中胰切除术治疗外伤性主胰管损伤伴延迟表现:两例病例系列。

IF 0.7 Q4 SURGERY
Surgical Case Reports Pub Date : 2025-01-01 Epub Date: 2025-06-17 DOI:10.70352/scrj.cr.25-0094
Yuki Itagaki, Shintaro Takeuchi, Takehiro Noji, Yuma Ebihara, Masataka Wada, Kimitaka Tanaka, Aya Matsui, Yoshitsugu Nakanishi, Toshimichi Asano, Toru Nakamura, Satoshi Hirano
{"title":"中胰切除术治疗外伤性主胰管损伤伴延迟表现:两例病例系列。","authors":"Yuki Itagaki, Shintaro Takeuchi, Takehiro Noji, Yuma Ebihara, Masataka Wada, Kimitaka Tanaka, Aya Matsui, Yoshitsugu Nakanishi, Toshimichi Asano, Toru Nakamura, Satoshi Hirano","doi":"10.70352/scrj.cr.25-0094","DOIUrl":null,"url":null,"abstract":"<p><strong>Introduction: </strong>Pancreatic trauma is an uncommon, yet potentially lethal condition, with main pancreatic duct (MPD) disruption guiding surgical management. Middle pancreatectomy (MP) with Roux-en-Y pancreatojejunostomy (PJ) offers an organ-preserving alternative to distal pancreatectomy, particularly for young patients. However, the extent of its applicability and the specific surgical techniques-including key technical tips-remain unclear in the context of traumatic pancreatic injury. This is especially true in cases of delayed presentation, where severe intra-abdominal inflammation further complicates surgical intervention.</p><p><strong>Case presentation: </strong>We report 2 cases of young patients with MPD injuries from blunt trauma, both presenting late with significant peripancreatic contamination. Case 1 included a 22-year-old male who sustained pancreatic and liver injuries while skiing. He was transferred 30 hours post-injury with stable hemodynamics. Endoscopic retrograde pancreatography (ERP) confirmed MPD disruption. Intraoperatively, saponification obscured the anatomical structures, but MP with PJ was successfully performed. The patient recovered without major complications. Case 2 involved a 17-year-old female who was initially observed at another hospital after a traffic accident. Three days later, she developed peritonitis, and a retrospective computed tomography review revealed a pancreatic body rupture. An ERP confirmed MPD disruption. During surgery, extensive inflammation and adhesions were noted, and the MPD was extremely small. Despite technical complexities, an MP with PJ was successfully completed. The pancreatic fistula from the pancreatic head stump required drainage treatment following spinal surgery for vertebral fractures, and the patient recovered without sequelae.</p><p><strong>Conclusions: </strong>MP with Roux-en-Y PJ is a technically challenging but viable approach for MPD injuries in young patients, even with delayed presentation. It preserves the pancreatic and splenic functions, making it a valuable approach for young patients when performed by experienced surgeons. These cases demonstrate the clinical impact and potential implications of MP as a viable treatment approach for pancreatic trauma.</p>","PeriodicalId":22096,"journal":{"name":"Surgical Case Reports","volume":"11 1","pages":""},"PeriodicalIF":0.7000,"publicationDate":"2025-01-01","publicationTypes":"Journal Article","fieldsOfStudy":null,"isOpenAccess":false,"openAccessPdf":"https://www.ncbi.nlm.nih.gov/pmc/articles/PMC12177570/pdf/","citationCount":"0","resultStr":"{\"title\":\"Middle Pancreatectomy for Traumatic Main Pancreatic Duct Injury with Delayed Presentation: Two Case Series.\",\"authors\":\"Yuki Itagaki, Shintaro Takeuchi, Takehiro Noji, Yuma Ebihara, Masataka Wada, Kimitaka Tanaka, Aya Matsui, Yoshitsugu Nakanishi, Toshimichi Asano, Toru Nakamura, Satoshi Hirano\",\"doi\":\"10.70352/scrj.cr.25-0094\",\"DOIUrl\":null,\"url\":null,\"abstract\":\"<p><strong>Introduction: </strong>Pancreatic trauma is an uncommon, yet potentially lethal condition, with main pancreatic duct (MPD) disruption guiding surgical management. Middle pancreatectomy (MP) with Roux-en-Y pancreatojejunostomy (PJ) offers an organ-preserving alternative to distal pancreatectomy, particularly for young patients. However, the extent of its applicability and the specific surgical techniques-including key technical tips-remain unclear in the context of traumatic pancreatic injury. This is especially true in cases of delayed presentation, where severe intra-abdominal inflammation further complicates surgical intervention.</p><p><strong>Case presentation: </strong>We report 2 cases of young patients with MPD injuries from blunt trauma, both presenting late with significant peripancreatic contamination. Case 1 included a 22-year-old male who sustained pancreatic and liver injuries while skiing. He was transferred 30 hours post-injury with stable hemodynamics. Endoscopic retrograde pancreatography (ERP) confirmed MPD disruption. Intraoperatively, saponification obscured the anatomical structures, but MP with PJ was successfully performed. The patient recovered without major complications. Case 2 involved a 17-year-old female who was initially observed at another hospital after a traffic accident. Three days later, she developed peritonitis, and a retrospective computed tomography review revealed a pancreatic body rupture. An ERP confirmed MPD disruption. During surgery, extensive inflammation and adhesions were noted, and the MPD was extremely small. Despite technical complexities, an MP with PJ was successfully completed. The pancreatic fistula from the pancreatic head stump required drainage treatment following spinal surgery for vertebral fractures, and the patient recovered without sequelae.</p><p><strong>Conclusions: </strong>MP with Roux-en-Y PJ is a technically challenging but viable approach for MPD injuries in young patients, even with delayed presentation. It preserves the pancreatic and splenic functions, making it a valuable approach for young patients when performed by experienced surgeons. These cases demonstrate the clinical impact and potential implications of MP as a viable treatment approach for pancreatic trauma.</p>\",\"PeriodicalId\":22096,\"journal\":{\"name\":\"Surgical Case Reports\",\"volume\":\"11 1\",\"pages\":\"\"},\"PeriodicalIF\":0.7000,\"publicationDate\":\"2025-01-01\",\"publicationTypes\":\"Journal Article\",\"fieldsOfStudy\":null,\"isOpenAccess\":false,\"openAccessPdf\":\"https://www.ncbi.nlm.nih.gov/pmc/articles/PMC12177570/pdf/\",\"citationCount\":\"0\",\"resultStr\":null,\"platform\":\"Semanticscholar\",\"paperid\":null,\"PeriodicalName\":\"Surgical Case Reports\",\"FirstCategoryId\":\"1085\",\"ListUrlMain\":\"https://doi.org/10.70352/scrj.cr.25-0094\",\"RegionNum\":0,\"RegionCategory\":null,\"ArticlePicture\":[],\"TitleCN\":null,\"AbstractTextCN\":null,\"PMCID\":null,\"EPubDate\":\"2025/6/17 0:00:00\",\"PubModel\":\"Epub\",\"JCR\":\"Q4\",\"JCRName\":\"SURGERY\",\"Score\":null,\"Total\":0}","platform":"Semanticscholar","paperid":null,"PeriodicalName":"Surgical Case Reports","FirstCategoryId":"1085","ListUrlMain":"https://doi.org/10.70352/scrj.cr.25-0094","RegionNum":0,"RegionCategory":null,"ArticlePicture":[],"TitleCN":null,"AbstractTextCN":null,"PMCID":null,"EPubDate":"2025/6/17 0:00:00","PubModel":"Epub","JCR":"Q4","JCRName":"SURGERY","Score":null,"Total":0}
引用次数: 0

摘要

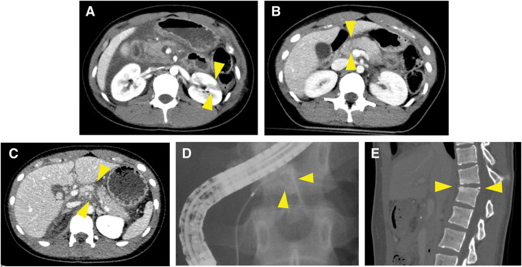
简介:胰腺创伤是一种罕见但潜在致命的疾病,主要胰管(MPD)破坏指导手术治疗。中端胰腺切除术(MP)联合Roux-en-Y胰空肠吻合术(PJ)为远端胰腺切除术提供了一种保留器官的选择,特别是对于年轻患者。然而,在外伤性胰腺损伤的背景下,其适用性和具体的手术技术(包括关键技术提示)的程度仍不清楚。在延迟出现的情况下尤其如此,严重的腹内炎症进一步使手术干预复杂化。病例介绍:我们报告2例年轻的钝性创伤MPD损伤患者,均表现为晚期明显的胰腺周围污染。病例1包括一名22岁的男性,他在滑雪时持续胰腺和肝脏损伤。他在受伤30小时后被转移,血流动力学稳定。内镜逆行胰腺造影(ERP)证实MPD中断。术中,皂化模糊了解剖结构,但MP与PJ成功进行。病人康复后无重大并发症。病例2涉及一名17岁的女性,她在一次交通事故后最初在另一家医院接受观察。三天后,她出现腹膜炎,回顾性计算机断层扫描显示胰腺体破裂。ERP确认MPD中断。手术期间,发现广泛的炎症和粘连,MPD非常小。尽管技术复杂,但PJ的MP还是成功完成了。胰头残端胰瘘在脊柱骨折手术后需要引流治疗,患者恢复无后遗症。结论:MP与Roux-en-Y PJ在技术上具有挑战性,但对于年轻MPD损伤患者来说是一种可行的方法,即使是延迟表现。它保留了胰腺和脾脏的功能,当有经验的外科医生进行手术时,对年轻患者来说是一种有价值的方法。这些病例证明了MP作为一种可行的胰腺创伤治疗方法的临床影响和潜在意义。
本文章由计算机程序翻译,如有差异,请以英文原文为准。

Middle Pancreatectomy for Traumatic Main Pancreatic Duct Injury with Delayed Presentation: Two Case Series.

Middle Pancreatectomy for Traumatic Main Pancreatic Duct Injury with Delayed Presentation: Two Case Series.

Middle Pancreatectomy for Traumatic Main Pancreatic Duct Injury with Delayed Presentation: Two Case Series.

Middle Pancreatectomy for Traumatic Main Pancreatic Duct Injury with Delayed Presentation: Two Case Series.

Introduction: Pancreatic trauma is an uncommon, yet potentially lethal condition, with main pancreatic duct (MPD) disruption guiding surgical management. Middle pancreatectomy (MP) with Roux-en-Y pancreatojejunostomy (PJ) offers an organ-preserving alternative to distal pancreatectomy, particularly for young patients. However, the extent of its applicability and the specific surgical techniques-including key technical tips-remain unclear in the context of traumatic pancreatic injury. This is especially true in cases of delayed presentation, where severe intra-abdominal inflammation further complicates surgical intervention.

Case presentation: We report 2 cases of young patients with MPD injuries from blunt trauma, both presenting late with significant peripancreatic contamination. Case 1 included a 22-year-old male who sustained pancreatic and liver injuries while skiing. He was transferred 30 hours post-injury with stable hemodynamics. Endoscopic retrograde pancreatography (ERP) confirmed MPD disruption. Intraoperatively, saponification obscured the anatomical structures, but MP with PJ was successfully performed. The patient recovered without major complications. Case 2 involved a 17-year-old female who was initially observed at another hospital after a traffic accident. Three days later, she developed peritonitis, and a retrospective computed tomography review revealed a pancreatic body rupture. An ERP confirmed MPD disruption. During surgery, extensive inflammation and adhesions were noted, and the MPD was extremely small. Despite technical complexities, an MP with PJ was successfully completed. The pancreatic fistula from the pancreatic head stump required drainage treatment following spinal surgery for vertebral fractures, and the patient recovered without sequelae.

Conclusions: MP with Roux-en-Y PJ is a technically challenging but viable approach for MPD injuries in young patients, even with delayed presentation. It preserves the pancreatic and splenic functions, making it a valuable approach for young patients when performed by experienced surgeons. These cases demonstrate the clinical impact and potential implications of MP as a viable treatment approach for pancreatic trauma.

求助全文
通过发布文献求助,成功后即可免费获取论文全文。 去求助
来源期刊
自引率
0.00%
发文量
218
审稿时长
13 weeks
×
引用
GB/T 7714-2015
复制
MLA
复制
APA
复制
导出至
BibTeX EndNote RefMan NoteFirst NoteExpress
×
提示
您的信息不完整,为了账户安全,请先补充。
现在去补充
×
提示
您因"违规操作"
具体请查看互助需知
我知道了
×
提示
确定
请完成安全验证×
copy
已复制链接
快去分享给好友吧!
我知道了
右上角分享
点击右上角分享
0
联系我们:info@booksci.cn Book学术提供免费学术资源搜索服务,方便国内外学者检索中英文文献。致力于提供最便捷和优质的服务体验。 Copyright © 2023 布克学术 All rights reserved.
京ICP备2023020795号-1
ghs 京公网安备 11010802042870号
Book学术文献互助
Book学术文献互助群
群 号:604180095
Book学术官方微信