在一家社区医院用可口可乐、纤维素酶和内窥镜碎裂治疗一种大型胃植物黄。

Jaewon Song, Dong Yeol Shin
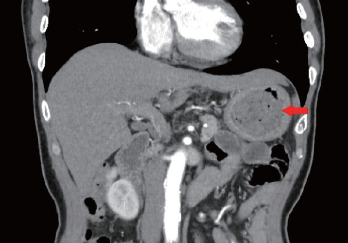
{"title":"在一家社区医院用可口可乐、纤维素酶和内窥镜碎裂治疗一种大型胃植物黄。","authors":"Jaewon Song, Dong Yeol Shin","doi":"10.7704/kjhugr.2024.0066","DOIUrl":null,"url":null,"abstract":"<p><p>Bezoars are indigestible masses that can cause gastrointestinal complications such as obstructions and perforations. We report the case of a 60-year-old man with a history of type 2 diabetes mellitus and duodenal ulcer surgery. The patient developed a large gastric phytobezoar that caused persistent dyspepsia and epigastric pain. Upper endoscopy confirmed a 10-cm phytobezoar and a 1.5-cm active ulcer at the gastric angle. To soften the bezoar, Coca-Cola and cellulase were administered to the patient. This treatment significantly reduced the bezoar's hardness, permitting its successful endoscopic fragmentation using conventional devices. Over three endoscopic sessions, the bezoar was fragmented into pieces smaller than 1 cm and removed; thereafter, the gastric ulcer healed completely. This case illustrates the effectiveness of combining the actions of Coca-Cola and cellulase with endoscopic methods to treat large bezoars, providing an alternative to surgical approaches in community healthcare settings.</p>","PeriodicalId":520887,"journal":{"name":"The Korean journal of helicobacter and upper gastrointestinal research","volume":"25 1","pages":"73-77"},"PeriodicalIF":0.0000,"publicationDate":"2025-03-01","publicationTypes":"Journal Article","fieldsOfStudy":null,"isOpenAccess":false,"openAccessPdf":"https://www.ncbi.nlm.nih.gov/pmc/articles/PMC12173564/pdf/","citationCount":"0","resultStr":"{\"title\":\"Treatment of a Large Gastric Phytobezoar With Coca-Cola, Cellulase, and Endoscopic Fragmentation in a Community Hospital.\",\"authors\":\"Jaewon Song, Dong Yeol Shin\",\"doi\":\"10.7704/kjhugr.2024.0066\",\"DOIUrl\":null,\"url\":null,\"abstract\":\"<p><p>Bezoars are indigestible masses that can cause gastrointestinal complications such as obstructions and perforations. We report the case of a 60-year-old man with a history of type 2 diabetes mellitus and duodenal ulcer surgery. The patient developed a large gastric phytobezoar that caused persistent dyspepsia and epigastric pain. Upper endoscopy confirmed a 10-cm phytobezoar and a 1.5-cm active ulcer at the gastric angle. To soften the bezoar, Coca-Cola and cellulase were administered to the patient. This treatment significantly reduced the bezoar's hardness, permitting its successful endoscopic fragmentation using conventional devices. Over three endoscopic sessions, the bezoar was fragmented into pieces smaller than 1 cm and removed; thereafter, the gastric ulcer healed completely. This case illustrates the effectiveness of combining the actions of Coca-Cola and cellulase with endoscopic methods to treat large bezoars, providing an alternative to surgical approaches in community healthcare settings.</p>\",\"PeriodicalId\":520887,\"journal\":{\"name\":\"The Korean journal of helicobacter and upper gastrointestinal research\",\"volume\":\"25 1\",\"pages\":\"73-77\"},\"PeriodicalIF\":0.0000,\"publicationDate\":\"2025-03-01\",\"publicationTypes\":\"Journal Article\",\"fieldsOfStudy\":null,\"isOpenAccess\":false,\"openAccessPdf\":\"https://www.ncbi.nlm.nih.gov/pmc/articles/PMC12173564/pdf/\",\"citationCount\":\"0\",\"resultStr\":null,\"platform\":\"Semanticscholar\",\"paperid\":null,\"PeriodicalName\":\"The Korean journal of helicobacter and upper gastrointestinal research\",\"FirstCategoryId\":\"1085\",\"ListUrlMain\":\"https://doi.org/10.7704/kjhugr.2024.0066\",\"RegionNum\":0,\"RegionCategory\":null,\"ArticlePicture\":[],\"TitleCN\":null,\"AbstractTextCN\":null,\"PMCID\":null,\"EPubDate\":\"2025/3/7 0:00:00\",\"PubModel\":\"Epub\",\"JCR\":\"\",\"JCRName\":\"\",\"Score\":null,\"Total\":0}","platform":"Semanticscholar","paperid":null,"PeriodicalName":"The Korean journal of helicobacter and upper gastrointestinal research","FirstCategoryId":"1085","ListUrlMain":"https://doi.org/10.7704/kjhugr.2024.0066","RegionNum":0,"RegionCategory":null,"ArticlePicture":[],"TitleCN":null,"AbstractTextCN":null,"PMCID":null,"EPubDate":"2025/3/7 0:00:00","PubModel":"Epub","JCR":"","JCRName":"","Score":null,"Total":0}
引用次数: 0

摘要

牛黄是一种难以消化的物质,可引起胃肠道并发症,如阻塞和穿孔。我们报告的情况下,60岁的男子与2型糖尿病和十二指肠溃疡手术史。患者出现大量胃植粪,引起持续性消化不良和胃脘痛。胃镜检查证实胃角处有10厘米的植物性牛黄和1.5厘米的活动性溃疡。为了软化牛黄,病人服用了可口可乐和纤维素酶。这种治疗方法显著降低了牛黄的硬度,使其能够成功地使用常规设备进行内窥镜碎裂。在三次内窥镜检查中,牛黄被粉碎成小于1厘米的碎片并被取出;此后,胃溃疡完全愈合。本病例说明了将可口可乐和纤维素酶的作用与内窥镜方法结合治疗大牛黄的有效性,为社区卫生保健机构提供了一种手术方法的替代方法。
本文章由计算机程序翻译,如有差异,请以英文原文为准。

Treatment of a Large Gastric Phytobezoar With Coca-Cola, Cellulase, and Endoscopic Fragmentation in a Community Hospital.

Treatment of a Large Gastric Phytobezoar With Coca-Cola, Cellulase, and Endoscopic Fragmentation in a Community Hospital.

Treatment of a Large Gastric Phytobezoar With Coca-Cola, Cellulase, and Endoscopic Fragmentation in a Community Hospital.

Treatment of a Large Gastric Phytobezoar With Coca-Cola, Cellulase, and Endoscopic Fragmentation in a Community Hospital.

Bezoars are indigestible masses that can cause gastrointestinal complications such as obstructions and perforations. We report the case of a 60-year-old man with a history of type 2 diabetes mellitus and duodenal ulcer surgery. The patient developed a large gastric phytobezoar that caused persistent dyspepsia and epigastric pain. Upper endoscopy confirmed a 10-cm phytobezoar and a 1.5-cm active ulcer at the gastric angle. To soften the bezoar, Coca-Cola and cellulase were administered to the patient. This treatment significantly reduced the bezoar's hardness, permitting its successful endoscopic fragmentation using conventional devices. Over three endoscopic sessions, the bezoar was fragmented into pieces smaller than 1 cm and removed; thereafter, the gastric ulcer healed completely. This case illustrates the effectiveness of combining the actions of Coca-Cola and cellulase with endoscopic methods to treat large bezoars, providing an alternative to surgical approaches in community healthcare settings.

求助全文
通过发布文献求助,成功后即可免费获取论文全文。 去求助
来源期刊
自引率
0.00%
发文量
0
×
引用
GB/T 7714-2015
复制
MLA
复制
APA
复制
导出至
BibTeX EndNote RefMan NoteFirst NoteExpress
×
提示
您的信息不完整,为了账户安全,请先补充。
现在去补充
×
提示
您因"违规操作"
具体请查看互助需知
我知道了
×
提示
确定
请完成安全验证×
copy
已复制链接
快去分享给好友吧!
我知道了
右上角分享
点击右上角分享
0
联系我们:info@booksci.cn Book学术提供免费学术资源搜索服务,方便国内外学者检索中英文文献。致力于提供最便捷和优质的服务体验。 Copyright © 2023 布克学术 All rights reserved.
京ICP备2023020795号-1
ghs 京公网安备 11010802042870号
Book学术文献互助
Book学术文献互助群
群 号:604180095
Book学术官方微信