感染性食管炎。

Na Young Kim, Jin Lee
{"title":"感染性食管炎。","authors":"Na Young Kim, Jin Lee","doi":"10.7704/kjhugr.2025.0007","DOIUrl":null,"url":null,"abstract":"<p><p>Infectious esophagitis is caused by a viral, fungal, or bacterial infection of the esophagus. The most common viral pathogens are cytomegalovirus (CMV) and herpes simplex virus (HSV); Candida is the most common fungal pathogen. Bacterial esophagitis is rare, typically occurring only in immunocompromised individuals, and is often caused by the reactivation of a latent infection. The symptoms of infectious esophagitis range from an asymptomatic presentation to dysphagia, chest pain, and fever. Diagnoses are based on endoscopic findings and biopsy results for pathogen identification. In immunocompromised patients, treatment involves the use of antimicrobial agents. CMV esophagitis is characterized by esophageal ulcers visible during endoscopy and is diagnosed when intranuclear or cytoplasmic inclusions are observed in biopsy samples. Patients with HSV esophagitis present with volcano-like ulcers visible during endoscopy and are treated with acyclovir. Candida esophagitis is identified by the presence of white plaques and is treated using fluconazole. Although rare, bacterial esophagitis can be caused by Mycobacterium tuberculosis or oral/respiratory tract bacteria. This form of infectious esophagitis presents as nonspecific esophagitis during endoscopy; patients are treated using antibiotics. This review discusses the causative pathogens, endoscopic features, diagnosis, and treatment of infectious esophagitis.</p>","PeriodicalId":520887,"journal":{"name":"The Korean journal of helicobacter and upper gastrointestinal research","volume":"25 2","pages":"108-116"},"PeriodicalIF":0.0000,"publicationDate":"2025-06-01","publicationTypes":"Journal Article","fieldsOfStudy":null,"isOpenAccess":false,"openAccessPdf":"https://www.ncbi.nlm.nih.gov/pmc/articles/PMC12173570/pdf/","citationCount":"0","resultStr":"{\"title\":\"Infective Esophagitis.\",\"authors\":\"Na Young Kim, Jin Lee\",\"doi\":\"10.7704/kjhugr.2025.0007\",\"DOIUrl\":null,\"url\":null,\"abstract\":\"<p><p>Infectious esophagitis is caused by a viral, fungal, or bacterial infection of the esophagus. The most common viral pathogens are cytomegalovirus (CMV) and herpes simplex virus (HSV); Candida is the most common fungal pathogen. Bacterial esophagitis is rare, typically occurring only in immunocompromised individuals, and is often caused by the reactivation of a latent infection. The symptoms of infectious esophagitis range from an asymptomatic presentation to dysphagia, chest pain, and fever. Diagnoses are based on endoscopic findings and biopsy results for pathogen identification. In immunocompromised patients, treatment involves the use of antimicrobial agents. CMV esophagitis is characterized by esophageal ulcers visible during endoscopy and is diagnosed when intranuclear or cytoplasmic inclusions are observed in biopsy samples. Patients with HSV esophagitis present with volcano-like ulcers visible during endoscopy and are treated with acyclovir. Candida esophagitis is identified by the presence of white plaques and is treated using fluconazole. Although rare, bacterial esophagitis can be caused by Mycobacterium tuberculosis or oral/respiratory tract bacteria. This form of infectious esophagitis presents as nonspecific esophagitis during endoscopy; patients are treated using antibiotics. This review discusses the causative pathogens, endoscopic features, diagnosis, and treatment of infectious esophagitis.</p>\",\"PeriodicalId\":520887,\"journal\":{\"name\":\"The Korean journal of helicobacter and upper gastrointestinal research\",\"volume\":\"25 2\",\"pages\":\"108-116\"},\"PeriodicalIF\":0.0000,\"publicationDate\":\"2025-06-01\",\"publicationTypes\":\"Journal Article\",\"fieldsOfStudy\":null,\"isOpenAccess\":false,\"openAccessPdf\":\"https://www.ncbi.nlm.nih.gov/pmc/articles/PMC12173570/pdf/\",\"citationCount\":\"0\",\"resultStr\":null,\"platform\":\"Semanticscholar\",\"paperid\":null,\"PeriodicalName\":\"The Korean journal of helicobacter and upper gastrointestinal research\",\"FirstCategoryId\":\"1085\",\"ListUrlMain\":\"https://doi.org/10.7704/kjhugr.2025.0007\",\"RegionNum\":0,\"RegionCategory\":null,\"ArticlePicture\":[],\"TitleCN\":null,\"AbstractTextCN\":null,\"PMCID\":null,\"EPubDate\":\"2025/6/4 0:00:00\",\"PubModel\":\"Epub\",\"JCR\":\"\",\"JCRName\":\"\",\"Score\":null,\"Total\":0}","platform":"Semanticscholar","paperid":null,"PeriodicalName":"The Korean journal of helicobacter and upper gastrointestinal research","FirstCategoryId":"1085","ListUrlMain":"https://doi.org/10.7704/kjhugr.2025.0007","RegionNum":0,"RegionCategory":null,"ArticlePicture":[],"TitleCN":null,"AbstractTextCN":null,"PMCID":null,"EPubDate":"2025/6/4 0:00:00","PubModel":"Epub","JCR":"","JCRName":"","Score":null,"Total":0}
引用次数: 0

摘要

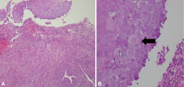
感染性食管炎是由食道的病毒、真菌或细菌感染引起的。最常见的病毒病原体是巨细胞病毒(CMV)和单纯疱疹病毒(HSV);念珠菌是最常见的真菌病原体。细菌性食管炎是罕见的,通常只发生在免疫功能低下的个体,通常是由潜伏性感染的再激活引起的。感染性食管炎的症状从无症状到吞咽困难、胸痛和发烧。诊断基于内窥镜检查结果和病原体鉴定的活检结果。在免疫功能低下的患者中,治疗包括使用抗微生物药物。巨细胞病毒食管炎的特征是内镜下可见食管溃疡,当活检样本中观察到核内或细胞质包涵体时诊断。HSV食管炎患者在内窥镜检查时可见火山样溃疡,用阿昔洛韦治疗。念珠菌性食管炎是通过白色斑块的存在来确定的,使用氟康唑治疗。虽然罕见,细菌性食管炎可由结核分枝杆菌或口腔/呼吸道细菌引起。这种形式的感染性食管炎在内镜检查时表现为非特异性食管炎;病人使用抗生素治疗。本文就感染性食管炎的致病菌、内窥镜特征、诊断和治疗进行综述。
本文章由计算机程序翻译,如有差异,请以英文原文为准。

Infective Esophagitis.

Infective Esophagitis.

Infective Esophagitis.

Infective Esophagitis.

Infectious esophagitis is caused by a viral, fungal, or bacterial infection of the esophagus. The most common viral pathogens are cytomegalovirus (CMV) and herpes simplex virus (HSV); Candida is the most common fungal pathogen. Bacterial esophagitis is rare, typically occurring only in immunocompromised individuals, and is often caused by the reactivation of a latent infection. The symptoms of infectious esophagitis range from an asymptomatic presentation to dysphagia, chest pain, and fever. Diagnoses are based on endoscopic findings and biopsy results for pathogen identification. In immunocompromised patients, treatment involves the use of antimicrobial agents. CMV esophagitis is characterized by esophageal ulcers visible during endoscopy and is diagnosed when intranuclear or cytoplasmic inclusions are observed in biopsy samples. Patients with HSV esophagitis present with volcano-like ulcers visible during endoscopy and are treated with acyclovir. Candida esophagitis is identified by the presence of white plaques and is treated using fluconazole. Although rare, bacterial esophagitis can be caused by Mycobacterium tuberculosis or oral/respiratory tract bacteria. This form of infectious esophagitis presents as nonspecific esophagitis during endoscopy; patients are treated using antibiotics. This review discusses the causative pathogens, endoscopic features, diagnosis, and treatment of infectious esophagitis.

求助全文
通过发布文献求助,成功后即可免费获取论文全文。 去求助
来源期刊
自引率
0.00%
发文量
0
×
引用
GB/T 7714-2015
复制
MLA
复制
APA
复制
导出至
BibTeX EndNote RefMan NoteFirst NoteExpress
×
提示
您的信息不完整,为了账户安全,请先补充。
现在去补充
×
提示
您因"违规操作"
具体请查看互助需知
我知道了
×
提示
确定
请完成安全验证×
copy
已复制链接
快去分享给好友吧!
我知道了
右上角分享
点击右上角分享
0
联系我们:info@booksci.cn Book学术提供免费学术资源搜索服务,方便国内外学者检索中英文文献。致力于提供最便捷和优质的服务体验。 Copyright © 2023 布克学术 All rights reserved.
京ICP备2023020795号-1
ghs 京公网安备 11010802042870号
Book学术文献互助
Book学术文献互助群
群 号:604180095
Book学术官方微信