胰腺细针穿刺细胞与组织病理学相关性的综合分析。

IF 3.1 4区 医学 Q2 PATHOLOGY
Cytojournal Pub Date : 2025-05-09 eCollection Date: 2025-01-01 DOI:10.25259/Cytojournal_218_2024
Samah Saharti
{"title":"胰腺细针穿刺细胞与组织病理学相关性的综合分析。","authors":"Samah Saharti","doi":"10.25259/Cytojournal_218_2024","DOIUrl":null,"url":null,"abstract":"<p><strong>Objective: </strong>Pancreatic cancer is a major global health challenge with high mortality rates and limited therapeutic options. Fine-needle aspiration (FNA) cytology is a key diagnostic tool, but discrepancies between cytological and histological diagnoses can impact patient management. This study aims to evaluate the diagnostic accuracy of pancreatic FNA using the World Health Organization (WHO) reporting system to assess the risk of malignancy (ROM) across different diagnostic categories.</p><p><strong>Material and methods: </strong>The WHO reporting system was employed to reclassify 122 FNAs, with 37 cases undergoing subsequent histological correlation to evaluate the ROM. The sensitivity, specificity, positive and negative predictive values, and accuracy of ROM using the WHO system were determined through statistical analyses.</p><p><strong>Results: </strong>The discrepancy rate between cytology and histology diagnoses was 16.2%. Category 6 (malignant) showed consistent ROM values (89%), confirming its reliability in predicting malignancy. However, Categories 1, 2, and 3 had higher ROM values than previously reported, while Category 4 had a lower ROM. Factors such as small lesion size, poor cellularity, and sampling limitations contributed to diagnostic discrepancies.</p><p><strong>Conclusion: </strong>The study offers significant insights into the cyto-histopathological correlation in pancreatic FNA, highlighting the effectiveness of the WHO reporting system in ROM assessment. Future research with larger samples is necessary to enhance the accuracy of pancreatic FNA cytology for improved patient outcomes.</p>","PeriodicalId":49082,"journal":{"name":"Cytojournal","volume":"22 ","pages":"50"},"PeriodicalIF":3.1000,"publicationDate":"2025-05-09","publicationTypes":"Journal Article","fieldsOfStudy":null,"isOpenAccess":false,"openAccessPdf":"https://www.ncbi.nlm.nih.gov/pmc/articles/PMC12178082/pdf/","citationCount":"0","resultStr":"{\"title\":\"Comprehensive analysis of pancreatic fine needle aspiration cyto-histopathological correlation.\",\"authors\":\"Samah Saharti\",\"doi\":\"10.25259/Cytojournal_218_2024\",\"DOIUrl\":null,\"url\":null,\"abstract\":\"<p><strong>Objective: </strong>Pancreatic cancer is a major global health challenge with high mortality rates and limited therapeutic options. Fine-needle aspiration (FNA) cytology is a key diagnostic tool, but discrepancies between cytological and histological diagnoses can impact patient management. This study aims to evaluate the diagnostic accuracy of pancreatic FNA using the World Health Organization (WHO) reporting system to assess the risk of malignancy (ROM) across different diagnostic categories.</p><p><strong>Material and methods: </strong>The WHO reporting system was employed to reclassify 122 FNAs, with 37 cases undergoing subsequent histological correlation to evaluate the ROM. The sensitivity, specificity, positive and negative predictive values, and accuracy of ROM using the WHO system were determined through statistical analyses.</p><p><strong>Results: </strong>The discrepancy rate between cytology and histology diagnoses was 16.2%. Category 6 (malignant) showed consistent ROM values (89%), confirming its reliability in predicting malignancy. However, Categories 1, 2, and 3 had higher ROM values than previously reported, while Category 4 had a lower ROM. Factors such as small lesion size, poor cellularity, and sampling limitations contributed to diagnostic discrepancies.</p><p><strong>Conclusion: </strong>The study offers significant insights into the cyto-histopathological correlation in pancreatic FNA, highlighting the effectiveness of the WHO reporting system in ROM assessment. Future research with larger samples is necessary to enhance the accuracy of pancreatic FNA cytology for improved patient outcomes.</p>\",\"PeriodicalId\":49082,\"journal\":{\"name\":\"Cytojournal\",\"volume\":\"22 \",\"pages\":\"50\"},\"PeriodicalIF\":3.1000,\"publicationDate\":\"2025-05-09\",\"publicationTypes\":\"Journal Article\",\"fieldsOfStudy\":null,\"isOpenAccess\":false,\"openAccessPdf\":\"https://www.ncbi.nlm.nih.gov/pmc/articles/PMC12178082/pdf/\",\"citationCount\":\"0\",\"resultStr\":null,\"platform\":\"Semanticscholar\",\"paperid\":null,\"PeriodicalName\":\"Cytojournal\",\"FirstCategoryId\":\"3\",\"ListUrlMain\":\"https://doi.org/10.25259/Cytojournal_218_2024\",\"RegionNum\":4,\"RegionCategory\":\"医学\",\"ArticlePicture\":[],\"TitleCN\":null,\"AbstractTextCN\":null,\"PMCID\":null,\"EPubDate\":\"2025/1/1 0:00:00\",\"PubModel\":\"eCollection\",\"JCR\":\"Q2\",\"JCRName\":\"PATHOLOGY\",\"Score\":null,\"Total\":0}","platform":"Semanticscholar","paperid":null,"PeriodicalName":"Cytojournal","FirstCategoryId":"3","ListUrlMain":"https://doi.org/10.25259/Cytojournal_218_2024","RegionNum":4,"RegionCategory":"医学","ArticlePicture":[],"TitleCN":null,"AbstractTextCN":null,"PMCID":null,"EPubDate":"2025/1/1 0:00:00","PubModel":"eCollection","JCR":"Q2","JCRName":"PATHOLOGY","Score":null,"Total":0}
引用次数: 0

摘要

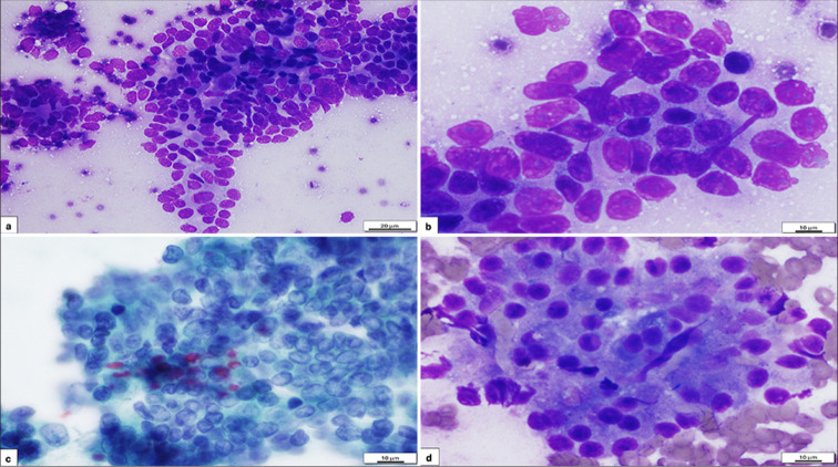
目的:胰腺癌是一个主要的全球健康挑战,具有高死亡率和有限的治疗选择。细针抽吸(FNA)细胞学是一种关键的诊断工具,但细胞学和组织学诊断之间的差异会影响患者的治疗。本研究旨在利用世界卫生组织(WHO)报告系统评估胰腺FNA在不同诊断类别中恶性肿瘤(ROM)风险的诊断准确性。材料与方法:采用WHO报告系统对122例FNAs进行重新分类,并对37例进行组织学相关性评价,通过统计分析确定WHO系统对ROM的敏感性、特异性、阳性预测值和阴性预测值以及准确性。结果:细胞学诊断与组织学诊断的符合率为16.2%。第6类(恶性)显示一致的ROM值(89%),证实了其预测恶性的可靠性。然而,第1、2和3类的ROM值比先前报道的高,而第4类的ROM值较低。诸如病灶大小小、细胞结构差和采样限制等因素导致了诊断差异。结论:本研究对胰腺FNA的细胞-组织病理学相关性提供了重要见解,突出了WHO报告系统在ROM评估中的有效性。未来需要更大样本的研究来提高胰腺FNA细胞学的准确性,以改善患者的预后。
本文章由计算机程序翻译,如有差异,请以英文原文为准。

Comprehensive analysis of pancreatic fine needle aspiration cyto-histopathological correlation.

Comprehensive analysis of pancreatic fine needle aspiration cyto-histopathological correlation.

Comprehensive analysis of pancreatic fine needle aspiration cyto-histopathological correlation.

Comprehensive analysis of pancreatic fine needle aspiration cyto-histopathological correlation.

Objective: Pancreatic cancer is a major global health challenge with high mortality rates and limited therapeutic options. Fine-needle aspiration (FNA) cytology is a key diagnostic tool, but discrepancies between cytological and histological diagnoses can impact patient management. This study aims to evaluate the diagnostic accuracy of pancreatic FNA using the World Health Organization (WHO) reporting system to assess the risk of malignancy (ROM) across different diagnostic categories.

Material and methods: The WHO reporting system was employed to reclassify 122 FNAs, with 37 cases undergoing subsequent histological correlation to evaluate the ROM. The sensitivity, specificity, positive and negative predictive values, and accuracy of ROM using the WHO system were determined through statistical analyses.

Results: The discrepancy rate between cytology and histology diagnoses was 16.2%. Category 6 (malignant) showed consistent ROM values (89%), confirming its reliability in predicting malignancy. However, Categories 1, 2, and 3 had higher ROM values than previously reported, while Category 4 had a lower ROM. Factors such as small lesion size, poor cellularity, and sampling limitations contributed to diagnostic discrepancies.

Conclusion: The study offers significant insights into the cyto-histopathological correlation in pancreatic FNA, highlighting the effectiveness of the WHO reporting system in ROM assessment. Future research with larger samples is necessary to enhance the accuracy of pancreatic FNA cytology for improved patient outcomes.

求助全文
通过发布文献求助,成功后即可免费获取论文全文。 去求助
来源期刊
Cytojournal
Cytojournal PATHOLOGY-
CiteScore
2.20
自引率
42.10%
发文量
56
审稿时长
>12 weeks
期刊介绍: The CytoJournal is an open-access peer-reviewed journal committed to publishing high-quality articles in the field of Diagnostic Cytopathology including Molecular aspects. The journal is owned by the Cytopathology Foundation and published by the Scientific Scholar.
×
引用
GB/T 7714-2015
复制
MLA
复制
APA
复制
导出至
BibTeX EndNote RefMan NoteFirst NoteExpress
×
提示
您的信息不完整,为了账户安全,请先补充。
现在去补充
×
提示
您因"违规操作"
具体请查看互助需知
我知道了
×
提示
确定
请完成安全验证×
copy
已复制链接
快去分享给好友吧!
我知道了
右上角分享
点击右上角分享
0
联系我们:info@booksci.cn Book学术提供免费学术资源搜索服务,方便国内外学者检索中英文文献。致力于提供最便捷和优质的服务体验。 Copyright © 2023 布克学术 All rights reserved.
京ICP备2023020795号-1
ghs 京公网安备 11010802042870号
Book学术文献互助
Book学术文献互助群
群 号:604180095
Book学术官方微信