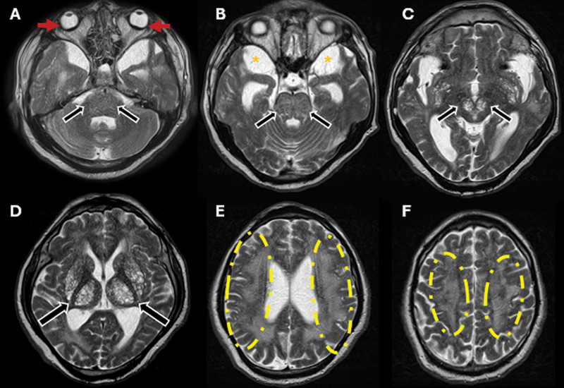
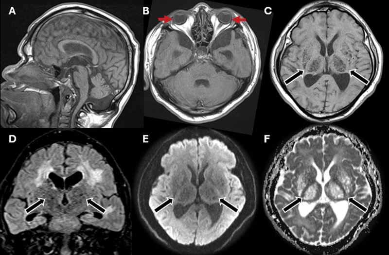
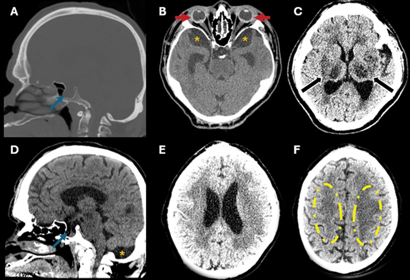
溶酶体功能障碍的隐性负担:亨特综合征的视力下降和小眼症。

IF 1.6 4区 医学 Q4 NEUROSCIENCES
Arquivos de neuro-psiquiatria Pub Date : 2025-07-01 Epub Date: 2025-06-21 DOI:10.1055/s-0045-1809405
Mateen Sheikh, Ibrahim Thein, Kevin J Abrams, Leonardo Furtado Freitas
{"title":"溶酶体功能障碍的隐性负担:亨特综合征的视力下降和小眼症。","authors":"Mateen Sheikh, Ibrahim Thein, Kevin J Abrams, Leonardo Furtado Freitas","doi":"10.1055/s-0045-1809405","DOIUrl":null,"url":null,"abstract":"","PeriodicalId":8694,"journal":{"name":"Arquivos de neuro-psiquiatria","volume":"83 7","pages":"1-3"},"PeriodicalIF":1.6000,"publicationDate":"2025-07-01","publicationTypes":"Journal Article","fieldsOfStudy":null,"isOpenAccess":false,"openAccessPdf":"https://www.ncbi.nlm.nih.gov/pmc/articles/PMC12182387/pdf/","citationCount":"0","resultStr":"{\"title\":\"The hidden burden of lysosomal dysfunction: visual decline and microphthalmia in Hunter syndrome.\",\"authors\":\"Mateen Sheikh, Ibrahim Thein, Kevin J Abrams, Leonardo Furtado Freitas\",\"doi\":\"10.1055/s-0045-1809405\",\"DOIUrl\":null,\"url\":null,\"abstract\":\"\",\"PeriodicalId\":8694,\"journal\":{\"name\":\"Arquivos de neuro-psiquiatria\",\"volume\":\"83 7\",\"pages\":\"1-3\"},\"PeriodicalIF\":1.6000,\"publicationDate\":\"2025-07-01\",\"publicationTypes\":\"Journal Article\",\"fieldsOfStudy\":null,\"isOpenAccess\":false,\"openAccessPdf\":\"https://www.ncbi.nlm.nih.gov/pmc/articles/PMC12182387/pdf/\",\"citationCount\":\"0\",\"resultStr\":null,\"platform\":\"Semanticscholar\",\"paperid\":null,\"PeriodicalName\":\"Arquivos de neuro-psiquiatria\",\"FirstCategoryId\":\"3\",\"ListUrlMain\":\"https://doi.org/10.1055/s-0045-1809405\",\"RegionNum\":4,\"RegionCategory\":\"医学\",\"ArticlePicture\":[],\"TitleCN\":null,\"AbstractTextCN\":null,\"PMCID\":null,\"EPubDate\":\"2025/6/21 0:00:00\",\"PubModel\":\"Epub\",\"JCR\":\"Q4\",\"JCRName\":\"NEUROSCIENCES\",\"Score\":null,\"Total\":0}","platform":"Semanticscholar","paperid":null,"PeriodicalName":"Arquivos de neuro-psiquiatria","FirstCategoryId":"3","ListUrlMain":"https://doi.org/10.1055/s-0045-1809405","RegionNum":4,"RegionCategory":"医学","ArticlePicture":[],"TitleCN":null,"AbstractTextCN":null,"PMCID":null,"EPubDate":"2025/6/21 0:00:00","PubModel":"Epub","JCR":"Q4","JCRName":"NEUROSCIENCES","Score":null,"Total":0}
引用次数: 0

摘要

本文章由计算机程序翻译,如有差异,请以英文原文为准。

The hidden burden of lysosomal dysfunction: visual decline and microphthalmia in Hunter syndrome.

The hidden burden of lysosomal dysfunction: visual decline and microphthalmia in Hunter syndrome.

The hidden burden of lysosomal dysfunction: visual decline and microphthalmia in Hunter syndrome.

The hidden burden of lysosomal dysfunction: visual decline and microphthalmia in Hunter syndrome.
求助全文
通过发布文献求助,成功后即可免费获取论文全文。 去求助
来源期刊
Arquivos de neuro-psiquiatria
Arquivos de neuro-psiquiatria 医学-精神病学
CiteScore
2.10
自引率
7.10%
发文量
262
审稿时长
4-8 weeks
期刊介绍: Arquivos de Neuro-Psiquiatria is the official journal of the Brazilian Academy of Neurology. The mission of the journal is to provide neurologists, specialists and researchers in Neurology and related fields with open access to original articles (clinical and translational research), editorials, reviews, historical papers, neuroimages and letters about published manuscripts. It also publishes the consensus and guidelines on Neurology, as well as educational and scientific material from the different scientific departments of the Brazilian Academy of Neurology. The ultimate goals of the journal are to contribute to advance knowledge in the areas of Neurology and Neuroscience, and to provide valuable material for training and continuing education for neurologists and other health professionals working in the area. These goals might contribute to improving care for patients with neurological diseases. We aim to be the best Neuroscience journal in Latin America within the peer review system.
×
引用
GB/T 7714-2015
复制
MLA
复制
APA
复制
导出至
BibTeX EndNote RefMan NoteFirst NoteExpress
×
提示
您的信息不完整,为了账户安全,请先补充。
现在去补充
×
提示
您因"违规操作"
具体请查看互助需知
我知道了
×
提示
确定
请完成安全验证×
copy
已复制链接
快去分享给好友吧!
我知道了
右上角分享
点击右上角分享
0
联系我们:info@booksci.cn Book学术提供免费学术资源搜索服务,方便国内外学者检索中英文文献。致力于提供最便捷和优质的服务体验。 Copyright © 2023 布克学术 All rights reserved.
京ICP备2023020795号-1
ghs 京公网安备 11010802042870号
Book学术文献互助
Book学术文献互助群
群 号:604180095
Book学术官方微信