与黑质纹状体功能障碍相关的脑半球:透镜状核和内囊同侧梗死1例。

IF 0.9 Q4 CLINICAL NEUROLOGY
Case Reports in Neurological Medicine Pub Date : 2025-06-17 eCollection Date: 2025-01-01 DOI:10.1155/crnm/6054686
Makoto Kobayashi
{"title":"与黑质纹状体功能障碍相关的脑半球:透镜状核和内囊同侧梗死1例。","authors":"Makoto Kobayashi","doi":"10.1155/crnm/6054686","DOIUrl":null,"url":null,"abstract":"<p><p>Hemichorea is a rare manifestation of ischemic stroke whose lesion is typically located in the contralateral basal ganglia. Its pathomechanism has not been elucidated completely; however, it may be related to nigrostriatal dysfunction. In patients with hemichorea, dopamine transporter-single photon emission computed tomography (DAT-SPECT) reportedly displayed decreased tracer accumulation in the contralateral striatum. Moreover, in exceptional cases, responsible lesions were located in the ipsilateral cerebral hemisphere. This case report describes an 84-year-old man who presented with three weeks of intermittent, involuntary, and twisting movements in his right limbs. On physical examination, the patient had right-sided hemichorea without other neurological deficits. The choreic movements were more frequent in the lower limb than in the upper and provoked when he tried to take a certain posture or engaged in mental arithmetic. Magnetic resonance imaging performed on suspicion of stroke detected a right hemispheric subacute infarct in the posterior part of the lenticular nucleus and posterior limb of the internal capsule. Furthermore, DAT-SPECT revealed decreased tracer accumulation in the right striatum. He was administered oral antiplatelet medication after being diagnosed with lacunar infarction. The choreic movements gradually reduced over the next 8 months and eventually disappeared. The lesion in the lenticular nucleus and internal capsule was considered to have induced ipsilesional hemichorea, considering the temporal proximity between the hemichorea and ischemic stroke. Although DAT-SPECT findings in patients with ipsilesional hemichorea have not been reported, this case suggests that nigrostriatal dopamine dysfunction can contribute to the pathogenesis of ipsilesional hemichorea.</p>","PeriodicalId":9615,"journal":{"name":"Case Reports in Neurological Medicine","volume":"2025 ","pages":"6054686"},"PeriodicalIF":0.9000,"publicationDate":"2025-06-17","publicationTypes":"Journal Article","fieldsOfStudy":null,"isOpenAccess":false,"openAccessPdf":"https://www.ncbi.nlm.nih.gov/pmc/articles/PMC12187432/pdf/","citationCount":"0","resultStr":"{\"title\":\"Hemichorea Associated With Nigrostriatal Dysfunction: Case Report of a Patient With an Ipsilateral Infarct in the Lenticular Nucleus and Internal Capsule.\",\"authors\":\"Makoto Kobayashi\",\"doi\":\"10.1155/crnm/6054686\",\"DOIUrl\":null,\"url\":null,\"abstract\":\"<p><p>Hemichorea is a rare manifestation of ischemic stroke whose lesion is typically located in the contralateral basal ganglia. Its pathomechanism has not been elucidated completely; however, it may be related to nigrostriatal dysfunction. In patients with hemichorea, dopamine transporter-single photon emission computed tomography (DAT-SPECT) reportedly displayed decreased tracer accumulation in the contralateral striatum. Moreover, in exceptional cases, responsible lesions were located in the ipsilateral cerebral hemisphere. This case report describes an 84-year-old man who presented with three weeks of intermittent, involuntary, and twisting movements in his right limbs. On physical examination, the patient had right-sided hemichorea without other neurological deficits. The choreic movements were more frequent in the lower limb than in the upper and provoked when he tried to take a certain posture or engaged in mental arithmetic. Magnetic resonance imaging performed on suspicion of stroke detected a right hemispheric subacute infarct in the posterior part of the lenticular nucleus and posterior limb of the internal capsule. Furthermore, DAT-SPECT revealed decreased tracer accumulation in the right striatum. He was administered oral antiplatelet medication after being diagnosed with lacunar infarction. The choreic movements gradually reduced over the next 8 months and eventually disappeared. The lesion in the lenticular nucleus and internal capsule was considered to have induced ipsilesional hemichorea, considering the temporal proximity between the hemichorea and ischemic stroke. Although DAT-SPECT findings in patients with ipsilesional hemichorea have not been reported, this case suggests that nigrostriatal dopamine dysfunction can contribute to the pathogenesis of ipsilesional hemichorea.</p>\",\"PeriodicalId\":9615,\"journal\":{\"name\":\"Case Reports in Neurological Medicine\",\"volume\":\"2025 \",\"pages\":\"6054686\"},\"PeriodicalIF\":0.9000,\"publicationDate\":\"2025-06-17\",\"publicationTypes\":\"Journal Article\",\"fieldsOfStudy\":null,\"isOpenAccess\":false,\"openAccessPdf\":\"https://www.ncbi.nlm.nih.gov/pmc/articles/PMC12187432/pdf/\",\"citationCount\":\"0\",\"resultStr\":null,\"platform\":\"Semanticscholar\",\"paperid\":null,\"PeriodicalName\":\"Case Reports in Neurological Medicine\",\"FirstCategoryId\":\"1085\",\"ListUrlMain\":\"https://doi.org/10.1155/crnm/6054686\",\"RegionNum\":0,\"RegionCategory\":null,\"ArticlePicture\":[],\"TitleCN\":null,\"AbstractTextCN\":null,\"PMCID\":null,\"EPubDate\":\"2025/1/1 0:00:00\",\"PubModel\":\"eCollection\",\"JCR\":\"Q4\",\"JCRName\":\"CLINICAL NEUROLOGY\",\"Score\":null,\"Total\":0}","platform":"Semanticscholar","paperid":null,"PeriodicalName":"Case Reports in Neurological Medicine","FirstCategoryId":"1085","ListUrlMain":"https://doi.org/10.1155/crnm/6054686","RegionNum":0,"RegionCategory":null,"ArticlePicture":[],"TitleCN":null,"AbstractTextCN":null,"PMCID":null,"EPubDate":"2025/1/1 0:00:00","PubModel":"eCollection","JCR":"Q4","JCRName":"CLINICAL NEUROLOGY","Score":null,"Total":0}
引用次数: 0

摘要

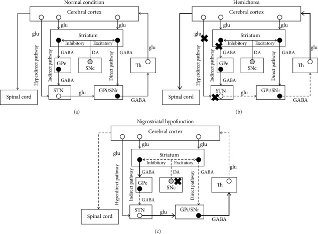
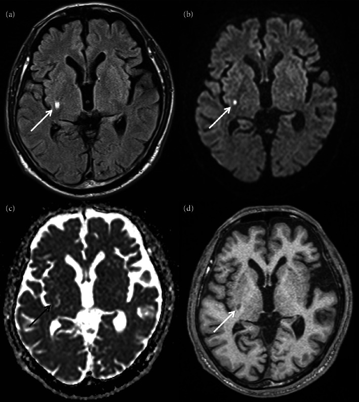
偏曲是缺血性脑卒中中一种罕见的表现,其病变通常位于对侧基底节区。其发病机制尚未完全阐明;然而,它可能与黑质纹状体功能障碍有关。在偏曲患者中,多巴胺转运-单光子发射计算机断层扫描显示对侧纹状体中示踪剂积累减少。此外,在特殊情况下,负责病变位于同侧大脑半球。本病例报告描述了一位84岁的男性,他表现为三周的间歇性,不自主和右肢体扭曲运动。体格检查,患者有右侧血瘀,无其他神经功能缺损。下肢的舞蹈动作比上肢更频繁,当他试图采取某种姿势或进行心算时,就会被激怒。怀疑脑卒中时进行的磁共振成像检测到在透镜状核后部和内囊后肢的右半球亚急性梗死。此外,DAT-SPECT显示右侧纹状体中示踪剂积累减少。他被诊断为腔隙性梗死后给予口服抗血小板药物。在接下来的8个月里,舞蹈动作逐渐减少,最终消失。考虑到出血与缺血性脑卒中在时间上的接近性,在透镜状核和内囊的病变被认为是诱发了同灶性出血。虽然在同裂孔出血患者中的DAT-SPECT发现尚未报道,但该病例提示黑质纹状体多巴胺功能障碍可能与同裂孔出血的发病机制有关。
本文章由计算机程序翻译,如有差异,请以英文原文为准。

Hemichorea Associated With Nigrostriatal Dysfunction: Case Report of a Patient With an Ipsilateral Infarct in the Lenticular Nucleus and Internal Capsule.

Hemichorea Associated With Nigrostriatal Dysfunction: Case Report of a Patient With an Ipsilateral Infarct in the Lenticular Nucleus and Internal Capsule.

Hemichorea Associated With Nigrostriatal Dysfunction: Case Report of a Patient With an Ipsilateral Infarct in the Lenticular Nucleus and Internal Capsule.

Hemichorea Associated With Nigrostriatal Dysfunction: Case Report of a Patient With an Ipsilateral Infarct in the Lenticular Nucleus and Internal Capsule.

Hemichorea is a rare manifestation of ischemic stroke whose lesion is typically located in the contralateral basal ganglia. Its pathomechanism has not been elucidated completely; however, it may be related to nigrostriatal dysfunction. In patients with hemichorea, dopamine transporter-single photon emission computed tomography (DAT-SPECT) reportedly displayed decreased tracer accumulation in the contralateral striatum. Moreover, in exceptional cases, responsible lesions were located in the ipsilateral cerebral hemisphere. This case report describes an 84-year-old man who presented with three weeks of intermittent, involuntary, and twisting movements in his right limbs. On physical examination, the patient had right-sided hemichorea without other neurological deficits. The choreic movements were more frequent in the lower limb than in the upper and provoked when he tried to take a certain posture or engaged in mental arithmetic. Magnetic resonance imaging performed on suspicion of stroke detected a right hemispheric subacute infarct in the posterior part of the lenticular nucleus and posterior limb of the internal capsule. Furthermore, DAT-SPECT revealed decreased tracer accumulation in the right striatum. He was administered oral antiplatelet medication after being diagnosed with lacunar infarction. The choreic movements gradually reduced over the next 8 months and eventually disappeared. The lesion in the lenticular nucleus and internal capsule was considered to have induced ipsilesional hemichorea, considering the temporal proximity between the hemichorea and ischemic stroke. Although DAT-SPECT findings in patients with ipsilesional hemichorea have not been reported, this case suggests that nigrostriatal dopamine dysfunction can contribute to the pathogenesis of ipsilesional hemichorea.

求助全文
通过发布文献求助,成功后即可免费获取论文全文。 去求助
来源期刊
自引率
0.00%
发文量
26
审稿时长
11 weeks
×
引用
GB/T 7714-2015
复制
MLA
复制
APA
复制
导出至
BibTeX EndNote RefMan NoteFirst NoteExpress
×
提示
您的信息不完整,为了账户安全,请先补充。
现在去补充
×
提示
您因"违规操作"
具体请查看互助需知
我知道了
×
提示
确定
请完成安全验证×
copy
已复制链接
快去分享给好友吧!
我知道了
右上角分享
点击右上角分享
0
联系我们:info@booksci.cn Book学术提供免费学术资源搜索服务,方便国内外学者检索中英文文献。致力于提供最便捷和优质的服务体验。 Copyright © 2023 布克学术 All rights reserved.
京ICP备2023020795号-1
ghs 京公网安备 11010802042870号
Book学术文献互助
Book学术文献互助群
群 号:604180095
Book学术官方微信