免疫组化在眼周基底细胞癌、鳞状细胞癌和皮脂腺癌中的表达平滑。

IF 3.9 2区 综合性期刊 Q1 MULTIDISCIPLINARY SCIENCES
Gustav Stålhammar, Basel Haj Hasan, Krzysztof W Kotowski, Elin Bohman, Emma Lardner, Alexander Berg Rendahl
{"title":"免疫组化在眼周基底细胞癌、鳞状细胞癌和皮脂腺癌中的表达平滑。","authors":"Gustav Stålhammar, Basel Haj Hasan, Krzysztof W Kotowski, Elin Bohman, Emma Lardner, Alexander Berg Rendahl","doi":"10.1038/s41598-025-06011-y","DOIUrl":null,"url":null,"abstract":"<p><p>Inhibition of Smoothened (SMO), a key protein in the Hedgehog signaling pathway, is effective for locally advanced basal cell carcinoma (BCC), but is not yet used for sebaceous carcinoma (SEB) or squamous cell carcinoma (SCC). This study quantified SMO expression and its relationship to proliferative activity in non-nodular periocular BCC, SEB and SCC. Tumor samples from 47 patients (17 BCC, 15 SCC, and 15 SEB) were immunostained and analyzed digitally to assess SMO optical density and Ki67 hot-spot index. SMO expression was significantly higher in all tumor types than in surrounding stroma, with no inter-tumor differences. SMO correlated with mitotic count in BCC but not in SCC or SEB, whereas higher SMO consistently paralleled a higher Ki67 index across all three carcinomas. These findings indicate that SMO expression and proliferative activity are closely linked and suggest that Hedgehog inhibitors, proven in BCC, warrant clinical evaluation as adjuvant or neoadjuvant therapy for periocular SEB and SCC.</p>","PeriodicalId":21811,"journal":{"name":"Scientific Reports","volume":"15 1","pages":"20182"},"PeriodicalIF":3.9000,"publicationDate":"2025-06-20","publicationTypes":"Journal Article","fieldsOfStudy":null,"isOpenAccess":false,"openAccessPdf":"https://www.ncbi.nlm.nih.gov/pmc/articles/PMC12181246/pdf/","citationCount":"0","resultStr":"{\"title\":\"Immunohistochemical expression of smoothened in periocular basal cell, squamous cell and sebaceous carcinomas.\",\"authors\":\"Gustav Stålhammar, Basel Haj Hasan, Krzysztof W Kotowski, Elin Bohman, Emma Lardner, Alexander Berg Rendahl\",\"doi\":\"10.1038/s41598-025-06011-y\",\"DOIUrl\":null,\"url\":null,\"abstract\":\"<p><p>Inhibition of Smoothened (SMO), a key protein in the Hedgehog signaling pathway, is effective for locally advanced basal cell carcinoma (BCC), but is not yet used for sebaceous carcinoma (SEB) or squamous cell carcinoma (SCC). This study quantified SMO expression and its relationship to proliferative activity in non-nodular periocular BCC, SEB and SCC. Tumor samples from 47 patients (17 BCC, 15 SCC, and 15 SEB) were immunostained and analyzed digitally to assess SMO optical density and Ki67 hot-spot index. SMO expression was significantly higher in all tumor types than in surrounding stroma, with no inter-tumor differences. SMO correlated with mitotic count in BCC but not in SCC or SEB, whereas higher SMO consistently paralleled a higher Ki67 index across all three carcinomas. These findings indicate that SMO expression and proliferative activity are closely linked and suggest that Hedgehog inhibitors, proven in BCC, warrant clinical evaluation as adjuvant or neoadjuvant therapy for periocular SEB and SCC.</p>\",\"PeriodicalId\":21811,\"journal\":{\"name\":\"Scientific Reports\",\"volume\":\"15 1\",\"pages\":\"20182\"},\"PeriodicalIF\":3.9000,\"publicationDate\":\"2025-06-20\",\"publicationTypes\":\"Journal Article\",\"fieldsOfStudy\":null,\"isOpenAccess\":false,\"openAccessPdf\":\"https://www.ncbi.nlm.nih.gov/pmc/articles/PMC12181246/pdf/\",\"citationCount\":\"0\",\"resultStr\":null,\"platform\":\"Semanticscholar\",\"paperid\":null,\"PeriodicalName\":\"Scientific Reports\",\"FirstCategoryId\":\"103\",\"ListUrlMain\":\"https://doi.org/10.1038/s41598-025-06011-y\",\"RegionNum\":2,\"RegionCategory\":\"综合性期刊\",\"ArticlePicture\":[],\"TitleCN\":null,\"AbstractTextCN\":null,\"PMCID\":null,\"EPubDate\":\"\",\"PubModel\":\"\",\"JCR\":\"Q1\",\"JCRName\":\"MULTIDISCIPLINARY SCIENCES\",\"Score\":null,\"Total\":0}","platform":"Semanticscholar","paperid":null,"PeriodicalName":"Scientific Reports","FirstCategoryId":"103","ListUrlMain":"https://doi.org/10.1038/s41598-025-06011-y","RegionNum":2,"RegionCategory":"综合性期刊","ArticlePicture":[],"TitleCN":null,"AbstractTextCN":null,"PMCID":null,"EPubDate":"","PubModel":"","JCR":"Q1","JCRName":"MULTIDISCIPLINARY SCIENCES","Score":null,"Total":0}
引用次数: 0

摘要

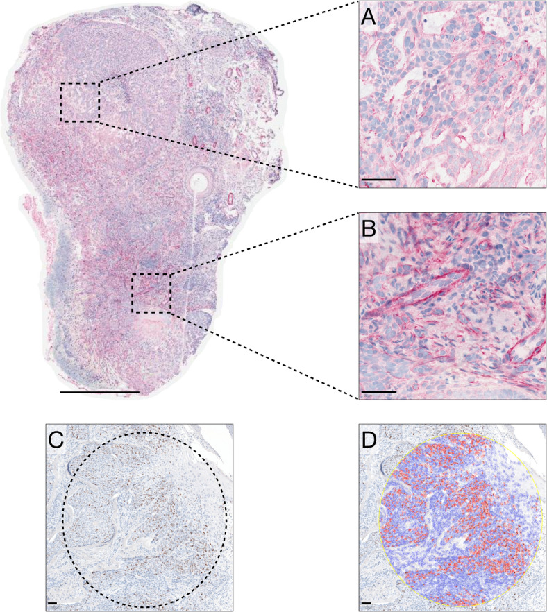
抑制Smoothened (SMO)是Hedgehog信号通路中的关键蛋白,对局部晚期基底细胞癌(BCC)有效,但尚未用于皮脂腺癌(SEB)或鳞状细胞癌(SCC)。本研究量化了SMO在非结节性眼周BCC、SEB和SCC中的表达及其与增殖活性的关系。47例患者(17例BCC, 15例SCC和15例SEB)的肿瘤样本进行免疫染色和数字分析,以评估SMO光密度和Ki67热点指数。SMO在所有肿瘤类型中的表达均显著高于周围间质,肿瘤间无差异。SMO与BCC中有丝分裂计数相关,但与SCC或SEB无关,而高SMO与所有三种癌中较高的Ki67指数一致。这些研究结果表明SMO表达和增殖活性密切相关,并表明Hedgehog抑制剂在BCC中得到证实,值得临床评估作为眼周SEB和SCC的辅助或新辅助治疗。
本文章由计算机程序翻译,如有差异,请以英文原文为准。

Immunohistochemical expression of smoothened in periocular basal cell, squamous cell and sebaceous carcinomas.

Immunohistochemical expression of smoothened in periocular basal cell, squamous cell and sebaceous carcinomas.

Immunohistochemical expression of smoothened in periocular basal cell, squamous cell and sebaceous carcinomas.

Immunohistochemical expression of smoothened in periocular basal cell, squamous cell and sebaceous carcinomas.

Inhibition of Smoothened (SMO), a key protein in the Hedgehog signaling pathway, is effective for locally advanced basal cell carcinoma (BCC), but is not yet used for sebaceous carcinoma (SEB) or squamous cell carcinoma (SCC). This study quantified SMO expression and its relationship to proliferative activity in non-nodular periocular BCC, SEB and SCC. Tumor samples from 47 patients (17 BCC, 15 SCC, and 15 SEB) were immunostained and analyzed digitally to assess SMO optical density and Ki67 hot-spot index. SMO expression was significantly higher in all tumor types than in surrounding stroma, with no inter-tumor differences. SMO correlated with mitotic count in BCC but not in SCC or SEB, whereas higher SMO consistently paralleled a higher Ki67 index across all three carcinomas. These findings indicate that SMO expression and proliferative activity are closely linked and suggest that Hedgehog inhibitors, proven in BCC, warrant clinical evaluation as adjuvant or neoadjuvant therapy for periocular SEB and SCC.

求助全文
通过发布文献求助,成功后即可免费获取论文全文。 去求助
来源期刊
Scientific Reports
Scientific Reports Natural Science Disciplines-
CiteScore
7.50
自引率
4.30%
发文量
19567
审稿时长
3.9 months
期刊介绍: We publish original research from all areas of the natural sciences, psychology, medicine and engineering. You can learn more about what we publish by browsing our specific scientific subject areas below or explore Scientific Reports by browsing all articles and collections. Scientific Reports has a 2-year impact factor: 4.380 (2021), and is the 6th most-cited journal in the world, with more than 540,000 citations in 2020 (Clarivate Analytics, 2021). •Engineering Engineering covers all aspects of engineering, technology, and applied science. It plays a crucial role in the development of technologies to address some of the world''s biggest challenges, helping to save lives and improve the way we live. •Physical sciences Physical sciences are those academic disciplines that aim to uncover the underlying laws of nature — often written in the language of mathematics. It is a collective term for areas of study including astronomy, chemistry, materials science and physics. •Earth and environmental sciences Earth and environmental sciences cover all aspects of Earth and planetary science and broadly encompass solid Earth processes, surface and atmospheric dynamics, Earth system history, climate and climate change, marine and freshwater systems, and ecology. It also considers the interactions between humans and these systems. •Biological sciences Biological sciences encompass all the divisions of natural sciences examining various aspects of vital processes. The concept includes anatomy, physiology, cell biology, biochemistry and biophysics, and covers all organisms from microorganisms, animals to plants. •Health sciences The health sciences study health, disease and healthcare. This field of study aims to develop knowledge, interventions and technology for use in healthcare to improve the treatment of patients.
×
引用
GB/T 7714-2015
复制
MLA
复制
APA
复制
导出至
BibTeX EndNote RefMan NoteFirst NoteExpress
×
提示
您的信息不完整,为了账户安全,请先补充。
现在去补充
×
提示
您因"违规操作"
具体请查看互助需知
我知道了
×
提示
确定
请完成安全验证×
copy
已复制链接
快去分享给好友吧!
我知道了
右上角分享
点击右上角分享
0
联系我们:info@booksci.cn Book学术提供免费学术资源搜索服务,方便国内外学者检索中英文文献。致力于提供最便捷和优质的服务体验。 Copyright © 2023 布克学术 All rights reserved.
京ICP备2023020795号-1
ghs 京公网安备 11010802042870号
Book学术文献互助
Book学术文献互助群
群 号:604180095
Book学术官方微信