巨蟒淋巴组织的年龄相关变化。

IF 5.6 2区 医学 Q1 GERIATRICS & GERONTOLOGY
Eva Dervas, Udo Hetzel, Anja Kipar
{"title":"巨蟒淋巴组织的年龄相关变化。","authors":"Eva Dervas, Udo Hetzel, Anja Kipar","doi":"10.1186/s12979-025-00519-7","DOIUrl":null,"url":null,"abstract":"<p><p>Aging is a complex and multifaceted biological process that results in the gradual decline of physiological functions over time. It is associated with reduced performance across multiple systems, affecting metabolic, reproductive, musculoskeletal, and immune functions. While immune aging has been extensively studied in endothermic animals, and in particular mammals such as laboratory rodents, comparatively little is known about how aging manifests in ectothermic vertebrates like reptiles. This study explored the lymphoid tissue (spleen and thymus) of Boa constrictor, a boid snake indigenous to South and Central America and Mexico, but widely kept in captivity all over the world, for potential age-related changes. We observed a significant decrease in cellularity in the spleen, coupled with an increase in organ size correlated with age. In both spleen and thymus the connective tissue of capsule and trabeculae increased significantly with age, indicative of progressive fibrosis. In addition, several changes were observed with increasing frequency in older animals, epithelial hyperplasia in the thymic medulla as well stromal fibrosis and an increasing infiltration by so-called granular cells in both organs. Granular cells likely represent a leukocyte subtype; their presence indicates a progressive chronic low-grade inflammatory state in the lymphoid organs, a feature known as inflammaging in other animal classes. They may also play a role in the progressive fibrosis of the connective tissue. The results firstly describe morphological evidence of aging in B. constrictor and indicate similarities in the aging across animal classes.</p>","PeriodicalId":51289,"journal":{"name":"Immunity & Ageing","volume":"22 1","pages":"22"},"PeriodicalIF":5.6000,"publicationDate":"2025-06-19","publicationTypes":"Journal Article","fieldsOfStudy":null,"isOpenAccess":false,"openAccessPdf":"https://www.ncbi.nlm.nih.gov/pmc/articles/PMC12178072/pdf/","citationCount":"0","resultStr":"{\"title\":\"Age-associated changes in the lymphoid tissues of Boa constrictor.\",\"authors\":\"Eva Dervas, Udo Hetzel, Anja Kipar\",\"doi\":\"10.1186/s12979-025-00519-7\",\"DOIUrl\":null,\"url\":null,\"abstract\":\"<p><p>Aging is a complex and multifaceted biological process that results in the gradual decline of physiological functions over time. It is associated with reduced performance across multiple systems, affecting metabolic, reproductive, musculoskeletal, and immune functions. While immune aging has been extensively studied in endothermic animals, and in particular mammals such as laboratory rodents, comparatively little is known about how aging manifests in ectothermic vertebrates like reptiles. This study explored the lymphoid tissue (spleen and thymus) of Boa constrictor, a boid snake indigenous to South and Central America and Mexico, but widely kept in captivity all over the world, for potential age-related changes. We observed a significant decrease in cellularity in the spleen, coupled with an increase in organ size correlated with age. In both spleen and thymus the connective tissue of capsule and trabeculae increased significantly with age, indicative of progressive fibrosis. In addition, several changes were observed with increasing frequency in older animals, epithelial hyperplasia in the thymic medulla as well stromal fibrosis and an increasing infiltration by so-called granular cells in both organs. Granular cells likely represent a leukocyte subtype; their presence indicates a progressive chronic low-grade inflammatory state in the lymphoid organs, a feature known as inflammaging in other animal classes. They may also play a role in the progressive fibrosis of the connective tissue. The results firstly describe morphological evidence of aging in B. constrictor and indicate similarities in the aging across animal classes.</p>\",\"PeriodicalId\":51289,\"journal\":{\"name\":\"Immunity & Ageing\",\"volume\":\"22 1\",\"pages\":\"22\"},\"PeriodicalIF\":5.6000,\"publicationDate\":\"2025-06-19\",\"publicationTypes\":\"Journal Article\",\"fieldsOfStudy\":null,\"isOpenAccess\":false,\"openAccessPdf\":\"https://www.ncbi.nlm.nih.gov/pmc/articles/PMC12178072/pdf/\",\"citationCount\":\"0\",\"resultStr\":null,\"platform\":\"Semanticscholar\",\"paperid\":null,\"PeriodicalName\":\"Immunity & Ageing\",\"FirstCategoryId\":\"3\",\"ListUrlMain\":\"https://doi.org/10.1186/s12979-025-00519-7\",\"RegionNum\":2,\"RegionCategory\":\"医学\",\"ArticlePicture\":[],\"TitleCN\":null,\"AbstractTextCN\":null,\"PMCID\":null,\"EPubDate\":\"\",\"PubModel\":\"\",\"JCR\":\"Q1\",\"JCRName\":\"GERIATRICS & GERONTOLOGY\",\"Score\":null,\"Total\":0}","platform":"Semanticscholar","paperid":null,"PeriodicalName":"Immunity & Ageing","FirstCategoryId":"3","ListUrlMain":"https://doi.org/10.1186/s12979-025-00519-7","RegionNum":2,"RegionCategory":"医学","ArticlePicture":[],"TitleCN":null,"AbstractTextCN":null,"PMCID":null,"EPubDate":"","PubModel":"","JCR":"Q1","JCRName":"GERIATRICS & GERONTOLOGY","Score":null,"Total":0}
引用次数: 0

摘要

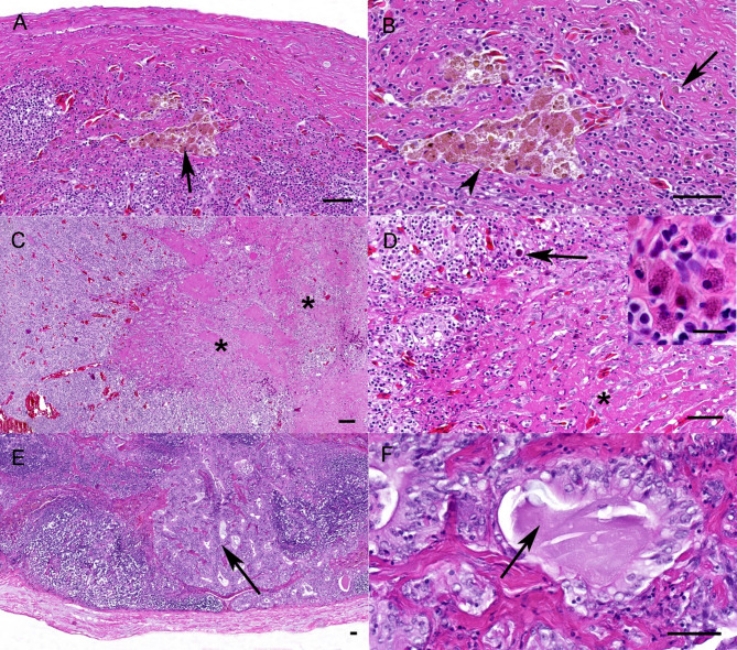
衰老是一个复杂的、多方面的生物过程,它导致生理功能随着时间的推移而逐渐下降。它与多个系统的性能下降有关,影响代谢、生殖、肌肉骨骼和免疫功能。虽然免疫衰老已经在恒温动物,特别是哺乳动物如实验室啮齿动物中得到了广泛的研究,但相对而言,人们对像爬行动物这样的变温脊椎动物的衰老表现知之甚少。这项研究探索了蟒蛇的淋巴组织(脾脏和胸腺),蟒蛇是一种原产于中南美洲和墨西哥的类蛇,但在世界各地广泛圈养,以寻找潜在的与年龄相关的变化。我们观察到脾脏细胞显著减少,同时与年龄相关的器官大小增加。脾脏和胸腺的囊和小梁结缔组织随着年龄的增长而明显增加,表明纤维化的进展。此外,在老年动物中观察到的一些变化越来越频繁,胸腺髓质上皮增生以及间质纤维化和两个器官中所谓颗粒细胞的浸润增加。颗粒细胞可能代表一种白细胞亚型;它们的存在表明淋巴器官处于进行性慢性低度炎症状态,这一特征在其他动物类别中被称为炎症。它们也可能在结缔组织的进行性纤维化中起作用。研究结果首次描述了蟒蛇衰老的形态学证据,并指出了不同动物类群衰老的相似性。
本文章由计算机程序翻译,如有差异,请以英文原文为准。

Age-associated changes in the lymphoid tissues of Boa constrictor.

Age-associated changes in the lymphoid tissues of Boa constrictor.

Age-associated changes in the lymphoid tissues of Boa constrictor.

Age-associated changes in the lymphoid tissues of Boa constrictor.

Aging is a complex and multifaceted biological process that results in the gradual decline of physiological functions over time. It is associated with reduced performance across multiple systems, affecting metabolic, reproductive, musculoskeletal, and immune functions. While immune aging has been extensively studied in endothermic animals, and in particular mammals such as laboratory rodents, comparatively little is known about how aging manifests in ectothermic vertebrates like reptiles. This study explored the lymphoid tissue (spleen and thymus) of Boa constrictor, a boid snake indigenous to South and Central America and Mexico, but widely kept in captivity all over the world, for potential age-related changes. We observed a significant decrease in cellularity in the spleen, coupled with an increase in organ size correlated with age. In both spleen and thymus the connective tissue of capsule and trabeculae increased significantly with age, indicative of progressive fibrosis. In addition, several changes were observed with increasing frequency in older animals, epithelial hyperplasia in the thymic medulla as well stromal fibrosis and an increasing infiltration by so-called granular cells in both organs. Granular cells likely represent a leukocyte subtype; their presence indicates a progressive chronic low-grade inflammatory state in the lymphoid organs, a feature known as inflammaging in other animal classes. They may also play a role in the progressive fibrosis of the connective tissue. The results firstly describe morphological evidence of aging in B. constrictor and indicate similarities in the aging across animal classes.

求助全文
通过发布文献求助,成功后即可免费获取论文全文。 去求助
来源期刊
Immunity & Ageing
Immunity & Ageing GERIATRICS & GERONTOLOGY-IMMUNOLOGY
CiteScore
10.20
自引率
3.80%
发文量
55
期刊介绍: Immunity & Ageing is a specialist open access journal that was first published in 2004. The journal focuses on the impact of ageing on immune systems, the influence of aged immune systems on organismal well-being and longevity, age-associated diseases with immune etiology, and potential immune interventions to increase health span. All articles published in Immunity & Ageing are indexed in the following databases: Biological Abstracts, BIOSIS, CAS, Citebase, DOAJ, Embase, Google Scholar, Journal Citation Reports/Science Edition, OAIster, PubMed, PubMed Central, Science Citation Index Expanded, SCImago, Scopus, SOCOLAR, and Zetoc.
×
引用
GB/T 7714-2015
复制
MLA
复制
APA
复制
导出至
BibTeX EndNote RefMan NoteFirst NoteExpress
×
提示
您的信息不完整,为了账户安全,请先补充。
现在去补充
×
提示
您因"违规操作"
具体请查看互助需知
我知道了
×
提示
确定
请完成安全验证×
copy
已复制链接
快去分享给好友吧!
我知道了
右上角分享
点击右上角分享
0
联系我们:info@booksci.cn Book学术提供免费学术资源搜索服务,方便国内外学者检索中英文文献。致力于提供最便捷和优质的服务体验。 Copyright © 2023 布克学术 All rights reserved.
京ICP备2023020795号-1
ghs 京公网安备 11010802042870号
Book学术文献互助
Book学术文献互助群
群 号:604180095
Book学术官方微信