针对19,68和72kda亚基的抗srp抗体的儿童免疫介导的坏死性肌病

IF 2.3 3区 医学 Q1 PEDIATRICS
Daigo Kato, Yoshitake Sato, Kanako Mitsunaga, Hiromi Aoyama, Naoko Okiyama, Ichizo Nishino, Minako Tomiita, Yuzaburo Inoue
{"title":"针对19,68和72kda亚基的抗srp抗体的儿童免疫介导的坏死性肌病","authors":"Daigo Kato, Yoshitake Sato, Kanako Mitsunaga, Hiromi Aoyama, Naoko Okiyama, Ichizo Nishino, Minako Tomiita, Yuzaburo Inoue","doi":"10.1186/s12969-025-01119-x","DOIUrl":null,"url":null,"abstract":"","PeriodicalId":54630,"journal":{"name":"Pediatric Rheumatology","volume":"23 1","pages":"67"},"PeriodicalIF":2.3000,"publicationDate":"2025-06-19","publicationTypes":"Journal Article","fieldsOfStudy":null,"isOpenAccess":false,"openAccessPdf":"https://www.ncbi.nlm.nih.gov/pmc/articles/PMC12180195/pdf/","citationCount":"0","resultStr":"{\"title\":\"Pediatric immune-mediated necrotizing myopathy with anti-SRP antibodies targeting 19, 68, and 72 kda subunits.\",\"authors\":\"Daigo Kato, Yoshitake Sato, Kanako Mitsunaga, Hiromi Aoyama, Naoko Okiyama, Ichizo Nishino, Minako Tomiita, Yuzaburo Inoue\",\"doi\":\"10.1186/s12969-025-01119-x\",\"DOIUrl\":null,\"url\":null,\"abstract\":\"\",\"PeriodicalId\":54630,\"journal\":{\"name\":\"Pediatric Rheumatology\",\"volume\":\"23 1\",\"pages\":\"67\"},\"PeriodicalIF\":2.3000,\"publicationDate\":\"2025-06-19\",\"publicationTypes\":\"Journal Article\",\"fieldsOfStudy\":null,\"isOpenAccess\":false,\"openAccessPdf\":\"https://www.ncbi.nlm.nih.gov/pmc/articles/PMC12180195/pdf/\",\"citationCount\":\"0\",\"resultStr\":null,\"platform\":\"Semanticscholar\",\"paperid\":null,\"PeriodicalName\":\"Pediatric Rheumatology\",\"FirstCategoryId\":\"3\",\"ListUrlMain\":\"https://doi.org/10.1186/s12969-025-01119-x\",\"RegionNum\":3,\"RegionCategory\":\"医学\",\"ArticlePicture\":[],\"TitleCN\":null,\"AbstractTextCN\":null,\"PMCID\":null,\"EPubDate\":\"\",\"PubModel\":\"\",\"JCR\":\"Q1\",\"JCRName\":\"PEDIATRICS\",\"Score\":null,\"Total\":0}","platform":"Semanticscholar","paperid":null,"PeriodicalName":"Pediatric Rheumatology","FirstCategoryId":"3","ListUrlMain":"https://doi.org/10.1186/s12969-025-01119-x","RegionNum":3,"RegionCategory":"医学","ArticlePicture":[],"TitleCN":null,"AbstractTextCN":null,"PMCID":null,"EPubDate":"","PubModel":"","JCR":"Q1","JCRName":"PEDIATRICS","Score":null,"Total":0}
引用次数: 0

摘要

本文章由计算机程序翻译,如有差异,请以英文原文为准。

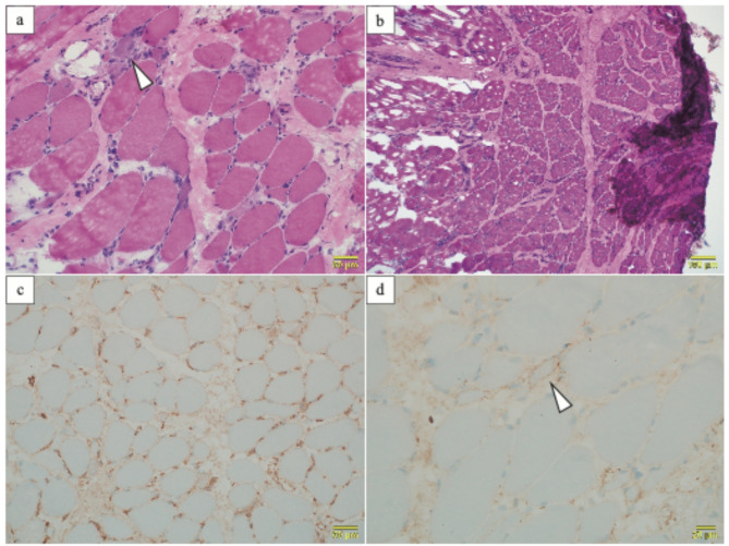
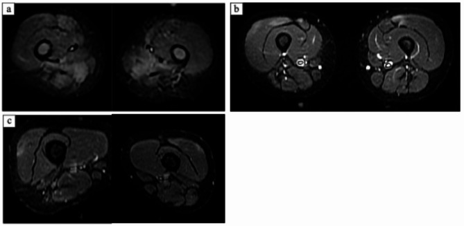
Pediatric immune-mediated necrotizing myopathy with anti-SRP antibodies targeting 19, 68, and 72 kda subunits.

Pediatric immune-mediated necrotizing myopathy with anti-SRP antibodies targeting 19, 68, and 72 kda subunits.

Pediatric immune-mediated necrotizing myopathy with anti-SRP antibodies targeting 19, 68, and 72 kda subunits.
求助全文
通过发布文献求助,成功后即可免费获取论文全文。 去求助
来源期刊
Pediatric Rheumatology
Pediatric Rheumatology PEDIATRICS-RHEUMATOLOGY
CiteScore
4.10
自引率
8.00%
发文量
95
审稿时长
>12 weeks
期刊介绍: Pediatric Rheumatology is an open access, peer-reviewed, online journal encompassing all aspects of clinical and basic research related to pediatric rheumatology and allied subjects. The journal’s scope of diseases and syndromes include musculoskeletal pain syndromes, rheumatic fever and post-streptococcal syndromes, juvenile idiopathic arthritis, systemic lupus erythematosus, juvenile dermatomyositis, local and systemic scleroderma, Kawasaki disease, Henoch-Schonlein purpura and other vasculitides, sarcoidosis, inherited musculoskeletal syndromes, autoinflammatory syndromes, and others.
×
引用
GB/T 7714-2015
复制
MLA
复制
APA
复制
导出至
BibTeX EndNote RefMan NoteFirst NoteExpress
×
提示
您的信息不完整,为了账户安全,请先补充。
现在去补充
×
提示
您因"违规操作"
具体请查看互助需知
我知道了
×
提示
确定
请完成安全验证×
copy
已复制链接
快去分享给好友吧!
我知道了
右上角分享
点击右上角分享
0
联系我们:info@booksci.cn Book学术提供免费学术资源搜索服务,方便国内外学者检索中英文文献。致力于提供最便捷和优质的服务体验。 Copyright © 2023 布克学术 All rights reserved.
京ICP备2023020795号-1
ghs 京公网安备 11010802042870号
Book学术文献互助
Book学术文献互助群
群 号:604180095
Book学术官方微信