三尖瓣峡部消融后三尖瓣返流1例。

IF 3.3 Q2 CARDIAC & CARDIOVASCULAR SYSTEMS
Clinical Medicine Insights. Cardiology Pub Date : 2025-06-20 eCollection Date: 2025-01-01 DOI:10.1177/11795468251350228
Pablo Pineda-Sanabria, Catalina Arbelaez-Hoyos, Antonio Villamizar-Romero, Mauricio Pineda-Gomez
{"title":"三尖瓣峡部消融后三尖瓣返流1例。","authors":"Pablo Pineda-Sanabria, Catalina Arbelaez-Hoyos, Antonio Villamizar-Romero, Mauricio Pineda-Gomez","doi":"10.1177/11795468251350228","DOIUrl":null,"url":null,"abstract":"<p><strong>Introduction: </strong>Tricuspid valve prolapse (TVP) is characterized by the tricuspid valve leaflets' displacement beyond the annular plane during midsystole. Although less common than mitral valve prolapse, TVP often coexists with it, sharing similar pathophysiological mechanisms. This case highlights new-onset tricuspid regurgitation (TR) following cavotricuspid isthmus ablation for atrial flutter, stressing the need for vigilant monitoring after such procedures.</p><p><strong>Case: </strong>A 68-year-old male with atrial flutter, coronary artery disease, and type 2 diabetes underwent cavotricuspid isthmus ablation in August 2023 after failed rate control. By September 2023, he developed a grade 4/6 systolic murmur. Imaging confirmed TVP with mild to moderate TR, though he remained asymptomatic. Conservative management was adopted. Follow-up in October 2024 showed mild TR without prolapse, indicating improvement.</p><p><strong>Conclusion: </strong>This case underscores the importance of recognizing valvular complications after atrial flutter ablation and conducting thorough post-procedural imaging to enable timely intervention and improved outcomes.</p>","PeriodicalId":10419,"journal":{"name":"Clinical Medicine Insights. Cardiology","volume":"19 ","pages":"11795468251350228"},"PeriodicalIF":3.3000,"publicationDate":"2025-06-20","publicationTypes":"Journal Article","fieldsOfStudy":null,"isOpenAccess":false,"openAccessPdf":"https://www.ncbi.nlm.nih.gov/pmc/articles/PMC12181695/pdf/","citationCount":"0","resultStr":"{\"title\":\"Tricuspid Regurgitation Following Cavotricuspid Isthmus Ablation: A Case Report.\",\"authors\":\"Pablo Pineda-Sanabria, Catalina Arbelaez-Hoyos, Antonio Villamizar-Romero, Mauricio Pineda-Gomez\",\"doi\":\"10.1177/11795468251350228\",\"DOIUrl\":null,\"url\":null,\"abstract\":\"<p><strong>Introduction: </strong>Tricuspid valve prolapse (TVP) is characterized by the tricuspid valve leaflets' displacement beyond the annular plane during midsystole. Although less common than mitral valve prolapse, TVP often coexists with it, sharing similar pathophysiological mechanisms. This case highlights new-onset tricuspid regurgitation (TR) following cavotricuspid isthmus ablation for atrial flutter, stressing the need for vigilant monitoring after such procedures.</p><p><strong>Case: </strong>A 68-year-old male with atrial flutter, coronary artery disease, and type 2 diabetes underwent cavotricuspid isthmus ablation in August 2023 after failed rate control. By September 2023, he developed a grade 4/6 systolic murmur. Imaging confirmed TVP with mild to moderate TR, though he remained asymptomatic. Conservative management was adopted. Follow-up in October 2024 showed mild TR without prolapse, indicating improvement.</p><p><strong>Conclusion: </strong>This case underscores the importance of recognizing valvular complications after atrial flutter ablation and conducting thorough post-procedural imaging to enable timely intervention and improved outcomes.</p>\",\"PeriodicalId\":10419,\"journal\":{\"name\":\"Clinical Medicine Insights. Cardiology\",\"volume\":\"19 \",\"pages\":\"11795468251350228\"},\"PeriodicalIF\":3.3000,\"publicationDate\":\"2025-06-20\",\"publicationTypes\":\"Journal Article\",\"fieldsOfStudy\":null,\"isOpenAccess\":false,\"openAccessPdf\":\"https://www.ncbi.nlm.nih.gov/pmc/articles/PMC12181695/pdf/\",\"citationCount\":\"0\",\"resultStr\":null,\"platform\":\"Semanticscholar\",\"paperid\":null,\"PeriodicalName\":\"Clinical Medicine Insights. Cardiology\",\"FirstCategoryId\":\"1085\",\"ListUrlMain\":\"https://doi.org/10.1177/11795468251350228\",\"RegionNum\":0,\"RegionCategory\":null,\"ArticlePicture\":[],\"TitleCN\":null,\"AbstractTextCN\":null,\"PMCID\":null,\"EPubDate\":\"2025/1/1 0:00:00\",\"PubModel\":\"eCollection\",\"JCR\":\"Q2\",\"JCRName\":\"CARDIAC & CARDIOVASCULAR SYSTEMS\",\"Score\":null,\"Total\":0}","platform":"Semanticscholar","paperid":null,"PeriodicalName":"Clinical Medicine Insights. Cardiology","FirstCategoryId":"1085","ListUrlMain":"https://doi.org/10.1177/11795468251350228","RegionNum":0,"RegionCategory":null,"ArticlePicture":[],"TitleCN":null,"AbstractTextCN":null,"PMCID":null,"EPubDate":"2025/1/1 0:00:00","PubModel":"eCollection","JCR":"Q2","JCRName":"CARDIAC & CARDIOVASCULAR SYSTEMS","Score":null,"Total":0}
引用次数: 0

摘要

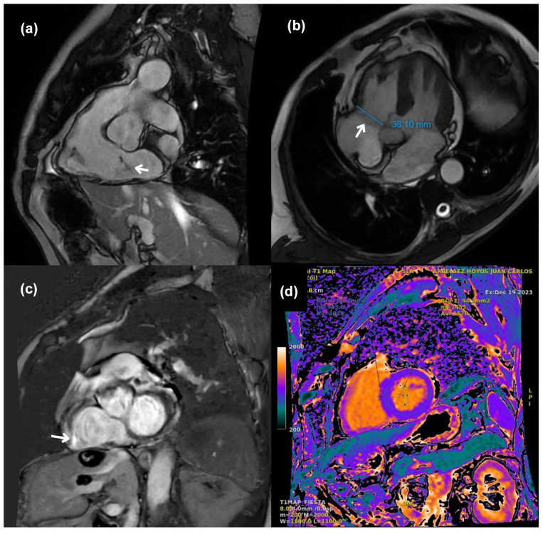
简介:三尖瓣脱垂(TVP)的特征是在收缩中期三尖瓣瓣小叶的位移超出环平面。虽然不像二尖瓣脱垂那么常见,但TVP经常与二尖瓣脱垂共存,具有相似的病理生理机制。本病例强调了心房扑动的左三尖瓣峡部消融后新发三尖瓣反流(TR),强调了在此类手术后警惕监测的必要性。病例:一名68岁男性心房扑动、冠状动脉疾病和2型糖尿病患者在发病率控制失败后于2023年8月行三尖瓣峡部消融术。到2023年9月,他出现了4/6级收缩期杂音。影像学证实TVP伴轻至中度TR,但他仍无症状。采用保守管理。2024年10月随访,轻度TR无脱垂,提示好转。结论:本病例强调了识别心房扑动消融后瓣膜并发症的重要性,并进行彻底的术后影像学检查,以便及时干预和改善预后。
本文章由计算机程序翻译,如有差异,请以英文原文为准。

Tricuspid Regurgitation Following Cavotricuspid Isthmus Ablation: A Case Report.

Tricuspid Regurgitation Following Cavotricuspid Isthmus Ablation: A Case Report.

Tricuspid Regurgitation Following Cavotricuspid Isthmus Ablation: A Case Report.

Tricuspid Regurgitation Following Cavotricuspid Isthmus Ablation: A Case Report.

Introduction: Tricuspid valve prolapse (TVP) is characterized by the tricuspid valve leaflets' displacement beyond the annular plane during midsystole. Although less common than mitral valve prolapse, TVP often coexists with it, sharing similar pathophysiological mechanisms. This case highlights new-onset tricuspid regurgitation (TR) following cavotricuspid isthmus ablation for atrial flutter, stressing the need for vigilant monitoring after such procedures.

Case: A 68-year-old male with atrial flutter, coronary artery disease, and type 2 diabetes underwent cavotricuspid isthmus ablation in August 2023 after failed rate control. By September 2023, he developed a grade 4/6 systolic murmur. Imaging confirmed TVP with mild to moderate TR, though he remained asymptomatic. Conservative management was adopted. Follow-up in October 2024 showed mild TR without prolapse, indicating improvement.

Conclusion: This case underscores the importance of recognizing valvular complications after atrial flutter ablation and conducting thorough post-procedural imaging to enable timely intervention and improved outcomes.

求助全文
通过发布文献求助,成功后即可免费获取论文全文。 去求助
来源期刊
Clinical Medicine Insights. Cardiology
Clinical Medicine Insights. Cardiology CARDIAC & CARDIOVASCULAR SYSTEMS-
CiteScore
5.20
自引率
3.30%
发文量
16
审稿时长
8 weeks
×
引用
GB/T 7714-2015
复制
MLA
复制
APA
复制
导出至
BibTeX EndNote RefMan NoteFirst NoteExpress
×
提示
您的信息不完整,为了账户安全,请先补充。
现在去补充
×
提示
您因"违规操作"
具体请查看互助需知
我知道了
×
提示
确定
请完成安全验证×
copy
已复制链接
快去分享给好友吧!
我知道了
右上角分享
点击右上角分享
0
联系我们:info@booksci.cn Book学术提供免费学术资源搜索服务,方便国内外学者检索中英文文献。致力于提供最便捷和优质的服务体验。 Copyright © 2023 布克学术 All rights reserved.
京ICP备2023020795号-1
ghs 京公网安备 11010802042870号
Book学术文献互助
Book学术文献互助群
群 号:604180095
Book学术官方微信