意外鞘内应用长春地辛及其神经预后:病例报告和文献系统回顾。

IF 2.5 Q3 CLINICAL NEUROLOGY
Brain & spine Pub Date : 2025-06-02 eCollection Date: 2025-01-01 DOI:10.1016/j.bas.2025.104292
A Babaee, H Yasin, B Berger, M Simon
{"title":"意外鞘内应用长春地辛及其神经预后:病例报告和文献系统回顾。","authors":"A Babaee, H Yasin, B Berger, M Simon","doi":"10.1016/j.bas.2025.104292","DOIUrl":null,"url":null,"abstract":"<p><strong>Introduction: </strong>Vinca alkaloids are used to treat a diversity of malignancies. Inadvertent intrathecal application is followed by severe neurological consequences, with fatal outcomes in the majority of the reported cases. Therapy of choice has been experimental.</p><p><strong>Research question: </strong>What are the outcomes of inadvertent intrathecal application of vinca alkaloids and how should it be treated? What is the role of irrigation of the cerebrospinal fluid (CSF) in order to remove the vinca alkaloid and potentially toxic metabolites?</p><p><strong>Material and methods: </strong>In this paper we report the case of a 53-year-old man who was, in the course of his treatment for acute lymphoblastic leukemia (ALL), inadvertently injected with vindesine intrathecally. The patient survived following aggressive and invasive treatment, which included irrigation of the CSF via external ventricular and lumbar drains. We also conducted a systematic review of similar published cases.</p><p><strong>Result: </strong>A total of 31 cases with intrathecal inadvertent vinca alkaloid injection were identified. Including the case described in this report only two patients were injected with vindesine (n = 2, 6.5 %), all other received vincristine. Only 6/31 (19.4 %) patients survived the acute phase of the vinca alkaloid intoxication. 6/15 (40.0 %) patients receiving some sort of CSF irrigation survived (cf. 0/12 without irrigation therapy). All survivors were left with very significant neurological deficits.</p><p><strong>Discussion and conclusion: </strong>The combined evidence suggests that intrathecal administration of vincristine is universally fatal without treatment, while CSF irrigation carries a chance of survival. Patients are, however, left with severe neurological deficits such as paraplegia.</p>","PeriodicalId":72443,"journal":{"name":"Brain & spine","volume":"5 ","pages":"104292"},"PeriodicalIF":2.5000,"publicationDate":"2025-06-02","publicationTypes":"Journal Article","fieldsOfStudy":null,"isOpenAccess":false,"openAccessPdf":"https://www.ncbi.nlm.nih.gov/pmc/articles/PMC12179714/pdf/","citationCount":"0","resultStr":"{\"title\":\"Inadvertent intrathecal application of vindesine and its neurological outcome: case report and systematic review of the literature.\",\"authors\":\"A Babaee, H Yasin, B Berger, M Simon\",\"doi\":\"10.1016/j.bas.2025.104292\",\"DOIUrl\":null,\"url\":null,\"abstract\":\"<p><strong>Introduction: </strong>Vinca alkaloids are used to treat a diversity of malignancies. Inadvertent intrathecal application is followed by severe neurological consequences, with fatal outcomes in the majority of the reported cases. Therapy of choice has been experimental.</p><p><strong>Research question: </strong>What are the outcomes of inadvertent intrathecal application of vinca alkaloids and how should it be treated? What is the role of irrigation of the cerebrospinal fluid (CSF) in order to remove the vinca alkaloid and potentially toxic metabolites?</p><p><strong>Material and methods: </strong>In this paper we report the case of a 53-year-old man who was, in the course of his treatment for acute lymphoblastic leukemia (ALL), inadvertently injected with vindesine intrathecally. The patient survived following aggressive and invasive treatment, which included irrigation of the CSF via external ventricular and lumbar drains. We also conducted a systematic review of similar published cases.</p><p><strong>Result: </strong>A total of 31 cases with intrathecal inadvertent vinca alkaloid injection were identified. Including the case described in this report only two patients were injected with vindesine (n = 2, 6.5 %), all other received vincristine. Only 6/31 (19.4 %) patients survived the acute phase of the vinca alkaloid intoxication. 6/15 (40.0 %) patients receiving some sort of CSF irrigation survived (cf. 0/12 without irrigation therapy). All survivors were left with very significant neurological deficits.</p><p><strong>Discussion and conclusion: </strong>The combined evidence suggests that intrathecal administration of vincristine is universally fatal without treatment, while CSF irrigation carries a chance of survival. Patients are, however, left with severe neurological deficits such as paraplegia.</p>\",\"PeriodicalId\":72443,\"journal\":{\"name\":\"Brain & spine\",\"volume\":\"5 \",\"pages\":\"104292\"},\"PeriodicalIF\":2.5000,\"publicationDate\":\"2025-06-02\",\"publicationTypes\":\"Journal Article\",\"fieldsOfStudy\":null,\"isOpenAccess\":false,\"openAccessPdf\":\"https://www.ncbi.nlm.nih.gov/pmc/articles/PMC12179714/pdf/\",\"citationCount\":\"0\",\"resultStr\":null,\"platform\":\"Semanticscholar\",\"paperid\":null,\"PeriodicalName\":\"Brain & spine\",\"FirstCategoryId\":\"1085\",\"ListUrlMain\":\"https://doi.org/10.1016/j.bas.2025.104292\",\"RegionNum\":0,\"RegionCategory\":null,\"ArticlePicture\":[],\"TitleCN\":null,\"AbstractTextCN\":null,\"PMCID\":null,\"EPubDate\":\"2025/1/1 0:00:00\",\"PubModel\":\"eCollection\",\"JCR\":\"Q3\",\"JCRName\":\"CLINICAL NEUROLOGY\",\"Score\":null,\"Total\":0}","platform":"Semanticscholar","paperid":null,"PeriodicalName":"Brain & spine","FirstCategoryId":"1085","ListUrlMain":"https://doi.org/10.1016/j.bas.2025.104292","RegionNum":0,"RegionCategory":null,"ArticlePicture":[],"TitleCN":null,"AbstractTextCN":null,"PMCID":null,"EPubDate":"2025/1/1 0:00:00","PubModel":"eCollection","JCR":"Q3","JCRName":"CLINICAL NEUROLOGY","Score":null,"Total":0}
引用次数: 0

摘要

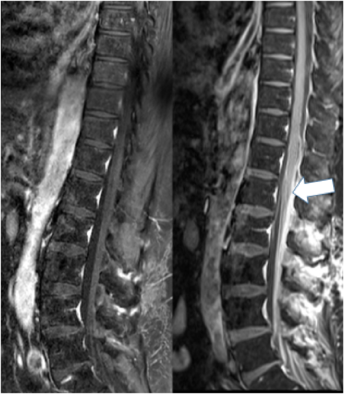
长春花生物碱用于治疗多种恶性肿瘤。意外鞘内应用会导致严重的神经系统后果,在大多数报告的病例中具有致命的结果。治疗的选择一直是实验性的。研究问题:无意中在鞘内应用长春花生物碱的后果是什么?应该如何治疗?冲洗脑脊液(CSF)以去除长春花生物碱和潜在毒性代谢物的作用是什么?材料和方法:在本文中,我们报告了一例53岁的男性患者,他在治疗急性淋巴细胞白血病(ALL)的过程中,无意中在鞘内注射了长春地辛。患者接受积极和侵入性治疗后存活,包括通过脑室外引流管和腰椎引流管冲洗脑脊液。我们还对已发表的类似病例进行了系统回顾。结果:共鉴定出鞘内误注长春花生物碱31例。包括本报告中描述的病例,只有2例患者注射了长春新碱(n = 2,6.5 %),其他所有患者都注射了长春新碱。只有6/31(19.4%)的患者在长春花生物碱中毒急性期存活。6/15(40.0%)接受某种脑脊液灌洗的患者存活(未接受灌洗治疗的患者存活0/12)。所有幸存者都留下了严重的神经缺陷。讨论和结论:综合证据表明,鞘内给药长春新碱是普遍致命的不治疗,而脑脊液灌洗有生存的机会。然而,患者会留下严重的神经功能缺陷,如截瘫。
本文章由计算机程序翻译,如有差异,请以英文原文为准。

Inadvertent intrathecal application of vindesine and its neurological outcome: case report and systematic review of the literature.

Inadvertent intrathecal application of vindesine and its neurological outcome: case report and systematic review of the literature.

Inadvertent intrathecal application of vindesine and its neurological outcome: case report and systematic review of the literature.

Inadvertent intrathecal application of vindesine and its neurological outcome: case report and systematic review of the literature.

Introduction: Vinca alkaloids are used to treat a diversity of malignancies. Inadvertent intrathecal application is followed by severe neurological consequences, with fatal outcomes in the majority of the reported cases. Therapy of choice has been experimental.

Research question: What are the outcomes of inadvertent intrathecal application of vinca alkaloids and how should it be treated? What is the role of irrigation of the cerebrospinal fluid (CSF) in order to remove the vinca alkaloid and potentially toxic metabolites?

Material and methods: In this paper we report the case of a 53-year-old man who was, in the course of his treatment for acute lymphoblastic leukemia (ALL), inadvertently injected with vindesine intrathecally. The patient survived following aggressive and invasive treatment, which included irrigation of the CSF via external ventricular and lumbar drains. We also conducted a systematic review of similar published cases.

Result: A total of 31 cases with intrathecal inadvertent vinca alkaloid injection were identified. Including the case described in this report only two patients were injected with vindesine (n = 2, 6.5 %), all other received vincristine. Only 6/31 (19.4 %) patients survived the acute phase of the vinca alkaloid intoxication. 6/15 (40.0 %) patients receiving some sort of CSF irrigation survived (cf. 0/12 without irrigation therapy). All survivors were left with very significant neurological deficits.

Discussion and conclusion: The combined evidence suggests that intrathecal administration of vincristine is universally fatal without treatment, while CSF irrigation carries a chance of survival. Patients are, however, left with severe neurological deficits such as paraplegia.

求助全文
通过发布文献求助,成功后即可免费获取论文全文。 去求助
来源期刊
Brain & spine
Brain & spine Surgery
CiteScore
1.10
自引率
0.00%
发文量
0
审稿时长
71 days
×
引用
GB/T 7714-2015
复制
MLA
复制
APA
复制
导出至
BibTeX EndNote RefMan NoteFirst NoteExpress
×
提示
您的信息不完整,为了账户安全,请先补充。
现在去补充
×
提示
您因"违规操作"
具体请查看互助需知
我知道了
×
提示
确定
请完成安全验证×
copy
已复制链接
快去分享给好友吧!
我知道了
右上角分享
点击右上角分享
0
联系我们:info@booksci.cn Book学术提供免费学术资源搜索服务,方便国内外学者检索中英文文献。致力于提供最便捷和优质的服务体验。 Copyright © 2023 布克学术 All rights reserved.
京ICP备2023020795号-1
ghs 京公网安备 11010802042870号
Book学术文献互助
Book学术文献互助群
群 号:604180095
Book学术官方微信