神经营养性原肌球蛋白受体激酶1融合阳性乳腺癌患者的肠替尼诱导心包炎合并心包填塞

IF 0.7 Q4 ONCOLOGY
Case Reports in Oncology Pub Date : 2025-05-17 eCollection Date: 2025-01-01 DOI:10.1159/000546503
Aki Aoyama, Yutaro Yoshitomi, Akihiko Shimomura, Yukino Kawamura, Tomoko Taniyama, Atsumasa Kurozumi, Shuji Kubota, Yukio Hiroi, Chikako Shimizu
{"title":"神经营养性原肌球蛋白受体激酶1融合阳性乳腺癌患者的肠替尼诱导心包炎合并心包填塞","authors":"Aki Aoyama, Yutaro Yoshitomi, Akihiko Shimomura, Yukino Kawamura, Tomoko Taniyama, Atsumasa Kurozumi, Shuji Kubota, Yukio Hiroi, Chikako Shimizu","doi":"10.1159/000546503","DOIUrl":null,"url":null,"abstract":"<p><strong>Introduction: </strong>Entrectinib is a multikinase inhibitor used to treat neurotrophic tropomyosin receptor kinase (<i>NTRK</i>) fusion-positive, locally advanced, or metastatic tumors. Cardiovascular events, such as congestive heart failure and myocarditis, have been reported in association with entrectinib use.</p><p><strong>Case presentation: </strong>A 31-year-old female with <i>NTRK1</i> fusion-positive breast cancer presented to our hospital with dyspnea and orthopnea 21 days after initiating entrectinib therapy (600 mg/day orally). Transthoracic echocardiography revealed circumferential pericardial effusion with diastolic right atrial and ventricular collapse. Consequently, she was diagnosed with pericarditis complicated by cardiac tamponade, and pericardiocentesis was performed. Cardiac tamponade resolved after discontinuation of entrectinib and initiation of corticosteroid therapy. Subsequently, larotrectinib (200 mg/day orally) was initiated.</p><p><strong>Conclusion: </strong>To our knowledge, this is the first reported case of entrectinib-induced pericarditis complicated by cardiac tamponade. Patients should be closely monitored for signs of pericarditis and cardiac tamponade at the start of entrectinib therapy. In patients who develop cardiovascular toxicity due to entrectinib, larotrectinib may be considered as an alternative treatment.</p>","PeriodicalId":9625,"journal":{"name":"Case Reports in Oncology","volume":"18 1","pages":"824-829"},"PeriodicalIF":0.7000,"publicationDate":"2025-05-17","publicationTypes":"Journal Article","fieldsOfStudy":null,"isOpenAccess":false,"openAccessPdf":"https://www.ncbi.nlm.nih.gov/pmc/articles/PMC12180791/pdf/","citationCount":"0","resultStr":"{\"title\":\"Entrectinib-Induced Pericarditis with Cardiac Tamponade in a Patient with Neurotrophic Tropomyosin Receptor Kinase 1 Fusion-Positive Breast Cancer.\",\"authors\":\"Aki Aoyama, Yutaro Yoshitomi, Akihiko Shimomura, Yukino Kawamura, Tomoko Taniyama, Atsumasa Kurozumi, Shuji Kubota, Yukio Hiroi, Chikako Shimizu\",\"doi\":\"10.1159/000546503\",\"DOIUrl\":null,\"url\":null,\"abstract\":\"<p><strong>Introduction: </strong>Entrectinib is a multikinase inhibitor used to treat neurotrophic tropomyosin receptor kinase (<i>NTRK</i>) fusion-positive, locally advanced, or metastatic tumors. Cardiovascular events, such as congestive heart failure and myocarditis, have been reported in association with entrectinib use.</p><p><strong>Case presentation: </strong>A 31-year-old female with <i>NTRK1</i> fusion-positive breast cancer presented to our hospital with dyspnea and orthopnea 21 days after initiating entrectinib therapy (600 mg/day orally). Transthoracic echocardiography revealed circumferential pericardial effusion with diastolic right atrial and ventricular collapse. Consequently, she was diagnosed with pericarditis complicated by cardiac tamponade, and pericardiocentesis was performed. Cardiac tamponade resolved after discontinuation of entrectinib and initiation of corticosteroid therapy. Subsequently, larotrectinib (200 mg/day orally) was initiated.</p><p><strong>Conclusion: </strong>To our knowledge, this is the first reported case of entrectinib-induced pericarditis complicated by cardiac tamponade. Patients should be closely monitored for signs of pericarditis and cardiac tamponade at the start of entrectinib therapy. In patients who develop cardiovascular toxicity due to entrectinib, larotrectinib may be considered as an alternative treatment.</p>\",\"PeriodicalId\":9625,\"journal\":{\"name\":\"Case Reports in Oncology\",\"volume\":\"18 1\",\"pages\":\"824-829\"},\"PeriodicalIF\":0.7000,\"publicationDate\":\"2025-05-17\",\"publicationTypes\":\"Journal Article\",\"fieldsOfStudy\":null,\"isOpenAccess\":false,\"openAccessPdf\":\"https://www.ncbi.nlm.nih.gov/pmc/articles/PMC12180791/pdf/\",\"citationCount\":\"0\",\"resultStr\":null,\"platform\":\"Semanticscholar\",\"paperid\":null,\"PeriodicalName\":\"Case Reports in Oncology\",\"FirstCategoryId\":\"1085\",\"ListUrlMain\":\"https://doi.org/10.1159/000546503\",\"RegionNum\":0,\"RegionCategory\":null,\"ArticlePicture\":[],\"TitleCN\":null,\"AbstractTextCN\":null,\"PMCID\":null,\"EPubDate\":\"2025/1/1 0:00:00\",\"PubModel\":\"eCollection\",\"JCR\":\"Q4\",\"JCRName\":\"ONCOLOGY\",\"Score\":null,\"Total\":0}","platform":"Semanticscholar","paperid":null,"PeriodicalName":"Case Reports in Oncology","FirstCategoryId":"1085","ListUrlMain":"https://doi.org/10.1159/000546503","RegionNum":0,"RegionCategory":null,"ArticlePicture":[],"TitleCN":null,"AbstractTextCN":null,"PMCID":null,"EPubDate":"2025/1/1 0:00:00","PubModel":"eCollection","JCR":"Q4","JCRName":"ONCOLOGY","Score":null,"Total":0}
引用次数: 0

摘要

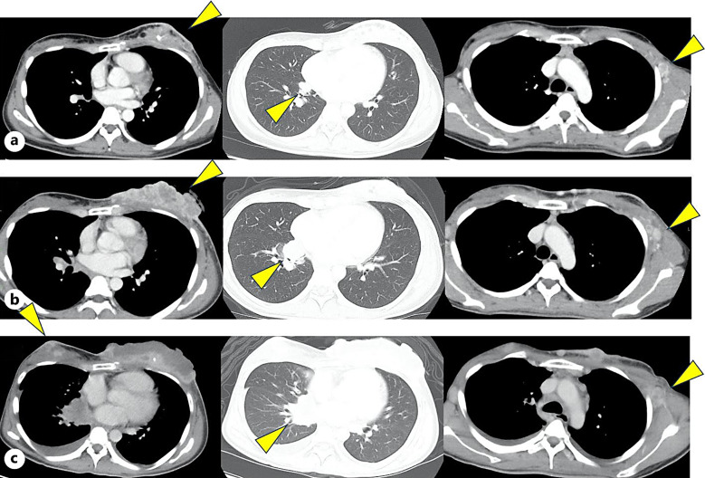
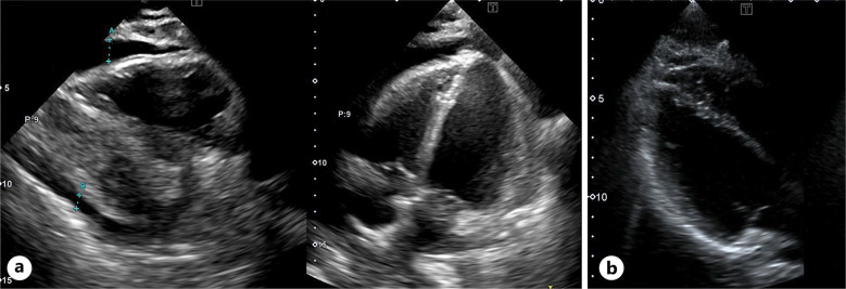
恩替尼是一种多激酶抑制剂,用于治疗神经营养性原肌球蛋白受体激酶(NTRK)融合阳性、局部晚期或转移性肿瘤。心血管事件,如充血性心力衰竭和心肌炎,已报道与使用肠替尼有关。病例介绍:一名31岁女性NTRK1融合阳性乳腺癌患者在开始enterrectinib治疗(600 mg/天口服)21天后因呼吸困难和骨科呼吸困难来到我院。经胸超声心动图显示围心包积液伴舒张期右心房和心室塌陷。因此,她被诊断为心包炎合并心包填塞,并进行心包穿刺。心包填塞在停止使用肠替尼和开始使用皮质类固醇治疗后消失。随后,开始使用larorectinib (200mg /天口服)。结论:据我们所知,这是首例肠替尼性心包炎合并心包填塞的病例报道。在肠替尼治疗开始时,应密切监测患者心包炎和心包填塞的迹象。对于因enterrectinib而产生心血管毒性的患者,larorectinib可被视为替代治疗。
本文章由计算机程序翻译,如有差异,请以英文原文为准。

Entrectinib-Induced Pericarditis with Cardiac Tamponade in a Patient with Neurotrophic Tropomyosin Receptor Kinase 1 Fusion-Positive Breast Cancer.

Entrectinib-Induced Pericarditis with Cardiac Tamponade in a Patient with Neurotrophic Tropomyosin Receptor Kinase 1 Fusion-Positive Breast Cancer.

Entrectinib-Induced Pericarditis with Cardiac Tamponade in a Patient with Neurotrophic Tropomyosin Receptor Kinase 1 Fusion-Positive Breast Cancer.

Entrectinib-Induced Pericarditis with Cardiac Tamponade in a Patient with Neurotrophic Tropomyosin Receptor Kinase 1 Fusion-Positive Breast Cancer.

Introduction: Entrectinib is a multikinase inhibitor used to treat neurotrophic tropomyosin receptor kinase (NTRK) fusion-positive, locally advanced, or metastatic tumors. Cardiovascular events, such as congestive heart failure and myocarditis, have been reported in association with entrectinib use.

Case presentation: A 31-year-old female with NTRK1 fusion-positive breast cancer presented to our hospital with dyspnea and orthopnea 21 days after initiating entrectinib therapy (600 mg/day orally). Transthoracic echocardiography revealed circumferential pericardial effusion with diastolic right atrial and ventricular collapse. Consequently, she was diagnosed with pericarditis complicated by cardiac tamponade, and pericardiocentesis was performed. Cardiac tamponade resolved after discontinuation of entrectinib and initiation of corticosteroid therapy. Subsequently, larotrectinib (200 mg/day orally) was initiated.

Conclusion: To our knowledge, this is the first reported case of entrectinib-induced pericarditis complicated by cardiac tamponade. Patients should be closely monitored for signs of pericarditis and cardiac tamponade at the start of entrectinib therapy. In patients who develop cardiovascular toxicity due to entrectinib, larotrectinib may be considered as an alternative treatment.

求助全文
通过发布文献求助,成功后即可免费获取论文全文。 去求助
来源期刊
CiteScore
1.40
自引率
12.50%
发文量
151
审稿时长
7 weeks
×
引用
GB/T 7714-2015
复制
MLA
复制
APA
复制
导出至
BibTeX EndNote RefMan NoteFirst NoteExpress
×
提示
您的信息不完整,为了账户安全,请先补充。
现在去补充
×
提示
您因"违规操作"
具体请查看互助需知
我知道了
×
提示
确定
请完成安全验证×
copy
已复制链接
快去分享给好友吧!
我知道了
右上角分享
点击右上角分享
0
联系我们:info@booksci.cn Book学术提供免费学术资源搜索服务,方便国内外学者检索中英文文献。致力于提供最便捷和优质的服务体验。 Copyright © 2023 布克学术 All rights reserved.
京ICP备2023020795号-1
ghs 京公网安备 11010802042870号
Book学术文献互助
Book学术文献互助群
群 号:604180095
Book学术官方微信