腹水中转移性胃肠道间质瘤的细胞学评估。

IF 1 4区 医学 Q4 MEDICAL LABORATORY TECHNOLOGY
Hadi Sultan, Zohre Sadeghian, Elvia Goez-Gutierrez, M. Julia Diacovo, Esther Yoon
{"title":"腹水中转移性胃肠道间质瘤的细胞学评估。","authors":"Hadi Sultan,&nbsp;Zohre Sadeghian,&nbsp;Elvia Goez-Gutierrez,&nbsp;M. Julia Diacovo,&nbsp;Esther Yoon","doi":"10.1002/dc.25499","DOIUrl":null,"url":null,"abstract":"<p>Gastrointestinal stromal tumors (GISTs) are mesenchymal neoplasms typically arising in the stomach and small intestine and rarely involving extra-gastrointestinal organs. While fine-needle aspiration (FNA) offers reliable diagnosis, exfoliation of GIST cells into body fluids is exceedingly rare and diagnostically challenging. We report a case of a 69-year-old male with metastatic GIST in ascitic fluid. The cells revealed atypical epithelioid morphology with high nuclear-to-cytoplasmic ratio and nuclear irregularities. Immunohistochemistry (IHC) demonstrated positivity for CD117 and DOG1. Diagnosis requires integration of clinical history, cytomorphology, and a broad IHC panel. Awareness of its cytologic features, application of mesenchymal markers, and molecular testing are critical for accurate diagnosis and effective clinical management.</p>","PeriodicalId":11349,"journal":{"name":"Diagnostic Cytopathology","volume":"53 9","pages":"462-465"},"PeriodicalIF":1.0000,"publicationDate":"2025-06-24","publicationTypes":"Journal Article","fieldsOfStudy":null,"isOpenAccess":false,"openAccessPdf":"https://onlinelibrary.wiley.com/doi/epdf/10.1002/dc.25499","citationCount":"0","resultStr":"{\"title\":\"Cytological Assessment of Metastatic Gastrointestinal Stromal Tumor in Ascitic Fluid\",\"authors\":\"Hadi Sultan,&nbsp;Zohre Sadeghian,&nbsp;Elvia Goez-Gutierrez,&nbsp;M. Julia Diacovo,&nbsp;Esther Yoon\",\"doi\":\"10.1002/dc.25499\",\"DOIUrl\":null,\"url\":null,\"abstract\":\"<p>Gastrointestinal stromal tumors (GISTs) are mesenchymal neoplasms typically arising in the stomach and small intestine and rarely involving extra-gastrointestinal organs. While fine-needle aspiration (FNA) offers reliable diagnosis, exfoliation of GIST cells into body fluids is exceedingly rare and diagnostically challenging. We report a case of a 69-year-old male with metastatic GIST in ascitic fluid. The cells revealed atypical epithelioid morphology with high nuclear-to-cytoplasmic ratio and nuclear irregularities. Immunohistochemistry (IHC) demonstrated positivity for CD117 and DOG1. Diagnosis requires integration of clinical history, cytomorphology, and a broad IHC panel. Awareness of its cytologic features, application of mesenchymal markers, and molecular testing are critical for accurate diagnosis and effective clinical management.</p>\",\"PeriodicalId\":11349,\"journal\":{\"name\":\"Diagnostic Cytopathology\",\"volume\":\"53 9\",\"pages\":\"462-465\"},\"PeriodicalIF\":1.0000,\"publicationDate\":\"2025-06-24\",\"publicationTypes\":\"Journal Article\",\"fieldsOfStudy\":null,\"isOpenAccess\":false,\"openAccessPdf\":\"https://onlinelibrary.wiley.com/doi/epdf/10.1002/dc.25499\",\"citationCount\":\"0\",\"resultStr\":null,\"platform\":\"Semanticscholar\",\"paperid\":null,\"PeriodicalName\":\"Diagnostic Cytopathology\",\"FirstCategoryId\":\"3\",\"ListUrlMain\":\"https://onlinelibrary.wiley.com/doi/10.1002/dc.25499\",\"RegionNum\":4,\"RegionCategory\":\"医学\",\"ArticlePicture\":[],\"TitleCN\":null,\"AbstractTextCN\":null,\"PMCID\":null,\"EPubDate\":\"\",\"PubModel\":\"\",\"JCR\":\"Q4\",\"JCRName\":\"MEDICAL LABORATORY TECHNOLOGY\",\"Score\":null,\"Total\":0}","platform":"Semanticscholar","paperid":null,"PeriodicalName":"Diagnostic Cytopathology","FirstCategoryId":"3","ListUrlMain":"https://onlinelibrary.wiley.com/doi/10.1002/dc.25499","RegionNum":4,"RegionCategory":"医学","ArticlePicture":[],"TitleCN":null,"AbstractTextCN":null,"PMCID":null,"EPubDate":"","PubModel":"","JCR":"Q4","JCRName":"MEDICAL LABORATORY TECHNOLOGY","Score":null,"Total":0}
引用次数: 0

摘要

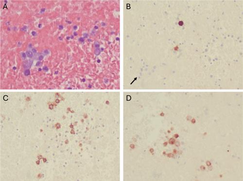
胃肠道间质瘤(gist)是一种间质肿瘤,通常发生在胃和小肠,很少累及胃肠道外器官。虽然细针穿刺(FNA)提供了可靠的诊断,但胃肠道间质瘤细胞脱落到体液中是非常罕见的,并且具有诊断挑战性。我们报告一例69岁男性转移性GIST在腹水。细胞呈非典型上皮样形态,核质比高,细胞核不规则。免疫组化(IHC)显示CD117和DOG1阳性。诊断需要综合临床病史、细胞形态学和广泛的免疫组化检查。了解其细胞学特征,应用间充质标志物和分子检测对于准确诊断和有效的临床治疗至关重要。
本文章由计算机程序翻译,如有差异,请以英文原文为准。

Cytological Assessment of Metastatic Gastrointestinal Stromal Tumor in Ascitic Fluid

Cytological Assessment of Metastatic Gastrointestinal Stromal Tumor in Ascitic Fluid

Gastrointestinal stromal tumors (GISTs) are mesenchymal neoplasms typically arising in the stomach and small intestine and rarely involving extra-gastrointestinal organs. While fine-needle aspiration (FNA) offers reliable diagnosis, exfoliation of GIST cells into body fluids is exceedingly rare and diagnostically challenging. We report a case of a 69-year-old male with metastatic GIST in ascitic fluid. The cells revealed atypical epithelioid morphology with high nuclear-to-cytoplasmic ratio and nuclear irregularities. Immunohistochemistry (IHC) demonstrated positivity for CD117 and DOG1. Diagnosis requires integration of clinical history, cytomorphology, and a broad IHC panel. Awareness of its cytologic features, application of mesenchymal markers, and molecular testing are critical for accurate diagnosis and effective clinical management.

求助全文
通过发布文献求助,成功后即可免费获取论文全文。 去求助
来源期刊
Diagnostic Cytopathology
Diagnostic Cytopathology 医学-病理学
CiteScore
2.60
自引率
7.70%
发文量
163
审稿时长
3-6 weeks
期刊介绍: Diagnostic Cytopathology is intended to provide a forum for the exchange of information in the field of cytopathology, with special emphasis on the practical, clinical aspects of the discipline. The editors invite original scientific articles, as well as special review articles, feature articles, and letters to the editor, from laboratory professionals engaged in the practice of cytopathology. Manuscripts are accepted for publication on the basis of scientific merit, practical significance, and suitability for publication in a journal dedicated to this discipline. Original articles can be considered only with the understanding that they have never been published before and that they have not been submitted for simultaneous review to another publication.
×
引用
GB/T 7714-2015
复制
MLA
复制
APA
复制
导出至
BibTeX EndNote RefMan NoteFirst NoteExpress
×
提示
您的信息不完整,为了账户安全,请先补充。
现在去补充
×
提示
您因"违规操作"
具体请查看互助需知
我知道了
×
提示
确定
请完成安全验证×
copy
已复制链接
快去分享给好友吧!
我知道了
右上角分享
点击右上角分享
0
联系我们:info@booksci.cn Book学术提供免费学术资源搜索服务,方便国内外学者检索中英文文献。致力于提供最便捷和优质的服务体验。 Copyright © 2023 布克学术 All rights reserved.
京ICP备2023020795号-1
ghs 京公网安备 11010802042870号
Book学术文献互助
Book学术文献互助群
群 号:604180095
Book学术官方微信