behaperet病和自身免疫性萎缩性胃炎:一个偶然发现。

IF 0.7 Q3 MEDICINE, GENERAL & INTERNAL
Case Reports in Medicine Pub Date : 2025-06-13 eCollection Date: 2025-01-01 DOI:10.1155/carm/5813761
Philippe Attieh, Antonio Al Hazzouri, Rose-Mary Daou, Sara El Haddad, Karam Karam, Elias Fiani
{"title":"behaperet病和自身免疫性萎缩性胃炎:一个偶然发现。","authors":"Philippe Attieh, Antonio Al Hazzouri, Rose-Mary Daou, Sara El Haddad, Karam Karam, Elias Fiani","doi":"10.1155/carm/5813761","DOIUrl":null,"url":null,"abstract":"<p><p>Behçet's disease (BD) is a systemic inflammatory condition causing oral ulcers, genital sores, eye inflammation, and skin lesions. Autoinflammatory and autoimmune disorders are chronic immune system activation leading to tissue inflammation. Current evidence suggests that BD is at the intersection of autoimmune and autoinflammatory syndromes, with some findings suggesting an autoinflammatory nature. Oral aphthous ulcers are the commonest initial manifestation of the disease. Gastric manifestations in BD are infrequent. The usually seen finding in the stomach is either ulcers or gastritis, presenting as epigastric pain. BD has been linked with several autoimmune diseases; however, it has not yet been seen with autoimmune atrophic gastritis. We present a case of a 62-years-old male patient presenting for oral aphthous ulcers with vague abdominal pain, epigastric discomfort, and postprandial nausea. The patient was positive for HLA-B5 alleles, leading to a diagnosis of BD. Gastroscopy and colonoscopy were done to investigate a probable etiology for this patient's epigastric discomfort and abdominal pain. Gastroscopy showed multiple erosions at the level of the fundus and atrophic folds at the level of the body of the stomach, but no important findings were seen on colonoscopy. Furthermore, a gastric biopsy was done and confirmed the presence of autoimmune atrophic gastritis at the level of the fundus and antrum of the stomach which is atypical in BD that is commonly associated with aphthous ulcerations at the level of the terminal ileum. To our knowledge, this is the first case reported, which should prompt for further investigation behind the mechanism linking these two diseases.</p>","PeriodicalId":9627,"journal":{"name":"Case Reports in Medicine","volume":"2025 ","pages":"5813761"},"PeriodicalIF":0.7000,"publicationDate":"2025-06-13","publicationTypes":"Journal Article","fieldsOfStudy":null,"isOpenAccess":false,"openAccessPdf":"https://www.ncbi.nlm.nih.gov/pmc/articles/PMC12181666/pdf/","citationCount":"0","resultStr":"{\"title\":\"Behçet's Disease and Autoimmune Atrophic Gastritis: An Incidental Finding.\",\"authors\":\"Philippe Attieh, Antonio Al Hazzouri, Rose-Mary Daou, Sara El Haddad, Karam Karam, Elias Fiani\",\"doi\":\"10.1155/carm/5813761\",\"DOIUrl\":null,\"url\":null,\"abstract\":\"<p><p>Behçet's disease (BD) is a systemic inflammatory condition causing oral ulcers, genital sores, eye inflammation, and skin lesions. Autoinflammatory and autoimmune disorders are chronic immune system activation leading to tissue inflammation. Current evidence suggests that BD is at the intersection of autoimmune and autoinflammatory syndromes, with some findings suggesting an autoinflammatory nature. Oral aphthous ulcers are the commonest initial manifestation of the disease. Gastric manifestations in BD are infrequent. The usually seen finding in the stomach is either ulcers or gastritis, presenting as epigastric pain. BD has been linked with several autoimmune diseases; however, it has not yet been seen with autoimmune atrophic gastritis. We present a case of a 62-years-old male patient presenting for oral aphthous ulcers with vague abdominal pain, epigastric discomfort, and postprandial nausea. The patient was positive for HLA-B5 alleles, leading to a diagnosis of BD. Gastroscopy and colonoscopy were done to investigate a probable etiology for this patient's epigastric discomfort and abdominal pain. Gastroscopy showed multiple erosions at the level of the fundus and atrophic folds at the level of the body of the stomach, but no important findings were seen on colonoscopy. Furthermore, a gastric biopsy was done and confirmed the presence of autoimmune atrophic gastritis at the level of the fundus and antrum of the stomach which is atypical in BD that is commonly associated with aphthous ulcerations at the level of the terminal ileum. To our knowledge, this is the first case reported, which should prompt for further investigation behind the mechanism linking these two diseases.</p>\",\"PeriodicalId\":9627,\"journal\":{\"name\":\"Case Reports in Medicine\",\"volume\":\"2025 \",\"pages\":\"5813761\"},\"PeriodicalIF\":0.7000,\"publicationDate\":\"2025-06-13\",\"publicationTypes\":\"Journal Article\",\"fieldsOfStudy\":null,\"isOpenAccess\":false,\"openAccessPdf\":\"https://www.ncbi.nlm.nih.gov/pmc/articles/PMC12181666/pdf/\",\"citationCount\":\"0\",\"resultStr\":null,\"platform\":\"Semanticscholar\",\"paperid\":null,\"PeriodicalName\":\"Case Reports in Medicine\",\"FirstCategoryId\":\"1085\",\"ListUrlMain\":\"https://doi.org/10.1155/carm/5813761\",\"RegionNum\":0,\"RegionCategory\":null,\"ArticlePicture\":[],\"TitleCN\":null,\"AbstractTextCN\":null,\"PMCID\":null,\"EPubDate\":\"2025/1/1 0:00:00\",\"PubModel\":\"eCollection\",\"JCR\":\"Q3\",\"JCRName\":\"MEDICINE, GENERAL & INTERNAL\",\"Score\":null,\"Total\":0}","platform":"Semanticscholar","paperid":null,"PeriodicalName":"Case Reports in Medicine","FirstCategoryId":"1085","ListUrlMain":"https://doi.org/10.1155/carm/5813761","RegionNum":0,"RegionCategory":null,"ArticlePicture":[],"TitleCN":null,"AbstractTextCN":null,"PMCID":null,"EPubDate":"2025/1/1 0:00:00","PubModel":"eCollection","JCR":"Q3","JCRName":"MEDICINE, GENERAL & INTERNAL","Score":null,"Total":0}
引用次数: 0

摘要

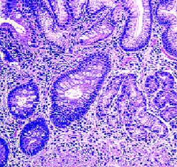
behet病(BD)是一种引起口腔溃疡、生殖器溃疡、眼睛炎症和皮肤病变的全身性炎症。自身炎症和自身免疫性疾病是导致组织炎症的慢性免疫系统激活。目前的证据表明,双相障碍是自身免疫综合征和自身炎症综合征的交叉点,一些研究结果表明其具有自身炎症的性质。口腔溃疡是该疾病最常见的初始表现。胃症状在BD中并不常见。胃溃疡或胃炎通常表现为胃脘痛。双相障碍与几种自身免疫性疾病有关;然而,在自身免疫性萎缩性胃炎中尚未发现。我们报告一位62岁男性病患,以口腔阿弗顿溃疡为主诉,并伴有腹痛、上腹部不适及餐后恶心。患者HLA-B5等位基因呈阳性,诊断为BD。胃镜和结肠镜检查了该患者胃脘不适和腹痛的可能病因。胃镜检查显示眼底多处糜烂,胃体处有萎缩褶皱,结肠镜检查未见重要发现。此外,胃活检证实在胃底和胃窦水平存在自身免疫性萎缩性胃炎,这在BD中是不典型的,通常与回肠末端水平的阿佛氏溃疡有关。据我们所知,这是第一例报道,这应该促使我们进一步调查这两种疾病之间的联系机制。
本文章由计算机程序翻译,如有差异,请以英文原文为准。

Behçet's Disease and Autoimmune Atrophic Gastritis: An Incidental Finding.

Behçet's Disease and Autoimmune Atrophic Gastritis: An Incidental Finding.

Behçet's Disease and Autoimmune Atrophic Gastritis: An Incidental Finding.

Behçet's disease (BD) is a systemic inflammatory condition causing oral ulcers, genital sores, eye inflammation, and skin lesions. Autoinflammatory and autoimmune disorders are chronic immune system activation leading to tissue inflammation. Current evidence suggests that BD is at the intersection of autoimmune and autoinflammatory syndromes, with some findings suggesting an autoinflammatory nature. Oral aphthous ulcers are the commonest initial manifestation of the disease. Gastric manifestations in BD are infrequent. The usually seen finding in the stomach is either ulcers or gastritis, presenting as epigastric pain. BD has been linked with several autoimmune diseases; however, it has not yet been seen with autoimmune atrophic gastritis. We present a case of a 62-years-old male patient presenting for oral aphthous ulcers with vague abdominal pain, epigastric discomfort, and postprandial nausea. The patient was positive for HLA-B5 alleles, leading to a diagnosis of BD. Gastroscopy and colonoscopy were done to investigate a probable etiology for this patient's epigastric discomfort and abdominal pain. Gastroscopy showed multiple erosions at the level of the fundus and atrophic folds at the level of the body of the stomach, but no important findings were seen on colonoscopy. Furthermore, a gastric biopsy was done and confirmed the presence of autoimmune atrophic gastritis at the level of the fundus and antrum of the stomach which is atypical in BD that is commonly associated with aphthous ulcerations at the level of the terminal ileum. To our knowledge, this is the first case reported, which should prompt for further investigation behind the mechanism linking these two diseases.

求助全文
通过发布文献求助,成功后即可免费获取论文全文。 去求助
来源期刊
Case Reports in Medicine
Case Reports in Medicine MEDICINE, GENERAL & INTERNAL-
CiteScore
1.70
自引率
0.00%
发文量
53
审稿时长
13 weeks
×
引用
GB/T 7714-2015
复制
MLA
复制
APA
复制
导出至
BibTeX EndNote RefMan NoteFirst NoteExpress
×
提示
您的信息不完整,为了账户安全,请先补充。
现在去补充
×
提示
您因"违规操作"
具体请查看互助需知
我知道了
×
提示
确定
请完成安全验证×
copy
已复制链接
快去分享给好友吧!
我知道了
右上角分享
点击右上角分享
0
联系我们:info@booksci.cn Book学术提供免费学术资源搜索服务,方便国内外学者检索中英文文献。致力于提供最便捷和优质的服务体验。 Copyright © 2023 布克学术 All rights reserved.
京ICP备2023020795号-1
ghs 京公网安备 11010802042870号
Book学术文献互助
Book学术文献互助群
群 号:604180095
Book学术官方微信