柚皮苷对双酚a诱导的公鸡神经和生殖系统氧化应激损伤的治疗作用。

IF 1.7 3区 农林科学 Q2 VETERINARY SCIENCES
Leah Oluwaseyanu Esuola, Oluwaseun Olarenwaju Esan, Adamu Shafiu Maikifi, Temitayo Olabisi Ajibade, Moses Olusola Adetona, Oluwasanmi Olayinka Aina, Ademola Adetokunbo Oyagabemi, Temidayo Olutayo Omobowale, Omolade Abodunrin Oladele, Evaristus Nwulia, Momoh Audu Yakubu, Oluwafemi Omoniyi Oguntibeju
{"title":"柚皮苷对双酚a诱导的公鸡神经和生殖系统氧化应激损伤的治疗作用。","authors":"Leah Oluwaseyanu Esuola, Oluwaseun Olarenwaju Esan, Adamu Shafiu Maikifi, Temitayo Olabisi Ajibade, Moses Olusola Adetona, Oluwasanmi Olayinka Aina, Ademola Adetokunbo Oyagabemi, Temidayo Olutayo Omobowale, Omolade Abodunrin Oladele, Evaristus Nwulia, Momoh Audu Yakubu, Oluwafemi Omoniyi Oguntibeju","doi":"10.1002/vms3.70322","DOIUrl":null,"url":null,"abstract":"<p><strong>Background: </strong>Bisphenol A (BPA) is an endocrine-disrupting chemical, and it is mostly used in plastic industries. Naringin is a potent flavonoid that has been reported to possess several beneficial pharmacological properties such as antioxidant, anti-inflammatory, and antiapoptotic properties.</p><p><strong>Objective: </strong>The aim of this study was to determine the protective effect of naringin against the damage induced by BPA in the brain and testes of commercial chicken.</p><p><strong>Methods: </strong>Thirty-day-old cockerel chickens were purchased and reared for 6 weeks and subsequently divided into six groups: group A (control), group B (100 ppm BPA-treated), group C (BPA and 100 mg/kg naringin-treated), Group D (BPA and 200 mg/kg naringin-treated), group E (100 mg/kg naringin-treated), and group F (200 mg/kg naringin-treated). BPA was administered via drinking water, while naringin was administered via oral gavage. Analyses such as biochemical assays, hormonal assays, histopathology, and immunohistochemistry were done.</p><p><strong>Results: </strong>The results showed a decrease in the level of LH, FSH, and testosterone, an increase in the level of oxidative stress markers (MDA and H<sub>2</sub>O<sub>2</sub>), and alteration in the levels of enzymatic and non-enzymatic antioxidants (GSH, GST, SOD, GPx) in the brain and testes of the BPA-intoxicated group. Histologically, neuronal necrosis and degeneration were observed in the brain, and degeneration of testicular cells was seen in the testes of BPA-intoxicated chickens. Immunohistochemical evaluation revealed low expression of myelin basic protein in the brain and increased expression of caspase 3 in the testes of the BPA-intoxicated group.</p><p><strong>Conclusions: </strong>Naringin reversed the neurotoxicity and reproductive toxicity of BPA by normalizing the values of the altered parameters. Hence, naringin ameliorated the deleterious effects caused by BPA in both the brain and testes by enhancing the antioxidant defence mechanism.</p>","PeriodicalId":23543,"journal":{"name":"Veterinary Medicine and Science","volume":"11 4","pages":"e70322"},"PeriodicalIF":1.7000,"publicationDate":"2025-07-01","publicationTypes":"Journal Article","fieldsOfStudy":null,"isOpenAccess":false,"openAccessPdf":"https://www.ncbi.nlm.nih.gov/pmc/articles/PMC12183602/pdf/","citationCount":"0","resultStr":"{\"title\":\"Therapeutic Effects of Naringin on Bisphenol A-Induced Oxidative Stress Damage in Nervous and Reproductive Systems of Cockerel Chickens.\",\"authors\":\"Leah Oluwaseyanu Esuola, Oluwaseun Olarenwaju Esan, Adamu Shafiu Maikifi, Temitayo Olabisi Ajibade, Moses Olusola Adetona, Oluwasanmi Olayinka Aina, Ademola Adetokunbo Oyagabemi, Temidayo Olutayo Omobowale, Omolade Abodunrin Oladele, Evaristus Nwulia, Momoh Audu Yakubu, Oluwafemi Omoniyi Oguntibeju\",\"doi\":\"10.1002/vms3.70322\",\"DOIUrl\":null,\"url\":null,\"abstract\":\"<p><strong>Background: </strong>Bisphenol A (BPA) is an endocrine-disrupting chemical, and it is mostly used in plastic industries. Naringin is a potent flavonoid that has been reported to possess several beneficial pharmacological properties such as antioxidant, anti-inflammatory, and antiapoptotic properties.</p><p><strong>Objective: </strong>The aim of this study was to determine the protective effect of naringin against the damage induced by BPA in the brain and testes of commercial chicken.</p><p><strong>Methods: </strong>Thirty-day-old cockerel chickens were purchased and reared for 6 weeks and subsequently divided into six groups: group A (control), group B (100 ppm BPA-treated), group C (BPA and 100 mg/kg naringin-treated), Group D (BPA and 200 mg/kg naringin-treated), group E (100 mg/kg naringin-treated), and group F (200 mg/kg naringin-treated). BPA was administered via drinking water, while naringin was administered via oral gavage. Analyses such as biochemical assays, hormonal assays, histopathology, and immunohistochemistry were done.</p><p><strong>Results: </strong>The results showed a decrease in the level of LH, FSH, and testosterone, an increase in the level of oxidative stress markers (MDA and H<sub>2</sub>O<sub>2</sub>), and alteration in the levels of enzymatic and non-enzymatic antioxidants (GSH, GST, SOD, GPx) in the brain and testes of the BPA-intoxicated group. Histologically, neuronal necrosis and degeneration were observed in the brain, and degeneration of testicular cells was seen in the testes of BPA-intoxicated chickens. Immunohistochemical evaluation revealed low expression of myelin basic protein in the brain and increased expression of caspase 3 in the testes of the BPA-intoxicated group.</p><p><strong>Conclusions: </strong>Naringin reversed the neurotoxicity and reproductive toxicity of BPA by normalizing the values of the altered parameters. Hence, naringin ameliorated the deleterious effects caused by BPA in both the brain and testes by enhancing the antioxidant defence mechanism.</p>\",\"PeriodicalId\":23543,\"journal\":{\"name\":\"Veterinary Medicine and Science\",\"volume\":\"11 4\",\"pages\":\"e70322\"},\"PeriodicalIF\":1.7000,\"publicationDate\":\"2025-07-01\",\"publicationTypes\":\"Journal Article\",\"fieldsOfStudy\":null,\"isOpenAccess\":false,\"openAccessPdf\":\"https://www.ncbi.nlm.nih.gov/pmc/articles/PMC12183602/pdf/\",\"citationCount\":\"0\",\"resultStr\":null,\"platform\":\"Semanticscholar\",\"paperid\":null,\"PeriodicalName\":\"Veterinary Medicine and Science\",\"FirstCategoryId\":\"97\",\"ListUrlMain\":\"https://doi.org/10.1002/vms3.70322\",\"RegionNum\":3,\"RegionCategory\":\"农林科学\",\"ArticlePicture\":[],\"TitleCN\":null,\"AbstractTextCN\":null,\"PMCID\":null,\"EPubDate\":\"\",\"PubModel\":\"\",\"JCR\":\"Q2\",\"JCRName\":\"VETERINARY SCIENCES\",\"Score\":null,\"Total\":0}","platform":"Semanticscholar","paperid":null,"PeriodicalName":"Veterinary Medicine and Science","FirstCategoryId":"97","ListUrlMain":"https://doi.org/10.1002/vms3.70322","RegionNum":3,"RegionCategory":"农林科学","ArticlePicture":[],"TitleCN":null,"AbstractTextCN":null,"PMCID":null,"EPubDate":"","PubModel":"","JCR":"Q2","JCRName":"VETERINARY SCIENCES","Score":null,"Total":0}
引用次数: 0

摘要

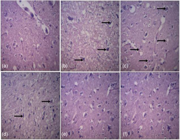
背景:双酚A (BPA)是一种干扰内分泌的化学物质,主要用于塑料工业。柚皮苷是一种有效的类黄酮,据报道具有几种有益的药理特性,如抗氧化、抗炎和抗凋亡特性。目的:研究柚皮苷对商品鸡脑和睾丸双酚a损伤的保护作用。方法:购买30日龄公鸡,饲养6周后分为A组(对照组)、B组(100 ppm BPA处理)、C组(BPA和100 mg/kg柚皮素处理)、D组(BPA和200 mg/kg柚皮素处理)、E组(100 mg/kg柚皮素处理)和F组(200 mg/kg柚皮素处理)。BPA通过饮用水给药,柚皮苷通过灌胃给药。进行生化、激素、组织病理学和免疫组织化学等分析。结果:bpa中毒组大鼠脑和睾丸中LH、FSH、睾酮水平降低,氧化应激标志物(MDA、H2O2)水平升高,酶促和非酶促抗氧化剂(GSH、GST、SOD、GPx)水平改变。在组织学上,bpa中毒鸡的脑组织出现神经元坏死和变性,睾丸细胞出现变性。免疫组化评价显示bpa中毒组大鼠脑髓鞘碱性蛋白表达低,睾丸caspase 3表达增高。结论:柚皮苷通过使改变后的参数值正常化,逆转了BPA的神经毒性和生殖毒性。因此,柚皮苷通过增强抗氧化防御机制,改善了BPA对大脑和睾丸的有害影响。
本文章由计算机程序翻译,如有差异,请以英文原文为准。

Therapeutic Effects of Naringin on Bisphenol A-Induced Oxidative Stress Damage in Nervous and Reproductive Systems of Cockerel Chickens.

Therapeutic Effects of Naringin on Bisphenol A-Induced Oxidative Stress Damage in Nervous and Reproductive Systems of Cockerel Chickens.

Therapeutic Effects of Naringin on Bisphenol A-Induced Oxidative Stress Damage in Nervous and Reproductive Systems of Cockerel Chickens.

Therapeutic Effects of Naringin on Bisphenol A-Induced Oxidative Stress Damage in Nervous and Reproductive Systems of Cockerel Chickens.

Background: Bisphenol A (BPA) is an endocrine-disrupting chemical, and it is mostly used in plastic industries. Naringin is a potent flavonoid that has been reported to possess several beneficial pharmacological properties such as antioxidant, anti-inflammatory, and antiapoptotic properties.

Objective: The aim of this study was to determine the protective effect of naringin against the damage induced by BPA in the brain and testes of commercial chicken.

Methods: Thirty-day-old cockerel chickens were purchased and reared for 6 weeks and subsequently divided into six groups: group A (control), group B (100 ppm BPA-treated), group C (BPA and 100 mg/kg naringin-treated), Group D (BPA and 200 mg/kg naringin-treated), group E (100 mg/kg naringin-treated), and group F (200 mg/kg naringin-treated). BPA was administered via drinking water, while naringin was administered via oral gavage. Analyses such as biochemical assays, hormonal assays, histopathology, and immunohistochemistry were done.

Results: The results showed a decrease in the level of LH, FSH, and testosterone, an increase in the level of oxidative stress markers (MDA and H2O2), and alteration in the levels of enzymatic and non-enzymatic antioxidants (GSH, GST, SOD, GPx) in the brain and testes of the BPA-intoxicated group. Histologically, neuronal necrosis and degeneration were observed in the brain, and degeneration of testicular cells was seen in the testes of BPA-intoxicated chickens. Immunohistochemical evaluation revealed low expression of myelin basic protein in the brain and increased expression of caspase 3 in the testes of the BPA-intoxicated group.

Conclusions: Naringin reversed the neurotoxicity and reproductive toxicity of BPA by normalizing the values of the altered parameters. Hence, naringin ameliorated the deleterious effects caused by BPA in both the brain and testes by enhancing the antioxidant defence mechanism.

求助全文
通过发布文献求助,成功后即可免费获取论文全文。 去求助
来源期刊
Veterinary Medicine and Science
Veterinary Medicine and Science Veterinary-General Veterinary
CiteScore
3.00
自引率
0.00%
发文量
296
期刊介绍: Veterinary Medicine and Science is the peer-reviewed journal for rapid dissemination of research in all areas of veterinary medicine and science. The journal aims to serve the research community by providing a vehicle for authors wishing to publish interesting and high quality work in both fundamental and clinical veterinary medicine and science. Veterinary Medicine and Science publishes original research articles, systematic reviews, meta-analyses, and research methods papers, along with invited editorials and commentaries. Original research papers must report well-conducted research with conclusions supported by the data presented in the paper. We aim to be a truly global forum for high-quality research in veterinary medicine and science, and believe that the best research should be published and made widely accessible as quickly as possible. Veterinary Medicine and Science publishes papers submitted directly to the journal and those referred from a select group of prestigious journals published by Wiley-Blackwell. Veterinary Medicine and Science is a Wiley Open Access journal, one of a new series of peer-reviewed titles publishing quality research with speed and efficiency. For further information visit the Wiley Open Access website.
×
引用
GB/T 7714-2015
复制
MLA
复制
APA
复制
导出至
BibTeX EndNote RefMan NoteFirst NoteExpress
×
提示
您的信息不完整,为了账户安全,请先补充。
现在去补充
×
提示
您因"违规操作"
具体请查看互助需知
我知道了
×
提示
确定
请完成安全验证×
copy
已复制链接
快去分享给好友吧!
我知道了
右上角分享
点击右上角分享
0
联系我们:info@booksci.cn Book学术提供免费学术资源搜索服务,方便国内外学者检索中英文文献。致力于提供最便捷和优质的服务体验。 Copyright © 2023 布克学术 All rights reserved.
京ICP备2023020795号-1
ghs 京公网安备 11010802042870号
Book学术文献互助
Book学术文献互助群
群 号:604180095
Book学术官方微信