新生儿先天性巨细胞病毒感染和脑损伤后,产妇非原发感染:一个意外诊断的病例报告。

IF 3.1 3区 医学 Q1 PEDIATRICS
Gregorio Serra, Ettore Piro, Deborah Bacile, Laura Antonella Canduscio, Claudia Colomba, Mario Giuffrè, Sergio Salerno, Ingrid Anne Mandy Schierz, Giovanni Corsello
{"title":"新生儿先天性巨细胞病毒感染和脑损伤后,产妇非原发感染:一个意外诊断的病例报告。","authors":"Gregorio Serra, Ettore Piro, Deborah Bacile, Laura Antonella Canduscio, Claudia Colomba, Mario Giuffrè, Sergio Salerno, Ingrid Anne Mandy Schierz, Giovanni Corsello","doi":"10.1186/s13052-025-02017-4","DOIUrl":null,"url":null,"abstract":"<p><strong>Background: </strong>Congenital cytomegalovirus (cCMV) infection leads to a significant burden on the health system. Relevant insights have been reached in the understanding of primary infection (PI) during pregnancy. However, knowledge gaps still exist related to maternal non-primary infections (NPI). Severe neurologic damage and hearing loss are the possible outcomes in the 17-20% of affected children. Furthermore, neither risk prevention strategies nor management are currently available for these NPI patients.</p><p><strong>Case presentation: </strong>We report on a male term newborn showing in the first days of life hyperexcitability, tremors and increased muscular tone, in addition to thrombocytopenia, initially related to an early-onset sepsis. Obstetric history revealed that the mother underwent steroid treatment during the whole first trimester of pregnancy. She had positive CMV IgG and negative CMV IgM antibodies throughout gestation. At 15 days of age, due to the persistence of neurological and hematological signs and abnormalities found on brain ultrasound (bilateral ventriculomegaly, and an anechoic lesion within the right caudothalamic grove at first related with grade I intraventricular hemorrhage) a brain magnetic resonance imaging (MRI) was performed, showing significant lesions highly suggestive of cCMV. Although such diagnostic hypothesis was unsuspected (in light of the association of clinical manifestations with perinatal sepsis and the misleading maternal serology), however CMV DNA detection on blood and urine was carried out, giving positive results in both samples for connatal infection diagnosis. Newborn CMV IgG and IgM antibodies resulted positive, while the IgG avidity test showed high values according to a likely early intrauterine infection. The antiviral therapy was therefore begun and continued for 6 months. He currently is 6 months old and included in a multidisciplinary follow-up. His growth is within the normal limits, but a neuromotor delay is present. Audiological and ophthalmological evaluations, laboratory as well as multiorgan ultrasound (US) examinations have not revealed further anomalies to date.</p><p><strong>Conclusions: </strong>Our case underlines that CMV reactivations or reinfections may be responsible, as well as PI, for significant and harmful effects on the fetus and newborn. It also shows the limited diagnostic and preventive/therapeutical weapons available against NPI during gestation. The present experience confirmed, indeed, the literature regarding the absence of valid laboratory test to identify women with preexisting immunity at risk of giving birth to an infected neonate. Women with previous immunity should be treated with precautionary protocols, including US monitoring and fetal MRI aimed at detecting cCMV. Brain MRI findings may be a pre-warning for newborns of mothers with previous immunity showing neurological symptoms and ultrasound abnormalities. In these cases, its execution may allow the identification of pathognomonic lesions.</p>","PeriodicalId":14511,"journal":{"name":"Italian Journal of Pediatrics","volume":"51 1","pages":"197"},"PeriodicalIF":3.1000,"publicationDate":"2025-06-21","publicationTypes":"Journal Article","fieldsOfStudy":null,"isOpenAccess":false,"openAccessPdf":"https://www.ncbi.nlm.nih.gov/pmc/articles/PMC12181892/pdf/","citationCount":"0","resultStr":"{\"title\":\"Congenital cytomegalovirus infection and brain injury in a newborn following maternal non-primary infection: case report of an unexpected diagnosis.\",\"authors\":\"Gregorio Serra, Ettore Piro, Deborah Bacile, Laura Antonella Canduscio, Claudia Colomba, Mario Giuffrè, Sergio Salerno, Ingrid Anne Mandy Schierz, Giovanni Corsello\",\"doi\":\"10.1186/s13052-025-02017-4\",\"DOIUrl\":null,\"url\":null,\"abstract\":\"<p><strong>Background: </strong>Congenital cytomegalovirus (cCMV) infection leads to a significant burden on the health system. Relevant insights have been reached in the understanding of primary infection (PI) during pregnancy. However, knowledge gaps still exist related to maternal non-primary infections (NPI). Severe neurologic damage and hearing loss are the possible outcomes in the 17-20% of affected children. Furthermore, neither risk prevention strategies nor management are currently available for these NPI patients.</p><p><strong>Case presentation: </strong>We report on a male term newborn showing in the first days of life hyperexcitability, tremors and increased muscular tone, in addition to thrombocytopenia, initially related to an early-onset sepsis. Obstetric history revealed that the mother underwent steroid treatment during the whole first trimester of pregnancy. She had positive CMV IgG and negative CMV IgM antibodies throughout gestation. At 15 days of age, due to the persistence of neurological and hematological signs and abnormalities found on brain ultrasound (bilateral ventriculomegaly, and an anechoic lesion within the right caudothalamic grove at first related with grade I intraventricular hemorrhage) a brain magnetic resonance imaging (MRI) was performed, showing significant lesions highly suggestive of cCMV. Although such diagnostic hypothesis was unsuspected (in light of the association of clinical manifestations with perinatal sepsis and the misleading maternal serology), however CMV DNA detection on blood and urine was carried out, giving positive results in both samples for connatal infection diagnosis. Newborn CMV IgG and IgM antibodies resulted positive, while the IgG avidity test showed high values according to a likely early intrauterine infection. The antiviral therapy was therefore begun and continued for 6 months. He currently is 6 months old and included in a multidisciplinary follow-up. His growth is within the normal limits, but a neuromotor delay is present. Audiological and ophthalmological evaluations, laboratory as well as multiorgan ultrasound (US) examinations have not revealed further anomalies to date.</p><p><strong>Conclusions: </strong>Our case underlines that CMV reactivations or reinfections may be responsible, as well as PI, for significant and harmful effects on the fetus and newborn. It also shows the limited diagnostic and preventive/therapeutical weapons available against NPI during gestation. The present experience confirmed, indeed, the literature regarding the absence of valid laboratory test to identify women with preexisting immunity at risk of giving birth to an infected neonate. Women with previous immunity should be treated with precautionary protocols, including US monitoring and fetal MRI aimed at detecting cCMV. Brain MRI findings may be a pre-warning for newborns of mothers with previous immunity showing neurological symptoms and ultrasound abnormalities. In these cases, its execution may allow the identification of pathognomonic lesions.</p>\",\"PeriodicalId\":14511,\"journal\":{\"name\":\"Italian Journal of Pediatrics\",\"volume\":\"51 1\",\"pages\":\"197\"},\"PeriodicalIF\":3.1000,\"publicationDate\":\"2025-06-21\",\"publicationTypes\":\"Journal Article\",\"fieldsOfStudy\":null,\"isOpenAccess\":false,\"openAccessPdf\":\"https://www.ncbi.nlm.nih.gov/pmc/articles/PMC12181892/pdf/\",\"citationCount\":\"0\",\"resultStr\":null,\"platform\":\"Semanticscholar\",\"paperid\":null,\"PeriodicalName\":\"Italian Journal of Pediatrics\",\"FirstCategoryId\":\"3\",\"ListUrlMain\":\"https://doi.org/10.1186/s13052-025-02017-4\",\"RegionNum\":3,\"RegionCategory\":\"医学\",\"ArticlePicture\":[],\"TitleCN\":null,\"AbstractTextCN\":null,\"PMCID\":null,\"EPubDate\":\"\",\"PubModel\":\"\",\"JCR\":\"Q1\",\"JCRName\":\"PEDIATRICS\",\"Score\":null,\"Total\":0}","platform":"Semanticscholar","paperid":null,"PeriodicalName":"Italian Journal of Pediatrics","FirstCategoryId":"3","ListUrlMain":"https://doi.org/10.1186/s13052-025-02017-4","RegionNum":3,"RegionCategory":"医学","ArticlePicture":[],"TitleCN":null,"AbstractTextCN":null,"PMCID":null,"EPubDate":"","PubModel":"","JCR":"Q1","JCRName":"PEDIATRICS","Score":null,"Total":0}
引用次数: 0

摘要

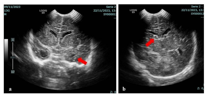
背景:先天性巨细胞病毒(cCMV)感染给卫生系统带来了重大负担。在对妊娠期原发性感染(PI)的认识方面已经取得了相关的见解。然而,与孕产妇非原发感染(NPI)相关的知识差距仍然存在。17-20%的受影响儿童可能出现严重的神经损伤和听力损失。此外,对于这些NPI患者,目前既没有风险预防策略,也没有风险管理。病例介绍:我们报告了一个男婴足月新生儿表现出在生命的第一天亢奋,震颤和肌肉张力增加,除了血小板减少,最初与早发性败血症有关。产科病史显示,母亲在整个妊娠前三个月接受类固醇治疗。她在整个妊娠期都有CMV IgG阳性和CMV IgM抗体阴性。15日龄时,由于神经学和血液学症状持续存在,以及在脑超声检查中发现的异常(双侧脑室肿大,右侧尾丘脑林出现无回声病变,最初与I级脑室内出血有关),进行了脑磁共振成像(MRI),显示明显的病变高度提示cCMV。虽然这种诊断假设是不被怀疑的(考虑到临床表现与围产期败血症的关联以及母体血清学的误导),但对血液和尿液进行巨细胞病毒DNA检测,两种样本均呈阳性结果,用于产前感染诊断。新生儿CMV IgG和IgM抗体阳性,IgG亲和度高,提示可能存在早期宫内感染。因此开始抗病毒治疗并持续6个月。他目前6个月大,正在接受多学科随访。他的生长在正常范围内,但出现了神经运动迟缓。听力学和眼科评估,实验室以及多器官超声(US)检查迄今未发现进一步的异常。结论:我们的病例强调巨细胞病毒再激活或再感染可能与PI一样,对胎儿和新生儿产生重大和有害的影响。它还表明,在妊娠期间针对NPI的诊断和预防/治疗武器有限。事实上,目前的经验证实了文献中关于缺乏有效的实验室测试来确定已有免疫力的妇女是否有可能生下受感染的新生儿的说法。既往免疫的妇女应采用预防性方案进行治疗,包括美国监测和旨在检测cCMV的胎儿MRI。脑MRI的发现可能是一个预先警告的新生儿的母亲以前的免疫表现神经系统症状和超声异常。在这些情况下,其执行可能允许病理病变的识别。
本文章由计算机程序翻译,如有差异,请以英文原文为准。

Congenital cytomegalovirus infection and brain injury in a newborn following maternal non-primary infection: case report of an unexpected diagnosis.

Congenital cytomegalovirus infection and brain injury in a newborn following maternal non-primary infection: case report of an unexpected diagnosis.

Congenital cytomegalovirus infection and brain injury in a newborn following maternal non-primary infection: case report of an unexpected diagnosis.

Background: Congenital cytomegalovirus (cCMV) infection leads to a significant burden on the health system. Relevant insights have been reached in the understanding of primary infection (PI) during pregnancy. However, knowledge gaps still exist related to maternal non-primary infections (NPI). Severe neurologic damage and hearing loss are the possible outcomes in the 17-20% of affected children. Furthermore, neither risk prevention strategies nor management are currently available for these NPI patients.

Case presentation: We report on a male term newborn showing in the first days of life hyperexcitability, tremors and increased muscular tone, in addition to thrombocytopenia, initially related to an early-onset sepsis. Obstetric history revealed that the mother underwent steroid treatment during the whole first trimester of pregnancy. She had positive CMV IgG and negative CMV IgM antibodies throughout gestation. At 15 days of age, due to the persistence of neurological and hematological signs and abnormalities found on brain ultrasound (bilateral ventriculomegaly, and an anechoic lesion within the right caudothalamic grove at first related with grade I intraventricular hemorrhage) a brain magnetic resonance imaging (MRI) was performed, showing significant lesions highly suggestive of cCMV. Although such diagnostic hypothesis was unsuspected (in light of the association of clinical manifestations with perinatal sepsis and the misleading maternal serology), however CMV DNA detection on blood and urine was carried out, giving positive results in both samples for connatal infection diagnosis. Newborn CMV IgG and IgM antibodies resulted positive, while the IgG avidity test showed high values according to a likely early intrauterine infection. The antiviral therapy was therefore begun and continued for 6 months. He currently is 6 months old and included in a multidisciplinary follow-up. His growth is within the normal limits, but a neuromotor delay is present. Audiological and ophthalmological evaluations, laboratory as well as multiorgan ultrasound (US) examinations have not revealed further anomalies to date.

Conclusions: Our case underlines that CMV reactivations or reinfections may be responsible, as well as PI, for significant and harmful effects on the fetus and newborn. It also shows the limited diagnostic and preventive/therapeutical weapons available against NPI during gestation. The present experience confirmed, indeed, the literature regarding the absence of valid laboratory test to identify women with preexisting immunity at risk of giving birth to an infected neonate. Women with previous immunity should be treated with precautionary protocols, including US monitoring and fetal MRI aimed at detecting cCMV. Brain MRI findings may be a pre-warning for newborns of mothers with previous immunity showing neurological symptoms and ultrasound abnormalities. In these cases, its execution may allow the identification of pathognomonic lesions.

求助全文
通过发布文献求助,成功后即可免费获取论文全文。 去求助
来源期刊
CiteScore
6.10
自引率
13.90%
发文量
192
审稿时长
6-12 weeks
期刊介绍: Italian Journal of Pediatrics is an open access peer-reviewed journal that includes all aspects of pediatric medicine. The journal also covers health service and public health research that addresses primary care issues. The journal provides a high-quality forum for pediatricians and other healthcare professionals to report and discuss up-to-the-minute research and expert reviews in the field of pediatric medicine. The journal will continue to develop the range of articles published to enable this invaluable resource to stay at the forefront of the field. Italian Journal of Pediatrics, which commenced in 1975 as Rivista Italiana di Pediatria, provides a high-quality forum for pediatricians and other healthcare professionals to report and discuss up-to-the-minute research and expert reviews in the field of pediatric medicine. The journal will continue to develop the range of articles published to enable this invaluable resource to stay at the forefront of the field.
×
引用
GB/T 7714-2015
复制
MLA
复制
APA
复制
导出至
BibTeX EndNote RefMan NoteFirst NoteExpress
×
提示
您的信息不完整,为了账户安全,请先补充。
现在去补充
×
提示
您因"违规操作"
具体请查看互助需知
我知道了
×
提示
确定
请完成安全验证×
copy
已复制链接
快去分享给好友吧!
我知道了
右上角分享
点击右上角分享
0
联系我们:info@booksci.cn Book学术提供免费学术资源搜索服务,方便国内外学者检索中英文文献。致力于提供最便捷和优质的服务体验。 Copyright © 2023 布克学术 All rights reserved.
京ICP备2023020795号-1
ghs 京公网安备 11010802042870号
Book学术文献互助
Book学术文献互助群
群 号:604180095
Book学术官方微信