慢性嗜酸性胃炎表现为胃出口梗阻1例。

Na Young Kim, Jin Lee, Ji Eun Na, Yong Eun Park, Jongha Park, Tae Oh Kim
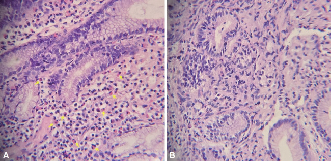
{"title":"慢性嗜酸性胃炎表现为胃出口梗阻1例。","authors":"Na Young Kim, Jin Lee, Ji Eun Na, Yong Eun Park, Jongha Park, Tae Oh Kim","doi":"10.7704/kjhugr.2025.0006","DOIUrl":null,"url":null,"abstract":"<p><p>Eosinophilic gastritis, a relatively rare condition characterized by eosinophilic infiltration of the gastrointestinal wall, has a chronic course involving relapses and remissions. Herein, we describe the case of a 25-year-old man with chronic eosinophilic gastritis complicated by gastric outlet obstruction. The patient had a history of persistent gastrointestinal symptoms since adolescence and had developed severe dyspepsia and vomiting two months before presentation. Eosinophilic gastritis was confirmed using endoscopy and biopsy. The symptoms improved after steroid treatment, although the mucosal lesions did not completely resolve. This case shows that eosinophilic gastritis can have a chronic course with persistent mucosal lesions, despite symptomatic improvement. Early diagnosis and appropriate treatment of eosinophilic gastritis are important for preventing chronic gastric mucosal changes.</p>","PeriodicalId":520887,"journal":{"name":"The Korean journal of helicobacter and upper gastrointestinal research","volume":"25 2","pages":"172-177"},"PeriodicalIF":0.0000,"publicationDate":"2025-06-01","publicationTypes":"Journal Article","fieldsOfStudy":null,"isOpenAccess":false,"openAccessPdf":"https://www.ncbi.nlm.nih.gov/pmc/articles/PMC12173578/pdf/","citationCount":"0","resultStr":"{\"title\":\"Chronic Eosinophilic Gastritis Presenting as Gastric Outlet Obstruction in a Young Man: A Case Report.\",\"authors\":\"Na Young Kim, Jin Lee, Ji Eun Na, Yong Eun Park, Jongha Park, Tae Oh Kim\",\"doi\":\"10.7704/kjhugr.2025.0006\",\"DOIUrl\":null,\"url\":null,\"abstract\":\"<p><p>Eosinophilic gastritis, a relatively rare condition characterized by eosinophilic infiltration of the gastrointestinal wall, has a chronic course involving relapses and remissions. Herein, we describe the case of a 25-year-old man with chronic eosinophilic gastritis complicated by gastric outlet obstruction. The patient had a history of persistent gastrointestinal symptoms since adolescence and had developed severe dyspepsia and vomiting two months before presentation. Eosinophilic gastritis was confirmed using endoscopy and biopsy. The symptoms improved after steroid treatment, although the mucosal lesions did not completely resolve. This case shows that eosinophilic gastritis can have a chronic course with persistent mucosal lesions, despite symptomatic improvement. Early diagnosis and appropriate treatment of eosinophilic gastritis are important for preventing chronic gastric mucosal changes.</p>\",\"PeriodicalId\":520887,\"journal\":{\"name\":\"The Korean journal of helicobacter and upper gastrointestinal research\",\"volume\":\"25 2\",\"pages\":\"172-177\"},\"PeriodicalIF\":0.0000,\"publicationDate\":\"2025-06-01\",\"publicationTypes\":\"Journal Article\",\"fieldsOfStudy\":null,\"isOpenAccess\":false,\"openAccessPdf\":\"https://www.ncbi.nlm.nih.gov/pmc/articles/PMC12173578/pdf/\",\"citationCount\":\"0\",\"resultStr\":null,\"platform\":\"Semanticscholar\",\"paperid\":null,\"PeriodicalName\":\"The Korean journal of helicobacter and upper gastrointestinal research\",\"FirstCategoryId\":\"1085\",\"ListUrlMain\":\"https://doi.org/10.7704/kjhugr.2025.0006\",\"RegionNum\":0,\"RegionCategory\":null,\"ArticlePicture\":[],\"TitleCN\":null,\"AbstractTextCN\":null,\"PMCID\":null,\"EPubDate\":\"2025/6/4 0:00:00\",\"PubModel\":\"Epub\",\"JCR\":\"\",\"JCRName\":\"\",\"Score\":null,\"Total\":0}","platform":"Semanticscholar","paperid":null,"PeriodicalName":"The Korean journal of helicobacter and upper gastrointestinal research","FirstCategoryId":"1085","ListUrlMain":"https://doi.org/10.7704/kjhugr.2025.0006","RegionNum":0,"RegionCategory":null,"ArticlePicture":[],"TitleCN":null,"AbstractTextCN":null,"PMCID":null,"EPubDate":"2025/6/4 0:00:00","PubModel":"Epub","JCR":"","JCRName":"","Score":null,"Total":0}
引用次数: 0

摘要

嗜酸性胃炎是一种相对罕见的以嗜酸性胃壁浸润为特征的疾病,病程缓慢,可复发也可缓解。在此,我们描述一个25岁的男子慢性嗜酸性胃炎并发胃出口梗阻的情况。患者自青春期起有持续性胃肠道症状,就诊前2个月出现严重消化不良和呕吐。胃镜检查和活检证实嗜酸性胃炎。类固醇治疗后症状有所改善,但粘膜病变并未完全消除。这个病例显示嗜酸性胃炎可以有一个慢性过程,持续的粘膜病变,尽管症状改善。早期诊断和适当治疗嗜酸性胃炎对预防慢性胃粘膜改变具有重要意义。
本文章由计算机程序翻译,如有差异,请以英文原文为准。

Chronic Eosinophilic Gastritis Presenting as Gastric Outlet Obstruction in a Young Man: A Case Report.

Chronic Eosinophilic Gastritis Presenting as Gastric Outlet Obstruction in a Young Man: A Case Report.

Chronic Eosinophilic Gastritis Presenting as Gastric Outlet Obstruction in a Young Man: A Case Report.

Chronic Eosinophilic Gastritis Presenting as Gastric Outlet Obstruction in a Young Man: A Case Report.

Eosinophilic gastritis, a relatively rare condition characterized by eosinophilic infiltration of the gastrointestinal wall, has a chronic course involving relapses and remissions. Herein, we describe the case of a 25-year-old man with chronic eosinophilic gastritis complicated by gastric outlet obstruction. The patient had a history of persistent gastrointestinal symptoms since adolescence and had developed severe dyspepsia and vomiting two months before presentation. Eosinophilic gastritis was confirmed using endoscopy and biopsy. The symptoms improved after steroid treatment, although the mucosal lesions did not completely resolve. This case shows that eosinophilic gastritis can have a chronic course with persistent mucosal lesions, despite symptomatic improvement. Early diagnosis and appropriate treatment of eosinophilic gastritis are important for preventing chronic gastric mucosal changes.

求助全文
通过发布文献求助,成功后即可免费获取论文全文。 去求助
来源期刊
自引率
0.00%
发文量
0
×
引用
GB/T 7714-2015
复制
MLA
复制
APA
复制
导出至
BibTeX EndNote RefMan NoteFirst NoteExpress
×
提示
您的信息不完整,为了账户安全,请先补充。
现在去补充
×
提示
您因"违规操作"
具体请查看互助需知
我知道了
×
提示
确定
请完成安全验证×
copy
已复制链接
快去分享给好友吧!
我知道了
右上角分享
点击右上角分享
0
联系我们:info@booksci.cn Book学术提供免费学术资源搜索服务,方便国内外学者检索中英文文献。致力于提供最便捷和优质的服务体验。 Copyright © 2023 布克学术 All rights reserved.
京ICP备2023020795号-1
ghs 京公网安备 11010802042870号
Book学术文献互助
Book学术文献互助群
群 号:604180095
Book学术官方微信