胃腺癌合并同期套细胞淋巴瘤1例。

Carina Toledo Scoparo Barioni, Isabelli Zeitz de Castro, Julio Cezar Uili Coelho, Samya Hamad Mehanna, Eduardo Morais de Castro
{"title":"胃腺癌合并同期套细胞淋巴瘤1例。","authors":"Carina Toledo Scoparo Barioni, Isabelli Zeitz de Castro, Julio Cezar Uili Coelho, Samya Hamad Mehanna, Eduardo Morais de Castro","doi":"10.7704/kjhugr.2025.0017","DOIUrl":null,"url":null,"abstract":"<p><p>The synchronous coexistence of primary neoplasms with diverse histogeneses in the gastrointestinal tract is rare, particularly the association between gastric adenocarcinoma and mantle cell lymphoma (MCL). Gastric adenocarcinoma is a common neoplasm, often associated with risk factors such as Helicobacter pylori infection and poor eating habits. Notably, MCL is an uncommon and aggressive type of non-Hodgkin's lymphoma, accounting for approximately 5% of lymphoma diagnoses. This report describes the case of a 74-year-old former smoker diagnosed with gastric adenocarcinoma and MCL of the perigastric lymph nodes. Adenocarcinoma was detected by evaluating the gastrointestinal symptoms, followed by upper gastrointestinal endoscopy and biopsy. MCL was diagnosed after evaluation of the lymph nodes obtained from the surgical specimen and confirmed using immunohistochemistry. This report highlights the importance of a detailed diagnostic approach for cases of synchronous neoplasms and the need for integrated therapeutic management considering the different biological characteristics of each type of neoplasm.</p>","PeriodicalId":520887,"journal":{"name":"The Korean journal of helicobacter and upper gastrointestinal research","volume":"25 2","pages":"167-171"},"PeriodicalIF":0.0000,"publicationDate":"2025-06-01","publicationTypes":"Journal Article","fieldsOfStudy":null,"isOpenAccess":false,"openAccessPdf":"https://www.ncbi.nlm.nih.gov/pmc/articles/PMC12173588/pdf/","citationCount":"0","resultStr":"{\"title\":\"Gastric Adenocarcinoma and Synchronic Mantle Cell Lymphoma: A Case Report.\",\"authors\":\"Carina Toledo Scoparo Barioni, Isabelli Zeitz de Castro, Julio Cezar Uili Coelho, Samya Hamad Mehanna, Eduardo Morais de Castro\",\"doi\":\"10.7704/kjhugr.2025.0017\",\"DOIUrl\":null,\"url\":null,\"abstract\":\"<p><p>The synchronous coexistence of primary neoplasms with diverse histogeneses in the gastrointestinal tract is rare, particularly the association between gastric adenocarcinoma and mantle cell lymphoma (MCL). Gastric adenocarcinoma is a common neoplasm, often associated with risk factors such as Helicobacter pylori infection and poor eating habits. Notably, MCL is an uncommon and aggressive type of non-Hodgkin's lymphoma, accounting for approximately 5% of lymphoma diagnoses. This report describes the case of a 74-year-old former smoker diagnosed with gastric adenocarcinoma and MCL of the perigastric lymph nodes. Adenocarcinoma was detected by evaluating the gastrointestinal symptoms, followed by upper gastrointestinal endoscopy and biopsy. MCL was diagnosed after evaluation of the lymph nodes obtained from the surgical specimen and confirmed using immunohistochemistry. This report highlights the importance of a detailed diagnostic approach for cases of synchronous neoplasms and the need for integrated therapeutic management considering the different biological characteristics of each type of neoplasm.</p>\",\"PeriodicalId\":520887,\"journal\":{\"name\":\"The Korean journal of helicobacter and upper gastrointestinal research\",\"volume\":\"25 2\",\"pages\":\"167-171\"},\"PeriodicalIF\":0.0000,\"publicationDate\":\"2025-06-01\",\"publicationTypes\":\"Journal Article\",\"fieldsOfStudy\":null,\"isOpenAccess\":false,\"openAccessPdf\":\"https://www.ncbi.nlm.nih.gov/pmc/articles/PMC12173588/pdf/\",\"citationCount\":\"0\",\"resultStr\":null,\"platform\":\"Semanticscholar\",\"paperid\":null,\"PeriodicalName\":\"The Korean journal of helicobacter and upper gastrointestinal research\",\"FirstCategoryId\":\"1085\",\"ListUrlMain\":\"https://doi.org/10.7704/kjhugr.2025.0017\",\"RegionNum\":0,\"RegionCategory\":null,\"ArticlePicture\":[],\"TitleCN\":null,\"AbstractTextCN\":null,\"PMCID\":null,\"EPubDate\":\"2025/6/4 0:00:00\",\"PubModel\":\"Epub\",\"JCR\":\"\",\"JCRName\":\"\",\"Score\":null,\"Total\":0}","platform":"Semanticscholar","paperid":null,"PeriodicalName":"The Korean journal of helicobacter and upper gastrointestinal research","FirstCategoryId":"1085","ListUrlMain":"https://doi.org/10.7704/kjhugr.2025.0017","RegionNum":0,"RegionCategory":null,"ArticlePicture":[],"TitleCN":null,"AbstractTextCN":null,"PMCID":null,"EPubDate":"2025/6/4 0:00:00","PubModel":"Epub","JCR":"","JCRName":"","Score":null,"Total":0}
引用次数: 0

摘要

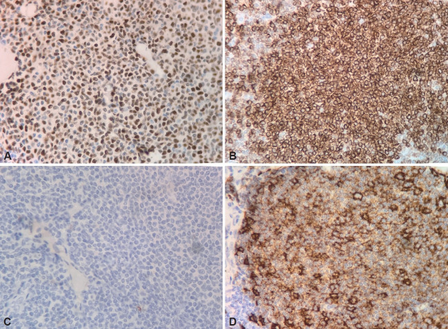
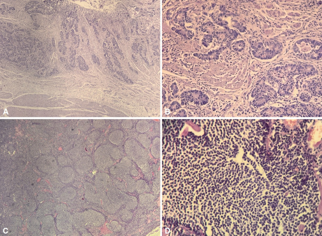
胃肠道中多种组织发生的原发肿瘤同时共存是罕见的,尤其是胃腺癌和套细胞淋巴瘤(MCL)之间的关联。胃腺癌是一种常见的肿瘤,常与幽门螺杆菌感染和不良饮食习惯等危险因素有关。值得注意的是,MCL是一种罕见的侵袭性非霍奇金淋巴瘤,约占淋巴瘤诊断的5%。本报告描述了一个74岁的前吸烟者被诊断为胃腺癌和胃周围淋巴结MCL的病例。通过评估胃肠道症状,然后进行上消化道内镜检查和活检来检测腺癌。MCL的诊断是通过对手术标本中淋巴结的评估和免疫组织化学的证实。本报告强调了同步肿瘤病例详细诊断方法的重要性,以及考虑到每种肿瘤不同生物学特征的综合治疗管理的必要性。
本文章由计算机程序翻译,如有差异,请以英文原文为准。

Gastric Adenocarcinoma and Synchronic Mantle Cell Lymphoma: A Case Report.

Gastric Adenocarcinoma and Synchronic Mantle Cell Lymphoma: A Case Report.

Gastric Adenocarcinoma and Synchronic Mantle Cell Lymphoma: A Case Report.

The synchronous coexistence of primary neoplasms with diverse histogeneses in the gastrointestinal tract is rare, particularly the association between gastric adenocarcinoma and mantle cell lymphoma (MCL). Gastric adenocarcinoma is a common neoplasm, often associated with risk factors such as Helicobacter pylori infection and poor eating habits. Notably, MCL is an uncommon and aggressive type of non-Hodgkin's lymphoma, accounting for approximately 5% of lymphoma diagnoses. This report describes the case of a 74-year-old former smoker diagnosed with gastric adenocarcinoma and MCL of the perigastric lymph nodes. Adenocarcinoma was detected by evaluating the gastrointestinal symptoms, followed by upper gastrointestinal endoscopy and biopsy. MCL was diagnosed after evaluation of the lymph nodes obtained from the surgical specimen and confirmed using immunohistochemistry. This report highlights the importance of a detailed diagnostic approach for cases of synchronous neoplasms and the need for integrated therapeutic management considering the different biological characteristics of each type of neoplasm.

求助全文
通过发布文献求助,成功后即可免费获取论文全文。 去求助
来源期刊
自引率
0.00%
发文量
0
×
引用
GB/T 7714-2015
复制
MLA
复制
APA
复制
导出至
BibTeX EndNote RefMan NoteFirst NoteExpress
×
提示
您的信息不完整,为了账户安全,请先补充。
现在去补充
×
提示
您因"违规操作"
具体请查看互助需知
我知道了
×
提示
确定
请完成安全验证×
copy
已复制链接
快去分享给好友吧!
我知道了
右上角分享
点击右上角分享
0
联系我们:info@booksci.cn Book学术提供免费学术资源搜索服务,方便国内外学者检索中英文文献。致力于提供最便捷和优质的服务体验。 Copyright © 2023 布克学术 All rights reserved.
京ICP备2023020795号-1
ghs 京公网安备 11010802042870号
Book学术文献互助
Book学术文献互助群
群 号:604180095
Book学术官方微信