神经李斯特菌病的临床表现与医院感染。

IF 2.6 4区 医学 Q3 INFECTIOUS DISEASES
Javier Vicente Trejos Pino, Juan Carlos Rodriguez Delgado
{"title":"神经李斯特菌病的临床表现与医院感染。","authors":"Javier Vicente Trejos Pino, Juan Carlos Rodriguez Delgado","doi":"10.1155/cjid/5960643","DOIUrl":null,"url":null,"abstract":"<p><p>Neurolisteriosis is a listerial invasive disease, which is characterized by brain parenchymal and meningeal involvement, with a high fatality rate and frequent neurological sequelae. The main clinical presentations of neurolisteriosis are meningitis, meningoencephalitis, rhombencephalitis, and brain abscess. Neuroradiological imaging is useful to distinguish these clinical presentations. The diagnosis of neurolisteriosis may be confirmed by cerebrospinal fluid or blood cultures, but these tests may have different yields depending on the clinical presentation of neurolisteriosis. The elderly and immunocompromised patients are the most susceptible population to developing neurolisteriosis, and few cases occur in healthy young people. This disease is caused by <i>Listeria monocytogenes</i>, a foodborne pathogen with an intracellular life cycle, which can be found in processed foods, and it remains the third cause of bacterial meningitis in adults. Most cases of neurolisteriosis are community-acquired, but several hospital-acquired cases and outbreaks have been reported in the literature and linked to the consumption of food served to inpatients. Aminopenicillins are the antibiotics with the highest impact on the prognosis of neurolisteriosis, and alternative antimicrobial therapies must be considered in those cases where a first-choice antibiotic cannot be administered or with antibiotic treatment failure. In this article, the epidemiology, sources of infection, pathogenesis, and clinical aspects of neurolisteriosis are reviewed, highlighting the main clinical presentations of the disease. Relevant information regarding hospital-acquired neurolisteriosis is also included to provide a framework for discussing nosocomial cases definition.</p>","PeriodicalId":50715,"journal":{"name":"Canadian Journal of Infectious Diseases & Medical Microbiology","volume":"2025 ","pages":"5960643"},"PeriodicalIF":2.6000,"publicationDate":"2025-06-12","publicationTypes":"Journal Article","fieldsOfStudy":null,"isOpenAccess":false,"openAccessPdf":"https://www.ncbi.nlm.nih.gov/pmc/articles/PMC12178782/pdf/","citationCount":"0","resultStr":"{\"title\":\"Clinical Presentations and Nosocomial Infections of Neurolisteriosis.\",\"authors\":\"Javier Vicente Trejos Pino, Juan Carlos Rodriguez Delgado\",\"doi\":\"10.1155/cjid/5960643\",\"DOIUrl\":null,\"url\":null,\"abstract\":\"<p><p>Neurolisteriosis is a listerial invasive disease, which is characterized by brain parenchymal and meningeal involvement, with a high fatality rate and frequent neurological sequelae. The main clinical presentations of neurolisteriosis are meningitis, meningoencephalitis, rhombencephalitis, and brain abscess. Neuroradiological imaging is useful to distinguish these clinical presentations. The diagnosis of neurolisteriosis may be confirmed by cerebrospinal fluid or blood cultures, but these tests may have different yields depending on the clinical presentation of neurolisteriosis. The elderly and immunocompromised patients are the most susceptible population to developing neurolisteriosis, and few cases occur in healthy young people. This disease is caused by <i>Listeria monocytogenes</i>, a foodborne pathogen with an intracellular life cycle, which can be found in processed foods, and it remains the third cause of bacterial meningitis in adults. Most cases of neurolisteriosis are community-acquired, but several hospital-acquired cases and outbreaks have been reported in the literature and linked to the consumption of food served to inpatients. Aminopenicillins are the antibiotics with the highest impact on the prognosis of neurolisteriosis, and alternative antimicrobial therapies must be considered in those cases where a first-choice antibiotic cannot be administered or with antibiotic treatment failure. In this article, the epidemiology, sources of infection, pathogenesis, and clinical aspects of neurolisteriosis are reviewed, highlighting the main clinical presentations of the disease. Relevant information regarding hospital-acquired neurolisteriosis is also included to provide a framework for discussing nosocomial cases definition.</p>\",\"PeriodicalId\":50715,\"journal\":{\"name\":\"Canadian Journal of Infectious Diseases & Medical Microbiology\",\"volume\":\"2025 \",\"pages\":\"5960643\"},\"PeriodicalIF\":2.6000,\"publicationDate\":\"2025-06-12\",\"publicationTypes\":\"Journal Article\",\"fieldsOfStudy\":null,\"isOpenAccess\":false,\"openAccessPdf\":\"https://www.ncbi.nlm.nih.gov/pmc/articles/PMC12178782/pdf/\",\"citationCount\":\"0\",\"resultStr\":null,\"platform\":\"Semanticscholar\",\"paperid\":null,\"PeriodicalName\":\"Canadian Journal of Infectious Diseases & Medical Microbiology\",\"FirstCategoryId\":\"3\",\"ListUrlMain\":\"https://doi.org/10.1155/cjid/5960643\",\"RegionNum\":4,\"RegionCategory\":\"医学\",\"ArticlePicture\":[],\"TitleCN\":null,\"AbstractTextCN\":null,\"PMCID\":null,\"EPubDate\":\"2025/1/1 0:00:00\",\"PubModel\":\"eCollection\",\"JCR\":\"Q3\",\"JCRName\":\"INFECTIOUS DISEASES\",\"Score\":null,\"Total\":0}","platform":"Semanticscholar","paperid":null,"PeriodicalName":"Canadian Journal of Infectious Diseases & Medical Microbiology","FirstCategoryId":"3","ListUrlMain":"https://doi.org/10.1155/cjid/5960643","RegionNum":4,"RegionCategory":"医学","ArticlePicture":[],"TitleCN":null,"AbstractTextCN":null,"PMCID":null,"EPubDate":"2025/1/1 0:00:00","PubModel":"eCollection","JCR":"Q3","JCRName":"INFECTIOUS DISEASES","Score":null,"Total":0}
引用次数: 0

摘要

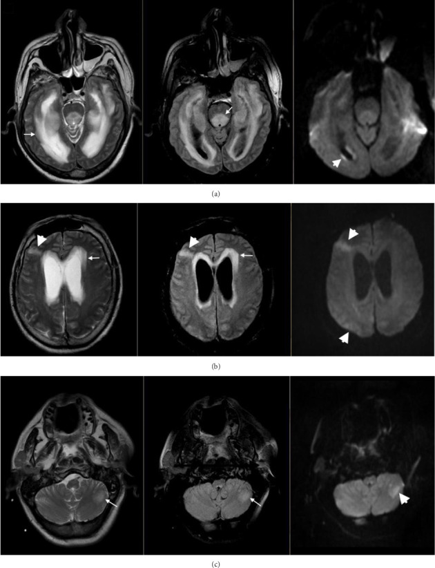
神经李斯特菌病是一种以累及脑实质和脑膜为特征的侵袭性李斯特菌病,病死率高,神经系统后遗症多。神经李斯特菌病的主要临床表现为脑膜炎、脑膜脑炎、菱形脑炎和脑脓肿。神经放射学成像有助于区分这些临床表现。神经李斯特菌病的诊断可通过脑脊液或血液培养来证实,但这些检查的结果可能因神经李斯特菌病的临床表现而异。老年人和免疫功能低下患者是发生神经李斯特菌病的最易感人群,在健康的年轻人中很少发生病例。这种疾病是由单核细胞增生李斯特菌引起的,这是一种具有细胞内生命周期的食源性病原体,可在加工食品中发现,它仍然是成人细菌性脑膜炎的第三个原因。大多数神经李斯特菌病病例是社区获得性的,但文献中也报道了一些医院获得性病例和疫情,这些病例和疫情与住院病人食用的食物有关。氨霉素是对神经李斯特菌病预后影响最大的抗生素,在无法使用首选抗生素或抗生素治疗失败的情况下,必须考虑其他抗生素治疗。本文综述了神经李斯特菌病的流行病学、感染源、发病机制和临床方面的研究进展,重点介绍了该疾病的主要临床表现。关于医院获得性神经李斯特菌病的相关信息也包括在内,以提供讨论医院病例定义的框架。
本文章由计算机程序翻译,如有差异,请以英文原文为准。

Clinical Presentations and Nosocomial Infections of Neurolisteriosis.

Clinical Presentations and Nosocomial Infections of Neurolisteriosis.

Clinical Presentations and Nosocomial Infections of Neurolisteriosis.

Neurolisteriosis is a listerial invasive disease, which is characterized by brain parenchymal and meningeal involvement, with a high fatality rate and frequent neurological sequelae. The main clinical presentations of neurolisteriosis are meningitis, meningoencephalitis, rhombencephalitis, and brain abscess. Neuroradiological imaging is useful to distinguish these clinical presentations. The diagnosis of neurolisteriosis may be confirmed by cerebrospinal fluid or blood cultures, but these tests may have different yields depending on the clinical presentation of neurolisteriosis. The elderly and immunocompromised patients are the most susceptible population to developing neurolisteriosis, and few cases occur in healthy young people. This disease is caused by Listeria monocytogenes, a foodborne pathogen with an intracellular life cycle, which can be found in processed foods, and it remains the third cause of bacterial meningitis in adults. Most cases of neurolisteriosis are community-acquired, but several hospital-acquired cases and outbreaks have been reported in the literature and linked to the consumption of food served to inpatients. Aminopenicillins are the antibiotics with the highest impact on the prognosis of neurolisteriosis, and alternative antimicrobial therapies must be considered in those cases where a first-choice antibiotic cannot be administered or with antibiotic treatment failure. In this article, the epidemiology, sources of infection, pathogenesis, and clinical aspects of neurolisteriosis are reviewed, highlighting the main clinical presentations of the disease. Relevant information regarding hospital-acquired neurolisteriosis is also included to provide a framework for discussing nosocomial cases definition.

求助全文
通过发布文献求助,成功后即可免费获取论文全文。 去求助
来源期刊
CiteScore
4.30
自引率
0.00%
发文量
108
审稿时长
>12 weeks
期刊介绍: Canadian Journal of Infectious Diseases and Medical Microbiology is a peer-reviewed, Open Access journal that publishes original research articles, review articles, and clinical studies related to infectious diseases of bacterial, viral and parasitic origin. The journal welcomes articles describing research on pathogenesis, epidemiology of infection, diagnosis and treatment, antibiotics and resistance, and immunology.
×
引用
GB/T 7714-2015
复制
MLA
复制
APA
复制
导出至
BibTeX EndNote RefMan NoteFirst NoteExpress
×
提示
您的信息不完整,为了账户安全,请先补充。
现在去补充
×
提示
您因"违规操作"
具体请查看互助需知
我知道了
×
提示
确定
请完成安全验证×
copy
已复制链接
快去分享给好友吧!
我知道了
右上角分享
点击右上角分享
0
联系我们:info@booksci.cn Book学术提供免费学术资源搜索服务,方便国内外学者检索中英文文献。致力于提供最便捷和优质的服务体验。 Copyright © 2023 布克学术 All rights reserved.
京ICP备2023020795号-1
ghs 京公网安备 11010802042870号
Book学术文献互助
Book学术文献互助群
群 号:604180095
Book学术官方微信