroid storm: a case report.

Total thyroidectomy performed under general anesthesia with venovenous extracorporeal membrane oxygenation during a thyroid storm: a case report.

Background: Thyroid storm (TS) is an endocrine emergency requiring aggressive medical management. In severe cases, hemodynamic instability may necessitate extracorporeal membrane oxygenation (ECMO) support as a bridge to definitive surgical treatment. ECMO is categorized into two types: venoarterial (V-A) ECMO, which provides both cardiac and pulmonary support, and venovenous (V-V) ECMO, which supports only pulmonary function. Surgery is generally not recommended for patients with unstable TS due to the high risk of complications, even when ECMO support is in place. Here, we present a case of a 44-year-old man initially improved with V-A ECMO for TS with cardiogenic shock, but later developed refractory hypoxemia due to pulmonary thromboembolism (PTE). He subsequently underwent emergency thyroidectomy with continuous support from V-V ECMO.

Case presentation: A 44-year-old man presented to our hospital with complaints of palpitations. He had a recent history of coronavirus disease of 2019 (COVID-19) infection, which may have exacerbated undiagnosed hyperthyroidism, leading to thyroid storm and cardiogenic shock (left ventricular ejection fraction [LVEF], 13%). Heart failure improved with immediate medical management and V-A ECMO for 4 days, resulting in LVEF, 30%. V-A ECMO provide both respiratory and cardiac support, allowing myocardial recovery. Although the patient's cardiac output improved, uncontrolled tachycardia persisted. Medical treatment for hyperthyroidism-associated tachycardia was continued after V-A ECMO weaning but failed to achieve adequate rate control. Ten days after weaning V-A ECMO, the patient suddenly developed pulmonary thromboembolism and hypoxia despite ongoing heparinization. To manage refractory hypoxia, V-V ECMO was initiated, as it exclusively provides respiratory support. Given that persistent TS was the underlying cause of the patient's instability, we proceeded with thyroidectomy under general anesthesia with V-V ECMO support, despite the associated risks. On postoperative day 4, the patient was successfully weaned off V-V ECMO. By postoperative day 18, he was discharged without complications, with an improved LVEF of 52.5%.

Conclusions: This is the first reported case of total thyroidectomy performed while on V-V ECMO support for TS complicated by PTE. Although V-V ECMO is more susceptible to hemodynamic instability than V-A ECMO, this case demonstrates that thyroidectomy can be successfully performed with appropriate anesthesia management. Additionally, careful selection of the ECMO modality based on the patient's condition is crucial for optimal management.

求助全文
通过发布文献求助,成功后即可免费获取论文全文。 去求助
来源期刊
Journal of Cardiothoracic Surgery
Journal of Cardiothoracic Surgery 医学-心血管系统
CiteScore
2.50
自引率
6.20%
发文量
286
审稿时长
4-8 weeks
期刊介绍: Journal of Cardiothoracic Surgery is an open access journal that encompasses all aspects of research in the field of Cardiology, and Cardiothoracic and Vascular Surgery. The journal publishes original scientific research documenting clinical and experimental advances in cardiac, vascular and thoracic surgery, and related fields. Topics of interest include surgical techniques, survival rates, surgical complications and their outcomes; along with basic sciences, pediatric conditions, transplantations and clinical trials. Journal of Cardiothoracic Surgery is of interest to cardiothoracic and vascular surgeons, cardiothoracic anaesthesiologists, cardiologists, chest physicians, and allied health professionals.
×
引用
GB/T 7714-2015
复制
MLA
复制
APA
复制
导出至
BibTeX EndNote RefMan NoteFirst NoteExpress
×
提示
您的信息不完整,为了账户安全,请先补充。
现在去补充
×
提示
您因"违规操作"
具体请查看互助需知
我知道了
×
提示
确定
请完成安全验证×
copy
已复制链接
快去分享给好友吧!
我知道了
右上角分享
点击右上角分享
0
联系我们:info@booksci.cn Book学术提供免费学术资源搜索服务,方便国内外学者检索中英文文献。致力于提供最便捷和优质的服务体验。 Copyright © 2023 布克学术 All rights reserved.
京ICP备2023020795号-1
ghs 京公网安备 11010802042870号
Book学术文献互助
Book学术文献互助群
群 号:604180095
Book学术官方微信