获得性回肠憩室致绞窄性肠梗阻1例。

IF 0.5 Q4 GASTROENTEROLOGY & HEPATOLOGY
Case Reports in Gastrointestinal Medicine Pub Date : 2025-06-12 eCollection Date: 2025-01-01 DOI:10.1155/crgm/5634075
Zhong-Yu Wang, Zhe Han, Hong-Fei Pang, Yu-Hang Liu, Ming Wei, Yuan-Yuan Wang
{"title":"获得性回肠憩室致绞窄性肠梗阻1例。","authors":"Zhong-Yu Wang, Zhe Han, Hong-Fei Pang, Yu-Hang Liu, Ming Wei, Yuan-Yuan Wang","doi":"10.1155/crgm/5634075","DOIUrl":null,"url":null,"abstract":"<p><p><b>Background:</b> Acquired ileal diverticulum is an extremely rare condition that occurs in the ileum and is caused by acquired factors. Strangulated intestinal obstruction, a life-threatening variant of bowel obstruction, is associated with exceedingly high mortality rates. Here, we present a case of acquired ileal diverticulum causing strangulated intestinal obstruction, which was treated at our hospital. <b>Case Report:</b> A 65-year-old female with no previous history of intestinal obstruction presented with acute abdominal pain. An exploratory laparotomy revealed an acquired ileal diverticulum and an internal hernia. <b>Conclusion:</b> Acquired ileal diverticulum leading to strangulated intestinal obstruction is rare. Clinicians should consider the possibility of this disease when encountering intestinal obstruction patients with no history of abdominal surgery.</p>","PeriodicalId":45645,"journal":{"name":"Case Reports in Gastrointestinal Medicine","volume":"2025 ","pages":"5634075"},"PeriodicalIF":0.5000,"publicationDate":"2025-06-12","publicationTypes":"Journal Article","fieldsOfStudy":null,"isOpenAccess":false,"openAccessPdf":"https://www.ncbi.nlm.nih.gov/pmc/articles/PMC12178755/pdf/","citationCount":"0","resultStr":"{\"title\":\"A Case of Strangulated Intestinal Obstruction Caused by Acquired Ileal Diverticulum.\",\"authors\":\"Zhong-Yu Wang, Zhe Han, Hong-Fei Pang, Yu-Hang Liu, Ming Wei, Yuan-Yuan Wang\",\"doi\":\"10.1155/crgm/5634075\",\"DOIUrl\":null,\"url\":null,\"abstract\":\"<p><p><b>Background:</b> Acquired ileal diverticulum is an extremely rare condition that occurs in the ileum and is caused by acquired factors. Strangulated intestinal obstruction, a life-threatening variant of bowel obstruction, is associated with exceedingly high mortality rates. Here, we present a case of acquired ileal diverticulum causing strangulated intestinal obstruction, which was treated at our hospital. <b>Case Report:</b> A 65-year-old female with no previous history of intestinal obstruction presented with acute abdominal pain. An exploratory laparotomy revealed an acquired ileal diverticulum and an internal hernia. <b>Conclusion:</b> Acquired ileal diverticulum leading to strangulated intestinal obstruction is rare. Clinicians should consider the possibility of this disease when encountering intestinal obstruction patients with no history of abdominal surgery.</p>\",\"PeriodicalId\":45645,\"journal\":{\"name\":\"Case Reports in Gastrointestinal Medicine\",\"volume\":\"2025 \",\"pages\":\"5634075\"},\"PeriodicalIF\":0.5000,\"publicationDate\":\"2025-06-12\",\"publicationTypes\":\"Journal Article\",\"fieldsOfStudy\":null,\"isOpenAccess\":false,\"openAccessPdf\":\"https://www.ncbi.nlm.nih.gov/pmc/articles/PMC12178755/pdf/\",\"citationCount\":\"0\",\"resultStr\":null,\"platform\":\"Semanticscholar\",\"paperid\":null,\"PeriodicalName\":\"Case Reports in Gastrointestinal Medicine\",\"FirstCategoryId\":\"1085\",\"ListUrlMain\":\"https://doi.org/10.1155/crgm/5634075\",\"RegionNum\":0,\"RegionCategory\":null,\"ArticlePicture\":[],\"TitleCN\":null,\"AbstractTextCN\":null,\"PMCID\":null,\"EPubDate\":\"2025/1/1 0:00:00\",\"PubModel\":\"eCollection\",\"JCR\":\"Q4\",\"JCRName\":\"GASTROENTEROLOGY & HEPATOLOGY\",\"Score\":null,\"Total\":0}","platform":"Semanticscholar","paperid":null,"PeriodicalName":"Case Reports in Gastrointestinal Medicine","FirstCategoryId":"1085","ListUrlMain":"https://doi.org/10.1155/crgm/5634075","RegionNum":0,"RegionCategory":null,"ArticlePicture":[],"TitleCN":null,"AbstractTextCN":null,"PMCID":null,"EPubDate":"2025/1/1 0:00:00","PubModel":"eCollection","JCR":"Q4","JCRName":"GASTROENTEROLOGY & HEPATOLOGY","Score":null,"Total":0}
引用次数: 0

摘要

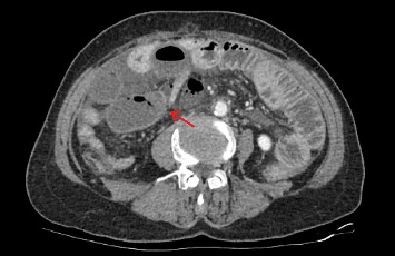
背景:获得性回肠憩室是一种发生在回肠的极为罕见的疾病,由获得性因素引起。绞窄性肠梗阻是一种危及生命的肠梗阻,死亡率极高。在此,我们报告一例获得性回肠憩室引起绞窄性肠梗阻,并在本院治疗。病例报告:65岁女性,既往无肠梗阻病史,急性腹痛。剖腹探查发现后天性回肠憩室和内疝。结论:获得性回肠憩室导致绞窄性肠梗阻是罕见的。临床医生在遇到无腹部手术史的肠梗阻患者时应考虑此病的可能性。
本文章由计算机程序翻译,如有差异,请以英文原文为准。

A Case of Strangulated Intestinal Obstruction Caused by Acquired Ileal Diverticulum.

A Case of Strangulated Intestinal Obstruction Caused by Acquired Ileal Diverticulum.

A Case of Strangulated Intestinal Obstruction Caused by Acquired Ileal Diverticulum.

A Case of Strangulated Intestinal Obstruction Caused by Acquired Ileal Diverticulum.

Background: Acquired ileal diverticulum is an extremely rare condition that occurs in the ileum and is caused by acquired factors. Strangulated intestinal obstruction, a life-threatening variant of bowel obstruction, is associated with exceedingly high mortality rates. Here, we present a case of acquired ileal diverticulum causing strangulated intestinal obstruction, which was treated at our hospital. Case Report: A 65-year-old female with no previous history of intestinal obstruction presented with acute abdominal pain. An exploratory laparotomy revealed an acquired ileal diverticulum and an internal hernia. Conclusion: Acquired ileal diverticulum leading to strangulated intestinal obstruction is rare. Clinicians should consider the possibility of this disease when encountering intestinal obstruction patients with no history of abdominal surgery.

求助全文
通过发布文献求助,成功后即可免费获取论文全文。 去求助
来源期刊
Case Reports in Gastrointestinal Medicine
Case Reports in Gastrointestinal Medicine GASTROENTEROLOGY & HEPATOLOGY-
自引率
0.00%
发文量
33
审稿时长
14 weeks
×
引用
GB/T 7714-2015
复制
MLA
复制
APA
复制
导出至
BibTeX EndNote RefMan NoteFirst NoteExpress
×
提示
您的信息不完整,为了账户安全,请先补充。
现在去补充
×
提示
您因"违规操作"
具体请查看互助需知
我知道了
×
提示
确定
请完成安全验证×
copy
已复制链接
快去分享给好友吧!
我知道了
右上角分享
点击右上角分享
0
联系我们:info@booksci.cn Book学术提供免费学术资源搜索服务,方便国内外学者检索中英文文献。致力于提供最便捷和优质的服务体验。 Copyright © 2023 布克学术 All rights reserved.
京ICP备2023020795号-1
ghs 京公网安备 11010802042870号
Book学术文献互助
Book学术文献互助群
群 号:604180095
Book学术官方微信