传统制剂阿拉克对瑞士白化病小鼠剂量依赖性肝肾毒性的实验评价。

IF 2.4 Q3 NUTRITION & DIETETICS
Journal of Nutrition and Metabolism Pub Date : 2025-06-16 eCollection Date: 2025-01-01 DOI:10.1155/jnme/9304159
Rebuma Sorsa, Niguse Hamba, Daba Abdissa, Zelalem Banjaw, Hawi Gobena, Muntaha Hamza, Melese Abere, Tilahun Alemayehu Nigatu
{"title":"传统制剂阿拉克对瑞士白化病小鼠剂量依赖性肝肾毒性的实验评价。","authors":"Rebuma Sorsa, Niguse Hamba, Daba Abdissa, Zelalem Banjaw, Hawi Gobena, Muntaha Hamza, Melese Abere, Tilahun Alemayehu Nigatu","doi":"10.1155/jnme/9304159","DOIUrl":null,"url":null,"abstract":"<p><p><b>Background:</b> Arak is the most popular traditional alcohol in Ethiopia. Although it is widely consumed across the country, its effects on different organs have not been well studied yet. Thus, this study aims to evaluate the dose-dependent hepatorenal toxicity of traditionally prepared Arak in Swiss albino mice. <b>Methods:</b> The investigation utilized 24 newly bred Swiss albino mice (12 males and 12 females) aged 8-10 weeks, divided into four groups of six individuals each (three males and three females), with Group I receiving 1 mL of distilled water/kg, and Groups II-IV receiving 1 mL/kg of 20%, 40%, and 45% Arak, respectively, orally on daily basis for six weeks; the investigation included blood, urea and nitrogen; creatinine; aspartate transaminase; alanine aminotransferase; and histological examination. <b>Results:</b> The study found that Arak and its metabolite, ethanol, have a dose-dependent negative impact on the liver and kidney's microstructures, and Arak has a significant dose-dependent effect on decreasing body weight, increasing serum levels of aspartate transaminase and alanine aminotransferase, and elevating serum levels of blood, urea, and nitrogen and creatinine in Swiss albino mice. Higher doses of 1 mL of 40% and 1 mL of 45% Arak/kg caused inflammation, edema, obscured Bowman's capsule, foamy appearance, and necrosis, while lower doses of 1 mL of 20% Arak/kg had a lesser impact. Further research is needed to evaluate the effect of Arak on human hepatorenal structures and biomarkers.</p>","PeriodicalId":16587,"journal":{"name":"Journal of Nutrition and Metabolism","volume":"2025 ","pages":"9304159"},"PeriodicalIF":2.4000,"publicationDate":"2025-06-16","publicationTypes":"Journal Article","fieldsOfStudy":null,"isOpenAccess":false,"openAccessPdf":"https://www.ncbi.nlm.nih.gov/pmc/articles/PMC12185195/pdf/","citationCount":"0","resultStr":"{\"title\":\"Experimental Evaluation of Dose-Dependent Hepatorenal Toxicity of Traditionally Prepared Arak in Swiss Albino Mice.\",\"authors\":\"Rebuma Sorsa, Niguse Hamba, Daba Abdissa, Zelalem Banjaw, Hawi Gobena, Muntaha Hamza, Melese Abere, Tilahun Alemayehu Nigatu\",\"doi\":\"10.1155/jnme/9304159\",\"DOIUrl\":null,\"url\":null,\"abstract\":\"<p><p><b>Background:</b> Arak is the most popular traditional alcohol in Ethiopia. Although it is widely consumed across the country, its effects on different organs have not been well studied yet. Thus, this study aims to evaluate the dose-dependent hepatorenal toxicity of traditionally prepared Arak in Swiss albino mice. <b>Methods:</b> The investigation utilized 24 newly bred Swiss albino mice (12 males and 12 females) aged 8-10 weeks, divided into four groups of six individuals each (three males and three females), with Group I receiving 1 mL of distilled water/kg, and Groups II-IV receiving 1 mL/kg of 20%, 40%, and 45% Arak, respectively, orally on daily basis for six weeks; the investigation included blood, urea and nitrogen; creatinine; aspartate transaminase; alanine aminotransferase; and histological examination. <b>Results:</b> The study found that Arak and its metabolite, ethanol, have a dose-dependent negative impact on the liver and kidney's microstructures, and Arak has a significant dose-dependent effect on decreasing body weight, increasing serum levels of aspartate transaminase and alanine aminotransferase, and elevating serum levels of blood, urea, and nitrogen and creatinine in Swiss albino mice. Higher doses of 1 mL of 40% and 1 mL of 45% Arak/kg caused inflammation, edema, obscured Bowman's capsule, foamy appearance, and necrosis, while lower doses of 1 mL of 20% Arak/kg had a lesser impact. Further research is needed to evaluate the effect of Arak on human hepatorenal structures and biomarkers.</p>\",\"PeriodicalId\":16587,\"journal\":{\"name\":\"Journal of Nutrition and Metabolism\",\"volume\":\"2025 \",\"pages\":\"9304159\"},\"PeriodicalIF\":2.4000,\"publicationDate\":\"2025-06-16\",\"publicationTypes\":\"Journal Article\",\"fieldsOfStudy\":null,\"isOpenAccess\":false,\"openAccessPdf\":\"https://www.ncbi.nlm.nih.gov/pmc/articles/PMC12185195/pdf/\",\"citationCount\":\"0\",\"resultStr\":null,\"platform\":\"Semanticscholar\",\"paperid\":null,\"PeriodicalName\":\"Journal of Nutrition and Metabolism\",\"FirstCategoryId\":\"1085\",\"ListUrlMain\":\"https://doi.org/10.1155/jnme/9304159\",\"RegionNum\":0,\"RegionCategory\":null,\"ArticlePicture\":[],\"TitleCN\":null,\"AbstractTextCN\":null,\"PMCID\":null,\"EPubDate\":\"2025/1/1 0:00:00\",\"PubModel\":\"eCollection\",\"JCR\":\"Q3\",\"JCRName\":\"NUTRITION & DIETETICS\",\"Score\":null,\"Total\":0}","platform":"Semanticscholar","paperid":null,"PeriodicalName":"Journal of Nutrition and Metabolism","FirstCategoryId":"1085","ListUrlMain":"https://doi.org/10.1155/jnme/9304159","RegionNum":0,"RegionCategory":null,"ArticlePicture":[],"TitleCN":null,"AbstractTextCN":null,"PMCID":null,"EPubDate":"2025/1/1 0:00:00","PubModel":"eCollection","JCR":"Q3","JCRName":"NUTRITION & DIETETICS","Score":null,"Total":0}
引用次数: 0

摘要

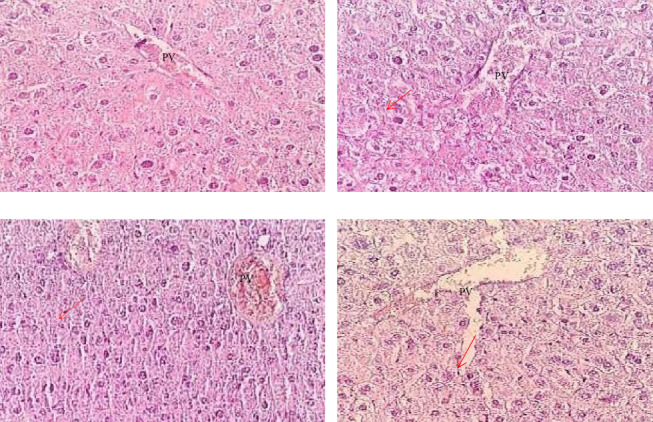
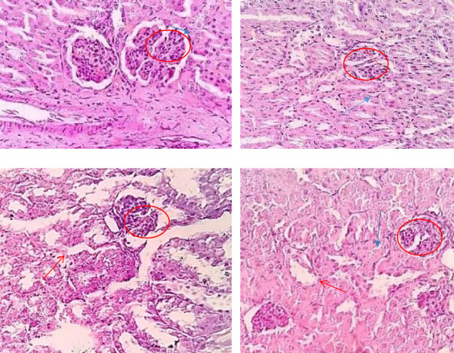
背景:阿拉克酒是埃塞俄比亚最受欢迎的传统酒。尽管它在全国范围内被广泛食用,但它对不同器官的影响还没有得到很好的研究。因此,本研究旨在评估传统制备的阿拉克对瑞士白化小鼠的剂量依赖性肝肾毒性。方法:选取8 ~ 10周龄新生瑞士白化小鼠24只(公、母各12只),分为4组,每组6只(公、母各3只),第1组给予蒸馏水1 mL/kg,第2 ~ 4组分别给予20%、40%、45% Arak浓度1 mL/kg,每日口服,连续6周;调查内容包括血液、尿素和氮;肌酐;天冬氨酸氨基转移酶;丙氨酸转氨酶;组织检查。结果:本研究发现,阿拉克及其代谢产物乙醇对肝肾微结构具有剂量依赖的负面影响,阿拉克对瑞士白化小鼠的体重降低、血清天冬氨酸转氨酶和丙氨酸转氨酶水平升高、血清血、尿素、氮和肌酐水平升高具有显著的剂量依赖作用。较高剂量1ml 40% Arak/kg和1ml 45% Arak/kg可引起炎症、水肿、鲍曼囊模糊、泡沫外观和坏死,而较低剂量1ml 20% Arak/kg的影响较小。需要进一步的研究来评估Arak对人肝肾结构和生物标志物的影响。
本文章由计算机程序翻译,如有差异,请以英文原文为准。

Experimental Evaluation of Dose-Dependent Hepatorenal Toxicity of Traditionally Prepared Arak in Swiss Albino Mice.

Experimental Evaluation of Dose-Dependent Hepatorenal Toxicity of Traditionally Prepared Arak in Swiss Albino Mice.

Experimental Evaluation of Dose-Dependent Hepatorenal Toxicity of Traditionally Prepared Arak in Swiss Albino Mice.

Background: Arak is the most popular traditional alcohol in Ethiopia. Although it is widely consumed across the country, its effects on different organs have not been well studied yet. Thus, this study aims to evaluate the dose-dependent hepatorenal toxicity of traditionally prepared Arak in Swiss albino mice. Methods: The investigation utilized 24 newly bred Swiss albino mice (12 males and 12 females) aged 8-10 weeks, divided into four groups of six individuals each (three males and three females), with Group I receiving 1 mL of distilled water/kg, and Groups II-IV receiving 1 mL/kg of 20%, 40%, and 45% Arak, respectively, orally on daily basis for six weeks; the investigation included blood, urea and nitrogen; creatinine; aspartate transaminase; alanine aminotransferase; and histological examination. Results: The study found that Arak and its metabolite, ethanol, have a dose-dependent negative impact on the liver and kidney's microstructures, and Arak has a significant dose-dependent effect on decreasing body weight, increasing serum levels of aspartate transaminase and alanine aminotransferase, and elevating serum levels of blood, urea, and nitrogen and creatinine in Swiss albino mice. Higher doses of 1 mL of 40% and 1 mL of 45% Arak/kg caused inflammation, edema, obscured Bowman's capsule, foamy appearance, and necrosis, while lower doses of 1 mL of 20% Arak/kg had a lesser impact. Further research is needed to evaluate the effect of Arak on human hepatorenal structures and biomarkers.

求助全文
通过发布文献求助,成功后即可免费获取论文全文。 去求助
来源期刊
Journal of Nutrition and Metabolism
Journal of Nutrition and Metabolism NUTRITION & DIETETICS-
CiteScore
5.40
自引率
0.00%
发文量
49
审稿时长
17 weeks
期刊介绍: Journal of Nutrition and Metabolism is a peer-reviewed, Open Access journal that publishes original research articles, review articles, and clinical studies covering the broad and multidisciplinary field of human nutrition and metabolism. The journal welcomes submissions on studies related to obesity, diabetes, metabolic syndrome, molecular and cellular biology of nutrients, foods and dietary supplements, as well as macro- and micronutrients including vitamins and minerals.
×
引用
GB/T 7714-2015
复制
MLA
复制
APA
复制
导出至
BibTeX EndNote RefMan NoteFirst NoteExpress
×
提示
您的信息不完整,为了账户安全,请先补充。
现在去补充
×
提示
您因"违规操作"
具体请查看互助需知
我知道了
×
提示
确定
请完成安全验证×
copy
已复制链接
快去分享给好友吧!
我知道了
右上角分享
点击右上角分享
0
联系我们:info@booksci.cn Book学术提供免费学术资源搜索服务,方便国内外学者检索中英文文献。致力于提供最便捷和优质的服务体验。 Copyright © 2023 布克学术 All rights reserved.
京ICP备2023020795号-1
ghs 京公网安备 11010802042870号
Book学术文献互助
Book学术文献互助群
群 号:604180095
Book学术官方微信