皮肤Rosai-Dorfman病2例报告及近期文献回顾(2018-2023)

IF 0.8 Q4 DERMATOLOGY
Case Reports in Dermatology Pub Date : 2025-06-23 eCollection Date: 2025-01-01 DOI:10.1159/000546382
Fatemeh Mohaghegh, Mina Saber, Parvin Rajabi, Haniyeh Sohrabi
{"title":"皮肤Rosai-Dorfman病2例报告及近期文献回顾(2018-2023)","authors":"Fatemeh Mohaghegh, Mina Saber, Parvin Rajabi, Haniyeh Sohrabi","doi":"10.1159/000546382","DOIUrl":null,"url":null,"abstract":"<p><strong>Introduction: </strong>Rosai-Dorfman disease (RDD) is a rare, benign histiocytic disorder that can present as isolated cutaneous RDD (CRDD), often mimicking other dermatologic conditions and complicating diagnosis.</p><p><strong>Case presentation: </strong>We report two cases of CRDD: one with palms and soles involvement, and another as an exophytic facial mass, initially misdiagnosed and unsuccessfully treated. Dermoscopy revealed distinctive features, including yellow ovoid structures, linear vessels, and cotton-like white globules. Histopathological and immunohistochemical analyses confirmed CRDD with histiocytic infiltration and emperipolesis, key histological markers of CRDD.</p><p><strong>Conclusion: </strong>A review of 53 cases (2018-2023) highlights CRDD's clinical variability, common anatomical sites, and diverse treatment responses, emphasizing the need for individualized management and early recognition for optimal treatment. These findings contribute to a broader understanding of CRDD and support a multidisciplinary approach to optimizing patient care.</p>","PeriodicalId":9619,"journal":{"name":"Case Reports in Dermatology","volume":"17 1","pages":"204-223"},"PeriodicalIF":0.8000,"publicationDate":"2025-06-23","publicationTypes":"Journal Article","fieldsOfStudy":null,"isOpenAccess":false,"openAccessPdf":"https://www.ncbi.nlm.nih.gov/pmc/articles/PMC12185066/pdf/","citationCount":"0","resultStr":"{\"title\":\"Cutaneous Rosai-Dorfman Disease: A Report of 2 Cases and a Review of Recent Literature (2018-2023).\",\"authors\":\"Fatemeh Mohaghegh, Mina Saber, Parvin Rajabi, Haniyeh Sohrabi\",\"doi\":\"10.1159/000546382\",\"DOIUrl\":null,\"url\":null,\"abstract\":\"<p><strong>Introduction: </strong>Rosai-Dorfman disease (RDD) is a rare, benign histiocytic disorder that can present as isolated cutaneous RDD (CRDD), often mimicking other dermatologic conditions and complicating diagnosis.</p><p><strong>Case presentation: </strong>We report two cases of CRDD: one with palms and soles involvement, and another as an exophytic facial mass, initially misdiagnosed and unsuccessfully treated. Dermoscopy revealed distinctive features, including yellow ovoid structures, linear vessels, and cotton-like white globules. Histopathological and immunohistochemical analyses confirmed CRDD with histiocytic infiltration and emperipolesis, key histological markers of CRDD.</p><p><strong>Conclusion: </strong>A review of 53 cases (2018-2023) highlights CRDD's clinical variability, common anatomical sites, and diverse treatment responses, emphasizing the need for individualized management and early recognition for optimal treatment. These findings contribute to a broader understanding of CRDD and support a multidisciplinary approach to optimizing patient care.</p>\",\"PeriodicalId\":9619,\"journal\":{\"name\":\"Case Reports in Dermatology\",\"volume\":\"17 1\",\"pages\":\"204-223\"},\"PeriodicalIF\":0.8000,\"publicationDate\":\"2025-06-23\",\"publicationTypes\":\"Journal Article\",\"fieldsOfStudy\":null,\"isOpenAccess\":false,\"openAccessPdf\":\"https://www.ncbi.nlm.nih.gov/pmc/articles/PMC12185066/pdf/\",\"citationCount\":\"0\",\"resultStr\":null,\"platform\":\"Semanticscholar\",\"paperid\":null,\"PeriodicalName\":\"Case Reports in Dermatology\",\"FirstCategoryId\":\"1085\",\"ListUrlMain\":\"https://doi.org/10.1159/000546382\",\"RegionNum\":0,\"RegionCategory\":null,\"ArticlePicture\":[],\"TitleCN\":null,\"AbstractTextCN\":null,\"PMCID\":null,\"EPubDate\":\"2025/1/1 0:00:00\",\"PubModel\":\"eCollection\",\"JCR\":\"Q4\",\"JCRName\":\"DERMATOLOGY\",\"Score\":null,\"Total\":0}","platform":"Semanticscholar","paperid":null,"PeriodicalName":"Case Reports in Dermatology","FirstCategoryId":"1085","ListUrlMain":"https://doi.org/10.1159/000546382","RegionNum":0,"RegionCategory":null,"ArticlePicture":[],"TitleCN":null,"AbstractTextCN":null,"PMCID":null,"EPubDate":"2025/1/1 0:00:00","PubModel":"eCollection","JCR":"Q4","JCRName":"DERMATOLOGY","Score":null,"Total":0}
引用次数: 0

摘要

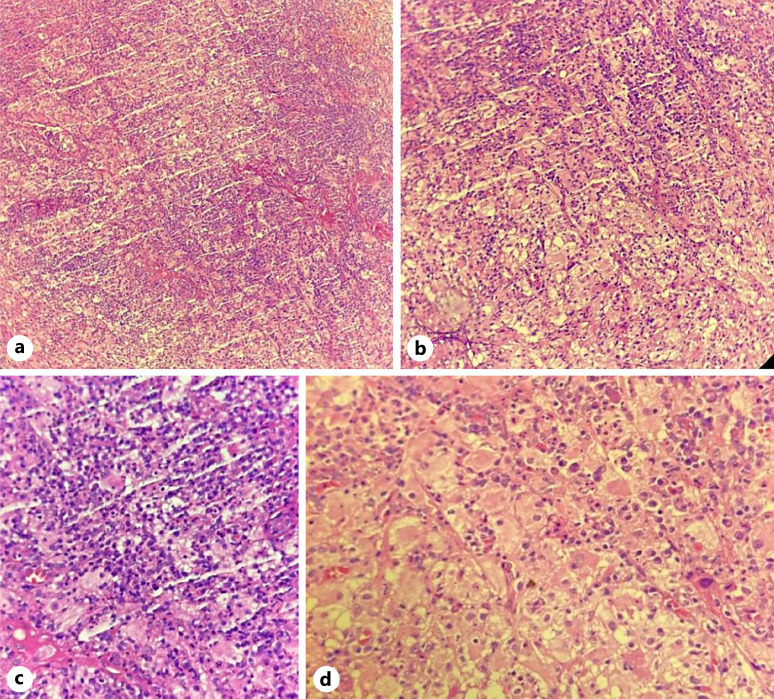
Rosai-Dorfman病(RDD)是一种罕见的良性组织细胞疾病,可以表现为孤立的皮肤RDD (CRDD),通常模仿其他皮肤疾病并使诊断复杂化。病例介绍:我们报告2例CRDD: 1例累及手掌和脚底,另1例为外生性面部肿块,最初误诊,未成功治疗。皮肤镜检查显示明显的特征,包括黄色卵形结构,线性血管和棉花样的白色球体。组织病理学和免疫组织化学分析证实CRDD伴有组织细胞浸润和表皮增生,这是CRDD的关键组织学标志。结论:通过对53例CRDD病例(2018-2023)的回顾性分析,我们发现CRDD的临床变异性、常见的解剖部位和不同的治疗反应,强调需要个体化治疗和早期识别以获得最佳治疗。这些发现有助于更广泛地了解CRDD,并支持多学科方法来优化患者护理。
本文章由计算机程序翻译,如有差异,请以英文原文为准。

Cutaneous Rosai-Dorfman Disease: A Report of 2 Cases and a Review of Recent Literature (2018-2023).

Cutaneous Rosai-Dorfman Disease: A Report of 2 Cases and a Review of Recent Literature (2018-2023).

Cutaneous Rosai-Dorfman Disease: A Report of 2 Cases and a Review of Recent Literature (2018-2023).

Cutaneous Rosai-Dorfman Disease: A Report of 2 Cases and a Review of Recent Literature (2018-2023).

Introduction: Rosai-Dorfman disease (RDD) is a rare, benign histiocytic disorder that can present as isolated cutaneous RDD (CRDD), often mimicking other dermatologic conditions and complicating diagnosis.

Case presentation: We report two cases of CRDD: one with palms and soles involvement, and another as an exophytic facial mass, initially misdiagnosed and unsuccessfully treated. Dermoscopy revealed distinctive features, including yellow ovoid structures, linear vessels, and cotton-like white globules. Histopathological and immunohistochemical analyses confirmed CRDD with histiocytic infiltration and emperipolesis, key histological markers of CRDD.

Conclusion: A review of 53 cases (2018-2023) highlights CRDD's clinical variability, common anatomical sites, and diverse treatment responses, emphasizing the need for individualized management and early recognition for optimal treatment. These findings contribute to a broader understanding of CRDD and support a multidisciplinary approach to optimizing patient care.

求助全文
通过发布文献求助,成功后即可免费获取论文全文。 去求助
来源期刊
CiteScore
1.60
自引率
0.00%
发文量
57
审稿时长
9 weeks
×
引用
GB/T 7714-2015
复制
MLA
复制
APA
复制
导出至
BibTeX EndNote RefMan NoteFirst NoteExpress
×
提示
您的信息不完整,为了账户安全,请先补充。
现在去补充
×
提示
您因"违规操作"
具体请查看互助需知
我知道了
×
提示
确定
请完成安全验证×
copy
已复制链接
快去分享给好友吧!
我知道了
右上角分享
点击右上角分享
0
联系我们:info@booksci.cn Book学术提供免费学术资源搜索服务,方便国内外学者检索中英文文献。致力于提供最便捷和优质的服务体验。 Copyright © 2023 布克学术 All rights reserved.
京ICP备2023020795号-1
ghs 京公网安备 11010802042870号
Book学术文献互助
Book学术文献互助群
群 号:604180095
Book学术官方微信