Pembrolizumab在肺腺癌患者中引起的连续不受控制的胃肠道免疫相关不良事件:1例报告。

IF 0.7 Q4 ONCOLOGY
Case Reports in Oncology Pub Date : 2025-05-15 eCollection Date: 2025-01-01 DOI:10.1159/000546295
Yoshikazu Toshima, Keiki Yokoo, Koki Kamata, Takayuki Nagao, Satoshi Ota, Gen Yamada, Hirofumi Chiba
{"title":"Pembrolizumab在肺腺癌患者中引起的连续不受控制的胃肠道免疫相关不良事件:1例报告。","authors":"Yoshikazu Toshima, Keiki Yokoo, Koki Kamata, Takayuki Nagao, Satoshi Ota, Gen Yamada, Hirofumi Chiba","doi":"10.1159/000546295","DOIUrl":null,"url":null,"abstract":"<p><strong>Introduction: </strong>Immune-checkpoint inhibitors, such as pembrolizumab, have been used for non-small cell lung cancer treatment but are often associated with immune-related adverse events (irAEs).</p><p><strong>Case presentation: </strong>A 71-year-old female was diagnosed with lung adenocarcinoma (cT3N0M1c; BRN, cStage IVB [UICC-8th edition]) and was treated with pembrolizumab monotherapy, achieving a partial response. After five cycles, she developed anorexia and abdominal pain, and upper gastrointestinal endoscopy revealed hemorrhagic gastritis because of irAEs. Systemic steroids improved the gastritis, and pembrolizumab was re-administered. However, after re-treatment, she developed interstitial lung disease, enteritis, and recurrent gastritis, all of which were irAEs. Despite high-dose steroids and infliximab addition, the irAEs remained uncontrolled, and the patient eventually died.</p><p><strong>Conclusion: </strong>Caution is essential when re-administering immune-checkpoint inhibitors to patients with prior irAEs, although upper gastrointestinal irAEs are usually manageable.</p>","PeriodicalId":9625,"journal":{"name":"Case Reports in Oncology","volume":"18 1","pages":"794-799"},"PeriodicalIF":0.7000,"publicationDate":"2025-05-15","publicationTypes":"Journal Article","fieldsOfStudy":null,"isOpenAccess":false,"openAccessPdf":"https://www.ncbi.nlm.nih.gov/pmc/articles/PMC12180787/pdf/","citationCount":"0","resultStr":"{\"title\":\"Consecutive Uncontrolled Gastrointestinal Immune-Related Adverse Events Induced by Pembrolizumab in a Patient with Lung Adenocarcinoma: A Case Report.\",\"authors\":\"Yoshikazu Toshima, Keiki Yokoo, Koki Kamata, Takayuki Nagao, Satoshi Ota, Gen Yamada, Hirofumi Chiba\",\"doi\":\"10.1159/000546295\",\"DOIUrl\":null,\"url\":null,\"abstract\":\"<p><strong>Introduction: </strong>Immune-checkpoint inhibitors, such as pembrolizumab, have been used for non-small cell lung cancer treatment but are often associated with immune-related adverse events (irAEs).</p><p><strong>Case presentation: </strong>A 71-year-old female was diagnosed with lung adenocarcinoma (cT3N0M1c; BRN, cStage IVB [UICC-8th edition]) and was treated with pembrolizumab monotherapy, achieving a partial response. After five cycles, she developed anorexia and abdominal pain, and upper gastrointestinal endoscopy revealed hemorrhagic gastritis because of irAEs. Systemic steroids improved the gastritis, and pembrolizumab was re-administered. However, after re-treatment, she developed interstitial lung disease, enteritis, and recurrent gastritis, all of which were irAEs. Despite high-dose steroids and infliximab addition, the irAEs remained uncontrolled, and the patient eventually died.</p><p><strong>Conclusion: </strong>Caution is essential when re-administering immune-checkpoint inhibitors to patients with prior irAEs, although upper gastrointestinal irAEs are usually manageable.</p>\",\"PeriodicalId\":9625,\"journal\":{\"name\":\"Case Reports in Oncology\",\"volume\":\"18 1\",\"pages\":\"794-799\"},\"PeriodicalIF\":0.7000,\"publicationDate\":\"2025-05-15\",\"publicationTypes\":\"Journal Article\",\"fieldsOfStudy\":null,\"isOpenAccess\":false,\"openAccessPdf\":\"https://www.ncbi.nlm.nih.gov/pmc/articles/PMC12180787/pdf/\",\"citationCount\":\"0\",\"resultStr\":null,\"platform\":\"Semanticscholar\",\"paperid\":null,\"PeriodicalName\":\"Case Reports in Oncology\",\"FirstCategoryId\":\"1085\",\"ListUrlMain\":\"https://doi.org/10.1159/000546295\",\"RegionNum\":0,\"RegionCategory\":null,\"ArticlePicture\":[],\"TitleCN\":null,\"AbstractTextCN\":null,\"PMCID\":null,\"EPubDate\":\"2025/1/1 0:00:00\",\"PubModel\":\"eCollection\",\"JCR\":\"Q4\",\"JCRName\":\"ONCOLOGY\",\"Score\":null,\"Total\":0}","platform":"Semanticscholar","paperid":null,"PeriodicalName":"Case Reports in Oncology","FirstCategoryId":"1085","ListUrlMain":"https://doi.org/10.1159/000546295","RegionNum":0,"RegionCategory":null,"ArticlePicture":[],"TitleCN":null,"AbstractTextCN":null,"PMCID":null,"EPubDate":"2025/1/1 0:00:00","PubModel":"eCollection","JCR":"Q4","JCRName":"ONCOLOGY","Score":null,"Total":0}
引用次数: 0

摘要

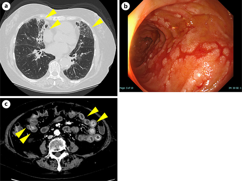
免疫检查点抑制剂,如派姆单抗,已被用于非小细胞肺癌治疗,但通常与免疫相关不良事件(irAEs)相关。病例介绍:一名71岁女性被诊断为肺腺癌(cT3N0M1c;BRN, c期IVB [uicc -8版]),并接受派姆单抗单药治疗,获得部分缓解。5个周期后,患者出现厌食和腹痛,上消化道内窥镜检查显示出血性胃炎。全身性类固醇改善了胃炎,并重新给药派姆单抗。但再次治疗后,患者出现肺间质性疾病、肠炎、复发性胃炎,均为irae。尽管添加了大剂量类固醇和英夫利昔单抗,irae仍然不受控制,患者最终死亡。结论:尽管上胃肠道irae通常是可控的,但对既往irae患者再次使用免疫检查点抑制剂是必要的。
本文章由计算机程序翻译,如有差异,请以英文原文为准。

Consecutive Uncontrolled Gastrointestinal Immune-Related Adverse Events Induced by Pembrolizumab in a Patient with Lung Adenocarcinoma: A Case Report.

Consecutive Uncontrolled Gastrointestinal Immune-Related Adverse Events Induced by Pembrolizumab in a Patient with Lung Adenocarcinoma: A Case Report.

Consecutive Uncontrolled Gastrointestinal Immune-Related Adverse Events Induced by Pembrolizumab in a Patient with Lung Adenocarcinoma: A Case Report.

Introduction: Immune-checkpoint inhibitors, such as pembrolizumab, have been used for non-small cell lung cancer treatment but are often associated with immune-related adverse events (irAEs).

Case presentation: A 71-year-old female was diagnosed with lung adenocarcinoma (cT3N0M1c; BRN, cStage IVB [UICC-8th edition]) and was treated with pembrolizumab monotherapy, achieving a partial response. After five cycles, she developed anorexia and abdominal pain, and upper gastrointestinal endoscopy revealed hemorrhagic gastritis because of irAEs. Systemic steroids improved the gastritis, and pembrolizumab was re-administered. However, after re-treatment, she developed interstitial lung disease, enteritis, and recurrent gastritis, all of which were irAEs. Despite high-dose steroids and infliximab addition, the irAEs remained uncontrolled, and the patient eventually died.

Conclusion: Caution is essential when re-administering immune-checkpoint inhibitors to patients with prior irAEs, although upper gastrointestinal irAEs are usually manageable.

求助全文
通过发布文献求助,成功后即可免费获取论文全文。 去求助
来源期刊
CiteScore
1.40
自引率
12.50%
发文量
151
审稿时长
7 weeks
×
引用
GB/T 7714-2015
复制
MLA
复制
APA
复制
导出至
BibTeX EndNote RefMan NoteFirst NoteExpress
×
提示
您的信息不完整,为了账户安全,请先补充。
现在去补充
×
提示
您因"违规操作"
具体请查看互助需知
我知道了
×
提示
确定
请完成安全验证×
copy
已复制链接
快去分享给好友吧!
我知道了
右上角分享
点击右上角分享
0
联系我们:info@booksci.cn Book学术提供免费学术资源搜索服务,方便国内外学者检索中英文文献。致力于提供最便捷和优质的服务体验。 Copyright © 2023 布克学术 All rights reserved.
京ICP备2023020795号-1
ghs 京公网安备 11010802042870号
Book学术文献互助
Book学术文献互助群
群 号:604180095
Book学术官方微信