术前放疗治疗黏液样脂肪肉瘤的影像学及病理反应。

IF 2.2 4区 医学 Q3 ONCOLOGY
Radiology and Oncology Pub Date : 2025-06-16 eCollection Date: 2025-06-01 DOI:10.2478/raon-2025-0032
Robert W Gao, Judith As Jebastin, Doris E Wenger, William S Harmsen, Andrew L Folpe, Michael G Haddock, Ivy A Petersen, Safia K Ahmed
{"title":"术前放疗治疗黏液样脂肪肉瘤的影像学及病理反应。","authors":"Robert W Gao, Judith As Jebastin, Doris E Wenger, William S Harmsen, Andrew L Folpe, Michael G Haddock, Ivy A Petersen, Safia K Ahmed","doi":"10.2478/raon-2025-0032","DOIUrl":null,"url":null,"abstract":"<p><strong>Background: </strong>We retrospectively assessed volumetric response of myxoid liposarcoma (MLPS) with preoperative radiotherapy (RT) and sought to identify disease and treatment characteristics associated with response.</p><p><strong>Patients and methods: </strong>We identified all patients with a histologic diagnosis of MLPS who received preoperative RT from 2013 to 2021 at our institution. We used cone beam computed tomography (CBCT) to assess changes in tumor volume and greatest dimension during treatment. Tumors were contoured on CBCT images prior to treatment and at the end of each week of RT. Percentage change in tumor volume and greatest dimension were calculated based on pre-treatment and final week contours. Patients with tumors incompletely visualized on CBCT were excluded from volume analysis but included on greatest dimension analysis. Magnetic resonance imaging (MRI) was used to evaluate pre- and post-RT radiographic features. Surgical pathology was reviewed to record pathologic characteristics.</p><p><strong>Results: </strong>Twenty patients met inclusion criteria. Most tumors (18/20) were low grade. The most frequent dose/fractionation scheme was 50 Gy in 25 fractions (16/20), with 3 patients receiving 36 Gy in 18 fractions. Median pre-RT volume and greatest dimension were 120 cc (interquartile range [IQR]: 56-399) and 11.2 cm (IQR: 8.4-14.1), respectively. Median percentage change in volume and greatest dimension were -37% (IQR: -57 to -29) and -10% (IQR: -20 to -7). All evaluable tumors decreased in volume during RT. Between pre- and post-RT MRI, most patients had a decrease in intratumoral (16/20) and peritumoral edema (11/20). Sixteen patients exhibited extensive pathologic response. There were no significant associations between radiographic and pathologic features and volumetric change. Local failure at 3 years was 9% (95% confidence interval: 1-59).</p><p><strong>Conclusions: </strong>We report significant decreases in MLPS tumor size during preoperative RT. There may be a role for adaptive RT planning to reduce target volumes and minimize RT-associated morbidity.</p>","PeriodicalId":21034,"journal":{"name":"Radiology and Oncology","volume":"59 2","pages":"176-182"},"PeriodicalIF":2.2000,"publicationDate":"2025-06-16","publicationTypes":"Journal Article","fieldsOfStudy":null,"isOpenAccess":false,"openAccessPdf":"https://www.ncbi.nlm.nih.gov/pmc/articles/PMC12182919/pdf/","citationCount":"0","resultStr":"{\"title\":\"Radiographic and pathologic response of myxoid liposarcoma treated with preoperative radiotherapy.\",\"authors\":\"Robert W Gao, Judith As Jebastin, Doris E Wenger, William S Harmsen, Andrew L Folpe, Michael G Haddock, Ivy A Petersen, Safia K Ahmed\",\"doi\":\"10.2478/raon-2025-0032\",\"DOIUrl\":null,\"url\":null,\"abstract\":\"<p><strong>Background: </strong>We retrospectively assessed volumetric response of myxoid liposarcoma (MLPS) with preoperative radiotherapy (RT) and sought to identify disease and treatment characteristics associated with response.</p><p><strong>Patients and methods: </strong>We identified all patients with a histologic diagnosis of MLPS who received preoperative RT from 2013 to 2021 at our institution. We used cone beam computed tomography (CBCT) to assess changes in tumor volume and greatest dimension during treatment. Tumors were contoured on CBCT images prior to treatment and at the end of each week of RT. Percentage change in tumor volume and greatest dimension were calculated based on pre-treatment and final week contours. Patients with tumors incompletely visualized on CBCT were excluded from volume analysis but included on greatest dimension analysis. Magnetic resonance imaging (MRI) was used to evaluate pre- and post-RT radiographic features. Surgical pathology was reviewed to record pathologic characteristics.</p><p><strong>Results: </strong>Twenty patients met inclusion criteria. Most tumors (18/20) were low grade. The most frequent dose/fractionation scheme was 50 Gy in 25 fractions (16/20), with 3 patients receiving 36 Gy in 18 fractions. Median pre-RT volume and greatest dimension were 120 cc (interquartile range [IQR]: 56-399) and 11.2 cm (IQR: 8.4-14.1), respectively. Median percentage change in volume and greatest dimension were -37% (IQR: -57 to -29) and -10% (IQR: -20 to -7). All evaluable tumors decreased in volume during RT. Between pre- and post-RT MRI, most patients had a decrease in intratumoral (16/20) and peritumoral edema (11/20). Sixteen patients exhibited extensive pathologic response. There were no significant associations between radiographic and pathologic features and volumetric change. Local failure at 3 years was 9% (95% confidence interval: 1-59).</p><p><strong>Conclusions: </strong>We report significant decreases in MLPS tumor size during preoperative RT. There may be a role for adaptive RT planning to reduce target volumes and minimize RT-associated morbidity.</p>\",\"PeriodicalId\":21034,\"journal\":{\"name\":\"Radiology and Oncology\",\"volume\":\"59 2\",\"pages\":\"176-182\"},\"PeriodicalIF\":2.2000,\"publicationDate\":\"2025-06-16\",\"publicationTypes\":\"Journal Article\",\"fieldsOfStudy\":null,\"isOpenAccess\":false,\"openAccessPdf\":\"https://www.ncbi.nlm.nih.gov/pmc/articles/PMC12182919/pdf/\",\"citationCount\":\"0\",\"resultStr\":null,\"platform\":\"Semanticscholar\",\"paperid\":null,\"PeriodicalName\":\"Radiology and Oncology\",\"FirstCategoryId\":\"3\",\"ListUrlMain\":\"https://doi.org/10.2478/raon-2025-0032\",\"RegionNum\":4,\"RegionCategory\":\"医学\",\"ArticlePicture\":[],\"TitleCN\":null,\"AbstractTextCN\":null,\"PMCID\":null,\"EPubDate\":\"2025/6/1 0:00:00\",\"PubModel\":\"eCollection\",\"JCR\":\"Q3\",\"JCRName\":\"ONCOLOGY\",\"Score\":null,\"Total\":0}","platform":"Semanticscholar","paperid":null,"PeriodicalName":"Radiology and Oncology","FirstCategoryId":"3","ListUrlMain":"https://doi.org/10.2478/raon-2025-0032","RegionNum":4,"RegionCategory":"医学","ArticlePicture":[],"TitleCN":null,"AbstractTextCN":null,"PMCID":null,"EPubDate":"2025/6/1 0:00:00","PubModel":"eCollection","JCR":"Q3","JCRName":"ONCOLOGY","Score":null,"Total":0}
引用次数: 0

摘要

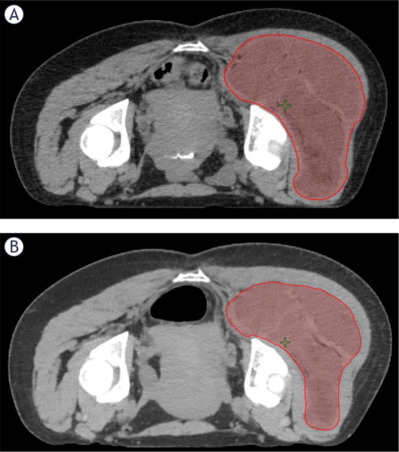
背景:我们回顾性评估了术前放疗(RT)对黏液样脂肪肉瘤(MLPS)的体积反应,并试图确定与反应相关的疾病和治疗特征。患者和方法:我们确定了2013年至2021年在我院接受术前放疗的所有组织学诊断为MLPS的患者。我们使用锥形束计算机断层扫描(CBCT)来评估治疗期间肿瘤体积和最大尺寸的变化。在治疗前和每周治疗结束时,在CBCT图像上绘制肿瘤轮廓。根据治疗前和最后一周的轮廓计算肿瘤体积和最大尺寸的百分比变化。在CBCT上未完全显示肿瘤的患者被排除在体积分析之外,但被纳入最大维数分析。磁共振成像(MRI)用于评估放疗前和放疗后的影像学特征。回顾手术病理,记录病理特征。结果:20例患者符合纳入标准。大多数肿瘤(18/20)为低级别肿瘤。最常见的剂量/分次方案是50 Gy,分25次(16/20),3例患者接受36 Gy,分18次。中位放疗前容积和最大体积分别为120cc(四分位间距[IQR]: 56-399)和11.2 cm (IQR: 8.4-14.1)。体积和最大尺寸的中位数百分比变化为-37% (IQR: -57至-29)和-10% (IQR: -20至-7)。所有可评估的肿瘤在放疗期间体积减小。在放疗前和放疗后的MRI检查中,大多数患者瘤内(16/20)和瘤周水肿(11/20)减少。16例患者表现出广泛的病理反应。影像学和病理特征与体积变化之间没有明显的联系。3年局部失败率为9%(95%可信区间:1-59)。结论:我们报告了术前放疗期间MLPS肿瘤大小的显著降低。适应性放疗计划可能在减少靶体积和减少放疗相关发病率方面发挥作用。
本文章由计算机程序翻译,如有差异,请以英文原文为准。

Radiographic and pathologic response of myxoid liposarcoma treated with preoperative radiotherapy.

Radiographic and pathologic response of myxoid liposarcoma treated with preoperative radiotherapy.

Radiographic and pathologic response of myxoid liposarcoma treated with preoperative radiotherapy.

Radiographic and pathologic response of myxoid liposarcoma treated with preoperative radiotherapy.

Background: We retrospectively assessed volumetric response of myxoid liposarcoma (MLPS) with preoperative radiotherapy (RT) and sought to identify disease and treatment characteristics associated with response.

Patients and methods: We identified all patients with a histologic diagnosis of MLPS who received preoperative RT from 2013 to 2021 at our institution. We used cone beam computed tomography (CBCT) to assess changes in tumor volume and greatest dimension during treatment. Tumors were contoured on CBCT images prior to treatment and at the end of each week of RT. Percentage change in tumor volume and greatest dimension were calculated based on pre-treatment and final week contours. Patients with tumors incompletely visualized on CBCT were excluded from volume analysis but included on greatest dimension analysis. Magnetic resonance imaging (MRI) was used to evaluate pre- and post-RT radiographic features. Surgical pathology was reviewed to record pathologic characteristics.

Results: Twenty patients met inclusion criteria. Most tumors (18/20) were low grade. The most frequent dose/fractionation scheme was 50 Gy in 25 fractions (16/20), with 3 patients receiving 36 Gy in 18 fractions. Median pre-RT volume and greatest dimension were 120 cc (interquartile range [IQR]: 56-399) and 11.2 cm (IQR: 8.4-14.1), respectively. Median percentage change in volume and greatest dimension were -37% (IQR: -57 to -29) and -10% (IQR: -20 to -7). All evaluable tumors decreased in volume during RT. Between pre- and post-RT MRI, most patients had a decrease in intratumoral (16/20) and peritumoral edema (11/20). Sixteen patients exhibited extensive pathologic response. There were no significant associations between radiographic and pathologic features and volumetric change. Local failure at 3 years was 9% (95% confidence interval: 1-59).

Conclusions: We report significant decreases in MLPS tumor size during preoperative RT. There may be a role for adaptive RT planning to reduce target volumes and minimize RT-associated morbidity.

求助全文
通过发布文献求助,成功后即可免费获取论文全文。 去求助
来源期刊
Radiology and Oncology
Radiology and Oncology ONCOLOGY-RADIOLOGY, NUCLEAR MEDICINE & MEDICAL IMAGING
CiteScore
4.40
自引率
0.00%
发文量
42
审稿时长
>12 weeks
期刊介绍: Radiology and Oncology is a multidisciplinary journal devoted to the publishing original and high quality scientific papers and review articles, pertinent to diagnostic and interventional radiology, computerized tomography, magnetic resonance, ultrasound, nuclear medicine, radiotherapy, clinical and experimental oncology, radiobiology, medical physics and radiation protection. Therefore, the scope of the journal is to cover beside radiology the diagnostic and therapeutic aspects in oncology, which distinguishes it from other journals in the field.
×
引用
GB/T 7714-2015
复制
MLA
复制
APA
复制
导出至
BibTeX EndNote RefMan NoteFirst NoteExpress
×
提示
您的信息不完整,为了账户安全,请先补充。
现在去补充
×
提示
您因"违规操作"
具体请查看互助需知
我知道了
×
提示
确定
请完成安全验证×
copy
已复制链接
快去分享给好友吧!
我知道了
右上角分享
点击右上角分享
0
联系我们:info@booksci.cn Book学术提供免费学术资源搜索服务,方便国内外学者检索中英文文献。致力于提供最便捷和优质的服务体验。 Copyright © 2023 布克学术 All rights reserved.
京ICP备2023020795号-1
ghs 京公网安备 11010802042870号
Book学术文献互助
Book学术文献互助群
群 号:604180095
Book学术官方微信