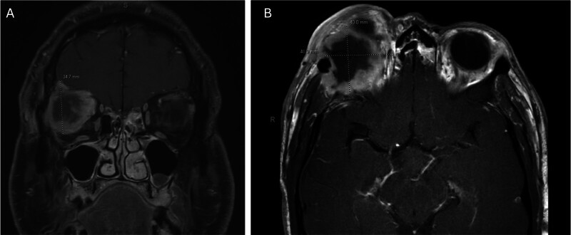
有颅内延伸的泪腺前多形性腺瘤。

IF 0.7 Q4 CLINICAL NEUROLOGY
Journal of Neurological Surgery Reports Pub Date : 2025-06-23 eCollection Date: 2025-04-01 DOI:10.1055/a-2629-9251
Daniel Sharbel, Osayamen Atekha, Scott Rahimi, James Kenneth Byrd
{"title":"有颅内延伸的泪腺前多形性腺瘤。","authors":"Daniel Sharbel, Osayamen Atekha, Scott Rahimi, James Kenneth Byrd","doi":"10.1055/a-2629-9251","DOIUrl":null,"url":null,"abstract":"<p><p>Carcinoma ex-pleomorphic adenoma (CXPA) of the lacrimal gland is rare, and its management can be complex given its anatomic location. In this case report, we describe our approach to multidisciplinary management of a CXPA with intracranial extension.</p>","PeriodicalId":44256,"journal":{"name":"Journal of Neurological Surgery Reports","volume":"86 2","pages":"e133-e135"},"PeriodicalIF":0.7000,"publicationDate":"2025-06-23","publicationTypes":"Journal Article","fieldsOfStudy":null,"isOpenAccess":false,"openAccessPdf":"https://www.ncbi.nlm.nih.gov/pmc/articles/PMC12185180/pdf/","citationCount":"0","resultStr":"{\"title\":\"Carcinoma Ex-Pleomorphic Adenoma of the Lacrimal Gland with Intracranial Extension.\",\"authors\":\"Daniel Sharbel, Osayamen Atekha, Scott Rahimi, James Kenneth Byrd\",\"doi\":\"10.1055/a-2629-9251\",\"DOIUrl\":null,\"url\":null,\"abstract\":\"<p><p>Carcinoma ex-pleomorphic adenoma (CXPA) of the lacrimal gland is rare, and its management can be complex given its anatomic location. In this case report, we describe our approach to multidisciplinary management of a CXPA with intracranial extension.</p>\",\"PeriodicalId\":44256,\"journal\":{\"name\":\"Journal of Neurological Surgery Reports\",\"volume\":\"86 2\",\"pages\":\"e133-e135\"},\"PeriodicalIF\":0.7000,\"publicationDate\":\"2025-06-23\",\"publicationTypes\":\"Journal Article\",\"fieldsOfStudy\":null,\"isOpenAccess\":false,\"openAccessPdf\":\"https://www.ncbi.nlm.nih.gov/pmc/articles/PMC12185180/pdf/\",\"citationCount\":\"0\",\"resultStr\":null,\"platform\":\"Semanticscholar\",\"paperid\":null,\"PeriodicalName\":\"Journal of Neurological Surgery Reports\",\"FirstCategoryId\":\"1085\",\"ListUrlMain\":\"https://doi.org/10.1055/a-2629-9251\",\"RegionNum\":0,\"RegionCategory\":null,\"ArticlePicture\":[],\"TitleCN\":null,\"AbstractTextCN\":null,\"PMCID\":null,\"EPubDate\":\"2025/4/1 0:00:00\",\"PubModel\":\"eCollection\",\"JCR\":\"Q4\",\"JCRName\":\"CLINICAL NEUROLOGY\",\"Score\":null,\"Total\":0}","platform":"Semanticscholar","paperid":null,"PeriodicalName":"Journal of Neurological Surgery Reports","FirstCategoryId":"1085","ListUrlMain":"https://doi.org/10.1055/a-2629-9251","RegionNum":0,"RegionCategory":null,"ArticlePicture":[],"TitleCN":null,"AbstractTextCN":null,"PMCID":null,"EPubDate":"2025/4/1 0:00:00","PubModel":"eCollection","JCR":"Q4","JCRName":"CLINICAL NEUROLOGY","Score":null,"Total":0}
引用次数: 0

摘要

泪腺癌前多形性腺瘤(CXPA)是罕见的,其处理可能是复杂的解剖位置。在这个病例报告中,我们描述了我们的方法多学科管理颅内扩张的expa。
本文章由计算机程序翻译,如有差异,请以英文原文为准。

Carcinoma Ex-Pleomorphic Adenoma of the Lacrimal Gland with Intracranial Extension.

Carcinoma Ex-Pleomorphic Adenoma of the Lacrimal Gland with Intracranial Extension.

Carcinoma Ex-Pleomorphic Adenoma of the Lacrimal Gland with Intracranial Extension.

Carcinoma ex-pleomorphic adenoma (CXPA) of the lacrimal gland is rare, and its management can be complex given its anatomic location. In this case report, we describe our approach to multidisciplinary management of a CXPA with intracranial extension.

求助全文
通过发布文献求助,成功后即可免费获取论文全文。 去求助
来源期刊
自引率
0.00%
发文量
31
审稿时长
12 weeks
×
引用
GB/T 7714-2015
复制
MLA
复制
APA
复制
导出至
BibTeX EndNote RefMan NoteFirst NoteExpress
×
提示
您的信息不完整,为了账户安全,请先补充。
现在去补充
×
提示
您因"违规操作"
具体请查看互助需知
我知道了
×
提示
确定
请完成安全验证×
copy
已复制链接
快去分享给好友吧!
我知道了
右上角分享
点击右上角分享
0
联系我们:info@booksci.cn Book学术提供免费学术资源搜索服务,方便国内外学者检索中英文文献。致力于提供最便捷和优质的服务体验。 Copyright © 2023 布克学术 All rights reserved.
京ICP备2023020795号-1
ghs 京公网安备 11010802042870号
Book学术文献互助
Book学术文献互助群
群 号:604180095
Book学术官方微信