非幽门螺杆菌感染引起的胃溃疡。

Bong Eun Lee
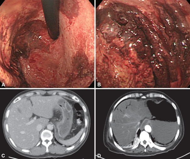
{"title":"非幽门螺杆菌感染引起的胃溃疡。","authors":"Bong Eun Lee","doi":"10.7704/kjhugr.2024.0078","DOIUrl":null,"url":null,"abstract":"<p><p>Gastric ulcers are characterized by mucosal damage extending into the submucosa or deeper, with the most common causes being Helicobacter pylori infection and nonsteroidal anti-inflammatory drug use. However, various infectious pathogens, such as pyogenic bacteria, Treponema pallidum, Mycobacterium tuberculosis, viruses, fungi, and parasites, can also cause gastric ulcers. Non-H. pylori infectious gastric ulcers are uncommon and often present with nonspecific symptoms, making their diagnosis challenging. A differential diagnosis requires a comprehensive understanding of the underlying diseases and familiarity with their characteristic endoscopic features. For instance, acute phlegmonous gastritis requires a prompt diagnosis based on typical clinical symptoms and abdominal computed tomography findings, followed by empiric antibiotic therapy. Infections such as gastric syphilis, gastric tuberculosis, cytomegalovirus (CMV) gastritis, and gastric candidiasis necessitate pathogen identification through tissue diagnoses. When this is challenging, the clinical history, endoscopic findings, and serological tests should be integrated to ensure an accurate diagnosis and management. Unlike gastric syphilis and tuberculosis, CMV gastritis and gastric candidiasis often occur secondary to preexisting gastric ulcers; therefore, conventional anti-ulcer therapy is sufficient for immunocompetent patients with mild symptoms. However, antiviral or antifungal agents should be administered to immunocompromised patients and to those with systemic symptoms related to the infection. Similarly, understanding the characteristic history and symptoms of gastric anisakidosis is crucial for an accurate diagnosis, and prompt endoscopic examination is essential to identify and remove the larvae. Clinicians should consider the possibility of infectious gastric ulcers in patients with atypical ulcerative lesions or ulcers that are unresponsive to conventional therapies. Accurate diagnoses and timely treatments are essential for improving patient outcomes.</p>","PeriodicalId":520887,"journal":{"name":"The Korean journal of helicobacter and upper gastrointestinal research","volume":"25 1","pages":"23-33"},"PeriodicalIF":0.0000,"publicationDate":"2025-03-01","publicationTypes":"Journal Article","fieldsOfStudy":null,"isOpenAccess":false,"openAccessPdf":"https://www.ncbi.nlm.nih.gov/pmc/articles/PMC12173582/pdf/","citationCount":"0","resultStr":"{\"title\":\"Gastric Ulcers Caused by Non-Helicobacter pylori Infections.\",\"authors\":\"Bong Eun Lee\",\"doi\":\"10.7704/kjhugr.2024.0078\",\"DOIUrl\":null,\"url\":null,\"abstract\":\"<p><p>Gastric ulcers are characterized by mucosal damage extending into the submucosa or deeper, with the most common causes being Helicobacter pylori infection and nonsteroidal anti-inflammatory drug use. However, various infectious pathogens, such as pyogenic bacteria, Treponema pallidum, Mycobacterium tuberculosis, viruses, fungi, and parasites, can also cause gastric ulcers. Non-H. pylori infectious gastric ulcers are uncommon and often present with nonspecific symptoms, making their diagnosis challenging. A differential diagnosis requires a comprehensive understanding of the underlying diseases and familiarity with their characteristic endoscopic features. For instance, acute phlegmonous gastritis requires a prompt diagnosis based on typical clinical symptoms and abdominal computed tomography findings, followed by empiric antibiotic therapy. Infections such as gastric syphilis, gastric tuberculosis, cytomegalovirus (CMV) gastritis, and gastric candidiasis necessitate pathogen identification through tissue diagnoses. When this is challenging, the clinical history, endoscopic findings, and serological tests should be integrated to ensure an accurate diagnosis and management. Unlike gastric syphilis and tuberculosis, CMV gastritis and gastric candidiasis often occur secondary to preexisting gastric ulcers; therefore, conventional anti-ulcer therapy is sufficient for immunocompetent patients with mild symptoms. However, antiviral or antifungal agents should be administered to immunocompromised patients and to those with systemic symptoms related to the infection. Similarly, understanding the characteristic history and symptoms of gastric anisakidosis is crucial for an accurate diagnosis, and prompt endoscopic examination is essential to identify and remove the larvae. Clinicians should consider the possibility of infectious gastric ulcers in patients with atypical ulcerative lesions or ulcers that are unresponsive to conventional therapies. Accurate diagnoses and timely treatments are essential for improving patient outcomes.</p>\",\"PeriodicalId\":520887,\"journal\":{\"name\":\"The Korean journal of helicobacter and upper gastrointestinal research\",\"volume\":\"25 1\",\"pages\":\"23-33\"},\"PeriodicalIF\":0.0000,\"publicationDate\":\"2025-03-01\",\"publicationTypes\":\"Journal Article\",\"fieldsOfStudy\":null,\"isOpenAccess\":false,\"openAccessPdf\":\"https://www.ncbi.nlm.nih.gov/pmc/articles/PMC12173582/pdf/\",\"citationCount\":\"0\",\"resultStr\":null,\"platform\":\"Semanticscholar\",\"paperid\":null,\"PeriodicalName\":\"The Korean journal of helicobacter and upper gastrointestinal research\",\"FirstCategoryId\":\"1085\",\"ListUrlMain\":\"https://doi.org/10.7704/kjhugr.2024.0078\",\"RegionNum\":0,\"RegionCategory\":null,\"ArticlePicture\":[],\"TitleCN\":null,\"AbstractTextCN\":null,\"PMCID\":null,\"EPubDate\":\"2025/3/7 0:00:00\",\"PubModel\":\"Epub\",\"JCR\":\"\",\"JCRName\":\"\",\"Score\":null,\"Total\":0}","platform":"Semanticscholar","paperid":null,"PeriodicalName":"The Korean journal of helicobacter and upper gastrointestinal research","FirstCategoryId":"1085","ListUrlMain":"https://doi.org/10.7704/kjhugr.2024.0078","RegionNum":0,"RegionCategory":null,"ArticlePicture":[],"TitleCN":null,"AbstractTextCN":null,"PMCID":null,"EPubDate":"2025/3/7 0:00:00","PubModel":"Epub","JCR":"","JCRName":"","Score":null,"Total":0}
引用次数: 0

摘要

胃溃疡的特点是粘膜损伤延伸至粘膜下层或更深,最常见的原因是幽门螺杆菌感染和非甾体抗炎药的使用。然而,各种传染性病原体,如化脓菌、梅毒螺旋体、结核分枝杆菌、病毒、真菌和寄生虫,也可引起胃溃疡。Non-H。幽门螺杆菌感染性胃溃疡并不常见,通常表现为非特异性症状,使其诊断具有挑战性。鉴别诊断需要对潜在疾病有全面的了解,并熟悉其特有的内镜特征。例如,急性痰性胃炎需要根据典型的临床症状和腹部计算机断层扫描结果及时诊断,然后进行经验性抗生素治疗。胃梅毒、胃结核、巨细胞病毒(CMV)胃炎和胃念珠菌病等感染需要通过组织诊断来鉴定病原体。当这是具有挑战性的,临床病史,内窥镜检查结果和血清学检查应整合,以确保准确的诊断和管理。与胃梅毒和结核不同,巨细胞病毒性胃炎和胃念珠菌病通常继发于先前存在的胃溃疡;因此,常规抗溃疡治疗对于症状轻微且免疫功能正常的患者是足够的。然而,抗病毒或抗真菌药物应给予免疫功能低下的患者和那些与感染相关的全身性症状。同样,了解胃异碱病的特征病史和症状对于准确诊断至关重要,及时进行内镜检查对于识别和切除幼虫至关重要。临床医生应考虑非典型溃疡病变或对常规治疗无反应的溃疡患者发生感染性胃溃疡的可能性。准确的诊断和及时的治疗对于改善患者的预后至关重要。
本文章由计算机程序翻译,如有差异,请以英文原文为准。

Gastric Ulcers Caused by Non-Helicobacter pylori Infections.

Gastric Ulcers Caused by Non-Helicobacter pylori Infections.

Gastric Ulcers Caused by Non-Helicobacter pylori Infections.

Gastric Ulcers Caused by Non-Helicobacter pylori Infections.

Gastric ulcers are characterized by mucosal damage extending into the submucosa or deeper, with the most common causes being Helicobacter pylori infection and nonsteroidal anti-inflammatory drug use. However, various infectious pathogens, such as pyogenic bacteria, Treponema pallidum, Mycobacterium tuberculosis, viruses, fungi, and parasites, can also cause gastric ulcers. Non-H. pylori infectious gastric ulcers are uncommon and often present with nonspecific symptoms, making their diagnosis challenging. A differential diagnosis requires a comprehensive understanding of the underlying diseases and familiarity with their characteristic endoscopic features. For instance, acute phlegmonous gastritis requires a prompt diagnosis based on typical clinical symptoms and abdominal computed tomography findings, followed by empiric antibiotic therapy. Infections such as gastric syphilis, gastric tuberculosis, cytomegalovirus (CMV) gastritis, and gastric candidiasis necessitate pathogen identification through tissue diagnoses. When this is challenging, the clinical history, endoscopic findings, and serological tests should be integrated to ensure an accurate diagnosis and management. Unlike gastric syphilis and tuberculosis, CMV gastritis and gastric candidiasis often occur secondary to preexisting gastric ulcers; therefore, conventional anti-ulcer therapy is sufficient for immunocompetent patients with mild symptoms. However, antiviral or antifungal agents should be administered to immunocompromised patients and to those with systemic symptoms related to the infection. Similarly, understanding the characteristic history and symptoms of gastric anisakidosis is crucial for an accurate diagnosis, and prompt endoscopic examination is essential to identify and remove the larvae. Clinicians should consider the possibility of infectious gastric ulcers in patients with atypical ulcerative lesions or ulcers that are unresponsive to conventional therapies. Accurate diagnoses and timely treatments are essential for improving patient outcomes.

求助全文
通过发布文献求助,成功后即可免费获取论文全文。 去求助
来源期刊
自引率
0.00%
发文量
0
×
引用
GB/T 7714-2015
复制
MLA
复制
APA
复制
导出至
BibTeX EndNote RefMan NoteFirst NoteExpress
×
提示
您的信息不完整,为了账户安全,请先补充。
现在去补充
×
提示
您因"违规操作"
具体请查看互助需知
我知道了
×
提示
确定
请完成安全验证×
copy
已复制链接
快去分享给好友吧!
我知道了
右上角分享
点击右上角分享
0
联系我们:info@booksci.cn Book学术提供免费学术资源搜索服务,方便国内外学者检索中英文文献。致力于提供最便捷和优质的服务体验。 Copyright © 2023 布克学术 All rights reserved.
京ICP备2023020795号-1
ghs 京公网安备 11010802042870号
Book学术文献互助
Book学术文献互助群
群 号:604180095
Book学术官方微信