转铁蛋白受体-1在犬乳腺肿瘤中的表达及其体外治疗应用

IF 1.9 2区 农林科学 Q1 VETERINARY SCIENCES
Veterinary and comparative oncology Pub Date : 2025-09-01 Epub Date: 2025-06-23 DOI:10.1111/vco.70000
Valentina Moccia, Nicolò Rensi, Giovanni Paolo Marullo, Alessandro Sammarco, Federico Bonsembiante, Filippo Torrigiani, Lucia Salvioni, Davide Prosperi, Valentina Zappulli, Laura Cavicchioli
{"title":"转铁蛋白受体-1在犬乳腺肿瘤中的表达及其体外治疗应用","authors":"Valentina Moccia, Nicolò Rensi, Giovanni Paolo Marullo, Alessandro Sammarco, Federico Bonsembiante, Filippo Torrigiani, Lucia Salvioni, Davide Prosperi, Valentina Zappulli, Laura Cavicchioli","doi":"10.1111/vco.70000","DOIUrl":null,"url":null,"abstract":"<p><p>The transferrin receptor-1 (TFR-1) is overexpressed in many types of human cancers and, in recent years, several studies have investigated its use as a preferential channel for drug cellular uptake in cancer therapy. In veterinary medicine, TFR-1 expression in cancer cells and tissues has been poorly described, as well as its therapeutic potential. In this study we investigated TFR-1 expression in different subtypes of canine mammary tumours (CMTs) and in two CMT cell lines, one primary (CIPp) and one metastatic (CIPm). Additionally, we also compared the in vitro efficacy of an engineered human apoferritin nanocage loaded with doxorubicin (HFn(DOX)) with the conventional doxorubicin treatment on CIPp and CIPm. In CMT tissues, TFR-1 was more expressed in the tumoral tissues compared to the hyperplastic counterparts, specifically with regards to carcinoma and malignant myoepithelioma and simple carcinoma subtypes (p < 0.05). CIPp and CIPm did not show any significant difference in TFR-1 protein expression, while TFR-1 gene expression was higher in CIPm (p < 0.05). The treatment with HFn(DOX) was more efficient than free doxorubicin only on CIPp at high concentrations (50 μM). In conclusion, we show for the first time the variability of TFR-1 expression in CMT tissues and cell lines. Although further investigations are necessary, HFn can be loaded with different chemotherapeutic compounds, becoming an innovative therapeutic tool for the treatment of cancers highly expressing TFR-1 in veterinary and human medicine.</p>","PeriodicalId":23693,"journal":{"name":"Veterinary and comparative oncology","volume":" ","pages":"476-485"},"PeriodicalIF":1.9000,"publicationDate":"2025-09-01","publicationTypes":"Journal Article","fieldsOfStudy":null,"isOpenAccess":false,"openAccessPdf":"https://www.ncbi.nlm.nih.gov/pmc/articles/PMC12378079/pdf/","citationCount":"0","resultStr":"{\"title\":\"Transferrin Receptor-1: Expression in Canine Mammary Tumours and In Vitro Therapeutic Applications.\",\"authors\":\"Valentina Moccia, Nicolò Rensi, Giovanni Paolo Marullo, Alessandro Sammarco, Federico Bonsembiante, Filippo Torrigiani, Lucia Salvioni, Davide Prosperi, Valentina Zappulli, Laura Cavicchioli\",\"doi\":\"10.1111/vco.70000\",\"DOIUrl\":null,\"url\":null,\"abstract\":\"<p><p>The transferrin receptor-1 (TFR-1) is overexpressed in many types of human cancers and, in recent years, several studies have investigated its use as a preferential channel for drug cellular uptake in cancer therapy. In veterinary medicine, TFR-1 expression in cancer cells and tissues has been poorly described, as well as its therapeutic potential. In this study we investigated TFR-1 expression in different subtypes of canine mammary tumours (CMTs) and in two CMT cell lines, one primary (CIPp) and one metastatic (CIPm). Additionally, we also compared the in vitro efficacy of an engineered human apoferritin nanocage loaded with doxorubicin (HFn(DOX)) with the conventional doxorubicin treatment on CIPp and CIPm. In CMT tissues, TFR-1 was more expressed in the tumoral tissues compared to the hyperplastic counterparts, specifically with regards to carcinoma and malignant myoepithelioma and simple carcinoma subtypes (p < 0.05). CIPp and CIPm did not show any significant difference in TFR-1 protein expression, while TFR-1 gene expression was higher in CIPm (p < 0.05). The treatment with HFn(DOX) was more efficient than free doxorubicin only on CIPp at high concentrations (50 μM). In conclusion, we show for the first time the variability of TFR-1 expression in CMT tissues and cell lines. Although further investigations are necessary, HFn can be loaded with different chemotherapeutic compounds, becoming an innovative therapeutic tool for the treatment of cancers highly expressing TFR-1 in veterinary and human medicine.</p>\",\"PeriodicalId\":23693,\"journal\":{\"name\":\"Veterinary and comparative oncology\",\"volume\":\" \",\"pages\":\"476-485\"},\"PeriodicalIF\":1.9000,\"publicationDate\":\"2025-09-01\",\"publicationTypes\":\"Journal Article\",\"fieldsOfStudy\":null,\"isOpenAccess\":false,\"openAccessPdf\":\"https://www.ncbi.nlm.nih.gov/pmc/articles/PMC12378079/pdf/\",\"citationCount\":\"0\",\"resultStr\":null,\"platform\":\"Semanticscholar\",\"paperid\":null,\"PeriodicalName\":\"Veterinary and comparative oncology\",\"FirstCategoryId\":\"97\",\"ListUrlMain\":\"https://doi.org/10.1111/vco.70000\",\"RegionNum\":2,\"RegionCategory\":\"农林科学\",\"ArticlePicture\":[],\"TitleCN\":null,\"AbstractTextCN\":null,\"PMCID\":null,\"EPubDate\":\"2025/6/23 0:00:00\",\"PubModel\":\"Epub\",\"JCR\":\"Q1\",\"JCRName\":\"VETERINARY SCIENCES\",\"Score\":null,\"Total\":0}","platform":"Semanticscholar","paperid":null,"PeriodicalName":"Veterinary and comparative oncology","FirstCategoryId":"97","ListUrlMain":"https://doi.org/10.1111/vco.70000","RegionNum":2,"RegionCategory":"农林科学","ArticlePicture":[],"TitleCN":null,"AbstractTextCN":null,"PMCID":null,"EPubDate":"2025/6/23 0:00:00","PubModel":"Epub","JCR":"Q1","JCRName":"VETERINARY SCIENCES","Score":null,"Total":0}
引用次数: 0

摘要

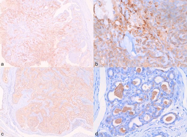
转铁蛋白受体-1 (TFR-1)在许多类型的人类癌症中过度表达,近年来,一些研究已经探讨了它作为癌症治疗中药物细胞摄取的优先通道的用途。在兽医学中,TFR-1在癌细胞和组织中的表达及其治疗潜力的描述很少。在这项研究中,我们研究了TFR-1在犬乳腺肿瘤(CMTs)不同亚型和两种CMT细胞系(一种原发(CIPp)和一种转移(CIPm))中的表达。此外,我们还比较了载多柔比星(HFn(DOX))的工程人载铁蛋白纳米笼与传统的多柔比星处理对CIPp和CIPm的体外疗效。在CMT组织中,与增生性组织相比,TFR-1在肿瘤组织中的表达更多,特别是在癌、恶性肌上皮瘤和单纯性癌亚型中(p
本文章由计算机程序翻译,如有差异,请以英文原文为准。

Transferrin Receptor-1: Expression in Canine Mammary Tumours and In Vitro Therapeutic Applications.

Transferrin Receptor-1: Expression in Canine Mammary Tumours and In Vitro Therapeutic Applications.

Transferrin Receptor-1: Expression in Canine Mammary Tumours and In Vitro Therapeutic Applications.

Transferrin Receptor-1: Expression in Canine Mammary Tumours and In Vitro Therapeutic Applications.

The transferrin receptor-1 (TFR-1) is overexpressed in many types of human cancers and, in recent years, several studies have investigated its use as a preferential channel for drug cellular uptake in cancer therapy. In veterinary medicine, TFR-1 expression in cancer cells and tissues has been poorly described, as well as its therapeutic potential. In this study we investigated TFR-1 expression in different subtypes of canine mammary tumours (CMTs) and in two CMT cell lines, one primary (CIPp) and one metastatic (CIPm). Additionally, we also compared the in vitro efficacy of an engineered human apoferritin nanocage loaded with doxorubicin (HFn(DOX)) with the conventional doxorubicin treatment on CIPp and CIPm. In CMT tissues, TFR-1 was more expressed in the tumoral tissues compared to the hyperplastic counterparts, specifically with regards to carcinoma and malignant myoepithelioma and simple carcinoma subtypes (p < 0.05). CIPp and CIPm did not show any significant difference in TFR-1 protein expression, while TFR-1 gene expression was higher in CIPm (p < 0.05). The treatment with HFn(DOX) was more efficient than free doxorubicin only on CIPp at high concentrations (50 μM). In conclusion, we show for the first time the variability of TFR-1 expression in CMT tissues and cell lines. Although further investigations are necessary, HFn can be loaded with different chemotherapeutic compounds, becoming an innovative therapeutic tool for the treatment of cancers highly expressing TFR-1 in veterinary and human medicine.

求助全文
通过发布文献求助,成功后即可免费获取论文全文。 去求助
来源期刊
Veterinary and comparative oncology
Veterinary and comparative oncology 农林科学-兽医学
CiteScore
4.80
自引率
9.50%
发文量
75
审稿时长
>24 weeks
期刊介绍: Veterinary and Comparative Oncology (VCO) is an international, peer-reviewed journal integrating clinical and scientific information from a variety of related disciplines and from worldwide sources for all veterinary oncologists and cancer researchers concerned with aetiology, diagnosis and clinical course of cancer in domestic animals and its prevention. With the ultimate aim of diminishing suffering from cancer, the journal supports the transfer of knowledge in all aspects of veterinary oncology, from the application of new laboratory technology to cancer prevention, early detection, diagnosis and therapy. In addition to original articles, the journal publishes solicited editorials, review articles, commentary, correspondence and abstracts from the published literature. Accordingly, studies describing laboratory work performed exclusively in purpose-bred domestic animals (e.g. dogs, cats, horses) will not be considered.
×
引用
GB/T 7714-2015
复制
MLA
复制
APA
复制
导出至
BibTeX EndNote RefMan NoteFirst NoteExpress
×
提示
您的信息不完整,为了账户安全,请先补充。
现在去补充
×
提示
您因"违规操作"
具体请查看互助需知
我知道了
×
提示
确定
请完成安全验证×
copy
已复制链接
快去分享给好友吧!
我知道了
右上角分享
点击右上角分享
0
联系我们:info@booksci.cn Book学术提供免费学术资源搜索服务,方便国内外学者检索中英文文献。致力于提供最便捷和优质的服务体验。 Copyright © 2023 布克学术 All rights reserved.
京ICP备2023020795号-1
ghs 京公网安备 11010802042870号
Book学术文献互助
Book学术文献互助群
群 号:604180095
Book学术官方微信