主动脉血管肉瘤:血管肿瘤中一种罕见的侵袭性血管恶性肿瘤1例报告。

IF 0.7
Vascular and endovascular surgery Pub Date : 2025-10-01 Epub Date: 2025-06-21 DOI:10.1177/15385744251355185
Arnolda Marija Baškytė, Donatas Opulskis, Milda Kuprytė, Antanas Jankauskas, Linas Velička
{"title":"主动脉血管肉瘤:血管肿瘤中一种罕见的侵袭性血管恶性肿瘤1例报告。","authors":"Arnolda Marija Baškytė, Donatas Opulskis, Milda Kuprytė, Antanas Jankauskas, Linas Velička","doi":"10.1177/15385744251355185","DOIUrl":null,"url":null,"abstract":"<p><p><b>Introduction:</b> Primary aortic malignancy is a very rare pathology, with only 190 cases of aortic tumors reported in the literature to date. Usually, symptoms are insidious and nonspecific, so the disease is diagnosed at an advanced stage. <b>Objective:</b> Here, we present a case report of a primary malignant tumor of the aorta. In our case, the diagnosis was established using computed tomography angiography (CTA) and biopsy of indeterminate masses obtained during aortography. <b>Methods:</b> The patient underwent surgical resection of the affected aortic segment along with a tumor. Histopathological examination revealed the diagnosis of a primary malignant tumor of the aorta - angiosarcoma. Postoperatively, patient received adjuvant chemotherapy according to the standard treatment regimen for sarcoma. <b>Results:</b> One month later, postoperative CT of a chest, abdomen and pelvis was performed, revealing no evidence of metastases or pathological lymph nodes in the examined areas. <b>Conclusion</b>: Combined surgical and systemic therapies may improve overall survival.</p>","PeriodicalId":94265,"journal":{"name":"Vascular and endovascular surgery","volume":" ","pages":"748-753"},"PeriodicalIF":0.7000,"publicationDate":"2025-10-01","publicationTypes":"Journal Article","fieldsOfStudy":null,"isOpenAccess":false,"openAccessPdf":"https://www.ncbi.nlm.nih.gov/pmc/articles/PMC12391606/pdf/","citationCount":"0","resultStr":"{\"title\":\"Unveiling Aortic Angiosarcoma: A Rare and Aggressive Vascular Malignancy in Vascular Oncology - A Case Report.\",\"authors\":\"Arnolda Marija Baškytė, Donatas Opulskis, Milda Kuprytė, Antanas Jankauskas, Linas Velička\",\"doi\":\"10.1177/15385744251355185\",\"DOIUrl\":null,\"url\":null,\"abstract\":\"<p><p><b>Introduction:</b> Primary aortic malignancy is a very rare pathology, with only 190 cases of aortic tumors reported in the literature to date. Usually, symptoms are insidious and nonspecific, so the disease is diagnosed at an advanced stage. <b>Objective:</b> Here, we present a case report of a primary malignant tumor of the aorta. In our case, the diagnosis was established using computed tomography angiography (CTA) and biopsy of indeterminate masses obtained during aortography. <b>Methods:</b> The patient underwent surgical resection of the affected aortic segment along with a tumor. Histopathological examination revealed the diagnosis of a primary malignant tumor of the aorta - angiosarcoma. Postoperatively, patient received adjuvant chemotherapy according to the standard treatment regimen for sarcoma. <b>Results:</b> One month later, postoperative CT of a chest, abdomen and pelvis was performed, revealing no evidence of metastases or pathological lymph nodes in the examined areas. <b>Conclusion</b>: Combined surgical and systemic therapies may improve overall survival.</p>\",\"PeriodicalId\":94265,\"journal\":{\"name\":\"Vascular and endovascular surgery\",\"volume\":\" \",\"pages\":\"748-753\"},\"PeriodicalIF\":0.7000,\"publicationDate\":\"2025-10-01\",\"publicationTypes\":\"Journal Article\",\"fieldsOfStudy\":null,\"isOpenAccess\":false,\"openAccessPdf\":\"https://www.ncbi.nlm.nih.gov/pmc/articles/PMC12391606/pdf/\",\"citationCount\":\"0\",\"resultStr\":null,\"platform\":\"Semanticscholar\",\"paperid\":null,\"PeriodicalName\":\"Vascular and endovascular surgery\",\"FirstCategoryId\":\"1085\",\"ListUrlMain\":\"https://doi.org/10.1177/15385744251355185\",\"RegionNum\":0,\"RegionCategory\":null,\"ArticlePicture\":[],\"TitleCN\":null,\"AbstractTextCN\":null,\"PMCID\":null,\"EPubDate\":\"2025/6/21 0:00:00\",\"PubModel\":\"Epub\",\"JCR\":\"\",\"JCRName\":\"\",\"Score\":null,\"Total\":0}","platform":"Semanticscholar","paperid":null,"PeriodicalName":"Vascular and endovascular surgery","FirstCategoryId":"1085","ListUrlMain":"https://doi.org/10.1177/15385744251355185","RegionNum":0,"RegionCategory":null,"ArticlePicture":[],"TitleCN":null,"AbstractTextCN":null,"PMCID":null,"EPubDate":"2025/6/21 0:00:00","PubModel":"Epub","JCR":"","JCRName":"","Score":null,"Total":0}
引用次数: 0

摘要

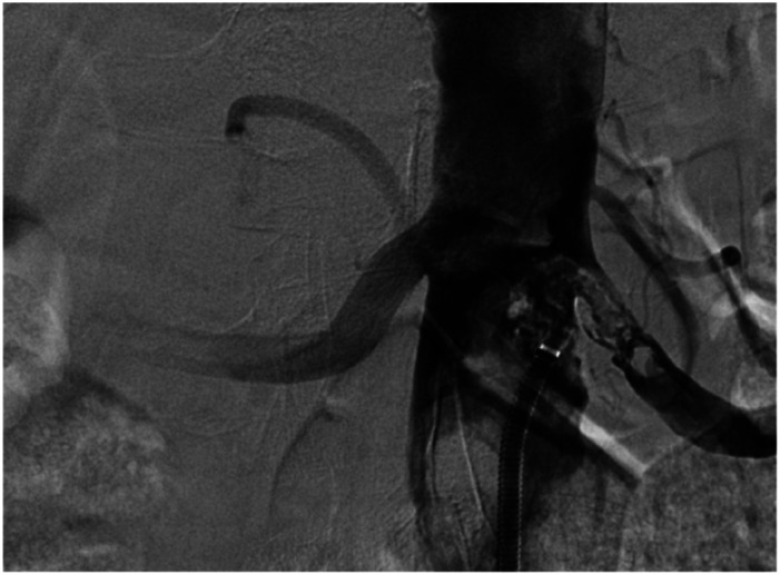
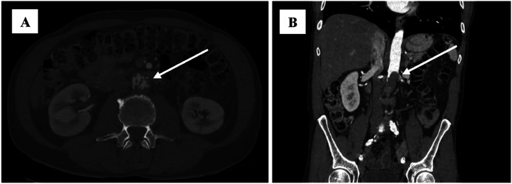
摘要:原发性主动脉恶性肿瘤是一种非常罕见的病理,迄今为止文献中仅报道了190例主动脉肿瘤。通常,症状是隐匿的和非特异性的,所以这种疾病在晚期才被诊断出来。目的:在此,我们报告一例原发性主动脉恶性肿瘤。在我们的病例中,诊断是通过计算机断层血管造影(CTA)和在主动脉造影中获得的不确定肿块的活检来建立的。方法:患者手术切除病变主动脉段并合并肿瘤。组织病理检查显示为原发性主动脉恶性肿瘤-血管肉瘤。术后患者按肉瘤标准治疗方案接受辅助化疗。结果:术后1个月行胸腹骨盆CT检查,未见病灶转移及病理淋巴结。结论:手术联合全身治疗可提高总生存率。
本文章由计算机程序翻译,如有差异,请以英文原文为准。

Unveiling Aortic Angiosarcoma: A Rare and Aggressive Vascular Malignancy in Vascular Oncology - A Case Report.

Unveiling Aortic Angiosarcoma: A Rare and Aggressive Vascular Malignancy in Vascular Oncology - A Case Report.

Unveiling Aortic Angiosarcoma: A Rare and Aggressive Vascular Malignancy in Vascular Oncology - A Case Report.

Unveiling Aortic Angiosarcoma: A Rare and Aggressive Vascular Malignancy in Vascular Oncology - A Case Report.

Introduction: Primary aortic malignancy is a very rare pathology, with only 190 cases of aortic tumors reported in the literature to date. Usually, symptoms are insidious and nonspecific, so the disease is diagnosed at an advanced stage. Objective: Here, we present a case report of a primary malignant tumor of the aorta. In our case, the diagnosis was established using computed tomography angiography (CTA) and biopsy of indeterminate masses obtained during aortography. Methods: The patient underwent surgical resection of the affected aortic segment along with a tumor. Histopathological examination revealed the diagnosis of a primary malignant tumor of the aorta - angiosarcoma. Postoperatively, patient received adjuvant chemotherapy according to the standard treatment regimen for sarcoma. Results: One month later, postoperative CT of a chest, abdomen and pelvis was performed, revealing no evidence of metastases or pathological lymph nodes in the examined areas. Conclusion: Combined surgical and systemic therapies may improve overall survival.

求助全文
通过发布文献求助,成功后即可免费获取论文全文。 去求助
来源期刊
自引率
0.00%
发文量
0
×
引用
GB/T 7714-2015
复制
MLA
复制
APA
复制
导出至
BibTeX EndNote RefMan NoteFirst NoteExpress
×
提示
您的信息不完整,为了账户安全,请先补充。
现在去补充
×
提示
您因"违规操作"
具体请查看互助需知
我知道了
×
提示
确定
请完成安全验证×
copy
已复制链接
快去分享给好友吧!
我知道了
右上角分享
点击右上角分享
0
联系我们:info@booksci.cn Book学术提供免费学术资源搜索服务,方便国内外学者检索中英文文献。致力于提供最便捷和优质的服务体验。 Copyright © 2023 布克学术 All rights reserved.
京ICP备2023020795号-1
ghs 京公网安备 11010802042870号
Book学术文献互助
Book学术文献互助群
群 号:604180095
Book学术官方微信