缺铁性贫血检查中诊断胃十二指肠圆线虫病。

IF 0.6 Q4 GASTROENTEROLOGY & HEPATOLOGY
Case Reports in Gastroenterology Pub Date : 2025-06-20 eCollection Date: 2025-01-01 DOI:10.1159/000539769
Malek Kreidieh, Neville Mobarakai, Sherif Andrawes, Robert Colef, Lara Kreidieh, Hassan Al Moussawi, Jean M Chalhoub
{"title":"缺铁性贫血检查中诊断胃十二指肠圆线虫病。","authors":"Malek Kreidieh, Neville Mobarakai, Sherif Andrawes, Robert Colef, Lara Kreidieh, Hassan Al Moussawi, Jean M Chalhoub","doi":"10.1159/000539769","DOIUrl":null,"url":null,"abstract":"<p><strong>Introduction: </strong>The Strongyloidae family includes at least fifty species of intestinal nematode worms, and <i>Strongyloides stercoralis</i> is the most prevalent one among humans. As a result of this parasite's complex lifecycle, it can either remain localized in the intestines or disseminate to different organs throughout the body, culminating in hyperinfection in case of immunosuppression. Strongyloidiasis is rarely encountered in the USA, and an associated gastric involvement is uncommon.</p><p><strong>Case presentation: </strong>In this case report, we describe the case of an asymptomatic and immunocompetent Liberian patient with gastroduodenal strongyloidiasis whose diagnosis was based on histologic findings during endoscopic evaluation for iron deficiency anemia.</p><p><strong>Conclusion: </strong>This case sheds light on the importance of suspecting the diagnosis of disseminated strongyloidiasis in high-risk individuals with iron deficiency anemia in combination with peripheral eosinophilia.</p>","PeriodicalId":9614,"journal":{"name":"Case Reports in Gastroenterology","volume":"19 1","pages":"467-475"},"PeriodicalIF":0.6000,"publicationDate":"2025-06-20","publicationTypes":"Journal Article","fieldsOfStudy":null,"isOpenAccess":false,"openAccessPdf":"https://www.ncbi.nlm.nih.gov/pmc/articles/PMC12180792/pdf/","citationCount":"0","resultStr":"{\"title\":\"Gastroduodenal Strongyloidiasis Diagnosed during Iron Deficiency Anemia Workup.\",\"authors\":\"Malek Kreidieh, Neville Mobarakai, Sherif Andrawes, Robert Colef, Lara Kreidieh, Hassan Al Moussawi, Jean M Chalhoub\",\"doi\":\"10.1159/000539769\",\"DOIUrl\":null,\"url\":null,\"abstract\":\"<p><strong>Introduction: </strong>The Strongyloidae family includes at least fifty species of intestinal nematode worms, and <i>Strongyloides stercoralis</i> is the most prevalent one among humans. As a result of this parasite's complex lifecycle, it can either remain localized in the intestines or disseminate to different organs throughout the body, culminating in hyperinfection in case of immunosuppression. Strongyloidiasis is rarely encountered in the USA, and an associated gastric involvement is uncommon.</p><p><strong>Case presentation: </strong>In this case report, we describe the case of an asymptomatic and immunocompetent Liberian patient with gastroduodenal strongyloidiasis whose diagnosis was based on histologic findings during endoscopic evaluation for iron deficiency anemia.</p><p><strong>Conclusion: </strong>This case sheds light on the importance of suspecting the diagnosis of disseminated strongyloidiasis in high-risk individuals with iron deficiency anemia in combination with peripheral eosinophilia.</p>\",\"PeriodicalId\":9614,\"journal\":{\"name\":\"Case Reports in Gastroenterology\",\"volume\":\"19 1\",\"pages\":\"467-475\"},\"PeriodicalIF\":0.6000,\"publicationDate\":\"2025-06-20\",\"publicationTypes\":\"Journal Article\",\"fieldsOfStudy\":null,\"isOpenAccess\":false,\"openAccessPdf\":\"https://www.ncbi.nlm.nih.gov/pmc/articles/PMC12180792/pdf/\",\"citationCount\":\"0\",\"resultStr\":null,\"platform\":\"Semanticscholar\",\"paperid\":null,\"PeriodicalName\":\"Case Reports in Gastroenterology\",\"FirstCategoryId\":\"1085\",\"ListUrlMain\":\"https://doi.org/10.1159/000539769\",\"RegionNum\":0,\"RegionCategory\":null,\"ArticlePicture\":[],\"TitleCN\":null,\"AbstractTextCN\":null,\"PMCID\":null,\"EPubDate\":\"2025/1/1 0:00:00\",\"PubModel\":\"eCollection\",\"JCR\":\"Q4\",\"JCRName\":\"GASTROENTEROLOGY & HEPATOLOGY\",\"Score\":null,\"Total\":0}","platform":"Semanticscholar","paperid":null,"PeriodicalName":"Case Reports in Gastroenterology","FirstCategoryId":"1085","ListUrlMain":"https://doi.org/10.1159/000539769","RegionNum":0,"RegionCategory":null,"ArticlePicture":[],"TitleCN":null,"AbstractTextCN":null,"PMCID":null,"EPubDate":"2025/1/1 0:00:00","PubModel":"eCollection","JCR":"Q4","JCRName":"GASTROENTEROLOGY & HEPATOLOGY","Score":null,"Total":0}
引用次数: 0

摘要

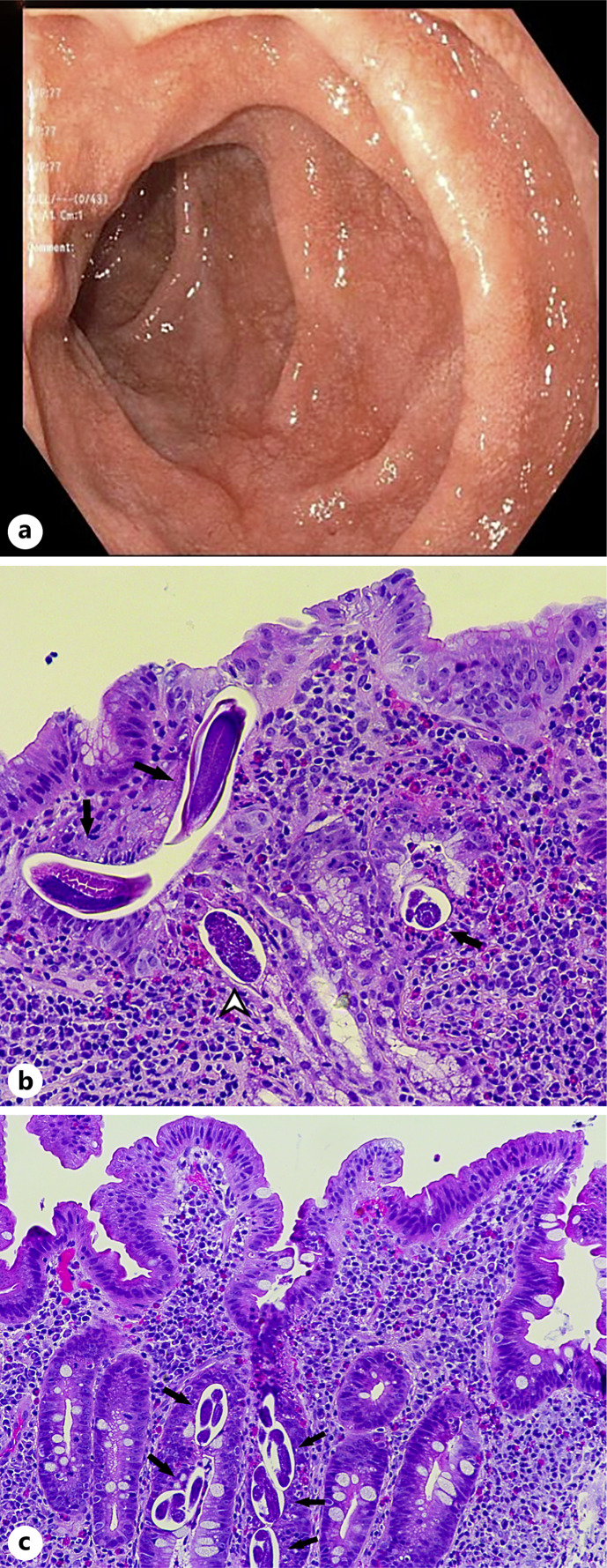
导读:蛔虫科包括至少50种肠道线虫,其中粪形蛔虫是人类中最常见的一种。由于这种寄生虫复杂的生命周期,它既可以局限于肠道,也可以传播到全身的不同器官,在免疫抑制的情况下最终导致过度感染。类圆线虫病在美国是罕见的,并伴有胃累及是罕见的。病例介绍:在这个病例报告中,我们描述了一个无症状和免疫能力的利比里亚胃十二指肠圆线虫病患者的病例,其诊断是基于内镜评估缺铁性贫血的组织学结果。结论:本病例提示在缺铁性贫血合并外周血嗜酸性粒细胞增多的高危人群中怀疑弥散性圆线虫病诊断的重要性。
本文章由计算机程序翻译,如有差异,请以英文原文为准。

Gastroduodenal Strongyloidiasis Diagnosed during Iron Deficiency Anemia Workup.

Gastroduodenal Strongyloidiasis Diagnosed during Iron Deficiency Anemia Workup.

Gastroduodenal Strongyloidiasis Diagnosed during Iron Deficiency Anemia Workup.

Gastroduodenal Strongyloidiasis Diagnosed during Iron Deficiency Anemia Workup.

Introduction: The Strongyloidae family includes at least fifty species of intestinal nematode worms, and Strongyloides stercoralis is the most prevalent one among humans. As a result of this parasite's complex lifecycle, it can either remain localized in the intestines or disseminate to different organs throughout the body, culminating in hyperinfection in case of immunosuppression. Strongyloidiasis is rarely encountered in the USA, and an associated gastric involvement is uncommon.

Case presentation: In this case report, we describe the case of an asymptomatic and immunocompetent Liberian patient with gastroduodenal strongyloidiasis whose diagnosis was based on histologic findings during endoscopic evaluation for iron deficiency anemia.

Conclusion: This case sheds light on the importance of suspecting the diagnosis of disseminated strongyloidiasis in high-risk individuals with iron deficiency anemia in combination with peripheral eosinophilia.

求助全文
通过发布文献求助,成功后即可免费获取论文全文。 去求助
来源期刊
Case Reports in Gastroenterology
Case Reports in Gastroenterology Medicine-Gastroenterology
CiteScore
1.10
自引率
0.00%
发文量
99
审稿时长
7 weeks
期刊介绍:
×
引用
GB/T 7714-2015
复制
MLA
复制
APA
复制
导出至
BibTeX EndNote RefMan NoteFirst NoteExpress
×
提示
您的信息不完整,为了账户安全,请先补充。
现在去补充
×
提示
您因"违规操作"
具体请查看互助需知
我知道了
×
提示
确定
请完成安全验证×
copy
已复制链接
快去分享给好友吧!
我知道了
右上角分享
点击右上角分享
0
联系我们:info@booksci.cn Book学术提供免费学术资源搜索服务,方便国内外学者检索中英文文献。致力于提供最便捷和优质的服务体验。 Copyright © 2023 布克学术 All rights reserved.
京ICP备2023020795号-1
ghs 京公网安备 11010802042870号
Book学术文献互助
Book学术文献互助群
群 号:604180095
Book学术官方微信