内镜下多支牙刷拔除1例。

Young Woo Chae, Ilsoo Kim, Woon Geon Shin
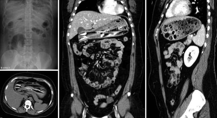
{"title":"内镜下多支牙刷拔除1例。","authors":"Young Woo Chae, Ilsoo Kim, Woon Geon Shin","doi":"10.7704/kjhugr.2024.0060","DOIUrl":null,"url":null,"abstract":"<p><p>Foreign body ingestion is a common emergency that necessitates endoscopic intervention. Although many foreign bodies are easily removed, removal of magnets, blades, barbs, and unusually shaped objects, such as toothbrushes is challenging. Toothbrush ingestion may potentially cause complications such as pressure ulcers and perforations. We present a rare case of a 26-year-old woman with schizophrenia, who ingested multiple foreign bodies but was asymptomatic. Radiography showed multiple toothbrushes in the stomach. Emergency non-sedated endoscopy revealed eight toothbrushes in the stomach; five toothbrushes lodged in the great curvature of the stomach and three in the duodenal bulb were successfully removed using a snare and a technique that involved neck hyperextension to facilitate passage. This report describes a case of non-sedated endoscopic removal of multiple toothbrushes, which is rarely reported in the literature. This case highlights that even complex foreign bodies can be safely removed via endoscopy without surgical intervention. To our knowledge, this is the first report in the English literature that discusses endoscopic removal of more than five toothbrushes and underscores the role of customized approaches in the management of ingestion of unusual foreign bodies.</p>","PeriodicalId":520887,"journal":{"name":"The Korean journal of helicobacter and upper gastrointestinal research","volume":"25 1","pages":"70-72"},"PeriodicalIF":0.0000,"publicationDate":"2025-03-01","publicationTypes":"Journal Article","fieldsOfStudy":null,"isOpenAccess":false,"openAccessPdf":"https://www.ncbi.nlm.nih.gov/pmc/articles/PMC12173563/pdf/","citationCount":"0","resultStr":"{\"title\":\"Endoscopic Removal of Multiple Toothbrushes: A Case Report.\",\"authors\":\"Young Woo Chae, Ilsoo Kim, Woon Geon Shin\",\"doi\":\"10.7704/kjhugr.2024.0060\",\"DOIUrl\":null,\"url\":null,\"abstract\":\"<p><p>Foreign body ingestion is a common emergency that necessitates endoscopic intervention. Although many foreign bodies are easily removed, removal of magnets, blades, barbs, and unusually shaped objects, such as toothbrushes is challenging. Toothbrush ingestion may potentially cause complications such as pressure ulcers and perforations. We present a rare case of a 26-year-old woman with schizophrenia, who ingested multiple foreign bodies but was asymptomatic. Radiography showed multiple toothbrushes in the stomach. Emergency non-sedated endoscopy revealed eight toothbrushes in the stomach; five toothbrushes lodged in the great curvature of the stomach and three in the duodenal bulb were successfully removed using a snare and a technique that involved neck hyperextension to facilitate passage. This report describes a case of non-sedated endoscopic removal of multiple toothbrushes, which is rarely reported in the literature. This case highlights that even complex foreign bodies can be safely removed via endoscopy without surgical intervention. To our knowledge, this is the first report in the English literature that discusses endoscopic removal of more than five toothbrushes and underscores the role of customized approaches in the management of ingestion of unusual foreign bodies.</p>\",\"PeriodicalId\":520887,\"journal\":{\"name\":\"The Korean journal of helicobacter and upper gastrointestinal research\",\"volume\":\"25 1\",\"pages\":\"70-72\"},\"PeriodicalIF\":0.0000,\"publicationDate\":\"2025-03-01\",\"publicationTypes\":\"Journal Article\",\"fieldsOfStudy\":null,\"isOpenAccess\":false,\"openAccessPdf\":\"https://www.ncbi.nlm.nih.gov/pmc/articles/PMC12173563/pdf/\",\"citationCount\":\"0\",\"resultStr\":null,\"platform\":\"Semanticscholar\",\"paperid\":null,\"PeriodicalName\":\"The Korean journal of helicobacter and upper gastrointestinal research\",\"FirstCategoryId\":\"1085\",\"ListUrlMain\":\"https://doi.org/10.7704/kjhugr.2024.0060\",\"RegionNum\":0,\"RegionCategory\":null,\"ArticlePicture\":[],\"TitleCN\":null,\"AbstractTextCN\":null,\"PMCID\":null,\"EPubDate\":\"2025/3/7 0:00:00\",\"PubModel\":\"Epub\",\"JCR\":\"\",\"JCRName\":\"\",\"Score\":null,\"Total\":0}","platform":"Semanticscholar","paperid":null,"PeriodicalName":"The Korean journal of helicobacter and upper gastrointestinal research","FirstCategoryId":"1085","ListUrlMain":"https://doi.org/10.7704/kjhugr.2024.0060","RegionNum":0,"RegionCategory":null,"ArticlePicture":[],"TitleCN":null,"AbstractTextCN":null,"PMCID":null,"EPubDate":"2025/3/7 0:00:00","PubModel":"Epub","JCR":"","JCRName":"","Score":null,"Total":0}
引用次数: 0

摘要

异物摄入是一种常见的紧急情况,需要内镜干预。虽然许多异物很容易清除,但清除磁铁、刀片、倒钩和形状不寻常的物体(如牙刷)却很有挑战性。吞下牙刷可能会引起并发症,如压疮和穿孔。我们提出一个罕见的情况下,一个26岁的女性精神分裂症,谁摄入多个异物,但没有症状。x光片显示胃里有多把牙刷。紧急非镇静内窥镜检查显示胃里有8把牙刷;5支牙刷卡在胃的大弯曲处,3支在十二指肠球部,使用圈套和颈部超伸技术成功取出,以方便通过。本报告描述了一例非镇静内镜下多支牙刷的取出,这在文献中很少报道。本病例强调,即使是复杂的异物也可以通过内窥镜安全移除,无需手术干预。据我们所知,这是英文文献中第一篇讨论内窥镜取出超过五支牙刷的报道,并强调了定制方法在处理不寻常异物摄入中的作用。
本文章由计算机程序翻译,如有差异,请以英文原文为准。

Endoscopic Removal of Multiple Toothbrushes: A Case Report.

Endoscopic Removal of Multiple Toothbrushes: A Case Report.

Endoscopic Removal of Multiple Toothbrushes: A Case Report.

Foreign body ingestion is a common emergency that necessitates endoscopic intervention. Although many foreign bodies are easily removed, removal of magnets, blades, barbs, and unusually shaped objects, such as toothbrushes is challenging. Toothbrush ingestion may potentially cause complications such as pressure ulcers and perforations. We present a rare case of a 26-year-old woman with schizophrenia, who ingested multiple foreign bodies but was asymptomatic. Radiography showed multiple toothbrushes in the stomach. Emergency non-sedated endoscopy revealed eight toothbrushes in the stomach; five toothbrushes lodged in the great curvature of the stomach and three in the duodenal bulb were successfully removed using a snare and a technique that involved neck hyperextension to facilitate passage. This report describes a case of non-sedated endoscopic removal of multiple toothbrushes, which is rarely reported in the literature. This case highlights that even complex foreign bodies can be safely removed via endoscopy without surgical intervention. To our knowledge, this is the first report in the English literature that discusses endoscopic removal of more than five toothbrushes and underscores the role of customized approaches in the management of ingestion of unusual foreign bodies.

求助全文
通过发布文献求助,成功后即可免费获取论文全文。 去求助
来源期刊
自引率
0.00%
发文量
0
×
引用
GB/T 7714-2015
复制
MLA
复制
APA
复制
导出至
BibTeX EndNote RefMan NoteFirst NoteExpress
×
提示
您的信息不完整,为了账户安全,请先补充。
现在去补充
×
提示
您因"违规操作"
具体请查看互助需知
我知道了
×
提示
确定
请完成安全验证×
copy
已复制链接
快去分享给好友吧!
我知道了
右上角分享
点击右上角分享
0
联系我们:info@booksci.cn Book学术提供免费学术资源搜索服务,方便国内外学者检索中英文文献。致力于提供最便捷和优质的服务体验。 Copyright © 2023 布克学术 All rights reserved.
京ICP备2023020795号-1
ghs 京公网安备 11010802042870号
Book学术文献互助
Book学术文献互助群
群 号:604180095
Book学术官方微信