右颈内静脉置入微型无铅起搏器治疗严重髂静脉狭窄高危患者1例报告。

IF 0.7 Q3 MEDICINE, GENERAL & INTERNAL
International Medical Case Reports Journal Pub Date : 2025-06-19 eCollection Date: 2025-01-01 DOI:10.2147/IMCRJ.S529596
Haixiang Xu, Jianfeng Qian, Wen Pan, Jianhua Fan
{"title":"右颈内静脉置入微型无铅起搏器治疗严重髂静脉狭窄高危患者1例报告。","authors":"Haixiang Xu, Jianfeng Qian, Wen Pan, Jianhua Fan","doi":"10.2147/IMCRJ.S529596","DOIUrl":null,"url":null,"abstract":"<p><strong>Background: </strong>Leadless pacemakers offer a promising alternative to traditional transvenous pacemakers, especially in patients with complex vascular anatomy or a high risk of infection. Conventional access routes may be compromised in patients with significant venous stenosis or prior vascular interventions, requiring alternative strategies for device implantation.</p><p><strong>Case presentation: </strong>We report the case of a 74-year-old female with sick sinus syndrome, chronic kidney disease, type 2 diabetes, and severe bilateral iliac vein stenosis, who was deemed high-risk for conventional pacemaker implantation. After failed attempts through both femoral veins, the right internal jugular vein (RIJV) was successfully used as an alternative access route for Micra leadless pacemaker implantation. The procedure was performed under ultrasound and fluoroscopic guidance without complications. Post-procedure, the pacing threshold was 0.75 V, sensing was 8.5 mV, and impedance was 760 Ω, all within normal limits.</p><p><strong>Conclusion: </strong>This case highlights the feasibility and safety of using the right internal jugular vein as an alternative access route for leadless pacemaker implantation in high-risk patients when femoral access is not possible. This approach provides a valuable option for patients with complex venous anatomy, contributing to the broader application of leadless pacing technology.</p>","PeriodicalId":14337,"journal":{"name":"International Medical Case Reports Journal","volume":"18 ","pages":"727-733"},"PeriodicalIF":0.7000,"publicationDate":"2025-06-19","publicationTypes":"Journal Article","fieldsOfStudy":null,"isOpenAccess":false,"openAccessPdf":"https://www.ncbi.nlm.nih.gov/pmc/articles/PMC12184698/pdf/","citationCount":"0","resultStr":"{\"title\":\"Right Internal Jugular Vein Access for Micra Leadless Pacemaker Implantation in a High-Risk Patient with Severe Iliac Vein Stenosis: A Case Report.\",\"authors\":\"Haixiang Xu, Jianfeng Qian, Wen Pan, Jianhua Fan\",\"doi\":\"10.2147/IMCRJ.S529596\",\"DOIUrl\":null,\"url\":null,\"abstract\":\"<p><strong>Background: </strong>Leadless pacemakers offer a promising alternative to traditional transvenous pacemakers, especially in patients with complex vascular anatomy or a high risk of infection. Conventional access routes may be compromised in patients with significant venous stenosis or prior vascular interventions, requiring alternative strategies for device implantation.</p><p><strong>Case presentation: </strong>We report the case of a 74-year-old female with sick sinus syndrome, chronic kidney disease, type 2 diabetes, and severe bilateral iliac vein stenosis, who was deemed high-risk for conventional pacemaker implantation. After failed attempts through both femoral veins, the right internal jugular vein (RIJV) was successfully used as an alternative access route for Micra leadless pacemaker implantation. The procedure was performed under ultrasound and fluoroscopic guidance without complications. Post-procedure, the pacing threshold was 0.75 V, sensing was 8.5 mV, and impedance was 760 Ω, all within normal limits.</p><p><strong>Conclusion: </strong>This case highlights the feasibility and safety of using the right internal jugular vein as an alternative access route for leadless pacemaker implantation in high-risk patients when femoral access is not possible. This approach provides a valuable option for patients with complex venous anatomy, contributing to the broader application of leadless pacing technology.</p>\",\"PeriodicalId\":14337,\"journal\":{\"name\":\"International Medical Case Reports Journal\",\"volume\":\"18 \",\"pages\":\"727-733\"},\"PeriodicalIF\":0.7000,\"publicationDate\":\"2025-06-19\",\"publicationTypes\":\"Journal Article\",\"fieldsOfStudy\":null,\"isOpenAccess\":false,\"openAccessPdf\":\"https://www.ncbi.nlm.nih.gov/pmc/articles/PMC12184698/pdf/\",\"citationCount\":\"0\",\"resultStr\":null,\"platform\":\"Semanticscholar\",\"paperid\":null,\"PeriodicalName\":\"International Medical Case Reports Journal\",\"FirstCategoryId\":\"1085\",\"ListUrlMain\":\"https://doi.org/10.2147/IMCRJ.S529596\",\"RegionNum\":0,\"RegionCategory\":null,\"ArticlePicture\":[],\"TitleCN\":null,\"AbstractTextCN\":null,\"PMCID\":null,\"EPubDate\":\"2025/1/1 0:00:00\",\"PubModel\":\"eCollection\",\"JCR\":\"Q3\",\"JCRName\":\"MEDICINE, GENERAL & INTERNAL\",\"Score\":null,\"Total\":0}","platform":"Semanticscholar","paperid":null,"PeriodicalName":"International Medical Case Reports Journal","FirstCategoryId":"1085","ListUrlMain":"https://doi.org/10.2147/IMCRJ.S529596","RegionNum":0,"RegionCategory":null,"ArticlePicture":[],"TitleCN":null,"AbstractTextCN":null,"PMCID":null,"EPubDate":"2025/1/1 0:00:00","PubModel":"eCollection","JCR":"Q3","JCRName":"MEDICINE, GENERAL & INTERNAL","Score":null,"Total":0}
引用次数: 0

摘要

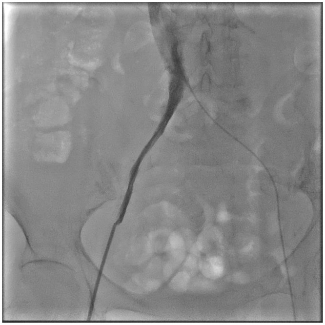
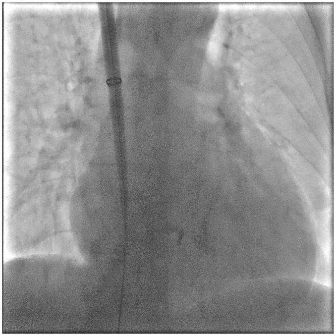
背景:无铅起搏器是传统经静脉起搏器的一个很有前途的选择,特别是在血管解剖复杂或感染风险高的患者中。对于有明显静脉狭窄或先前有血管干预的患者,传统的通路可能会受到损害,因此需要采用其他策略进行装置植入。病例介绍:我们报告一位74岁的女性,患有病态窦综合征、慢性肾脏疾病、2型糖尿病和严重的双侧髂静脉狭窄,被认为是传统起搏器植入的高风险患者。在通过两条股静脉的尝试失败后,我们成功地将右颈内静脉(RIJV)作为Micra无铅起搏器植入的替代通道。手术在超声和透视引导下进行,无并发症。术后起搏阈值0.75 V,感应8.5 mV,阻抗760 Ω,均在正常范围内。结论:本病例强调了在高危患者无法经股静脉入路的情况下,采用右颈内静脉作为无铅起搏器植入的替代入路的可行性和安全性。该方法为静脉解剖复杂的患者提供了一个有价值的选择,有助于无导线起搏技术的广泛应用。
本文章由计算机程序翻译,如有差异,请以英文原文为准。

Right Internal Jugular Vein Access for Micra Leadless Pacemaker Implantation in a High-Risk Patient with Severe Iliac Vein Stenosis: A Case Report.

Right Internal Jugular Vein Access for Micra Leadless Pacemaker Implantation in a High-Risk Patient with Severe Iliac Vein Stenosis: A Case Report.

Right Internal Jugular Vein Access for Micra Leadless Pacemaker Implantation in a High-Risk Patient with Severe Iliac Vein Stenosis: A Case Report.

Right Internal Jugular Vein Access for Micra Leadless Pacemaker Implantation in a High-Risk Patient with Severe Iliac Vein Stenosis: A Case Report.

Background: Leadless pacemakers offer a promising alternative to traditional transvenous pacemakers, especially in patients with complex vascular anatomy or a high risk of infection. Conventional access routes may be compromised in patients with significant venous stenosis or prior vascular interventions, requiring alternative strategies for device implantation.

Case presentation: We report the case of a 74-year-old female with sick sinus syndrome, chronic kidney disease, type 2 diabetes, and severe bilateral iliac vein stenosis, who was deemed high-risk for conventional pacemaker implantation. After failed attempts through both femoral veins, the right internal jugular vein (RIJV) was successfully used as an alternative access route for Micra leadless pacemaker implantation. The procedure was performed under ultrasound and fluoroscopic guidance without complications. Post-procedure, the pacing threshold was 0.75 V, sensing was 8.5 mV, and impedance was 760 Ω, all within normal limits.

Conclusion: This case highlights the feasibility and safety of using the right internal jugular vein as an alternative access route for leadless pacemaker implantation in high-risk patients when femoral access is not possible. This approach provides a valuable option for patients with complex venous anatomy, contributing to the broader application of leadless pacing technology.

求助全文
通过发布文献求助,成功后即可免费获取论文全文。 去求助
来源期刊
International Medical Case Reports Journal
International Medical Case Reports Journal MEDICINE, GENERAL & INTERNAL-
CiteScore
1.40
自引率
0.00%
发文量
135
审稿时长
16 weeks
期刊介绍: International Medical Case Reports Journal is an international, peer-reviewed, open access, online journal publishing original case reports from all medical specialties. Submissions should not normally exceed 3,000 words or 4 published pages including figures, diagrams and references. As of 1st April 2019, the International Medical Case Reports Journal will no longer consider meta-analyses for publication.
×
引用
GB/T 7714-2015
复制
MLA
复制
APA
复制
导出至
BibTeX EndNote RefMan NoteFirst NoteExpress
×
提示
您的信息不完整,为了账户安全,请先补充。
现在去补充
×
提示
您因"违规操作"
具体请查看互助需知
我知道了
×
提示
确定
请完成安全验证×
copy
已复制链接
快去分享给好友吧!
我知道了
右上角分享
点击右上角分享
0
联系我们:info@booksci.cn Book学术提供免费学术资源搜索服务,方便国内外学者检索中英文文献。致力于提供最便捷和优质的服务体验。 Copyright © 2023 布克学术 All rights reserved.
京ICP备2023020795号-1
ghs 京公网安备 11010802042870号
Book学术文献互助
Book学术文献互助群
群 号:604180095
Book学术官方微信