抗胡相关综合征假性失弛缓症的晚发性。

IF 0.5 Q4 GASTROENTEROLOGY & HEPATOLOGY
Case Reports in Gastrointestinal Medicine Pub Date : 2025-06-16 eCollection Date: 2025-01-01 DOI:10.1155/crgm/6627099
Jens Jaekel, Christian Jürgensen, Frank Tacke, Christoph Jochum, Gianluca Barbone
{"title":"抗胡相关综合征假性失弛缓症的晚发性。","authors":"Jens Jaekel, Christian Jürgensen, Frank Tacke, Christoph Jochum, Gianluca Barbone","doi":"10.1155/crgm/6627099","DOIUrl":null,"url":null,"abstract":"<p><p><b>Background:</b> Pseudoachalasia is a rare manifestation of anti-Hu-associated syndrome. We present the case of a 61-year-old female patient presenting primarily with progressive pain and sensory disturbance of all limbs. Neurological symptoms progressed after the primary treatment response and onconeural anti-Hu-antibodies were tested positive, which is often a surrogate to paraneoplastic syndrome. Subsequently, after repeated imaging, a lung carcinoid tumor was resected without detectable recurrence after surgery. Nearly 90 months after the first neurological manifestation, the patient developed dysphagia and the diagnosis of pseudoachalasia was established by esophageal manometry. Due to recurrence after pneumatic dilatation, endoscopic botulinum toxin injection provided good clinical results for the patient. <b>Purpose:</b> This case illustrates that anti-Hu-associated paraneoplastic pseudoachalasia may occur late in the clinical course, indicating that new-onset dysphagia in anti-Hu-positive individuals should be thoroughly investigated by imaging, endoscopy, manometry, and histology.</p>","PeriodicalId":45645,"journal":{"name":"Case Reports in Gastrointestinal Medicine","volume":"2025 ","pages":"6627099"},"PeriodicalIF":0.5000,"publicationDate":"2025-06-16","publicationTypes":"Journal Article","fieldsOfStudy":null,"isOpenAccess":false,"openAccessPdf":"https://www.ncbi.nlm.nih.gov/pmc/articles/PMC12185212/pdf/","citationCount":"0","resultStr":"{\"title\":\"Late Onset of Pseudoachalasia in Anti-Hu-Associated Syndrome.\",\"authors\":\"Jens Jaekel, Christian Jürgensen, Frank Tacke, Christoph Jochum, Gianluca Barbone\",\"doi\":\"10.1155/crgm/6627099\",\"DOIUrl\":null,\"url\":null,\"abstract\":\"<p><p><b>Background:</b> Pseudoachalasia is a rare manifestation of anti-Hu-associated syndrome. We present the case of a 61-year-old female patient presenting primarily with progressive pain and sensory disturbance of all limbs. Neurological symptoms progressed after the primary treatment response and onconeural anti-Hu-antibodies were tested positive, which is often a surrogate to paraneoplastic syndrome. Subsequently, after repeated imaging, a lung carcinoid tumor was resected without detectable recurrence after surgery. Nearly 90 months after the first neurological manifestation, the patient developed dysphagia and the diagnosis of pseudoachalasia was established by esophageal manometry. Due to recurrence after pneumatic dilatation, endoscopic botulinum toxin injection provided good clinical results for the patient. <b>Purpose:</b> This case illustrates that anti-Hu-associated paraneoplastic pseudoachalasia may occur late in the clinical course, indicating that new-onset dysphagia in anti-Hu-positive individuals should be thoroughly investigated by imaging, endoscopy, manometry, and histology.</p>\",\"PeriodicalId\":45645,\"journal\":{\"name\":\"Case Reports in Gastrointestinal Medicine\",\"volume\":\"2025 \",\"pages\":\"6627099\"},\"PeriodicalIF\":0.5000,\"publicationDate\":\"2025-06-16\",\"publicationTypes\":\"Journal Article\",\"fieldsOfStudy\":null,\"isOpenAccess\":false,\"openAccessPdf\":\"https://www.ncbi.nlm.nih.gov/pmc/articles/PMC12185212/pdf/\",\"citationCount\":\"0\",\"resultStr\":null,\"platform\":\"Semanticscholar\",\"paperid\":null,\"PeriodicalName\":\"Case Reports in Gastrointestinal Medicine\",\"FirstCategoryId\":\"1085\",\"ListUrlMain\":\"https://doi.org/10.1155/crgm/6627099\",\"RegionNum\":0,\"RegionCategory\":null,\"ArticlePicture\":[],\"TitleCN\":null,\"AbstractTextCN\":null,\"PMCID\":null,\"EPubDate\":\"2025/1/1 0:00:00\",\"PubModel\":\"eCollection\",\"JCR\":\"Q4\",\"JCRName\":\"GASTROENTEROLOGY & HEPATOLOGY\",\"Score\":null,\"Total\":0}","platform":"Semanticscholar","paperid":null,"PeriodicalName":"Case Reports in Gastrointestinal Medicine","FirstCategoryId":"1085","ListUrlMain":"https://doi.org/10.1155/crgm/6627099","RegionNum":0,"RegionCategory":null,"ArticlePicture":[],"TitleCN":null,"AbstractTextCN":null,"PMCID":null,"EPubDate":"2025/1/1 0:00:00","PubModel":"eCollection","JCR":"Q4","JCRName":"GASTROENTEROLOGY & HEPATOLOGY","Score":null,"Total":0}
引用次数: 0

摘要

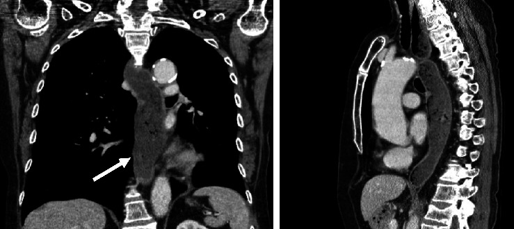
背景:假性失弛缓症是一种罕见的抗胡相关综合征的表现。我们提出的情况下,61岁的女性患者主要表现为进行性疼痛和四肢感觉障碍。原发性治疗反应后神经系统症状进展,神经抗胡抗体检测呈阳性,这通常是副肿瘤综合征的替代指标。随后,在反复成像后,切除了肺类癌,术后未发现复发。首次神经系统症状出现近90个月后,患者出现吞咽困难,通过食管测压法诊断为假性失弛缓症。由于气动扩张后复发,经内镜注射肉毒杆菌毒素对患者的临床效果很好。目的:本病例说明抗胡相关的副肿瘤假性失弛缓症可能发生在临床过程的后期,提示抗胡阳性个体新发吞咽困难应通过影像学、内窥镜检查、测压和组织学进行彻底调查。
本文章由计算机程序翻译,如有差异,请以英文原文为准。

Late Onset of Pseudoachalasia in Anti-Hu-Associated Syndrome.

Late Onset of Pseudoachalasia in Anti-Hu-Associated Syndrome.

Late Onset of Pseudoachalasia in Anti-Hu-Associated Syndrome.

Late Onset of Pseudoachalasia in Anti-Hu-Associated Syndrome.

Background: Pseudoachalasia is a rare manifestation of anti-Hu-associated syndrome. We present the case of a 61-year-old female patient presenting primarily with progressive pain and sensory disturbance of all limbs. Neurological symptoms progressed after the primary treatment response and onconeural anti-Hu-antibodies were tested positive, which is often a surrogate to paraneoplastic syndrome. Subsequently, after repeated imaging, a lung carcinoid tumor was resected without detectable recurrence after surgery. Nearly 90 months after the first neurological manifestation, the patient developed dysphagia and the diagnosis of pseudoachalasia was established by esophageal manometry. Due to recurrence after pneumatic dilatation, endoscopic botulinum toxin injection provided good clinical results for the patient. Purpose: This case illustrates that anti-Hu-associated paraneoplastic pseudoachalasia may occur late in the clinical course, indicating that new-onset dysphagia in anti-Hu-positive individuals should be thoroughly investigated by imaging, endoscopy, manometry, and histology.

求助全文
通过发布文献求助,成功后即可免费获取论文全文。 去求助
来源期刊
Case Reports in Gastrointestinal Medicine
Case Reports in Gastrointestinal Medicine GASTROENTEROLOGY & HEPATOLOGY-
自引率
0.00%
发文量
33
审稿时长
14 weeks
×
引用
GB/T 7714-2015
复制
MLA
复制
APA
复制
导出至
BibTeX EndNote RefMan NoteFirst NoteExpress
×
提示
您的信息不完整,为了账户安全,请先补充。
现在去补充
×
提示
您因"违规操作"
具体请查看互助需知
我知道了
×
提示
确定
请完成安全验证×
copy
已复制链接
快去分享给好友吧!
我知道了
右上角分享
点击右上角分享
0
联系我们:info@booksci.cn Book学术提供免费学术资源搜索服务,方便国内外学者检索中英文文献。致力于提供最便捷和优质的服务体验。 Copyright © 2023 布克学术 All rights reserved.
京ICP备2023020795号-1
ghs 京公网安备 11010802042870号
Book学术文献互助
Book学术文献互助群
群 号:604180095
Book学术官方微信