同步芯针穿刺和冷冻消融治疗高度可疑恶性肺结节的疗效和安全性。

IF 3.5 2区 医学 Q2 ONCOLOGY
Tongyin Zhang, Qiaoyu Xu, Yuwan Hu, Haoyu Li, Haoran Du, Zhenguo Huang, Sheng Xie, Meng Yang, Yanyan Xu, Hongliang Sun
{"title":"同步芯针穿刺和冷冻消融治疗高度可疑恶性肺结节的疗效和安全性。","authors":"Tongyin Zhang, Qiaoyu Xu, Yuwan Hu, Haoyu Li, Haoran Du, Zhenguo Huang, Sheng Xie, Meng Yang, Yanyan Xu, Hongliang Sun","doi":"10.1186/s40644-025-00901-0","DOIUrl":null,"url":null,"abstract":"<p><strong>Background: </strong>Percutaneous computed tomography (CT)-guided biopsy and cryoablation are commonly used techniques for diagnosing and treating pulmonary malignant tumors. Performing these procedures simultaneously allows for tissue diagnosis while potentially offering therapeutic benefits. This study aimed to evaluate whether the efficacy and safety of simultaneous percutaneous CT-guided biopsy and cryoablation in managing pulmonary tumors suspected of malignancy are comparable to those of sequential procedures.</p><p><strong>Methods: </strong>This retrospective study involved 124 patients with 131 highly suspicious malignant pulmonary nodules. Patients either underwent synchronous percutaneous core-needle biopsy and cryoablation (Group A) or separately underwent these procedures (Group B) from December 2020 to May 2024. All procedures were performed under CT guidance using a percutaneous approach. We analyzed technical success rates, complications, diagnostic yield, and local tumor control.</p><p><strong>Results: </strong>Technical success rates were 100% in both groups. The rate of pneumothorax was 42.1% (16/38) in Group A and 34.9% (30/86) in Group B. In Group A, hemoptysis and pleural effusion rates were 18.4% (7/38) and 23.7% (9/38), respectively, while in Group B, these rates were 16.3% (14/86) and 12.8% (11/86). These differences were not statistically significant. The diagnostic positive rate in Group A was 87.5%. The mean follow-up duration was 11.8 months (95% confidence interval [CI], 10.2-13.4), with local tumor control rates of 97% for Group A and 88% for Group B. The effectiveness rates of synchronous and separate procedures were similar.</p><p><strong>Conclusion: </strong>Synchronous biopsy-ablation is an effective method for obtaining tumor pathology and local treatment of lung tumors simultaneously. It is a viable option for select patients where expedited diagnosis-therapy is clinically justified, particularly when molecular profiling is not immediately indicated.</p>","PeriodicalId":9548,"journal":{"name":"Cancer Imaging","volume":"25 1","pages":"78"},"PeriodicalIF":3.5000,"publicationDate":"2025-06-21","publicationTypes":"Journal Article","fieldsOfStudy":null,"isOpenAccess":false,"openAccessPdf":"https://www.ncbi.nlm.nih.gov/pmc/articles/PMC12182661/pdf/","citationCount":"0","resultStr":"{\"title\":\"Efficacy and safety in synchronous core-needle biopsy and cryoablation for highly suspicious malignant pulmonary nodule.\",\"authors\":\"Tongyin Zhang, Qiaoyu Xu, Yuwan Hu, Haoyu Li, Haoran Du, Zhenguo Huang, Sheng Xie, Meng Yang, Yanyan Xu, Hongliang Sun\",\"doi\":\"10.1186/s40644-025-00901-0\",\"DOIUrl\":null,\"url\":null,\"abstract\":\"<p><strong>Background: </strong>Percutaneous computed tomography (CT)-guided biopsy and cryoablation are commonly used techniques for diagnosing and treating pulmonary malignant tumors. Performing these procedures simultaneously allows for tissue diagnosis while potentially offering therapeutic benefits. This study aimed to evaluate whether the efficacy and safety of simultaneous percutaneous CT-guided biopsy and cryoablation in managing pulmonary tumors suspected of malignancy are comparable to those of sequential procedures.</p><p><strong>Methods: </strong>This retrospective study involved 124 patients with 131 highly suspicious malignant pulmonary nodules. Patients either underwent synchronous percutaneous core-needle biopsy and cryoablation (Group A) or separately underwent these procedures (Group B) from December 2020 to May 2024. All procedures were performed under CT guidance using a percutaneous approach. We analyzed technical success rates, complications, diagnostic yield, and local tumor control.</p><p><strong>Results: </strong>Technical success rates were 100% in both groups. The rate of pneumothorax was 42.1% (16/38) in Group A and 34.9% (30/86) in Group B. In Group A, hemoptysis and pleural effusion rates were 18.4% (7/38) and 23.7% (9/38), respectively, while in Group B, these rates were 16.3% (14/86) and 12.8% (11/86). These differences were not statistically significant. The diagnostic positive rate in Group A was 87.5%. The mean follow-up duration was 11.8 months (95% confidence interval [CI], 10.2-13.4), with local tumor control rates of 97% for Group A and 88% for Group B. The effectiveness rates of synchronous and separate procedures were similar.</p><p><strong>Conclusion: </strong>Synchronous biopsy-ablation is an effective method for obtaining tumor pathology and local treatment of lung tumors simultaneously. It is a viable option for select patients where expedited diagnosis-therapy is clinically justified, particularly when molecular profiling is not immediately indicated.</p>\",\"PeriodicalId\":9548,\"journal\":{\"name\":\"Cancer Imaging\",\"volume\":\"25 1\",\"pages\":\"78\"},\"PeriodicalIF\":3.5000,\"publicationDate\":\"2025-06-21\",\"publicationTypes\":\"Journal Article\",\"fieldsOfStudy\":null,\"isOpenAccess\":false,\"openAccessPdf\":\"https://www.ncbi.nlm.nih.gov/pmc/articles/PMC12182661/pdf/\",\"citationCount\":\"0\",\"resultStr\":null,\"platform\":\"Semanticscholar\",\"paperid\":null,\"PeriodicalName\":\"Cancer Imaging\",\"FirstCategoryId\":\"3\",\"ListUrlMain\":\"https://doi.org/10.1186/s40644-025-00901-0\",\"RegionNum\":2,\"RegionCategory\":\"医学\",\"ArticlePicture\":[],\"TitleCN\":null,\"AbstractTextCN\":null,\"PMCID\":null,\"EPubDate\":\"\",\"PubModel\":\"\",\"JCR\":\"Q2\",\"JCRName\":\"ONCOLOGY\",\"Score\":null,\"Total\":0}","platform":"Semanticscholar","paperid":null,"PeriodicalName":"Cancer Imaging","FirstCategoryId":"3","ListUrlMain":"https://doi.org/10.1186/s40644-025-00901-0","RegionNum":2,"RegionCategory":"医学","ArticlePicture":[],"TitleCN":null,"AbstractTextCN":null,"PMCID":null,"EPubDate":"","PubModel":"","JCR":"Q2","JCRName":"ONCOLOGY","Score":null,"Total":0}
引用次数: 0

摘要

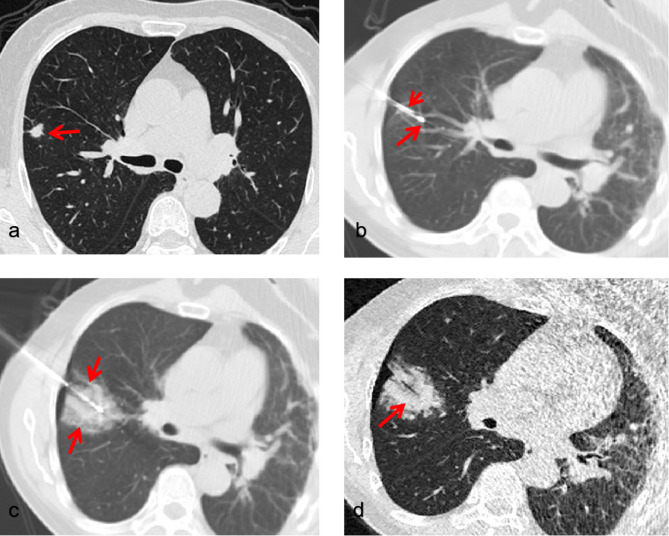
背景:经皮计算机断层扫描(CT)引导下的活检和冷冻消融是诊断和治疗肺部恶性肿瘤的常用技术。同时进行这些程序允许组织诊断,同时潜在地提供治疗益处。本研究旨在评估同时经皮ct引导活检和冷冻消融治疗疑似恶性肺肿瘤的有效性和安全性是否与顺序手术相当。方法:对124例131例高度可疑的恶性肺结节进行回顾性研究。从2020年12月到2024年5月,患者要么接受同步经皮穿刺穿刺活检和冷冻消融(A组),要么单独接受这些手术(B组)。所有手术均在CT引导下经皮入路进行。我们分析了技术成功率、并发症、诊断率和局部肿瘤控制。结果:两组手术成功率均为100%。A组气胸发生率为42.1% (16/38),B组为34.9%(30/86)。A组咯血率为18.4%(7/38),胸腔积液率为23.7% (9/38),B组为16.3%(14/86),12.8%(11/86)。这些差异没有统计学意义。A组诊断阳性率为87.5%。平均随访时间为11.8个月(95%可信区间[CI], 10.2-13.4), A组局部肿瘤控制率为97%,b组局部肿瘤控制率为88%。结论:同步活检消融是同时获取肿瘤病理和局部治疗的有效方法。对于临床上需要快速诊断治疗的患者来说,这是一个可行的选择,特别是当分子谱分析没有立即指征时。
本文章由计算机程序翻译,如有差异,请以英文原文为准。

Efficacy and safety in synchronous core-needle biopsy and cryoablation for highly suspicious malignant pulmonary nodule.

Efficacy and safety in synchronous core-needle biopsy and cryoablation for highly suspicious malignant pulmonary nodule.

Efficacy and safety in synchronous core-needle biopsy and cryoablation for highly suspicious malignant pulmonary nodule.

Efficacy and safety in synchronous core-needle biopsy and cryoablation for highly suspicious malignant pulmonary nodule.

Background: Percutaneous computed tomography (CT)-guided biopsy and cryoablation are commonly used techniques for diagnosing and treating pulmonary malignant tumors. Performing these procedures simultaneously allows for tissue diagnosis while potentially offering therapeutic benefits. This study aimed to evaluate whether the efficacy and safety of simultaneous percutaneous CT-guided biopsy and cryoablation in managing pulmonary tumors suspected of malignancy are comparable to those of sequential procedures.

Methods: This retrospective study involved 124 patients with 131 highly suspicious malignant pulmonary nodules. Patients either underwent synchronous percutaneous core-needle biopsy and cryoablation (Group A) or separately underwent these procedures (Group B) from December 2020 to May 2024. All procedures were performed under CT guidance using a percutaneous approach. We analyzed technical success rates, complications, diagnostic yield, and local tumor control.

Results: Technical success rates were 100% in both groups. The rate of pneumothorax was 42.1% (16/38) in Group A and 34.9% (30/86) in Group B. In Group A, hemoptysis and pleural effusion rates were 18.4% (7/38) and 23.7% (9/38), respectively, while in Group B, these rates were 16.3% (14/86) and 12.8% (11/86). These differences were not statistically significant. The diagnostic positive rate in Group A was 87.5%. The mean follow-up duration was 11.8 months (95% confidence interval [CI], 10.2-13.4), with local tumor control rates of 97% for Group A and 88% for Group B. The effectiveness rates of synchronous and separate procedures were similar.

Conclusion: Synchronous biopsy-ablation is an effective method for obtaining tumor pathology and local treatment of lung tumors simultaneously. It is a viable option for select patients where expedited diagnosis-therapy is clinically justified, particularly when molecular profiling is not immediately indicated.

求助全文
通过发布文献求助,成功后即可免费获取论文全文。 去求助
来源期刊
Cancer Imaging
Cancer Imaging ONCOLOGY-RADIOLOGY, NUCLEAR MEDICINE & MEDICAL IMAGING
CiteScore
7.00
自引率
0.00%
发文量
66
审稿时长
>12 weeks
期刊介绍: Cancer Imaging is an open access, peer-reviewed journal publishing original articles, reviews and editorials written by expert international radiologists working in oncology. The journal encompasses CT, MR, PET, ultrasound, radionuclide and multimodal imaging in all kinds of malignant tumours, plus new developments, techniques and innovations. Topics of interest include: Breast Imaging Chest Complications of treatment Ear, Nose & Throat Gastrointestinal Hepatobiliary & Pancreatic Imaging biomarkers Interventional Lymphoma Measurement of tumour response Molecular functional imaging Musculoskeletal Neuro oncology Nuclear Medicine Paediatric.
×
引用
GB/T 7714-2015
复制
MLA
复制
APA
复制
导出至
BibTeX EndNote RefMan NoteFirst NoteExpress
×
提示
您的信息不完整,为了账户安全,请先补充。
现在去补充
×
提示
您因"违规操作"
具体请查看互助需知
我知道了
×
提示
确定
请完成安全验证×
copy
已复制链接
快去分享给好友吧!
我知道了
右上角分享
点击右上角分享
0
联系我们:info@booksci.cn Book学术提供免费学术资源搜索服务,方便国内外学者检索中英文文献。致力于提供最便捷和优质的服务体验。 Copyright © 2023 布克学术 All rights reserved.
京ICP备2023020795号-1
ghs 京公网安备 11010802042870号
Book学术文献互助
Book学术文献互助群
群 号:604180095
Book学术官方微信