对比增强计算机断层扫描与磁共振成像在透明细胞肾癌鉴别诊断中的有效性比较。

IF 2.2 4区 医学 Q3 ONCOLOGY
Radiology and Oncology Pub Date : 2025-06-16 eCollection Date: 2025-06-01 DOI:10.2478/raon-2025-0033
Tomasz Blachura, Julia Radzikowska, Patrycja S Matusik, Aleksander Kowal, Jarosław D Jarczewski, Łukasz Skiba, Tadeusz J Popiela, Robert Chrzan
{"title":"对比增强计算机断层扫描与磁共振成像在透明细胞肾癌鉴别诊断中的有效性比较。","authors":"Tomasz Blachura, Julia Radzikowska, Patrycja S Matusik, Aleksander Kowal, Jarosław D Jarczewski, Łukasz Skiba, Tadeusz J Popiela, Robert Chrzan","doi":"10.2478/raon-2025-0033","DOIUrl":null,"url":null,"abstract":"<p><strong>Background: </strong>The incidental detection of indeterminate small renal masses (SRMs) has been rising continuously over the last few decades. The aim of our study was to assess selected contrast enhanced computed tomography (CECT) parameters in the characterization of indeterminate SRMs and compare them with selected magnetic resonance imaging (MRI) data.</p><p><strong>Patients and methods: </strong>Patients with indeterminate SRMs discovered on CECT were included in the study. Selected CECT features have been analyzed as differentiating between clear cell renal cell carcinoma (ccRCC) and other etiologies of SRMs. In 82% of patients, which had available MRI data, a comparison between selected MRI and CECT parameters were performed.</p><p><strong>Results: </strong>Relative washout in CECT had the best accuracy (76.5%), sensitivity (88.9%), as well as satisfactory specificity (69.7%) in ccRCC prediction. The cut-off point determined in receiver operating analysis using the Youden index for this parameter was 11.54. Multivariable analysis showed that only T1 SI ratio < 0.73 from MRI parameters and relative washout > 11.5 from CECT parameters were independent predictors of ccRCC (OR: 30.86, 95% CI: 1.58-600.26, p = 0.024; OR: 15.36, 95% CI: 1.52-155.16, p = 0.021).</p><p><strong>Conclusions: </strong>In clinical practice, the use of both CECT and MRI indicators, especially T1 SI ratio < 0.73 for MRI and relative washout > 11.5 for CECT, can support physicians in diagnosing and treating patients effectively.</p>","PeriodicalId":21034,"journal":{"name":"Radiology and Oncology","volume":"59 2","pages":"193-202"},"PeriodicalIF":2.2000,"publicationDate":"2025-06-16","publicationTypes":"Journal Article","fieldsOfStudy":null,"isOpenAccess":false,"openAccessPdf":"https://www.ncbi.nlm.nih.gov/pmc/articles/PMC12182951/pdf/","citationCount":"0","resultStr":"{\"title\":\"A comparison of effectiveness of the contrast enhanced computed tomography with magnetic resonance imaging in the differential diagnosis of clear cell renal carcinoma.\",\"authors\":\"Tomasz Blachura, Julia Radzikowska, Patrycja S Matusik, Aleksander Kowal, Jarosław D Jarczewski, Łukasz Skiba, Tadeusz J Popiela, Robert Chrzan\",\"doi\":\"10.2478/raon-2025-0033\",\"DOIUrl\":null,\"url\":null,\"abstract\":\"<p><strong>Background: </strong>The incidental detection of indeterminate small renal masses (SRMs) has been rising continuously over the last few decades. The aim of our study was to assess selected contrast enhanced computed tomography (CECT) parameters in the characterization of indeterminate SRMs and compare them with selected magnetic resonance imaging (MRI) data.</p><p><strong>Patients and methods: </strong>Patients with indeterminate SRMs discovered on CECT were included in the study. Selected CECT features have been analyzed as differentiating between clear cell renal cell carcinoma (ccRCC) and other etiologies of SRMs. In 82% of patients, which had available MRI data, a comparison between selected MRI and CECT parameters were performed.</p><p><strong>Results: </strong>Relative washout in CECT had the best accuracy (76.5%), sensitivity (88.9%), as well as satisfactory specificity (69.7%) in ccRCC prediction. The cut-off point determined in receiver operating analysis using the Youden index for this parameter was 11.54. Multivariable analysis showed that only T1 SI ratio < 0.73 from MRI parameters and relative washout > 11.5 from CECT parameters were independent predictors of ccRCC (OR: 30.86, 95% CI: 1.58-600.26, p = 0.024; OR: 15.36, 95% CI: 1.52-155.16, p = 0.021).</p><p><strong>Conclusions: </strong>In clinical practice, the use of both CECT and MRI indicators, especially T1 SI ratio < 0.73 for MRI and relative washout > 11.5 for CECT, can support physicians in diagnosing and treating patients effectively.</p>\",\"PeriodicalId\":21034,\"journal\":{\"name\":\"Radiology and Oncology\",\"volume\":\"59 2\",\"pages\":\"193-202\"},\"PeriodicalIF\":2.2000,\"publicationDate\":\"2025-06-16\",\"publicationTypes\":\"Journal Article\",\"fieldsOfStudy\":null,\"isOpenAccess\":false,\"openAccessPdf\":\"https://www.ncbi.nlm.nih.gov/pmc/articles/PMC12182951/pdf/\",\"citationCount\":\"0\",\"resultStr\":null,\"platform\":\"Semanticscholar\",\"paperid\":null,\"PeriodicalName\":\"Radiology and Oncology\",\"FirstCategoryId\":\"3\",\"ListUrlMain\":\"https://doi.org/10.2478/raon-2025-0033\",\"RegionNum\":4,\"RegionCategory\":\"医学\",\"ArticlePicture\":[],\"TitleCN\":null,\"AbstractTextCN\":null,\"PMCID\":null,\"EPubDate\":\"2025/6/1 0:00:00\",\"PubModel\":\"eCollection\",\"JCR\":\"Q3\",\"JCRName\":\"ONCOLOGY\",\"Score\":null,\"Total\":0}","platform":"Semanticscholar","paperid":null,"PeriodicalName":"Radiology and Oncology","FirstCategoryId":"3","ListUrlMain":"https://doi.org/10.2478/raon-2025-0033","RegionNum":4,"RegionCategory":"医学","ArticlePicture":[],"TitleCN":null,"AbstractTextCN":null,"PMCID":null,"EPubDate":"2025/6/1 0:00:00","PubModel":"eCollection","JCR":"Q3","JCRName":"ONCOLOGY","Score":null,"Total":0}
引用次数: 0

摘要

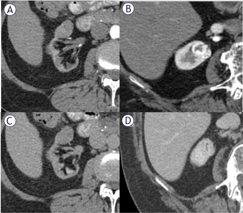
背景:在过去的几十年里,不确定肾小肿块(SRMs)的偶然检出率不断上升。我们研究的目的是评估在不确定SRMs表征中选择的对比增强计算机断层扫描(CECT)参数,并将其与选定的磁共振成像(MRI)数据进行比较。患者和方法:在CECT上发现不确定srm的患者纳入研究。选择的CECT特征被分析为透明细胞肾细胞癌(ccRCC)和其他SRMs病因的鉴别。在82%有可用MRI数据的患者中,对选定的MRI和CECT参数进行了比较。结果:CECT的相对洗脱预测ccRCC的准确度(76.5%)、灵敏度(88.9%)和特异性(69.7%)均较好。使用约登指数对该参数进行受试者操作分析时确定的截止点为11.54。多变量分析显示,只有MRI参数的T1 SI比< 0.73和CECT参数的相对冲洗值bb0 11.5是ccRCC的独立预测因子(OR: 30.86, 95% CI: 1.58-600.26, p = 0.024;OR: 15.36, 95% CI: 1.52-155.16, p = 0.021)。结论:在临床实践中,同时使用CECT和MRI的指标,特别是MRI的T1 SI比值< 0.73,CECT的相对冲洗值> 11.5,可以帮助医生有效地诊断和治疗患者。
本文章由计算机程序翻译,如有差异,请以英文原文为准。

A comparison of effectiveness of the contrast enhanced computed tomography with magnetic resonance imaging in the differential diagnosis of clear cell renal carcinoma.

A comparison of effectiveness of the contrast enhanced computed tomography with magnetic resonance imaging in the differential diagnosis of clear cell renal carcinoma.

A comparison of effectiveness of the contrast enhanced computed tomography with magnetic resonance imaging in the differential diagnosis of clear cell renal carcinoma.

A comparison of effectiveness of the contrast enhanced computed tomography with magnetic resonance imaging in the differential diagnosis of clear cell renal carcinoma.

Background: The incidental detection of indeterminate small renal masses (SRMs) has been rising continuously over the last few decades. The aim of our study was to assess selected contrast enhanced computed tomography (CECT) parameters in the characterization of indeterminate SRMs and compare them with selected magnetic resonance imaging (MRI) data.

Patients and methods: Patients with indeterminate SRMs discovered on CECT were included in the study. Selected CECT features have been analyzed as differentiating between clear cell renal cell carcinoma (ccRCC) and other etiologies of SRMs. In 82% of patients, which had available MRI data, a comparison between selected MRI and CECT parameters were performed.

Results: Relative washout in CECT had the best accuracy (76.5%), sensitivity (88.9%), as well as satisfactory specificity (69.7%) in ccRCC prediction. The cut-off point determined in receiver operating analysis using the Youden index for this parameter was 11.54. Multivariable analysis showed that only T1 SI ratio < 0.73 from MRI parameters and relative washout > 11.5 from CECT parameters were independent predictors of ccRCC (OR: 30.86, 95% CI: 1.58-600.26, p = 0.024; OR: 15.36, 95% CI: 1.52-155.16, p = 0.021).

Conclusions: In clinical practice, the use of both CECT and MRI indicators, especially T1 SI ratio < 0.73 for MRI and relative washout > 11.5 for CECT, can support physicians in diagnosing and treating patients effectively.

求助全文
通过发布文献求助,成功后即可免费获取论文全文。 去求助
来源期刊
Radiology and Oncology
Radiology and Oncology ONCOLOGY-RADIOLOGY, NUCLEAR MEDICINE & MEDICAL IMAGING
CiteScore
4.40
自引率
0.00%
发文量
42
审稿时长
>12 weeks
期刊介绍: Radiology and Oncology is a multidisciplinary journal devoted to the publishing original and high quality scientific papers and review articles, pertinent to diagnostic and interventional radiology, computerized tomography, magnetic resonance, ultrasound, nuclear medicine, radiotherapy, clinical and experimental oncology, radiobiology, medical physics and radiation protection. Therefore, the scope of the journal is to cover beside radiology the diagnostic and therapeutic aspects in oncology, which distinguishes it from other journals in the field.
×
引用
GB/T 7714-2015
复制
MLA
复制
APA
复制
导出至
BibTeX EndNote RefMan NoteFirst NoteExpress
×
提示
您的信息不完整,为了账户安全,请先补充。
现在去补充
×
提示
您因"违规操作"
具体请查看互助需知
我知道了
×
提示
确定
请完成安全验证×
copy
已复制链接
快去分享给好友吧!
我知道了
右上角分享
点击右上角分享
0
联系我们:info@booksci.cn Book学术提供免费学术资源搜索服务,方便国内外学者检索中英文文献。致力于提供最便捷和优质的服务体验。 Copyright © 2023 布克学术 All rights reserved.
京ICP备2023020795号-1
ghs 京公网安备 11010802042870号
Book学术文献互助
Book学术文献互助群
群 号:604180095
Book学术官方微信