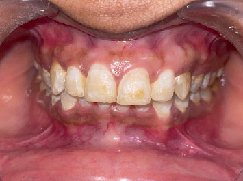
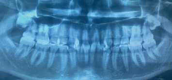
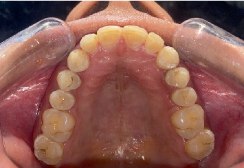
优化氟斑牙的美容效果:漂白和微磨技术一例报告。

IF 0.9 Q4 DENTISTRY, ORAL SURGERY & MEDICINE
Case Reports in Dentistry Pub Date : 2025-06-12 eCollection Date: 2025-01-01 DOI:10.1155/crid/9972925
Priyanka Bhojwani, Anuja Ikhar, Aditya Patel, Manoj Chandak, Shweta Sedani, Jay Bhoptakar, Khyati Manik, Bhuvaneshwari Khanadali
{"title":"优化氟斑牙的美容效果:漂白和微磨技术一例报告。","authors":"Priyanka Bhojwani, Anuja Ikhar, Aditya Patel, Manoj Chandak, Shweta Sedani, Jay Bhoptakar, Khyati Manik, Bhuvaneshwari Khanadali","doi":"10.1155/crid/9972925","DOIUrl":null,"url":null,"abstract":"<p><p>Dental discoloration, particularly due to fluorosis, presents a significant aesthetic challenge for many patients. This article explores the combined use of dental bleaching and enamel microabrasion as effective treatments for managing fluorosis-induced discoloration. Dental bleaching, a widely used method for lightening extrinsic and intrinsic stains, has shown promising results in improving the overall appearance of discolored teeth. Enamel microabrasion, which involves the mechanical removal of superficial enamel stains, can enhance the effectiveness of bleaching by addressing more severe or resistant discoloration. The article reviews the mechanisms of these treatments, their clinical indications, and their outcomes in patients with varying degrees of dental fluorosis. Additionally, potential side effects, such as tooth sensitivity and enamel damage, are discussed, emphasizing strategies to minimize these risks. By combining these methods, clinicians can offer more comprehensive, individualized care for patients seeking cosmetic improvements for fluorotic teeth, with attention to both aesthetic outcomes and long-term dental health.</p>","PeriodicalId":46841,"journal":{"name":"Case Reports in Dentistry","volume":"2025 ","pages":"9972925"},"PeriodicalIF":0.9000,"publicationDate":"2025-06-12","publicationTypes":"Journal Article","fieldsOfStudy":null,"isOpenAccess":false,"openAccessPdf":"https://www.ncbi.nlm.nih.gov/pmc/articles/PMC12178729/pdf/","citationCount":"0","resultStr":"{\"title\":\"Optimizing Cosmetic Results in Dental Fluorosis: A Case Report of Bleaching and Microabrasion Techniques.\",\"authors\":\"Priyanka Bhojwani, Anuja Ikhar, Aditya Patel, Manoj Chandak, Shweta Sedani, Jay Bhoptakar, Khyati Manik, Bhuvaneshwari Khanadali\",\"doi\":\"10.1155/crid/9972925\",\"DOIUrl\":null,\"url\":null,\"abstract\":\"<p><p>Dental discoloration, particularly due to fluorosis, presents a significant aesthetic challenge for many patients. This article explores the combined use of dental bleaching and enamel microabrasion as effective treatments for managing fluorosis-induced discoloration. Dental bleaching, a widely used method for lightening extrinsic and intrinsic stains, has shown promising results in improving the overall appearance of discolored teeth. Enamel microabrasion, which involves the mechanical removal of superficial enamel stains, can enhance the effectiveness of bleaching by addressing more severe or resistant discoloration. The article reviews the mechanisms of these treatments, their clinical indications, and their outcomes in patients with varying degrees of dental fluorosis. Additionally, potential side effects, such as tooth sensitivity and enamel damage, are discussed, emphasizing strategies to minimize these risks. By combining these methods, clinicians can offer more comprehensive, individualized care for patients seeking cosmetic improvements for fluorotic teeth, with attention to both aesthetic outcomes and long-term dental health.</p>\",\"PeriodicalId\":46841,\"journal\":{\"name\":\"Case Reports in Dentistry\",\"volume\":\"2025 \",\"pages\":\"9972925\"},\"PeriodicalIF\":0.9000,\"publicationDate\":\"2025-06-12\",\"publicationTypes\":\"Journal Article\",\"fieldsOfStudy\":null,\"isOpenAccess\":false,\"openAccessPdf\":\"https://www.ncbi.nlm.nih.gov/pmc/articles/PMC12178729/pdf/\",\"citationCount\":\"0\",\"resultStr\":null,\"platform\":\"Semanticscholar\",\"paperid\":null,\"PeriodicalName\":\"Case Reports in Dentistry\",\"FirstCategoryId\":\"1085\",\"ListUrlMain\":\"https://doi.org/10.1155/crid/9972925\",\"RegionNum\":0,\"RegionCategory\":null,\"ArticlePicture\":[],\"TitleCN\":null,\"AbstractTextCN\":null,\"PMCID\":null,\"EPubDate\":\"2025/1/1 0:00:00\",\"PubModel\":\"eCollection\",\"JCR\":\"Q4\",\"JCRName\":\"DENTISTRY, ORAL SURGERY & MEDICINE\",\"Score\":null,\"Total\":0}","platform":"Semanticscholar","paperid":null,"PeriodicalName":"Case Reports in Dentistry","FirstCategoryId":"1085","ListUrlMain":"https://doi.org/10.1155/crid/9972925","RegionNum":0,"RegionCategory":null,"ArticlePicture":[],"TitleCN":null,"AbstractTextCN":null,"PMCID":null,"EPubDate":"2025/1/1 0:00:00","PubModel":"eCollection","JCR":"Q4","JCRName":"DENTISTRY, ORAL SURGERY & MEDICINE","Score":null,"Total":0}
引用次数: 0

摘要

牙齿变色,特别是由于氟中毒,提出了一个显着的审美挑战,许多患者。本文探讨了牙齿漂白和牙釉质微磨损联合使用作为治疗氟中毒引起的变色的有效方法。牙齿漂白是一种广泛应用于减轻外在和内在污渍的方法,在改善变色牙齿的整体外观方面显示出良好的效果。牙釉质微磨蚀,包括机械去除表面牙釉质污渍,可以通过解决更严重或更顽固的变色来提高漂白的有效性。本文综述了这些治疗的机制,它们的临床适应症,以及它们在不同程度的氟牙症患者中的结果。此外,还讨论了潜在的副作用,如牙齿敏感和牙釉质损伤,并强调了减少这些风险的策略。通过结合这些方法,临床医生可以为寻求氟牙美容改善的患者提供更全面,个性化的护理,同时关注美观结果和长期牙齿健康。
本文章由计算机程序翻译,如有差异,请以英文原文为准。

Optimizing Cosmetic Results in Dental Fluorosis: A Case Report of Bleaching and Microabrasion Techniques.

Optimizing Cosmetic Results in Dental Fluorosis: A Case Report of Bleaching and Microabrasion Techniques.

Optimizing Cosmetic Results in Dental Fluorosis: A Case Report of Bleaching and Microabrasion Techniques.

Optimizing Cosmetic Results in Dental Fluorosis: A Case Report of Bleaching and Microabrasion Techniques.

Dental discoloration, particularly due to fluorosis, presents a significant aesthetic challenge for many patients. This article explores the combined use of dental bleaching and enamel microabrasion as effective treatments for managing fluorosis-induced discoloration. Dental bleaching, a widely used method for lightening extrinsic and intrinsic stains, has shown promising results in improving the overall appearance of discolored teeth. Enamel microabrasion, which involves the mechanical removal of superficial enamel stains, can enhance the effectiveness of bleaching by addressing more severe or resistant discoloration. The article reviews the mechanisms of these treatments, their clinical indications, and their outcomes in patients with varying degrees of dental fluorosis. Additionally, potential side effects, such as tooth sensitivity and enamel damage, are discussed, emphasizing strategies to minimize these risks. By combining these methods, clinicians can offer more comprehensive, individualized care for patients seeking cosmetic improvements for fluorotic teeth, with attention to both aesthetic outcomes and long-term dental health.

求助全文
通过发布文献求助,成功后即可免费获取论文全文。 去求助
来源期刊
Case Reports in Dentistry
Case Reports in Dentistry DENTISTRY, ORAL SURGERY & MEDICINE-
CiteScore
1.40
自引率
12.50%
发文量
107
审稿时长
14 weeks
期刊介绍: Case Reports in Dentistry is a peer-reviewed, Open Access journal that publishes case reports and case series in all areas of dentistry, including periodontal diseases, dental implants, oral pathology, as well as oral and maxillofacial surgery.
×
引用
GB/T 7714-2015
复制
MLA
复制
APA
复制
导出至
BibTeX EndNote RefMan NoteFirst NoteExpress
×
提示
您的信息不完整,为了账户安全,请先补充。
现在去补充
×
提示
您因"违规操作"
具体请查看互助需知
我知道了
×
提示
确定
请完成安全验证×
copy
已复制链接
快去分享给好友吧!
我知道了
右上角分享
点击右上角分享
0
联系我们:info@booksci.cn Book学术提供免费学术资源搜索服务,方便国内外学者检索中英文文献。致力于提供最便捷和优质的服务体验。 Copyright © 2023 布克学术 All rights reserved.
京ICP备2023020795号-1
ghs 京公网安备 11010802042870号
Book学术文献互助
Book学术文献互助群
群 号:604180095
Book学术官方微信