COVID-19是主动脉瓣炎的潜在原因。

Q2 Medicine
Methodist DeBakey cardiovascular journal Pub Date : 2025-06-18 eCollection Date: 2025-01-01 DOI:10.14797/mdcvj.1499
Blair Warren, Aakash Patel, Suman Pasupuleti, Roshni Kotwani
{"title":"COVID-19是主动脉瓣炎的潜在原因。","authors":"Blair Warren, Aakash Patel, Suman Pasupuleti, Roshni Kotwani","doi":"10.14797/mdcvj.1499","DOIUrl":null,"url":null,"abstract":"<p><p>About 25% of patients diagnosed with coronavirus disease 19 (COVID-19) experience cardiovascular complications, contributing to 40% of related deaths. Here we discuss a 69-year-old male with a history of congestive heart failure and preserved ejection fraction at New York Heart Association (NYHA) class II who presented with new dyspnea, cough, and paroxysmal nocturnal dyspnea. He was subsequently diagnosed with COVID-19 pneumonia, and while he initially recovered, he later showed worsening symptoms with progression to NYHA class IV. Follow-up echocardiogram revealed a decline in ejection fraction to 40% and severe aortic insufficiency. He underwent surgical aortic valve replacement, resolving his symptoms. This case highlights COVID-19's potential to cause rapid progression of valvular disease.</p>","PeriodicalId":39207,"journal":{"name":"Methodist DeBakey cardiovascular journal","volume":"21 1","pages":"68-73"},"PeriodicalIF":0.0000,"publicationDate":"2025-06-18","publicationTypes":"Journal Article","fieldsOfStudy":null,"isOpenAccess":false,"openAccessPdf":"https://www.ncbi.nlm.nih.gov/pmc/articles/PMC12180435/pdf/","citationCount":"0","resultStr":"{\"title\":\"COVID-19 as Potential Cause of Aortic Valvulitis.\",\"authors\":\"Blair Warren, Aakash Patel, Suman Pasupuleti, Roshni Kotwani\",\"doi\":\"10.14797/mdcvj.1499\",\"DOIUrl\":null,\"url\":null,\"abstract\":\"<p><p>About 25% of patients diagnosed with coronavirus disease 19 (COVID-19) experience cardiovascular complications, contributing to 40% of related deaths. Here we discuss a 69-year-old male with a history of congestive heart failure and preserved ejection fraction at New York Heart Association (NYHA) class II who presented with new dyspnea, cough, and paroxysmal nocturnal dyspnea. He was subsequently diagnosed with COVID-19 pneumonia, and while he initially recovered, he later showed worsening symptoms with progression to NYHA class IV. Follow-up echocardiogram revealed a decline in ejection fraction to 40% and severe aortic insufficiency. He underwent surgical aortic valve replacement, resolving his symptoms. This case highlights COVID-19's potential to cause rapid progression of valvular disease.</p>\",\"PeriodicalId\":39207,\"journal\":{\"name\":\"Methodist DeBakey cardiovascular journal\",\"volume\":\"21 1\",\"pages\":\"68-73\"},\"PeriodicalIF\":0.0000,\"publicationDate\":\"2025-06-18\",\"publicationTypes\":\"Journal Article\",\"fieldsOfStudy\":null,\"isOpenAccess\":false,\"openAccessPdf\":\"https://www.ncbi.nlm.nih.gov/pmc/articles/PMC12180435/pdf/\",\"citationCount\":\"0\",\"resultStr\":null,\"platform\":\"Semanticscholar\",\"paperid\":null,\"PeriodicalName\":\"Methodist DeBakey cardiovascular journal\",\"FirstCategoryId\":\"1085\",\"ListUrlMain\":\"https://doi.org/10.14797/mdcvj.1499\",\"RegionNum\":0,\"RegionCategory\":null,\"ArticlePicture\":[],\"TitleCN\":null,\"AbstractTextCN\":null,\"PMCID\":null,\"EPubDate\":\"2025/1/1 0:00:00\",\"PubModel\":\"eCollection\",\"JCR\":\"Q2\",\"JCRName\":\"Medicine\",\"Score\":null,\"Total\":0}","platform":"Semanticscholar","paperid":null,"PeriodicalName":"Methodist DeBakey cardiovascular journal","FirstCategoryId":"1085","ListUrlMain":"https://doi.org/10.14797/mdcvj.1499","RegionNum":0,"RegionCategory":null,"ArticlePicture":[],"TitleCN":null,"AbstractTextCN":null,"PMCID":null,"EPubDate":"2025/1/1 0:00:00","PubModel":"eCollection","JCR":"Q2","JCRName":"Medicine","Score":null,"Total":0}
引用次数: 0

摘要

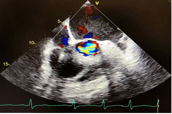
约25%被诊断患有冠状病毒病19 (COVID-19)的患者出现心血管并发症,导致40%的相关死亡。在此,我们讨论一位69岁男性,有充血性心力衰竭病史,并在纽约心脏协会(NYHA) II级保留射血分数,表现为新的呼吸困难,咳嗽和阵发性夜间呼吸困难。他随后被诊断为COVID-19肺炎,虽然他最初康复,但后来症状恶化,进展为NYHA IV级。随访超声心动图显示射血分数下降至40%,主动脉严重不全。他接受了主动脉瓣置换术,缓解了症状。该病例突出了COVID-19导致瓣膜疾病快速进展的可能性。
本文章由计算机程序翻译,如有差异,请以英文原文为准。

COVID-19 as Potential Cause of Aortic Valvulitis.

COVID-19 as Potential Cause of Aortic Valvulitis.

COVID-19 as Potential Cause of Aortic Valvulitis.

COVID-19 as Potential Cause of Aortic Valvulitis.

About 25% of patients diagnosed with coronavirus disease 19 (COVID-19) experience cardiovascular complications, contributing to 40% of related deaths. Here we discuss a 69-year-old male with a history of congestive heart failure and preserved ejection fraction at New York Heart Association (NYHA) class II who presented with new dyspnea, cough, and paroxysmal nocturnal dyspnea. He was subsequently diagnosed with COVID-19 pneumonia, and while he initially recovered, he later showed worsening symptoms with progression to NYHA class IV. Follow-up echocardiogram revealed a decline in ejection fraction to 40% and severe aortic insufficiency. He underwent surgical aortic valve replacement, resolving his symptoms. This case highlights COVID-19's potential to cause rapid progression of valvular disease.

求助全文
通过发布文献求助,成功后即可免费获取论文全文。 去求助
来源期刊
CiteScore
2.30
自引率
0.00%
发文量
65
×
引用
GB/T 7714-2015
复制
MLA
复制
APA
复制
导出至
BibTeX EndNote RefMan NoteFirst NoteExpress
×
提示
您的信息不完整,为了账户安全,请先补充。
现在去补充
×
提示
您因"违规操作"
具体请查看互助需知
我知道了
×
提示
确定
请完成安全验证×
copy
已复制链接
快去分享给好友吧!
我知道了
右上角分享
点击右上角分享
0
联系我们:info@booksci.cn Book学术提供免费学术资源搜索服务,方便国内外学者检索中英文文献。致力于提供最便捷和优质的服务体验。 Copyright © 2023 布克学术 All rights reserved.
京ICP备2023020795号-1
ghs 京公网安备 11010802042870号
Book学术文献互助
Book学术文献互助群
群 号:604180095
Book学术官方微信